brunch

“골반뼈가 아파요” 왼쪽 오른쪽 골반뼈 통증 있어요

by 콕 선생님

며칠 전 진료실에서 만난 한 환자분 이야기로

오늘 글을 시작해볼까 합니다.



5년간 골반 통증으로 좋아하던 운동을

포기해야 했던 영국인 환자분이었는데요...



사실 골반뼈 통증으로 오시는 분들 중에서

이분만큼 오랜 시간 고생하신 케이스도 드물었어요.



안녕하세요.

하루 종일 진료실에서 만나는 환자분들의 아픈 곳을 들여다보고,

그분들이 다시 일상으로 돌아가시는 모습을 보며

보람을 느끼는 콕통증의학과 통증 전문의 한예름입니다.



그림1.png



오늘은 제가 최근에 경험한 흥미로운 치료 사례를 통해,

많은 분들이 궁금해하시는 골반뼈 통증에 대해 이야기해보려고 해요.




특히 오른쪽 골반뼈 통증이나 왼쪽 골반뼈 통증으로 고생하고 계신 분들,

그리고 골반뼈가 아파서 일상생활이 힘드신 분들께는

꽤 도움이 될 것 같습니다.



딱 <3분>만 집중해서 읽어 주세요. ^^



영국에서 온 특별한 환자분



이분은 운동을 정말 좋아하시는 분이었어요.

그런데 5년 전부터 운동 강도를 조금만 올려도 골반과 사타구니 쪽에

찌릿한 통증이 생기기 시작했다고 하더라고요.



처음엔 단순 근육통 정도로 생각하셨나 봐요.

하지만 시간이 지날수록 통증은 더 심해졌고,

최근에는 앉을 때조차 찌릿한 통증이 느껴질 정도였다고 해요.



영국에서도 병원에 가보셨다고 하는데...

이게 참 아쉬운 부분이었어요. X-ray만 찍어보고는 별다른 문제가 없다며

경과를 지켜보자고만 했다는 거예요 ;;



5년이라는 시간을 그냥 버린 셈이죠...


그림2.jpg [원내 환자분들이 고통 없는 시간을 보낼 수 있도록 매일 열심히 진료 중입니다. ^^]



다행히 한국에 올 일이 생겨서 저희 병원을 찾아주셨는데,

이분을 처음 봤을 때 제 마음이 좀 무거웠어요.



왜냐하면 골반 통증이라는 게 생각보다 복잡한 문제일 수 있거든요.

단순히 뼈의 문제가 아닐 수도 있고, 관절이나 인대, 근육 등

여러 구조물이 연관되어 있을 수 있어서요.



환자분이 오셔서 증상을 설명해주실 때, 몇 가지 포인트가 제 눈에 들어왔어요.



✅ 운동할 때만 아픈 게 아니라 일상생활에서도 통증이 나타남

✅ 특히 앉을 때도 아프다는 점

✅ 양쪽 골반 모두 문제가 있어 보임

✅ 5년이라는 긴 시간 동안 방치됨



이런 증상들을 종합해보면, 단순한 근육 문제가 아닐 가능성이 높았어요.

그래서 신체검진부터 꼼꼼히 시작했죠.



신체검진에서 양쪽 고관절의 움직임이 제한되어 있고,

주변 부위에 압통이 있는 걸 확인할 수 있었어요.



이미 이 단계에서 어느 정도 진단의 방향을 잡을 수 있었지만,

정확한 원인을 파악하기 위해서는 영상 검사가 필요했습니다.



X-ray는 영국에서도 찍어보셨지만, 저희는 여기서 한 단계 더 나아갔어요.

MRI 촬영을 통해 연부조직의 상태까지 자세히 살펴본 거죠.


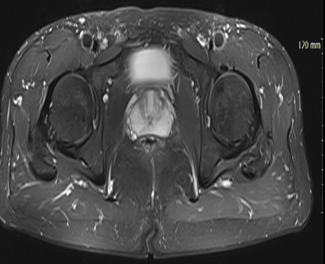
그림3.png

<Fig 1. 고관절 유착성 관절낭염으로 진단된 MRI>



결과는 예상했던 대로였어요.



특발성 고관절 유착성 관절낭염



처음 들어보시는 분들이 대부분일 텐데,

쉽게 말하면 관절 주변의 관절낭이라는 주머니가 염증과 함께 유착되면서

관절의 움직임이 제한되고 통증이 생기는 질환이에요.



진단이 나오고 나서가 더 중요했어요.

이 질환의 치료법은 명확했지만, 환자분이 많이 망설이시더라고요.



왜냐하면 SI (초음파 유도하)주사치료를 받아야 했는데,

영국에서는 이런 치료를 받아본 경험이 없으셨거든요.



사실 이해가 되더라고요. 외국에서 온 환자분이 처음 듣는 치료법을

바로 받아들이기는 쉽지 않잖아요.



그래서 제가 이렇게 설명드렸어요.



고관절 유착성 관절낭염은 방치하면 점점 더 악화되는 질환이라는 것,

심할 경우 걷는 것조차 어려워질 수 있다는 것,

그리고 초음파 유도하 주사치료가

현재로서는 가장 도움되는 치료법이라는 것을요.



다행히 환자분도 5년간의 고통이 워낙 심했던 터라 치료를 결심하셨어요.

다만 양쪽을 한번에 하기보다는 한쪽부터 시작해서 경과를 보기로 했죠.



그림4.jpg


극적인 변화 - 5년 만에 찾아온 희망


첫 번째 주사치료를 하고 나서...

정말 극적인 변화였어요.



5년 동안 괴롭혔던 그 찌릿한 통증이 거의 사라진 거예요.

환자분 표정이 확연히 달라지는 걸 보니 제 마음도 뿌듯하더라고요 ㅠㅠ



원래 출국 일정이 있으셨는데,

효과가 너무 좋아서 일정을 조정해서 다시 내원하셨어요.

반대편 골반에도 같은 치료를 받기 위해서요.



두 번째 치료까지 마치고 나서는 정말 가벼운 마음으로 출국하실 수 있었답니다.



환자분이 마지막에 하신 말씀이 지금도 기억에 남아요.



영국에도 저희 병원 같은 곳이 생겼으면 좋겠다고,

그러면 5년씩이나 고생하지 않아도 될 텐데... 하시더라고요.


그림6.png
그림7.png



골반뼈 통증, 왜 정확한 진단이 중요한가



이번 케이스를 통해서 다시 한번 느낀 건데,

골반 통증은 정말 다양한 원인으로 발생할 수 있어요.


많은 분들이 골반뼈가 아프다고 하시지만,

실제로는 뼈 자체의 문제가 아닌 경우가 많거든요.


1️⃣ 관절 문제: 고관절 유착성 관절낭염처럼 관절 자체의 문제

2️⃣ 근육 문제: 골반 주변 근육의 과긴장이나 염증

3️⃣ 인대 문제: 골반을 지지하는 인대의 손상이나 염증

4️⃣ 신경 문제: 골반 주변 신경의 압박이나 염증


그래서 단순히 X-ray만으로는 정확한 원인을 파악하기 어려운 경우가 많아요.

특히 연부조직의 문제는 MRI 같은

정밀 검사를 통해서만 확인할 수 있거든요.


이번 환자분도 만약 영국에서 MRI까지 찍어봤다면

훨씬 빨리 진단받고 치료받을 수 있었을 텐데... 아쉬운 부분이에요.


그렇다면 어떤 병원에 가야 할까요?


✔️ 접근성: 아픈 곳이 있으면 바로 병원에 갈 수 있고

✔️ 정밀 검사: MRI 같은 정밀 검사를 빠르게 받을 수 있고

✔️ 전문 치료: 초음파 유도 주사치료 같은 전문적인 치료를 받을 수 있고

✔️ 협진 시스템: 영상의학과와 통증의학과의 협진이 잘 이루어져 있고


이런 곳에 방문하면 많은 도움이 될 거예요. ^^



골반뼈 통증으로 고생하고 계신 분들께



진료를 하다 보면 골반뼈가 아프다고 하시면서 오시는 분들이 정말 많아요.



오른쪽 골반뼈만 아프다고 하시는 분도 있고,

왼쪽 골반뼈가 아프다고 하시는 분도 있고,

양쪽 다 아프다고 하시는 분도 있어요.



하지만 공통점이 하나 있어요.

대부분 참을 만하다고 생각해서 오래 방치하신다는 점이에요.



이번 환자분처럼 5년씩은 아니어도,

몇 달, 몇 년을 그냥 참고 지내시다가 정말 견디기 어려워서야

병원을 찾으시는 경우가 많거든요.



하지만 통증이라는 건 우리 몸이 보내는 신호예요.

뭔가 문제가 있다는 신호죠.



특히 골반 통증은 방치하면 점점 더 악화될 수 있는 질환들이 많아요.

이번 환자분의 고관절 유착성 관절낭염처럼요.



그래서 제가 항상 환자분들께 말씀드리는 게 있어요.



참지 마세요.



아프면 빨리 병원에 가세요.

정확한 진단을 받고, 적절한 치료를 받으세요.



그림5.jpg



오늘 이야기한 영국인 환자분은

지금 영국에서 다시 운동을 마음껏 하고 계실 거예요.

5년 동안 포기했던 취미를 다시 찾으신 거죠.



저도 이런 케이스를 볼 때마다 정말 뿌듯하고, 동시에 책임감도 느껴요.

더 많은 환자분들이 적절한 치료를 빨리 받을 수 있도록

도와야겠다는 생각이 들거든요.



골반뼈 통증으로 고생하고 계신 분들,

더 이상 참지 마시고 전문의와 상담해보세요.

생각보다 해결책은 가까이에 있을지도 모르니까요.



오늘도 진료실에서 만날 환자분들이 하루빨리 통증에서 벗어나

일상으로 돌아가실 수 있기를 바라며...



긴 글 읽어주셔서 감사합니다.

한예름 드림.





keyword
매거진의 이전글"엉치뼈가 아파요" 왼쪽 엉치뼈 통증 원인은?