brunch

소아특발성관절염 턱관절염 발생시 고려사항

턱관절염증과 안면비대칭 관계

by 한의사 이훈희
소아특발성관절염이란

소아 특발성 관절염이라 할 때 16세 이하의 소아에서 적어도 6주 이상, 하나 또는 여러 관절에 만성적으로 염증이 나타나는 것을 말합니다. 이름이 꽤나 생소하지만 어린이들에게 생기는 가장 흔한 류마티스 질환이라고 생각하면 쉽습니다. 약 10만명 당 14명 꼴이었으나 최근에는 빈도가 더 늘어나고 있는데요.


침범하는 관절 수에 따라서 다수관절형, 소수관절형으로 나뉘는데요. 다수관절형이란 적어도 5개 이상의 관절에 영향을 미치는 것입니다.


소아특발성관절염은 전신 증상이 나타나는 전신형, 다관절형, 소수관절형, 건선관절염, 착부염관절염, 미분류 관절염 등으로 나뉘는데요.




만약 턱관절에 염증이 생긴다면?

오늘 제가 말씀드릴 내용은 소아특발성관절염이 턱관절에 미치는 영향에 대해서 소개해드릴 예정입니다.

HABowptj58HE1M9L9PX86Se8iXKMlYw1sdDk3ZUOkBRmurFQXbm9yaxQeSWyvUJH0fZIr4oZ7cv4y2nnTdCEelhxa3m5Q6vxLaCCwcqX7d8VUgaFWeyJtWUJmCSEPW8_cyO5HbKX

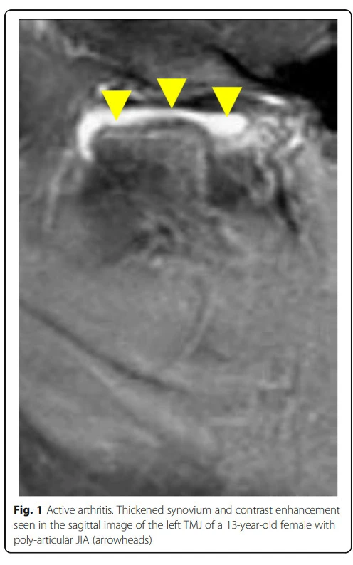
그림출처: Stoll, Matthew L., et al. "Temporomandibular joint arthritis in juvenile idiopathic arthritis, now what?." Pediatric Rheumatology 16.1 (2018): 32.


소아특발성관절염(Juvenile idiopathic arthritis, 앞으로 JIA라 약하겠습니다)이 턱관절에 침범하여 활동성인 경우에 나타나는 소견입니다. 왼쪽에 활막이 매우 비후해진 것을 볼 수가 있습니다.


활막(활액막)이 무엇인지는 잠시 턱관절의 해부단면을 잠깐 살펴보겠습니다.

ST7jdvdtrWQEX0rr6gpDRqQ5R9MYfVtrFKS9xL35tl1spbaxxbiNeElWwBdqHcr2EsUbJxcIXGZc89kODFq-r2vw9Q8a3vZF_6rr573_802kVtqILwM4gKc9IQUwrjIzcCynOPiF


턱관절은 위의 측두골과 아래의 하악골 사이의 연접관절로 되어있습니다. 뼈 두개가 붙으려면 이 두개를 붙게 만들어주는 지지조직과 완충조직들이 있어야겠죠? 이때 두개의 뼈를 지지해주는 것이 인대이며 디스크를 보호해주는 cllateral ligament가 안에 들어가있고 그 외층으로 캡슐을 싸주는 형태로 인대가 보호해주고 있습니다.


이때 뼈와 뼈 사이를 완충해주는 역할을 턱관절 디스크가 하는데 디스크는 다시 표면을 싸고 있는 활액막으로 덮여 있고 위아래에 약간의 공간이 있어 이를 관절강이라 부르는데 이것이 위아래로 있게 됩니다.


아까 위의 사진에서 활막이 두꺼워지는 소견은 바로 윗그림의 synovial membrane이 두꺼워진 것이라 보시면 되는데 두께만 딱 봐도 염증이 심하다는 것을 알 수가 있습니다.


8ofkga3ZUoTKtEytRC_wJ37cbgOsvrUEUeV3v68UGII-3vZ5aHBNhsvcGb8BEy2FuY8DiKxipciuGhkoqTv6Cb3KnvRMY-rzJrnmDJZo1hZ3V_B-TglQcI210FGjD2qilvsY53Ve

관절강으로 직접 병변을 관찰하니 붉게 올라온 염증 소견을 바로 확인이 가능하네요.



안면비대칭의 시작
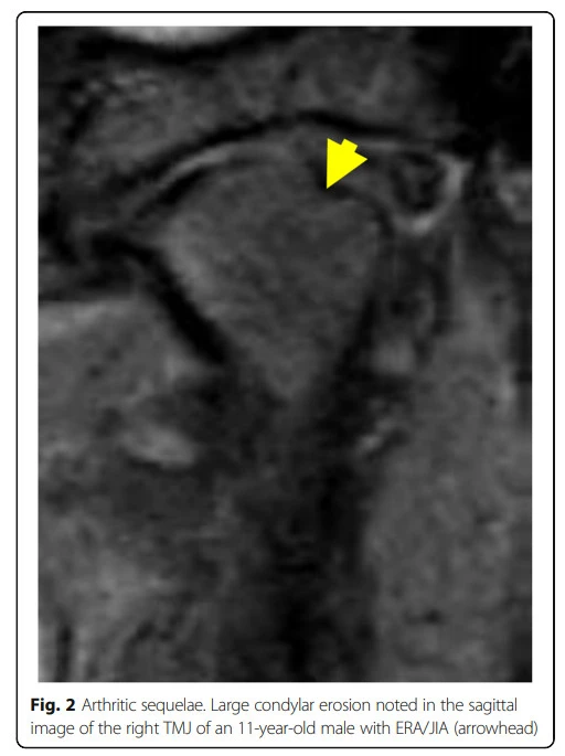
ptl15VD0NpksPDvVNuph2Pom4LTunQVX8DwlbQZNrx6rgimMj3XHEnHcy3boKiQ3e1BSfDpwXW5blsq0h_x1FY38cRBPvY46h2EGCeQT9VzB0MfHGl02-0w7ZmZ8eXVpnFmTeG4Y


문제는 바로 위와 같이 뼈 자체가 녹아버린 것입니다. 저렇게 erosion이 생겨버리면 두 뼈의 위치관계가 달라질 수밖에 없는데 자연스럽게 반복되는 저작운동으로 인하여 부식된 부위의 공간만큼 하악골의 상방이동이 일어날 수밖에 없게 됩니다.


저 지점이 바로 안면비대칭의 첫 시작입니다. 턱관절 증상이 발생하였을 때 안면비대칭을 염두에 두고 치료를 시작하는데, 그 이유가 바로 턱관절 염증이 심하면 심할수록 저렇게 조직손상이 이루어질 수가 있기 때문입니다.

wS52YnLnZTr3PGJLB-3vZc-8NO43zsoZ965whL29AjlSfiOELnlP48ZjWx1GOv2fbdQaaej9bso00i5q4QKwW-6_928qhjX5LvV_h-jls161QRVOKF07KPTL8TJCbye4mfqsGgnQ

턱관절 증상이 이환된 부위의 하악과두가 손상되어 좌우의 하악과두의 길이차이가 발생한 것을 볼 수가 있습니다. 그렇기 때문에 턱관절 불안정성이 발생하게 되고, 한쪽으로 관절유합이 진행된 상태에서 성장이 아직 완료가 되지 않은 시점이면 성장하면서 하악골 좌우길이의 편차를 더 만들어버리게 됩니다. 그래서 턱관절은 조기치료가 핵심일 수밖에 없습니다.


적절한 관리와 치료가 중요
6_XYkO0A6MwFGGl7GvC5IYF87sbWI8Q8Vy5uus5rL1DCxs473dxgclnaXnXQ_UfJXU0iNEVKicVVF6QpYQ7GB8GbLTUgbGAhThdK-prd924Yz2GOYXf_MZuT0Ld7bf7Sv9blb8tr

초기에 적절한 치료를 받게 되면 좌우 턱균형이 맞춰지면서 성장이 이루어지게 되어 안면비대칭의 진행속도를 늦추는 한편, 만족스러운 정렬을 이룰 수가 있는데요. 시기가 이미 늦어버린 경우도 많습니다. 이때에는 이미 턱의 중심편위가 5도 이상 진행된 경우도 많습니다.


gzGHrhHN4bpGQcb5ySlB5k4nCzJyy4BfSAdWPTX0s1cjrEpOvCm7Hz4x_F3lcdNLS7j87Cjf1OHZQhgBVKql5Jm1strS2q0rmMe2ASolzp59PHotHHfDJDrbRmCcZ5cd43qiFLZG

턱중심 편위는 바로 MLD의 각도를 말하는 것입니다.



자가진단시에 턱의 중심, 하순소대(아랫입술을 아래로 내리면서 잇몸 부위에 관찰되는 끝같은 조직)의 중심이 한쪽으로 편위된 것 같다 느끼시면 바로 진단을 받고 적절한 치료를 받아보시는게 도움이 됩니다.







keyword
작가의 이전글턱관절 균형장치 활용과 안면비대칭 교정(대구 미올)