한국인이 가장 많이 틀리는 영어단어

선생님 오른쪽이요? 제 오른쪽이요? 방향과 의학용어

by 단어의 뒷모습
방향에 관한 용어들

한국인이 가장 많이 틀리는 영어단어가 무엇인지 아세요? 4글자로 되어 있습니다. 바로 Pull 입니다. 문이 잠겼나 하고 유리문 안쪽의 주인을 바라보면, 저를 한심하다는 듯 처다보고 있죠. 오른쪽, 왼쪽, 위, 아래등등 왜 이렇게 틀릴까요? 바로 기준점이 명확하지 않기 때문입니다. 이렇게 어려운 위치와 방향에 관한 용어들을 이야기 하겠습니다.



모든 것의 시작, 해부학적 자세 Anatomical position

먼저 여러분들이 짚고 넘어가야할 약속이 있습니다. 바로 anatomical position(아래 그림)입니다. 일종의 약속이예요. 신체 부위를 이야기하다 보면, 뒷쪽, 왼쪽, 아래쪽 등이 헷갈리기 쉽습니다. 사람의 자세에 따라 앞뒤도 달라지거든요. 차렷 자세를 하면 엄지가 앞쪽이지만, 손바닥을 위로하고 누우면 손바닥이 앞쪽이 되버립니다. 엄지가 앞일까요? 손바닥이 앞일까요? anatomical position에선 손바닥이 앞쪽이예요. 왜냐구요? 그냥 약속이예요. anatomy란 말이 위쪽 upward를 뜻하는 ana~ 와 해체, 해부 dissection을 뜻하는 ~tomy가 합쳐진 말이예요.


토미(~tomy)는 '토막을 내다' 라고 기억하세요.


토미(~tomy) = '토막을 내다', ~ectomy라고 하면 절제술이 됩니다.

appendectomy = 충수돌기(appendix) 절제술

hysterectomy = 자궁(hystera; uterus) 절제술

tonsillectomy = 편도(tonsil) 절제술

gastrectomy = 위(gastr(o)) 절제술

thyroidectomy = 갑상선(thyroid) 절제술


그래서 CT스캔도 computerized tomography라고 해요. 잘라서(tomo) 기록한다(graphy)라는 뜻이죠. 그런데, 이걸 실제가 아닌 컴퓨터로 하는 것이니까 computerized tomography가 되는 겁니다.


stranger-things-Vecna.jpg 정확한 해부학적 자세, 손의 방향에 주의하세요(넷플릭스, 기묘한 이야기)

anatomy는 위를 보고 누워서 잘라서 모양을 안다는 말이니까, 차렷보다는 손바닥을 위로한게 맞지 않을까요? 그런데, anatomical position은 누운 자세가 아니라 서있는 자세에요, 아래 그림과 같이 손바닥을 앞으로 하고 서있는 자세에서 모든 것을 따지게 되요. 앞서 배운 숫자보다, 더 많이 나오는 prefix니까 좀 지루해도 꼭 알아두셔야 해요.


The three planes most commonly used in anatomical and medical imaging



위 아래, 위 아래 superior / inferior

영어공부 하실 때 above, below, upper, on, beneath, 등등의 차이를 배우시던 기억이 날거예요. 의학용어는 훨신 간단해요. 일단 위, 아래를 뜻하는 말로 superior랑 inferior를 알아두세요. hyper, supra, hypo, sub도 비슷한데 약간 느낌은 다르지만 여러 단어에 다양하게 붙여서 사용합니다. 일단 느낌은 아래 표처럼 정리하시기 바랍니다.


우리 어깨뼈를 보면 날개뼈라고 하죠? 삼각형 모양의 뼈가 있어요. 이 뼈는 어깨라는 뜻의 scapular라고 해요. 이 scapular라는 뼈에는 가운데 돌기가 있어요. 의학 용어에서는 튀나온 것을 이르는 말이 엄청 많아요. 이중에 spine이란 말이 있습니다. 라틴어의 spina가 ‘thorn, prickle, backbone’ 이란 뜻이거든요. 이 가운데 튀나온 부분을 scapular spine 이라고 합니다. 어깨 뼈의 가시 돌기란 뜻입니다. 허리 뼈에서도, 등의 한가운데서 만져지는 울퉁 불퉁한 뼈를 ‘가시처럼 튀나온 돌기spinous process(가운데 그림)’라고 해요. process는 돌기, spinous는 가시처럼 나왔다는 모양을 이야기 합니다.



어깨 뼈에서 이 돌기는, 상단 1/4 부위에 가로로 튀어 나와 있습니다. 마치 산맥처럼 생겼지요. 이 돌기를 중심으로 위, 아래에 아주 중요한 근육이 두개 붙어 있어요. 돌기(spine)에 붙어 있다고 둘 다 근육 이름을 spinatus라고 합니다. ~tus는 근육에 자주 붙는 접미사예요. 윗쪽에 있는 근육은, spine 윗쪽에 있으니까 supra·spinatus가 되고요, 아랫쪽에 있는 근육은 infra·spinatus가 되요. 이런 식으로 supra/ infra가 prefix로 쓰이니 앞으로도 많이 보게 될 거예요.


안쪽 밖쪽 latearl / medial


다음은, 많이 헷갈려하는 lateral 과 medial 이예요. medial을 안쪽, lateral을 바깥쪽이라고 하는데, 여러분들 마음 속에 있는 안, 밖의 경계 기준을 잊어 버리세요. 일반 영어에서 inside와 outside라고 생각하면 되요. 이 medial은 무조건 중앙 축에 가까운 것을 의미합니다. anatomical position 그림을 함께 보시기 바랍니다. 엄지 발가락은 medial side에 있습니다. 새끼 발가락에 비해서 중앙축에 가까우니까요. 그럼, 엄지 손가락은 medial일까요? lateral일까요? 예, 엄지 발가락이랑은 반대로 lateral side 입니다. 손은 새끼 손가락이 중앙축에 가까이 있어서 medial side of hand 에 있습니다.

무릎이나 손목, 팔꿈치 같은 관절은 안정성을 위해 모두 안밖에 인대가 있습니다. 인대는 ligament라고 하는데 안팍 (lateral/ medial) 으로 두개씩 짝을 이루어 있기 때문에 collateral ligaments라고 부릅니다. 안쪽에 있는 것은 medial collateral ligament가 되고, 바깥쪽에 있는 것은 lateral collateral ligament라고 해요. 이 두 종류의 collateral ligaments는 손목, 발목, 팔꿈치, 무릎에 모두 존재합니다.

anatomy-of-the-knee.jpg


그중에서 여러분이 이미 알고 있는 ligament 는 medial side에 있는 팔꿈치 collateral ligament예요. 이 ligament는 야구에서 투수들이 지나치게 혹사하는 ligament여서 결국에 끊어지고 못쓰게 되어버리죠. 이 끊어진 medial side의 ulnar collateral ligament의 손상을 회복시키는 것이 유명한 Tommy John Surgery 예요.


Supra·spinatus
Infra·spinatus
Anterior cruciate ligament
Posterior cruciate ligament


앞뒤를 구별하자 anterior / posterior


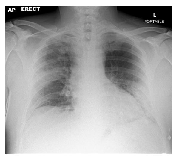
앞쪽은 anterior 라고 하고, 뒷쪽은 posterior라고 해요. anatomical position에서 배꼽은 anterior에 있고, 손등은 posterior에 있습니다. 엑스레이를 촬영하면 우리 몸을 관통해서 찍기 때문에 좌우를 구별하기 어렵습니다. 사진만 봐서는 앞에서 찍었는지 뒤에서 찍었는지 모르기 때문에, 좌우구별도 불가능합니다. 그래서, 좌우와 앞에서 찍었는지 뒤에서 찍었는지를 꼭 기록해 놓습니다.

그래서 엑스레이 필름을 보면 이렇게 좌우를 나타내는 L 혹은 R 이있습니다. 그 외에 왼쪽 상단에 보면 AP라는 말이 있죠? 이게 앞에서 뒤를 향해 찍었다는 말이예요. anterior → posterior를 AP로 쓴 것입니다. 옆에 erect란 말은 서서 찍었다는 이야기 입니다.

우리가 많이 부상을 당하는 무릎 부위 중에 십자 인대라는 것이 있습니다. 십자가는 cross라고 하죠? 의학 용어에서 십자가 모양을 cruciate라고 합니다. 십자인대는 십자가 모양이라고 cruciate ligament라고 합니다. 십자가가 두개의 나무로 만들어지듯이, 십자인대도 두개의 인대가 십자가처럼 겹쳐져서 십자 모양을 만들고 있습니다. 경골(tibia)의 앞쪽에 부착된 십자인대를 anterior cruciate ligament, ACL이라고 하고, 뒷쪽에 부착된 십자인대를 posterior cruciate ligament, PCL이라고 합니다. 달리기나 축구를 하다 많이 부상을 당하는 인대이기도 합니다.



오늘 배운 단어들입니다.


anatomical position
anterior / posterior
superior / inferior
lateral / medial


모두 맞추셨나요? 다음 편에서 방향에 관한 용어들을 좀 더 이어가 보겠습니다.

keyword
이전 06화질병을 나타내는 접미사들