분당 치매 검사 병원, 검사 점수 20점이면 뭔가요?

<뇌MRI>는 이렇게 나왔는데…

by 콕 선생님

안녕하세요.

치매라는 단어를 들으면

누구나 마음 한구석이 서늘해집니다.


환자분뿐 아니라 가족까지

하루하루가 불안과 걱정 속에 놓이게 되죠.


진료실에서 마주하는 그 두려움과 막막함,

저 역시 똑같이 느끼고 있습니다.


그래서 저는 그 무서운 병 앞에서도

희망을 찾을 수 있는 길을

끝까지 함께 찾으려 하는,

콕통증의학과 신경과 전문의 문주선 원장입니다.


그림1.png


사실 이런 글 쓰는 걸 별로 좋아하지 않는데요

(뭔가 글을 잘 쓰는 편도 아니고 민망해서 ㅠㅠ)

오늘은 정말 특별한 사례 하나를

공유하고 싶어서 키보드를 두드려봅니다.

얼마 전 진료실에서 만난 한 환자분 이야기입니다.

허리 치료차 저희를 찾아주셨던 분이라

얼굴은 익숙했는데, 뭔가 달랐어요.

표정도 그렇고, 말하는 것도 그렇고...

아, 허리 치료받느라 힘드셨구나 싶었죠.

그런데 가족분이 하시는 말씀이

"밤에 잠을 못 자고, 자꾸 헷갈리고, 걷기도 힘들어졌다"

이거였어요.

음... 뭔가 이상하다는 생각이 들었습니다.

단순한 치료 후유증치고는

증상이 너무 다양하고 심각했거든요.

그래서 제가 환자분께 물어봤어요.


"혹시 전에도 이런 증상들이 조금씩 있으셨나요?"

가족분들이 서로 눈치를 보시더라고요.

그러면서 조심스럽게 말씀하시길,

"사실 요즘들어 깜빡깜빡하시는 게

전보다 많아진 것 같긴 했어요..."

솔직히 말하면,

의사도 사람이라 '감'이라는 게 있어요.

10년 넘게 환자들을 보다 보니

뭔가 다른 건 금방 알 수 있거든요.


그림2.jpg [환자들이 가득한 공간. 이곳을 언젠가 완치된 환자분들의 웃음소리로 채우는 것이 제 유일한 목표입니다.]

하지만 감만으로는 안 되죠.

특히 치매 같은 경우는 더더욱 그래요.

그래서 저는 환자분께 제안했습니다.

"치료가 직접적인 원인일 수도 있지만,

원래 기저에 다른 문제가 있었는지

한번 자세히 검사해보시는 게 어떨까요?"

사실 이런 말 하기가 조심스러웠어요.

자칫 환자분이나 가족분들이

오해하실 수도 있잖아요 ;;

다행히 가족분들이 적극적으로 동의해주셨고,

바로 정밀검사를 진행하게 되었습니다.

치매검사, 도대체 뭘 하는 걸까?

많은 분들이 치매검사라고 하면

열 문항 정도 있는 테스트를 생각하시는 것 같아요.


아니에요.

우선 뇌 MRI 검사는 기본이고,

증상과 상태에 따른 상세한 검사들이 있답니다.

저희 콕통증의학과에서 시행하는

치매검사는 크게 네 가지인데,

이걸 예시를 들어 설명할게요.


그림3.png

간이정신상태검사 (MMSE)

이게 가장 기본이면서도 중요한 검사입니다.

30점 만점으로 되어 있는데,

치매검사 점수 궁금해하시는 분들은

보통 이 검사를 뜻하시는 걸 거예요.

24점 이상: 정상 범위

18-23점: 경도 치매

0-17점: 중등도 이상 치매

대략 이렇게 판단해요.

하지만 여기서 함정이 있어요.

점수만 보고 판단하면 안 된다는 거죠.

교육 수준, 연령, 기존 인지능력 등을

모두 고려해야 정확한 해석이 가능합니다.

치매임상평가척도 (CDR)

이건 실생활에서의 기능을 평가하는 검사예요.

아무리 MMSE 점수가 괜찮아도

실제 생활에서 문제가 있다면 의미 있는 변화거든요.

치매일상생활력척도 (ADL)

옷 입기, 식사하기, 화장실 이용하기 등

기본적인 일상생활 능력을 체크합니다.

치매정신증상척도 (NPI)

우울, 불안, 환각, 망상 등

치매와 함께 나타날 수 있는 정신증상들을 평가해요.

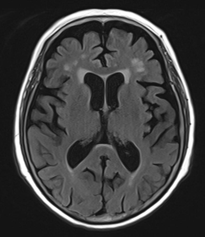
이 환자분의 경우,

뇌 MRI에서는 급성 뇌경색 같은 건 없었지만

연령에 비해 뇌위축이 진행되어 있었어요.

그림4.jpg 촬영 일시: 2025.05.02

<Fig 1. 뇌 MRI>

그리고 MMSE 점수가 22점...

검사 결과를 설명드릴 때가

사실 가장 조심스러워요.

특히 치매라는 단어는

환자분과 가족들에게

너무나 무거운 의미잖아요.

그래서 저는 이렇게 말씀드렸어요.

"검사 결과상 초기 치매 단계로 보입니다.

하지만 다행히 일찍 발견했기 때문에

적절한 치료를 시작하면

충분히 진행을 늦추고 증상을 개선할 수 있어요."

처음엔 충격받으시더라고요.

당연한 반응이죠.

하지만 저는 계속 강조했습니다.

"조기 발견이 정말 중요해요.

지금 시작하는 것과 몇 년 후에 시작하는 것은

완전히 다른 결과를 가져올 수 있거든요."

치료, 그리고 놀라운 변화

약물치료를 시작했어요.

뇌에서 기억을 담당하는

신경전달물질을 보호해주는 약이에요.

동시에 수면장애와 보행장애도 있었기 때문에,

조금 더 통합적으로 접근했습니다.


그림5.jpg

그리고 3개월 후...

정말 놀라운 변화였어요.

환자분이 진료실에 들어오시는 모습부터 달랐어요.

걸음걸이도 안정적이고,

표정도 훨씬 밝아지셨고,

무엇보다 대화할 때 반응이 빨라졌더라고요.

가족분들도

"집에서 TV도 잘 보시고,

산책도 매일 하시고,

예전보다 훨씬 좋아지셨어요"

라고 하시더라고요.

이때 정말 의사로서 보람을 느꼈습니다.

분당치매검사, 어디서 받을까?

세상에는 좋은 병원들이 많지만,

치매검사를 제대로 할 수 있는 곳은

생각보다 많지 않아요.

왜냐하면 치매검사는

단순히 검사만 하는 게 아니라

결과를 해석하고

적절한 치료계획을 세우는 것까지

포함되어야 하거든요.

대학병원들은 당연히 좋죠.

하지만 예약도 오래 걸리고,

한 번 가면 하루 종일 걸려요 ㅠㅠ

그래서 중간 규모 병원에서도

충분히 정확한 검사와 치료가 가능하다는 걸

알려드리고 싶었어요.

10년 넘게 의사 생활을 하면서

깨달은 게 하나 있어요.

환자들이 가장 무서워하는 건

질병 자체가 아니라 '모르는 것'이라는 거예요.


그림6.jpg 출처: dementia


이 환자분도 처음에 가장 무서워하신 건

"내가 왜 이렇게 되었을까?"

하는 의문이었거든요.

그런데 정확한 진단이 나오고

치료 계획을 세우니까

오히려 마음이 편해지시더라고요.

"이제 뭘 해야 할지 알겠어요"

이렇게 말씀하시는 순간이

정말 기억에 남아요.

이 환자분이 마지막에 하신 말씀이

지금도 기억에 남아요.

"정확한 진단을 해주셔서 정말 다행이에요."

맞아요.

정말 다행이었어요.

만약 그냥 "후유증이겠지" 하고

넘어갔다면

지금쯤 어떻게 되었을까요?

아마 증상은 더 심해졌을 거고,

가족들의 부담도 훨씬 컸을 거예요.

그림7.png


혹시 지금 이 글을 읽고 계신 분 중에서

"우리 부모님도 요즘 뭔가 다른 것 같은데..."

하는 분이 계시다면

더 이상 망설이지 마세요.

치매검사는 생각보다 간단해요.

하루 반나절이면 충분하고,

검사 자체도 전혀 아프지 않아요.

그리고 혹시 검사 결과가 좋지 않더라도

요즘은 정말 좋은 치료법들이 많이 나와 있어요.

조기에 발견해서 치료를 시작하면

충분히 좋은 결과를 기대할 수 있다는 사실,

꼭 기억해 주시길 바랍니다.


감사합니다.

문주선 드림



매거진의 이전글여자 오른쪽 가슴 옆 통증 콕콕 찌릿 아파요…