brunch

뇌의 앞쪽과 뒷쪽

by Kyung Mook Choi
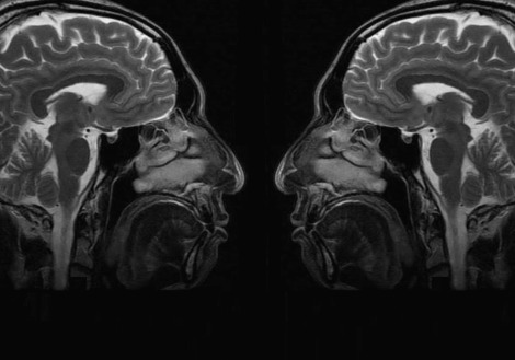
뇌 앞쪽 뒷쪽.jpg 마주보는 뇌

우리 뇌는 크게 나누면 앞쪽 뇌와 뒷쪽 뇌가 있다. 뒷쪽 뇌는 주로 외부에서 들어오는 감각정보를 받아들이고 앞쪽뇌는 뒷쪽 뇌에서 들어오는 정보를 해석하고 행동하고 조절한다. 감각피질(뒷쪽)과 운동피질(앞쪽)을 나누는 중심회(central sulcus)를 중심으로 앞쪽과 뒷쪽을 나누는데, 전두엽이 앞쪽에 있고 이 영역은 감각이나 감정을 해석하고 조절하고 억제한다. 시각, 청각, 촉각 등의 감각들은 뒷쪽뇌가 담당한다.

뒷쪽 뇌에서 제대로 정보가 들어오지 않을 때도 문제가 생기지만 뒷쪽에서 들어오는 감각 정보를 제대로 해석하고 조절하고 통제하지 못할 때는 더 큰 문제가 발생하게 된다. 치매나 뇌졸중, 뇌의 외상 등으로 전두엽이 손상되었을 때 성격이 변하거나 제대로된 판단을 못하게 된다. 그래서 뇌의 앞쪽에 위치한 전두엽의 기능은 삶의 바람직한 전반적 활동에서 매우 중요하다.

사회에서 만나는 사람들 중 전두엽이 제대로 기능하지 못하는 사람들의 특징들은 분노조절의 문제, 자기 성찰의 문제, 낮은 지능, 낮은 사회성, 성격장애, 맥락적 분위기 파악의 문제 등이 있다. 우린 앞쪽 뇌를 잘 써야 원만하고 행복한 사람이 된다. 그래서 살아가는 동안 이 영역을 잘 발달시켜야 한다. 그래야 행복하고 만족스러운 삶을 살 수 있다.


나이 들어가면서 물질적인 측면의 많은 부분을 차지하는 돈이 없어도 문제지만, 정신적인 미성숙으로 주변에 좋은 친구들이 없는 것은 더 큰 문제다. 세상을 떠날 때, 우리 삶을 돌아볼 때 그 차이는 더 명확해진다. 살면서 앞쪽뇌를 제대로 사용하지 않으면 세상을 떠날 때 우리는 많은 불행을 반추하게 된다.

~ KM Choi

keyword