돌이킴

4년간 이어진 치과 교정 치료 대신 발치를 결정하며

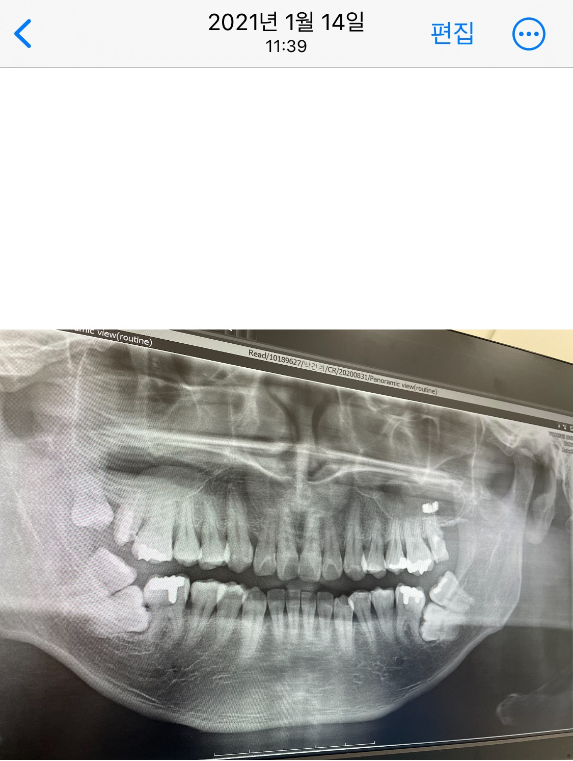
2021년 1월과 2024년 10월, 오른쪽 어금니 임플란트 결정


돌이켜야 할 때가 있다.

너무 많이 걸어서,

너무 큰 비용이 들어서,

너무 많은 시간을 투자해서,

조금만 더하면 잘될 거 같아서,

그것이 잘못된 길인 걸 알면서도 궤도에서 내려오지 못할 때가 있다.


나에겐 교정이 그렇다.

사랑니와 어금니 양쪽 다 매복치라는 사실을 알았을 때,

나에겐 두 가지 선택권이 있었다.


사랑니를 빼고 어금니를 교정하는 몹시 어렵지만 내 치아를 지키는 길,

그리고 둘 다 발치하고 임플란트를 하는 길.

교정 당시 35세였으니, 임플란트를 생각하기엔 너무 이른 나이라고 판단해서 최대한

자연치를 지키고 싶었다.

팬데믹 초반에 한국에 갇힌 바람에 기회다 싶어 동네 치과를 갔는데,

논문 같은 곳에서 봤을 법한 케이스라고 대학병원에 가라고 했다.


대학 병원, 내가 한국에 있을 때 MOU*를 체결했던 대학 병원이 있으니 안심하고 갔다.

교수님들이 여러 이야기를 나눈다. 그중 가장 선임인 교수님이 그래도 젊으니 해보자고 하신다.

희망이 가득한 치료의 여정이 펼쳐지 거라고 생각했다.

6개월 정도면 교정이 끝나지 않을까 싶었다.

생각보다 일찍 칭다오에 복귀하게 되었고, 교정 치료를 잠시 멈추게 되었다.

이곳에서 현지 치과에 가라고 했지만, 팬데믹을 핑계로 가지 못했다.

그사이에 나를 주로 봐주던 전공의 선생님은 수료했고, 어려운 결정을 했던 교수님은 은퇴하셨다.

새롭게 바뀐 의료진과 치료를 할 때부터 무언가 정체기를 만난 기분이었다.

매복치를 들어 올리자 오랜 시간 매복된 탓에 치아는 망가져 있었고, 치료가 시급했다.

치료는 시급한데 교정기가 있어 치료하기 어려웠다. MOU 덕분에 할인을 받아도 이미 6백만 원이 넘게 들어간 상황에서

다른 선택을 하는 일은 쉽지 않았다.


친절함과 간절함이 만난 결과, 현재 내 어금니는 신경치료가 시급한 상태로 교정을 하고 있다.

교정을 하면 발치를 하고 임플란트를 할 수도 있는 상황,

여러 가지 고민 끝에 그냥 발치하기로 결정했다.

다른 치아는 교정을 거의 마쳤다는 사실에 위안을 받으며, 결정했다.


이런 글을 쓰는 이유는 이 깨달음의 비용이 거의 돈 천만 원이기 때문이다.

통장에 처음으로 천만 원이 찍혀봤던 날을 기억한다.

속은 후련하다. 주식 등 투자하지 않는 내가 살면서 무언가 잃어버릴 게 있겠나 싶었는데,

이렇게 시간과 비용을 잃고 나니 후련해진다.


살면서 얼마나 많은 잘못된 선택을 할까,

중요한 것은 그 선택의 끝, 그러니까 지금 나와 같이 막다른 골목을 만나 돌아가야 할 때,

나의 실패를 인정하는 일과 그 실패를 '재수'와 '운'이 없다는 것으로 치부하지 않는 것과 뼈저리게 반성하는 일이

중요하다는 사실을 기억하고 싶다.

돌이킴의 미덕은 언제나 같은 실수를 반복하지 않는 것이니까.

사랑니 4개를 뺏는데, 이제 어금니 하나를 또 발치한다.

그래도 감사한 일은,

마흔이 다 될 때까지 아직 스트레스 때문에 치아가 빠진 일은 없다는 것.

나는 오늘 "발치하겠습니다."라는 내 돌이킴에, 결정에,

감사를 느낀다.


온갖 고통 중 남성이 느낄 수 있는 최대치의 고통은 치통이지 않을까 싶다.

모든 친절과 선한 마음이 좋은 방향으로 가진 않는다는 사실도 보너스로 가져간다.

_칭다오에 사는 이방인, '돌이킴'

매거진의 이전글2024 칭다오에 사는 이방인 단어들 001