말이 어눌해짐 증상 때문에 병원 갈까말까 고민중이라면

그러다 골든타임 놓쳐요

by 콕 선생님

말이 어눌해짐...

이 증상 하나로 진료실을 찾는 분들이 적습니다. 왜일까요?

당연히 대부분 단순히 피로나

스트레스 때문이라고 생각하기 때문이죠.

저조차도 의사가 되지 않았으면 피곤해서 발음도 안 되나 보다,

하고 넘겼을 것 같습니다.


안녕하세요.

놓치기 쉬운 사소한 질환에 숨은 뇌졸중이라는 무서운 진실을

반드시 알려드리고 싶은

콕통증의학과 신경과 전문의 문주선 원장입니다.


그림1.png

10년 넘게 신경과 전문의로 일하면서 수많은 환자분들을 만나왔지만,

오늘 말씀드릴 사례는... 정말 잊을 수 없는 하루였습니다.

의학 교과서에서는 배울 수 없는,

현실의 급박함과 판단력이 얼마나 중요한지를 깨닫게 해준 사례인데요.

혹시 지금 말이 어눌해짐 증상으로 고민하고 계신다면,

끝까지 읽어보시길 권합니다.

그날의 시작은 평범했습니다

어느 목요일 오후, 외래 진료가 한창이던 시간이었습니다.

갑자기 연락이 왔어요.

친구와 함께 온 50대 남성 환자가 있는데,

뭔가 말하는 게 이상하다는 거였습니다.

사실 이런 케이스는 신경과 의사라면

누구나 한 번쯤 경험하게 되는 상황이죠.

하지만 그때는 몰랐습니다.

이 환자분이 제게 얼마나 큰 깨달음을 주실지...

환자분이 입장하기를 기다리면서 머릿속으로

가능한 시나리오들을 빠르게 정리했습니다.

✔️ 단순 구음장애일 가능성

✔️ 일시적 뇌허혈 발작

✔️ 뇌졸중 초기 증상

✔️ 대사성 뇌병증

정답은 뭐였을까요?

골든타임과의 싸움

환자분은 친구랑 함께 들어오셨습니다.

친구분이 계속 이야기를 걸고 있었어요.

하지만 대답이... 명확하지 않았습니다.

"안녕하세요, 신경과 문주선입니다."

환자분께 인사를 드리자,

고개는 끄덕이시는데 말이 제대로 나오지 않았습니다.

친구분이 옆에서 설명해주시더라고요.

아침부터 뭔가 말하는 게 어눌하다가,

점심 먹고 나서는 더 심해졌다고.

이때부터 제 머릿속에서는 알람이 울리기 시작했습니다 ;;

말이 어눌해짐 증상이 갑자기 시작되고 점진적으로 악화된다면...

뇌졸중일 가능성이 매우 높거든요.


그림2.jpg [대기실을 가득 채운 환자분들은 저마다의 고충을 가지고 계십니다. 사소한 감정까지 전부 공감하는 의사가 되겠습니다.]


즉시 간단한 신경학적 검사를 시행했습니다.

✅ 안면 마비 여부 확인

✅ 상지 근력 검사

✅ 언어 기능 평가

✅ 의식 수준 확인

검사 결과는... 제 예상이 맞았습니다.

좌측 대뇌 언어중추 부위의

뇌경색이 의심되는 상황이었어요.

설득의 시간

문제는 여기서 시작되었습니다.

환자분이 이렇게 말씀하시는 거예요.

"원래 다니던 병원이 있으니까 거기로 가겠다"고.

이때가 정말... 의사로서 가장 어려운 순간 중 하나였습니다.

뇌졸중은 시간이 생명이거든요.

증상 발생 후 3-4.5시간 이내에 혈전용해제를 투여해야 하는데,

다른 병원으로 이동하면 골든타임을 놓칠 수 있었습니다.

하지만 환자의 의견을 무시할 수도 없는 상황...

이럴 때 정말 의사의 소통 능력과 판단력이 중요하다는 걸 절실히 느꼈어요.

그림3.jpg


"지금 환자분 상태를 보면, 뇌졸중 초기 증상으로 보입니다.

시간이 매우 중요한 상황이라 지금 당장 치료를 시작해야 합니다."

최대한 차분하면서도 절박함을 전달하려 노력했습니다.

다행히 환자분께서 상황의 심각성을 이해해주셨고,

즉시 치료에 동의해주셨어요.

치료와 기적 같은 회복


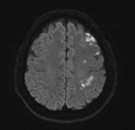
바로 응급 MRI 촬영을 진행했습니다.

영상 판독 결과, 좌측 중대뇌동맥 영역의 급성 뇌경색이 확인되었어요.


그림4.png 촬영 일시: 2024.08.09

<Fig 1. 뇌경색으로 진단된 뇌 MRI 검사>


다행히 아직 골든타임 내였고,

즉시 혈전용해제(tPA) 투여를 시작했습니다.

사실 이 과정이 쉽지만은 않았어요.

혈전용해제는 뇌혈관의 막힌 혈전을 녹이는 강력한 약물이지만,

동시에 출혈 위험도 있거든요.

환자분의 상태를 지속적으로 모니터링하면서

조심스럽게 투여해야 했습니다.

주사를 놓으면서 계속 환자분과 대화를 시도했어요.


"지금 어떤 기분이세요?"

"손가락으로 제 손가락을 따라해보세요."

놀랍게도 치료 시작 후 1시간 정도 지나면서 변화가 나타나기 시작했습니다.

처음에는 "어... 어..." 하던 말이 점차 명확해지더니,

2시간 후에는 거의 정상적인 대화가 가능해졌어요.

이런 극적인 회복을 보면서 정말 신기하면서도 감동적이었습니다 ㅜㅜ

의학의 발전이 얼마나 소중한지,

그리고 적절한 타이밍의 치료가 얼마나 중요한지를 다시 한번 깨달았죠.

저는 그분을 배웅하면서 정말 많은 생각이 들었습니다.

한 사람의 아버지이자 가정의 가장인

그분을 건강하게 돌려보낼 수 있다는 것,

그리고 적절한 시기의 정확한 판단과 치료가

한 사람의 인생을 바꿀 수 있다는 것...

이것이 바로 제가 의사가 된 이유였고,

지금도 매일 환자분들을 대하는 마음가짐의 근본이 되었습니다.


그림5.jpg 출처: Harvard Health


말이 어눌해짐, 절대 가볍게 보면 안 되는 이유

이 경험을 통해 여러분께 꼭 전달하고 싶은 메시지가 있습니다.

말이 어눌해짐 증상은 정말 다양한 원인이 있어요.

✅ 단순 피로나 스트레스

✅ 혀나 입안의 문제

✅ 약물 부작용

✅ 신경계 질환

✅ 뇌혈관 질환

하지만 갑자기 시작되어 점진적으로 악화되는 경우라면?

반드시 전문의의 정확한 진단을 받아보셔야 합니다.

특히 다음과 같은 증상이 함께 나타난다면

즉시 응급실로 오셔야 해요.

1️⃣ 갑작스러운 안면 마비

1️⃣ 한쪽 팔다리의 힘 빠짐

1️⃣ 시야 장애

1️⃣ 심한 두통

1️⃣ 어지럼증과 균형 감각 상실

이런 증상들은 뇌졸중의 전형적인 징후거든요.

환자 중심 치료의 진정한 의미

그날 이후로 저는 더욱 환자 중심적인 진료에 집중하게 되었습니다.

신경과 전문의지만 주사 치료를 배우고

익힌 이유도 바로 여기에 있어요.

환자분들의 신경학적 증상에 따라

약물 복용과 함께 주사 치료가 이루어졌을 때,

더 효과적으로 신경을 안정시키고 통증을 조절할 수 있거든요.

단순히 진단만 내리고 약만 처방하는 것이 아니라,

환자분 개개인의 상황과 증상에 맞춤형으로 접근하는 것.

이것이 제가 추구하는 진료 철학입니다.

말이 어눌해짐으로 병원을 찾는 분들 중에는

정말 다양한 케이스가 있습니다.

어떤 분은 단순한 스트레스성 증상이기도 하고,

어떤 분은 생명과 직결되는 심각한 상황이기도 해요.


그림6.jpg

중요한 건 환자 본인과 보호자가 증상을 가볍게 여기지 말고,

적절한 시기에 전문의의 정확한 진단을 받는 것입니다.

그리고 의료진 입장에서는 항상 최악의 시나리오를 염두에 두고,

골든타임을 놓치지 않도록 신속하고

정확한 판단을 내리는 것이 중요하죠.

혹시 지금 말이 어눌해짐 증상으로 고민하고 계신다면,

주저하지 마시고 가까운 신경과를 찾아주세요.


물론 뇌졸중이 아닐 수 있습니다.

하지만 혹시라도 뇌졸중이라면?

조기 진단과 적절한 치료가

여러분의 건강한 일상을 지켜드릴 수 있습니다.

오늘 이 글이 누군가에게는 작은 도움이 되길 바라며,

앞으로도 환자분들께 더 나은 진료를

제공할 수 있도록 노력하겠습니다.

감사합니다.

문주선 드림



매거진의 이전글파킨슨증후군 명의? 갑자기 시작된 손떨림 원인은