치매 뇌 MRI 찍으면 알 수 있나요?

현직 의사가 <검사 방법> 딱 알려드림

by 콕 선생님

안녕하세요.

치매라는 단어만 들어도 마음이 덜컥 내려앉는 분들이 많습니다.

“나도 혹시 시작된 건 아닐까?”

“MRI만 찍으면 바로 알 수 있는 걸까?”

하는 불안으로 밤잠을 설치는 환자분들을

진료실에서 자주 만나게 됩니다.



막연한 두려움 때문에 검사를 미루거나,

반대로 필요하지 않은 검사를 서둘러 받으려는 분들도 계시지요.



그래서 오늘은 그런 분들의 마음에 조금이나마 답을 드리고 싶어,

제 진료실에서 있었던 이야기를 나눠보려 합니다.

저는 콕통증의학과 신경과 전문의 조성호입니다.


그림15.png


오늘은 제가 직접 경험한 케이스 하나를 공유해보려고 해요.


요즘 병원이 워낙 세분화되어 있다 보니

환자분들이 증상에 따라 여러 과를 전전하시는 경우가 많거든요.


그런데 가끔은 정말 예상치 못한 곳에서

중요한 발견을 하게 되는 순간들이 있어요.


며칠 전 외래에서 만난 70대 할머니 이야기인데,

처음엔 정말 단순한(?) 케이스라고 생각했었거든요 ㅠㅠ


그런데 이분과의 만남이 저에게도, 환자분에게도

정말 많은 것을 생각하게 만드는 경험이 되었어요.


첫 만남의 착각

할머니는 허리 통증 때문에 저희 병원을 찾아오셨어요.

예전에도 저희에게 허리 치료를 받으시고 호전되셨던 분이라

이번에도 비슷한 치료 과정을 거치시면 될 거라 생각했죠.


그런데 척추 원장님 말로는 뭔가 이상하다고 했어요.

예전에 왔을 때와 달리

집에서 자꾸 헷갈리는 일들이 생긴다고 하시더라고요.


처음에는 나이 들면서 자연스럽게 생기는 건망증 정도로 여겼는데,

자세히 들어보니 단순한 건망증 차원을 넘어서는 느낌이었어요.


✅ 밤에 잠을 제대로 못 주무시고

✅ 평소보다 걷는 것도 힘들어하시고

✅ 가족들이 걱정할 정도로 일상생활에서 혼란을 보이신다고...


그림16.jpg [환자분들은 다양한 질환과 걱정을 품에 안고 원내 방문합니다. 이분들에게 웃음을 선사하는 것이 제 꿈입니다.]


이야기를 들어보니까 이런 증상들이 갑자기 나타난 게 아니라

몇 달에 걸쳐서 서서히 진행되고 있었던 거예요.


이 순간 제 머릿속에 경보등이 켜졌어요.

단순히 나이가 들면서 생기는 자연스러운 변화가 아니라

뭔가 더 근본적인 문제가 있을 수 있겠다는 생각이 든 거죠.


그래서 환자분께 제안드렸어요.

한번 정확한 검사를 받아보시는 게 어떻겠냐고.


치매 MRI, 정말 필요한 검사일까?


사실 환자분도 처음에는 좀 당황스러워하셨어요.

허리 치료받으러 왔는데 갑자기 뇌 검사 얘기가 나오니까요 ㅠㅠ


하지만 제가 왜 이 검사가 중요한지 차근차근 설명드렸어요.


치매 뇌검사가 단순히 '치매인지 아닌지'만 알아보는 게 아니라



1️⃣ 현재 뇌 상태를 정확히 파악하고

1️⃣ 다른 질환과 구별하며

1️⃣ 적절한 치료 시기를 놓치지 않기 위한 검사라는 점을요.


특히 치매검사방법 중에서도 MRI는 정말 중요한 역할을 하거든요.


뇌혈관 상태도 확인할 수 있고,

뇌 위축 정도도 객관적으로 평가할 수 있고,

다른 뇌질환 가능성도 배제할 수 있으니까요.


물론 MRI만으로는 부족해요.

인지기능 검사도 함께 받아야 정확한 진단이 가능하죠.



인지 검사 중 하나인 CDR 치매척도검사에 대해서는

아래 글에서 정보를 확인할 수 있어요. ^^

https://blog.naver.com/kok_hospital2/223980425659



검사 결과, 그리고 충격과 희망

자, 검사 결과가 나왔어요.

솔직히 저도 좀 긴장되더라고요;;

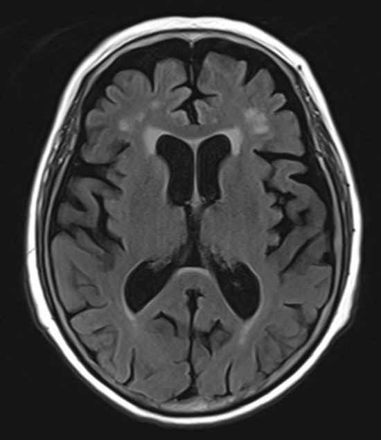
그림17.jpg 촬영 일시: 2025.05.22



치매 MRI 결과를 보니까

다행히 급성 뇌경색 같은 응급 상황은 아니었지만,

연령에 비해서 뇌 위축이 진행되어 있는 상태였어요.


그리고 인지기능 검사에서도

유의미한 저하가 확인되었습니다.


초기 치매 진단이었죠.


환자분께 결과를 설명드릴 때 정말 조심스러웠어요.

하지만 중요한 건 이거였어요.


조기에 발견했다는 것.


제가 환자분께 말씀드린 건

치매라는 진단 자체보다는

지금 치료를 시작하면 충분히

좋은 결과를 기대할 수 있다는 거였어요.


그림8.png


치료 시작, 그리고 놀라운 변화

당일 바로 적절한 약물 치료를 시작했어요.

동시에 수면 패턴 개선과 보행 운동도 병행했죠.


몇 주 후부터 변화가 보이기 시작했어요.


✔️ 밤에 잠을 더 잘 주무시게 되고

✔️ 걷기도 훨씬 안정적으로 하시고

✔️ 가족들이 말하는 일상생활 혼란도 많이 줄어들었다고...


무엇보다 환자분 표정이 밝아지신 게 가장 인상적이었어요.


처음에 오셨을 때는 정말 불안해하시고 걱정이 많으셨는데,

지금은 가족들과 함께 열심히 운동도 하신다고 하시고

기억력도 예전보다 많이 좋아졌다고 하세요.


그림18.png

이 케이스를 통해서 정말 많은 걸 배웠어요.


첫째, 증상을 단편적으로 보면 안 된다는 것.

허리 아픈 환자가 왔다고 해서 허리만 보면 안 되고,

환자 전체를 봐야 한다는 거죠.


둘째, 환자의 말에 귀 기울이는 것의 중요성.

만약 제가 환자분의 호소를 대충 넘겼다면

이런 조기 발견은 불가능했을 거예요.


셋째, 적절한 검사 시기를 놓치지 않는 것.

치매는 조기 진단이 정말 중요한 질환이거든요.


치매검사, 언제 받아야 할까?

이 경험을 통해 환자분들께 꼭 말씀드리고 싶은 게 있어요.


단순한 건망증이라고 넘기지 마세요

특히 일상생활에 지장을 줄 정도라면

한번쯤은 정확한 검사를 받아보시는 게 좋아요.


가족의 관찰이 중요해요

본인은 모르는 변화들을

가족들이 먼저 알아차리는 경우가 많거든요.


너무 무서워하지 마세요

치매라는 진단이 인생의 끝을 의미하는 건 아니에요.

조기에 발견하고 적절히 관리하면 충분히 좋은 삶을 유지할 수 있어요.


이 환자분을 통해서 저도 많이 배웠어요.

환자를 진료할 때

단순히 증상만 치료하는 게 아니라

그 사람 전체를 보는 시각의 중요성을요.


그리고 무엇보다

조기 진단의 가치를 다시 한번 깨달았습니다.


그림19.jpg

만약 이 글을 읽고 계신 분들 중에

비슷한 고민이 있으시다면

너무 걱정만 하지 마시고

용기를 내어 정확한 검사를 받아보시길 권해드려요.


때로는 우리가 가장 무서워하는 것들이

생각보다 관리 가능한 것들일 수도 있으니까요.


그리고 무엇보다 중요한 건

함께 극복해나가는 것이라는 걸

이 환자분을 통해 다시 한번 배웠습니다.


오늘도 건강한 하루 되세요 :)

조성호 드림




매거진의 이전글왼쪽 엄지발가락저림 새끼발가락까지 퍼지는 통증