brunch

뇌경색 초기증상 어지러움 골든타임 놓치면?

by 콕 선생님

진료실에서 가끔 이런 일이 있습니다.

환자분이 목 통증과 팔저림으로 오셨는데,

말하는 모습을 보다가 '어? 이거 뭔가 다른데?'라는 생각이 드는 순간들이요.



오늘 이야기할 환자분도 그런 경우였습니다.



안녕하세요.

10년간 수많은 뇌혈관 질환 환자분들을 만나오면서,

때로는 가슴이 철렁하고 때로는 안도의 숨을 내쉬게 됩니다.



이런 환자분들에게는 늘 더 빠르게, 더 신속하게

가까운 당일 mri 병원을 찾으라고 말씀드리고 싶어요.



아, 저는 콕통증의학과 신경과 전문의 조성호입니다.

잘 부탁드리겠습니다. ^^



그림16.png




오늘은 제가 최근에 겪었던, 정말 아찔했던 한 케이스를

여러분과 나누고자 합니다.



뇌경색이라는 것이 얼마나 교묘하게 우리를 속이는지,

그리고 왜 골든타임이 그토록 중요한지 실제 사례를 통해 말씀드릴게요.



목디스크 환자였는데... 뭔가 이상했어요



몇 주 전, 우측 팔저림과 목 통증으로 통증의학과에 오신 환자분이 계셨습니다.



이미 다른 병원에서 MRI를 찍고 목디스크 진단을 받으신 상태였죠.

주사치료를 받기 위해 지인 추천으로 저희 콕병원을 찾아주셨고요.



그런데 통증의학과 김환희 원장님이 환자분과

상담을 하시다가 저를 불러주셨어요.



발음이 조금 어눌한 것 같으시다고…



사실 이런 협진이 저희 콕병원의 장점 중 하나거든요.

통증의학과, 재활의학과, 신경과가 한 건물에 있다 보니

의심스러운 증상이 있으면 바로바로 서로 의견을 구할 수 있어요.



환자분을 만나보니... 네, 김 원장님 말씀이 맞더라고요.



목 통증과 팔저림에 대해 설명하시는데,

분명히 뭔가 발음이 부자연스러웠어요.

본인도 모르게 살짝살짝 말이 꼬이는 느낌이랄까요?



그 순간 머릿속에서 알람이 울렸습니다.



'이거... 단순한 목디스크가 아닐 수도 있겠는데?'




뇌경색의 교묘함 - 왜 놓치기 쉬운가



10년간 신경과 의사로 일하면서 가장 안타까웠던 게 뭔지 아세요?

골든타임을 놓친 뇌경색 환자들을 만날 때입니다.


그림17.jpg



"며칠 전부터 어지러웠는데 그냥 피곤해서 그런 줄 알았어요"

"목이 아프고 팔이 저려서 디스크인 줄만 알았어요"

"말이 좀 어눌했는데 감기 기운인가 싶었어요"



뇌경색 초기증상은 정말 교묘합니다.

너무 일상적인 증상들로 나타나기 때문에

환자분들뿐만 아니라 의료진도 놓치기 쉬워요.



특히 이런 증상들이 단독으로 나타날 때는 더더욱 그렇죠:



✅ 갑작스러운 어지러움

✅ 한쪽 팔다리의 저림이나 힘빠짐

✅ 말이 어눌해지거나 발음이 부정확해짐

✅ 갑작스러운 두통



이 환자분도 마찬가지였어요. 목디스크가 있으니까

팔저림은 당연하다고 생각했고,

말이 어눌한 것도 통증 때문에 그런가 보다 하고 넘겼던 거죠.



하지만 신경과 의사 눈에는 뭔가 달랐어요.



목디스크로 인한 팔저림과 뇌경색으로 인한 팔저림은

미묘하게 다른 패턴을 보이거든요.

그리고 구음장애(말이 어눌해지는 증상)는 목디스크로는 설명이 안 되는 증상이고요.



환자분께 상황을 설명드리고 당일 뇌 MRI를 진행했어요.



"혹시 뇌혈관 쪽 문제일 수도 있어서

확인해보려고 하는데, 괜찮으시죠?"



사실 환자분은 조금 의아해하셨어요.

목 때문에 왔는데 왜 뇌를 찍느냐고 하시면서요.



하지만 제가 꼭 필요한 상황이라고 설득했고,

환자분도 결국 저를 믿고 촬영을 진행했어요.



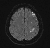
그림18.png

<Fig 1. 좌측 급성 뇌경색으로 진단된 뇌 mri 검사>



그런데 MRI 결과를 보는 순간...

심장이 덜컥 내려앉는 기분이었습니다.

좌측 대뇌에 급성 뇌경색 소견이 보였습니다.



그것도 꽤 선명하게요.



그 순간 정말 다행이다 싶으면서도 한편으로는 아찔했어요.

만약 김환희 원장님이 그 미묘한 구음장애를 놓쳤다면?

만약 저희가 단순히 목디스크로만 접근했다면?



골든타임을 놓쳤을 수도 있었거든요.



골든타임이 정말 중요한 이유



뇌경색에서 골든타임이라고 하면 보통 3시간에서 4.5시간을 말해요.



이 시간 안에 혈전용해술을 시행하면

막힌 혈관을 뚫어서 뇌세포 손상을 최소화할 수 있거든요.



그림19.jpg 출처: FibriCheck


하지만 이 시간을 놓치면...

뇌세포는 한번 죽으면 재생이 안 됩니다.

그래서 뇌경색은 정말 시간과의 싸움이에요.



이 환자분의 경우 다행히 증상 발생 후 얼마 안 된 상태였어요.

바로 분당서울대병원 응급실로 연계해서 혈전용해술을 받으실 수 있었죠.



지금은 회복 단계에 있으시고, 다행히 후유증도 거의 없는 상태예요.

정말정말 다행이었습니다 ㅠㅠ



뇌경색 MRI - 얼마나 정확할까요?



환자분들이 자주 물어보시는 게 있어요.

"MRI만 찍으면 뇌경색을 100% 알 수 있나요?"



답은... 복잡해요.



MRI는 분명 뇌경색 진단에 가장 정확한 검사입니다.

특히 DWI(확산강조영상)라는 기법을 쓰면

매우 초기 뇌경색도 발견할 수 있어요.



하지만 여기서 중요한 건 '언제' '어떻게' 찍느냐예요.



그림20.jpg



✔️ 증상 발생 후 너무 빨리 찍으면 아직 병변이 안 보일 수 있어요

✔️ 너무 작은 병변은 MRI에서도 놓칠 수 있어요

✔️ 뇌줄기 같은 부위의 미세한 경색은 판독이 어려워요



그리고 무엇보다 중요한 건,

MRI를 '찍어야겠다'고 판단하는 의사의 경험과 직감이에요.

이 환자분만 해도 다른 곳에서는

목디스크 MRI만 찍고 끝났을 수도 있거든요.



어지러움이 뇌경색 신호일 수도 있다는 이야기



뇌경색 초기증상 중에서 특히 놓치기 쉬운 게 '어지러움'이에요.



보통 어지럽다고 하면 이석증이나 전정신경염,

또는 그냥 피로나 스트레스 때문이라고 생각하잖아요?



하지만 뇌간이나 소뇌에 생긴 뇌경색은

어지러움이 주요 증상으로 나타날 수 있어요.

특히 이런 어지러움은 조금 다른 특징이 있어요:



1️⃣ 갑작스럽게 시작되고

2️⃣ 다른 신경학적 증상들과 함께 나타나고

3️⃣ 일반적인 어지럼증 치료에 반응하지 않아요



그래서 저는 환자분들께 항상 말씀드려요.



그림21.jpg



"평소에 없던 어지러움이 갑자기 생기고,

다른 증상들도 함께 나타나면 꼭 병원에 오세요"라고요.



특히 이런 증상들이 함께 있을 때는 더욱 주의하셔야 해요



✅ 어지러움 + 복시(물체가 두 개로 보임)

✅ 어지러움 + 구음장애(말이 어눌해짐)

✅ 어지러움 + 한쪽 팔다리 위약감

✅ 어지러움 + 보행장애



10년간 신경과 의사로 일하면서 정말 많은 뇌경색 환자분들을 만났어요.



그 중에는 골든타임 안에 오셔서 완전히 회복된 분들도 있고,

안타깝게 늦게 발견되어서 후유증이 남은 분들도 계세요.



가장 아쉬운 케이스들을 보면 대부분 이런 패턴이에요



"증상이 좀 이상했는데 하루이틀 더 지켜보자고 했어요"

"병원에 갔는데 단순 검사만 하고 집에 보내더라고요"

"응급실이 너무 복잡해서 그냥 집에 왔어요"



특히 마지막 건 정말 안타까워요.



저희 콕병원처럼 응급실은 없지만 당일 정밀검사가 가능한 곳들이 있거든요.

응급실이 부담스러우시면 이런 곳을 활용하시는 것도 하나의 방법이에요.



물론 의심증상이 있을 때 가장 좋은 건 큰 병원 응급실에 바로 가는 거지만,

증상이 애매하거나 확신이 서지 않을 때는

저희 같은 곳에서 1차적으로 평가받아보시는 것도 도움이 될 수 있어요.



오늘 이야기한 환자분은 정말 운이 좋았던 케이스예요.



그림22.jpg [많은 환자분들이 대기실을 지키고 계십니다. 전부 웃으며 돌아가실 수 있도록 노력하겠습니다.]



여러 요소들이 맞아떨어져서 골든타임 안에 치료받을 수 있었거든요.

하지만 모든 환자분들이 이렇게 운이 좋을 수는 없어요.



그래서 여러분께 당부드리고 싶은 건



� 평소와 다른 신경학적 증상이 갑자기 생기면 지체하지 마세요

� '단순할 거야'라고 자가진단하지 마세요

� 응급실이 부담스러우면 당일 검사 가능한 병원이라도 찾아보세요

� 정기적인 건강검진으로 위험인자를 미리 관리하세요



뇌경색은 정말 예측 불가능한 질환이에요.

하지만 초기 대응을 잘하면 충분히 좋은 결과를 얻을 수 있는 질환이기도 하고요.



혹시 비슷한 증상으로 고민이시거나,

궁금한 점이 있으시면 언제든 문의해주세요.

애매한 증상들로 고민이실 때는 저희가 도움이 될 수 있을 거예요.



오늘도 모든 분들이 건강하시길 바라며, 긴 글 읽어주셔서 감사합니다.

조성호였습니다. ^^





keyword
매거진의 이전글“골반뼈가 아파요” 왼쪽 오른쪽 골반뼈 통증 있어요