치매 명의 찾으려면 신경과 가야 할까요?

병원 어디부터 가야할지 헷갈리는 분들에게

by 콕 선생님


안녕하세요,

누군가의 이름을 잠깐 잊거나,

하던 이야기를 중간에 놓치는 순간.

그게 단순한 건망증인지,

아니면 다른 신호인지 헷갈릴 때가 많습니다.


저는 바로 그 애매한 순간을 그냥 흘려보내지 않고,

환자분이 안심할 수 있도록

차근차근 확인하는 진료를 하고 있습니다.

저는 콕통증의학과 뇌신경센터 조성호입니다.


그림6.png


오늘은 제가 최근에 만난 환자분 이야기를 해드리려고 해요.

사실 이런 케이스를 겪을 때마다 느끼는 건데...


의사로서 '눈에 보이는 증상'만 보면

안 되겠구나 하는 생각이 들어요.


며칠 전 진료실에서 만난 70대 여성분.


허리 시술 후 회복이 잘 되고 계시던 분이었는데

갑자기 가족분들이 걱정스러운 표정으로 모시고 오셨거든요.


처음에 들은 이야기는 이랬어요.


밤에 잠을 못 자시고, 자꾸 헷갈리고, 걷기도 힘들어하신다는...

가족분들은 나이 때문인가 싶기도 하고

혹시 시술 후유증인가 하는 걱정도 있으셨고요.


그런데 저는 뭔가 '이상하다'는 느낌이 들었어요.


진료실에서 마주한 '이상한' 변화들

환자분과 대화를 나눠보니

분명히 몇 달 전만 해도 정정하셨던 분이

갑자기 이런 증상들을 보이기 시작하신 거예요.


✅ 밤잠을 설치고 낮에 졸음

✅ 평소에 잘 알던 것들을 자꾸 까먹음

✅ 걸을 때 균형감각 떨어짐

✅ 집중력 현저히 저하


가족분들이 말씀하시길


'선생님, 정말 갑자기 이래요.

예전엔 이런 분이 아니었거든요...'


음… 그렇다면 이건 단순히 '나이 드니까 그런 거야'

하고 넘길 문제가 아니겠구나 싶었죠.


치매 명의가 놓치기 쉬운 함정


사실 많은 분들이 오해하시는 게 있어요.


치매는 '서서히' 진행되는 병이라고 생각하시는데

실제 임상에서는 그렇지 않은 경우가 꽤 많거든요 ;;


특히 어떤 '촉발 요인'이 있으면

기존에 숨어있던 인지기능 문제가

갑자기 드러나는 경우가 있어요.


이 환자분 같은 경우도

급성 스트레스 상황이 있었고

그것이 인지기능 급속 악화의 방아쇠가 되었을 가능성이 높았죠.


그림7.jpg [많은 분들이 매일같이 콕에 방문해 주시고 계십니다. 환자 한 분 한 분을 꼼꼼하게 검진하는 의료진이 되겠습니다.]



하지만 여기서 중요한 건


과연 이게 일시적인 현상일까,

아니면 원래부터 있던 기저 질환이 드러난 걸까?


이 판단이에요.



치매 신경과에서 하는 '진짜 검사'들


저는 이런 경우 무조건 정밀 검사를 진행해요.


환자분과 가족분들께 설명드렸죠.


'일단 뇌혈관 상태부터 정확히 파악해 볼 필요가 있어요.

그리고 현재 인지기능이 어느 정도 수준인지

객관적으로 측정해 봐야겠고요.'


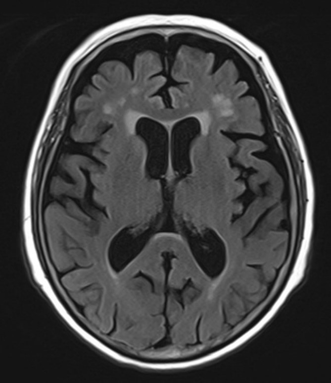
뇌 MRI & MRA

뇌경색이나 뇌출혈 같은 급성 병변이 있는지

뇌위축은 어느 정도 진행되었는지 확인


간이정신상태검사 (MMSE)

기억력, 언어능력, 주의집중력 등을

표준화된 방식으로 평가


치매임상평가척도 (CDR)

일상생활 기능 저하 정도를

체계적으로 측정


그림8.jpg 촬영 일시: 2025.06.15

<Fig 1. 뇌 MRI>


검사 결과는... 음 ㅠㅠ

예상했던 대로였어요.


영상에서는 급성 뇌경색 같은 병변은 없었지만

연령에 비해 뇌위축이 상당히 진행되어 있었고

인지기능 검사에서도 유의한 점수 저하가 관찰되었거든요.


치매병원 어디로 가야 할지 고민하는 분들께


사실 이런 진단을 내릴 때마다

환자분과 가족분들 반응이 너무 마음이 아파요.


하지만 저는 항상 이렇게 말씀드려요.


'조기 발견이 가장 중요한 치료의 시작점'이라고.


특히 이 환자분 같은 경우는

초기 단계에서 발견되었기 때문에

적절한 치료를 시작하면 충분히 좋은 경과를 기대할 수 있었거든요.


그림9.png


실제로 약물 치료를 시작한 지 몇 개월 후


✔️ 수면 패턴이 정상화되고

✔️ 기억력이 현저히 개선되고

✔️ 보행 능력도 많이 회복되셨어요


가족분들이 말씀하시길


'선생님, 정말 많이 좋아졌어요.

지금은 함께 산책도 하고 있어요!'


이럴 때 정말... 의사하길 잘했다 싶어요 ㅠㅠ


진료실에서 느끼는 '치매 진단'의 현실


솔직히 말씀드리면

치매 진단이 어려운 이유는

단순히 '검사'가 복잡해서가 아니에요.


환자분 한 명 한 명의


• 과거 병력은 어떤지

• 현재 복용 중인 약물은 무엇인지

• 최근 생활 환경에 변화는 없었는지

• 가족력은 어떤지


이 모든 걸 종합적으로 판단해야 하거든요.


그리고 무엇보다

'환자분과 가족분들이 느끼는 변화'를

얼마나 세심하게 듣고 파악하느냐가 핵심이에요.


그림10.jpg


이번 케이스를 통해 다시 한번 느낀 건데

치매는 '완치'보다는 '진행 억제'와 '증상 개선'이 목표예요.


그런데 이게 가능한 시기가 있어요.

바로 초기 단계에서 말이죠.


만약 이 환자분이

가족들의 걱정을 '나이 드니까 그런 거야' 하고

몇 년 더 방치했다면?

아마 지금과 같은 좋은 결과를 얻기 어려웠을 거예요.


다행히 조기에 발견해서

적절한 약물 치료와 함께

수면장애, 보행장애에 대한 통합적 접근을 할 수 있었고


현재는 인지기능을 포함한 전반적인 상태가

현저히 개선된 상태입니다.


만약 본인이나 부모님께 이런 변화들이 있을 때

주의 깊게 살펴보셔야 해요.


1️⃣ 갑작스러운 성격 변화

평소와 다른 행동 패턴을 보이거나

감정 기복이 심해지는 경우


2️⃣ 일상생활 루틴의 변화

예전에 잘하던 일들을 어려워하거나

새로운 것을 배우는 걸 극도로 힘들어하는 경우


3️⃣ 수면 패턴의 급격한 변화

밤낮이 바뀌거나 잠을 못 자는 날이 지속되는 경우


특히 어떤 '급성 스트레스' 상황 이후에

이런 증상들이 나타났다면

반드시 전문의 진료를 받아보시는 걸 권해드려요.


이 환자분이 마지막 진료 때 하신 말씀이

아직도 기억에 남아요.


그림11.jpg


“선생님 덕분에 가족들과 함께

다시 산책할 수 있게 되었어요.

처음에는 정말 무서웠는데

이렇게 좋아질 줄 몰랐어요.”


사실 치매 진료를 하면서

완전한 '완치'를 경험하기는 어려워요.


하지만 이렇게 환자분의 삶의 질이 개선되고

가족분들이 다시 웃을 수 있게 되는 모습을 보면

정말 이 일을 하길 잘했다는 생각이 들어요.


혹시 지금 비슷한 고민을 하고 계신 분이 있다면

‘나이 드니까 당연한 거야'라고 넘기지 마시고

한 번쯤은 전문의와 상담해 보시기 바라요.


조기 발견이 곧 치료의 시작이고

그 시작이 환자분과 가족분들의

'삶의 질'을 완전히 바꿀 수 있거든요.


감사합니다.

조성호 드림



매거진의 이전글30대 치매? 20대, 40대에도 주의해야 하는 이유