30대 치매? 20대, 40대에도 주의해야 하는 이유

이 환자로 설명됩니다

by 콕 선생님

오늘 아침 진료실에 들어서자마자 뭔가 이상했습니다.

30대 중반의 직장인이 혼자 앉아 있는데

표정이 너무나 어두웠거든요.

보통 이 나이대 환자분들은 활기차게 들어와서

빨리 치료받고 일터로 돌아가고 싶어 하시는데

이분은 달랐습니다.

왜 그랬을까요?


안녕하세요,

신경과에서 진단할 수 있는 질환들의 공통점은 무엇일까요?

바로 나이대에 무관하게 고통받을 수 있다는 점인데요.

젊은 나이기 때문에 “설마” 하고 넘어가는 환자분들에게

도움을 드리고 싶은 저는,

콕통증의학과 신경과 전문의 문주선입니다.


그림1.png

저는 지난 10여 년간 다양한 신경계 질환을 진료해오면서

수많은 환자분들을 만나 뵈었는데요

오늘 이야기할 케이스는

정말 제 가슴을 먹먹하게 했습니다.

30대 치매라니...

처음 들으면 누구나 고개를 갸웃할 겁니다.

하지만 이것은 결코 남의 일이 아닙니다.

진료실에서 만난 30대 이야기

이 환자분이 처음 저희 병원을 찾은 건

허리 통증 때문이었습니다.

IT 회사에서 매니저로 일하시는데

연일 야근에 시달리다가 허리를 다치셨다고 하더군요.

통증 원장님께서 잘 봐 주시고 계셨어요.


그런데 저한테로 환자분이 인계된 거예요.

허리 치료 과정에서

뭔가 이상한 점들이 계속 눈에 띄었다고 하셨죠.

진료 예약 시간을 자꾸 잊어버리시고

치료 계획을 설명해드려도 금세 다시 물어보시고

심지어 병원 내에서 길을 헤매시는 모습까지;;

처음엔 단순히 업무 스트레스 때문이라고 생각했어요.

요즘 30대 직장인분들, 정말 힘드시잖아요 ㅠㅠ


그림2.jpg [환자분들을 볼 때면 만감이 교차합니다. 항상 잘하고 싶다는 마음가짐으로 만나뵙고 있습니다.]


프로젝트 데드라인에 쫓기고

상사 눈치 보고, 후배들 챙기고...

누구나 그럴 수 있다고 여겼죠.

하지만 시간이 지날수록

증상은 심해졌다고 해요.

밤에 잠을 못 자고, 자꾸 헷갈리고

걷기도 예전같지 않다고 하시더라고요.

처음에는 업무 스트레스와 허리 통증 때문에

몸이 약해진 줄만 알았다고 하셨는데

시간이 지나도 전혀 나아지지 않아서

결국 저한테 협진 의뢰를 주신 거죠.

저는 먼저 기저에 인지기능 문제가 있었는지

자세히 검사해보자고 제안했습니다.

뇌 MRI도 찍고 인지기능 검사도 여러 가지 했는데

결과를 보는 순간... 솔직히 조금 놀랐어요.

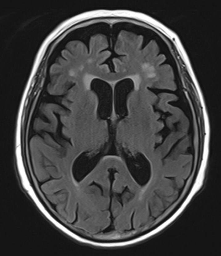
뇌경색은 없었지만

뇌가 나이에 비해 상당히 위축되어 있었고

인지기능 검사 점수도

정상 범위를 벗어나 있었습니다.


그림3.jpg 촬영 일시: 2025.04.19

<Fig 1. 뇌 MRI>

33세에 경도인지장애 단계라니...

제가 의사 생활을 하면서도

이렇게 젊은 나이의 치매 위험군 환자를 만나는 건

정말 드문 일이었거든요.

결과를 설명해드릴 때

어떤 표현을 써야 할지 정말 고민이 많았습니다.

너무 충격적이지 않게, 하지만 정확하게...

다행히 조기에 발견해서

치료를 시작하면 충분히 좋아질 수 있다고

희망을 함께 전해드릴 수 있었어요.

20, 30, 40대도 치매에서 자유롭지 않다

많은 분들이 궁금해하실 텐데요

과연 젊은 나이에도 치매가 올 수 있을까요?

안타깝게도 답은 '그렇다'입니다.

20대 치매 발병률: 10만 명당 약 1-2명

30대 치매 발병률: 10만 명당 약 8-12명

40대 치매 발병률: 10만 명당 약 18-25명

숫자로 보면 아직은 낮아 보이지만

해마다 조금씩 증가하는 추세인 게 문제예요.

특히 요즘 같은 시대에는

젊은 층의 위험 요인들이 늘어나고 있거든요.


그림4.jpg 출처: BrainFacts


만성적인 극도의 스트레스

직장에서의 과도한 업무 압박


경제적 불안감


대인관계 스트레스


생활 습관의 문제

불규칙한 수면 패턴


과도한 음주와 흡연


운동 부족과 잘못된 식습관


환경적 요인

각종 독성 물질 노출


대기오염


전자기기 과다 사용


이런 요인들이 복합적으로 작용하면서

예전보다 젊은 나이에도

뇌 기능에 문제가 생기는 경우가 늘어나고 있어요.

치료 과정과 회복

이 환자분 경우에는 다행히

조기 발견이 가장 큰 행운이었습니다.

적절한 약물 치료와 함께

수면장애와 보행장애에 대한

통합적인 접근을 시행했거든요.

치료 시작 후 3개월 정도 지나니까

정말 놀라운 변화가 나타났어요.

1️⃣ 인지기능의 개선

2️⃣ 일상생활의 변화

3️⃣ 직장 생활의 회복


몇 달 전까지만 해도

혼란스러워하던 그 환자분이

지금은 밝은 표정으로 정기 검진을 받으러 오세요.

정말 다행이라는 생각밖에 안 들어요.


그림5.jpg

조기 발견의 중요성

이 케이스를 통해 확실히 깨달은 건

조기 발견이 얼마나 중요한가 하는 점입니다.

만약 허리 치료만 하고 끝났다면

이런 기저 질환을 발견하지 못했을 거예요.

그랬다면 이분의 인생은

완전히 달라졌을지도 모르죠.

의사로서 느끼는 건

환자 한 분 한 분을 단순히

증상별로만 보면 안 된다는 거예요.

전체적인 맥락에서

종합적으로 접근해야

숨어있는 문제를 발견할 수 있거든요.

젊은 치매, 이런 신호들을 놓치지 마세요

혹시 여러분도 이런 증상들이 있다면

한번 체크해보시기 바랍니다.

✔️ 기억력 저하

✔️ 집중력 문제

✔️ 언어 능력 저하

✔️ 공간 인지 장애

✔️ 성격과 행동 변화

이런 증상들이 몇 주 이상 지속된다면

반드시 전문의와 상담받아 보시길 권해드려요.

이 환자분을 통해 배운 건

나이는 숫자에 불과하지만

건강은 절대 당연한 게 아니라는 점이에요.

30대라고 해서

치매나 인지기능 장애에서

자유롭다고 생각하면 안 돼요.


그림6.jpg

하지만 동시에

조기에 발견하고 적절히 치료받으면

충분히 좋은 결과를 얻을 수 있다는 것도

이 환자분이 증명한 희망적인 메시지예요.

의사로서 환자분들께 늘 말씀드리는 건

작은 변화도 놓치지 말고

이상하다 싶으면 주저하지 말고

전문의를 찾아달라는 거예요.

허리 치료를 받으러 왔다가

더 중요한 문제를 발견하는 경우도 있으니까요.

건강은 정말 소중한 자산입니다.

여러분 모두 건강하시길 바라며

오늘 이야기는 여기서 마무리하겠습니다.

감사합니다.

문주선 드림



매거진의 이전글파킨슨병 4대 증상? 초기증상 걸음걸이 변화 나타났다면