brunch

오른쪽 목담 걸렸을 때 병원 어디로 가야 하죠?

솔직히 말씀드릴게요

by 콕 선생님


"아침에 일어났는데 목이 안 돌아가요"


"그냥 자고 일어났는데 갑자기 이렇게 됐어요"


"어제까지만 해도 멀쩡했는데..."



진료실에서 정말 많이 듣는 말입니다.



목 담은 예고 없이 찾아옵니다.



어제까지 아무렇지 않았던


목이 어느 날 갑자기 돌이 된 것처럼 굳어버리고,


조금만 움직여도 찌릿한 통증이 목 전체를 타고 올라오죠.



특히 오른쪽으로 담이 걸리면 고개를 돌리는 것조차 고역이 되어버립니다.



안녕하세요.



목 담으로 응급실까지 가셨다가


결국 저희 병원을 찾아주시는 분들을 많이 뵙는,


콕통증의학과 통증 전문의 윤은장입니다.








%EA%B7%B8%EB%A6%BC3.png?type=w966





오늘은 실제로 제가 진료했던 한 분의 이야기를 통해,


목 담이 왜 이렇게 심하게 아픈지,


그리고 어떻게 치료해야 하는지 말씀드리려고 합니다.







환자분이 2일 만에 다시 찾아오신 이유







얼마 전 40대 남성분이 오셨어요.


목이 완전히 굳어서 정면만 보고 계시더라고요.



몸 전체를 돌려서 저를 보시는데,


그 모습만 봐도 얼마나 불편하실지 짐작이 갔습니다.



"선생님, 목에 담 걸린 것 같은데... 너무 아파서 왔어요"



검사를 해보니 오른쪽 목 근육이 심하게 경직되어 있었고,


조금만 움직여도 통증이 심했어요.



제가 CI치료를 권해드렸는데요.



"그게... 주사 맞는 거 익숙하지 않아서요. 좀 무섭기도 하고..."



이런 반응, 사실 처음이 아닙니다 ㅠㅠ



특히 C-arm이라는 영상 장치를 이용한다고 하면


더 긴장하시는 분들이 많거든요.



그래서 우선 진통제 처방과 물리치료만 시행했습니다.



그런데 2일 뒤.


같은 환자분이 다시 오셨어요.



표정이... 많이 지쳐 보이셨습니다.



"선생님, 너무 힘들어요. 그 치료... 해주세요"




당일 CI 주사 치료 가능한


콕통증의학과 오시는 길





?src=%22https%3A%2F%2Fblogthumb.pstatic.net%2FMjAyNTA4MTlfMjA2%2FMDAxNzU1NTY3MDczNTkx.zexEFxmSogwJN0pVyPZAb_oI37Q4bDmJeBMC9HtOjMAg.sMz6_2IxhqyVPat8ZtbVrmqWVzZXMJj0oQ7pszQ0-7gg.JPEG%2F%25BA%25ED%25B7%25CE%25B1%25D7_%25BB%25F3%25B4%25E3%25C0%25FC%25C8%25AD_%25B9%25E8%25B3%25CA__231024__%25C3%25D6%25C1%25BE.jpeg%3Ftype%3Dw2%22&type=ff500_300







2일 동안 약을 먹고 물리치료를 받으셨지만,


통증은 거의 나아지지 않았다고 하시더라고요.



밤에 잠도 제대로 못 주무셨고,


운전할 때 사각지대를 확인하려고 고개를 돌리는 게


너무 힘들어서 결국 마음을 정하셨다고 하셨습니다.








%EA%B7%B8%EB%A6%BC4.jpg?type=w966



[병원에 다시 찾아오시는 환자들이 많습니다. 그만큼 믿음을 주었던 거라고 확신하며 더 열심히 진료하겠습니다.]











왜 목 담은 이렇게 안 낫는 걸까요?







사실 목 담은 단순히 '근육이 뭉친 것'이라고 생각하기 쉬운데요.



실제로는 훨씬 복잡합니다.



목 주변의 근육이 갑자기 수축하면서 경직되면,


그 부위에 염증 반응이 일어나요.


이 염증이 신경을 자극하면서 극심한 통증을 유발하는 건데요.



문제는 이 염증이 약이나 물리치료만으로는


쉽게 가라앉지 않는다는 점입니다.



✅ 진통제는 일시적으로 통증을 줄여줄 뿐, 염증 자체를 해결하지는 못합니다


✅ 물리치료는 근육 이완에 도움이 되지만, 이미 생긴 염증에는 한계가 있어요


✅ 시간이 지날수록 근육은 더 굳어지고, 통증은 더 심해집니다



그래서 저는 급성기 목 담에는 CI치료를 권해드리는 편입니다.







CI 주사 치료, 대체 뭐길래?







CI(C-arm Intervention) 주사 치료는,


쉽게 말하면 경추 경막외 주사 치료입니다.



C-arm이라는 특수 영상 장치로 실시간으로 보면서,


염증이 생긴 경막 외 공간에 정확하게 약물을 주입하는 방법이에요.








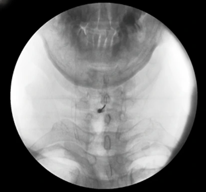
%EA%B7%B8%EB%A6%BC5.png?type=w966



[환자분의 목에 CI 주사 치료를 하는 장면입니다. C-arm이라는 장비를 통해 보고 있는 덕에 더 확실하게 병변 부위를 찾아 놓을 수 있죠.]







"그냥 주사 맞는 거랑 뭐가 달라요?"



이렇게 물어보시는 분들이 많은데요.



일반적인 주사는 아픈 부위 주변 근육에 약을 넣는 방식이라면,


CI치료는 염증의 '근원'에 직접 약물을 전달합니다.



1️⃣ C-arm으로 실시간 영상을 보면서 정확한 위치를 확인합니다


2️⃣ 경막 외 공간에 직접 약물을 주입해 염증을 씻어냅니다


3️⃣ 신경 주위의 부기와 염증이 빠르게 가라앉습니다



대학병원에서는 기본적으로 시행하는 치료법인데,


일반 병원에서는 장비나 숙련도 문제로 쉽게 접하기 어려운 게 사실이에요.



저희 콕은 서울대병원에서 트레이닝을 받은


통증의학과 전문의가 직접 시술하고 있답니다. ^^



그 환자분, CI 주사 치료를 받으신 후 어땠을까요?



치료 직후부터 "어? 좀 나은 것 같은데요?"라고 하시더니,


다음 날 오셔서는 표정이 완전히 달라져 계셨어요.



"선생님, 깜짝 놀랐어요. 진작 할걸 그랬네요"



목을 좌우로 돌리시는데,


처음 오셨을 때와는 비교가 안 될 정도로


부드럽게 움직이시더라고요.



통증도 거의 없다고 하셨습니다.


현재는 재발 방지를 위해 도수치료만 받으시면서


경과를 지켜보고 있는데요.



"처음엔 너무 아파서 어떻게 될까 싶었는데,


이렇게 빨리 좋아질 줄 몰랐어요. 너무 신기해요"



이런 말씀을 들을 때마다 이 일을 하길 잘했다는 생각이 듭니다.








%EA%B7%B8%EB%A6%BC6.png?type=w966









목 담 걸렸을 때, 어느 병원을 가야 할까요?







사실 목 담으로 응급실에 가시는 분들도 많아요.


밤늦게 갑자기 아프기 시작하면 응급실밖에 갈 데가 없으니까요.



하지만 응급실에서는 대부분 진통제 처방과


간단한 주사 정도만 시행하고 끝나는 경우가 많습니다.



응급실은 말 그대로 '응급' 상황을 다루는 곳이니까,


전문적인 통증 치료까지 받기는 어렵죠.



그래서 목 담으로 병원을 찾으실 때는


이런 점들을 확인해보시면 좋습니다.



✔️ 통증의학과 전문의가 있는지


✔️ C-arm 같은 영상 장비가 있는지


✔️ 신경차단술 주사를 시행하는지



"그냥 동네 정형외과 가면 안 되나요?"



물론 가벼운 담이라면 일반 치료로도 좋아질 수 있어요.



하지만 2~3일 지나도 나아지지 않거나,


통증이 너무 심해서 일상생활이 불가능하다면


전문적인 치료를 받으시는 게 맞습니다.







치료 후에는 어떻게 관리해야 할까요?







CI 주사 치료로 통증이 좋아졌다고 해서 끝이 아닙니다.



재발을 막으려면 평소 관리가 중요해요.



그 환자분도 지금은 도수치료를 받으시면서


목 주변 근육의 균형을 잡아가고 계십니다.








%EA%B7%B8%EB%A6%BC7.png?type=w966





1️⃣ 올바른 자세 유지하기


→ 모니터는 눈높이에 맞추고, 턱을 당기는 자세를 유지하세요



2️⃣ 규칙적인 스트레칭


→ 1시간마다 한 번씩 목을 천천히 좌우로 돌려주세요



3️⃣ 적절한 베개 높이


→ 너무 높은 베개는 목에 부담을 줍니다



4️⃣ 스트레스 관리


→ 스트레스는 근육을 긴장시키는 주요 원인입니다



"이런 거 지키기 쉽지 않은데요..."



네, 저도 압니다;;



그래서 진료실에서는 환자분들께 현실적으로


실천 가능한 방법들을 알려드리려고 노력하고 있어요.



완벽하게 지키려고 하지 마시고,


하나씩 천천히 습관을 만들어가시면 됩니다.



목 담은 누구에게나 찾아올 수 있는 흔한 증상이지만,


제대로 치료하지 않으면 일상생활이 정말 힘들어집니다.



2~3일 기다려봐도 나아지지 않는다면,


참지 마시고 전문적인 치료를 받으시길 권해드립니다.



그 환자분처럼 "진작 할걸"이라고 후회하지 마시고요.








%EA%B7%B8%EB%A6%BC8.png?type=w966





목이 자유롭게 움직일 수 있는 일,


통증 없이 하루를 보낼 수 있는 일.



너무 당연해서 평소엔 느끼지 못하지만,


잃어봐야 그 소중함을 알게 되는 듯합니다.



저는 앞으로도 통증으로 힘들어하시는 분들이


빠르게 일상으로 돌아가실 수 있도록 최선을 다하겠습니다.



긴 글 읽어주셔서 감사합니다.


윤은장 드림




keyword
매거진의 이전글후두신경통 약, 마사지로 안 낫네요