brunch

안면비대칭교정 소소한 이야기(대구미올한의원)

대구안면비대칭교정한의원 이야기

by 한의사 이훈희
안면비대칭은 왜 턱관절을 염두에 두어야 할까!


턱관절은 얼굴 유일의 관절입니다. 관절은 뼈와 뼈가 맞닿아 있는 부위에 근육, 인대, 활막 등 여러 조직들이 모여 하나의 조직복합체를 이루고 있는데요. 관절마다 해야하는 고유한 역할이 있는데, 턱관절에서 제일 중요한 것은 입을 열고 닫을 때 올바른 구조를 통하여 균형을 유지하는 것입니다.


Rst_jcTtFz6w0jzWzetfQwun-172eGgN-qYwUazp8rDKKIh97Ll_aNNWV2LFD81WZP0QwnvPB8evdfLdXM3yCPd1ZGM_OBrm5N5PqzdF7MOLHsAvBL519e6xKQDua-9Wfj81FkZ1

자 이사진을 보시면 턱관절의 위아래 주요구조물들을 확인해볼 수가 있습니다. 위아래 뼈는 측두골과 하악골을 각각 의미합니다. 또한 이들 뼈 사이로 베게 모양의 디스크가 있는데 여기서는 articular disc라고 표현된 것을 보실 수가 있습니다. 이 디스크는 활막이라고 하는 막으로 쌓여서 보호를 받고 있는데 마치 디스크가 섬유륜으로 쌓여서 보호받고 또한 이중으로 인대에 의해 지지받는 것처럼 이중삼중구조로 디스크가 보호가 되고 있습니다. 턱관절 역시 마찬가지로 활막과 함께 주위 공간은 space로 약간 완충하기 좋은 구조처럼 되어 있고 또한 그 주변에는 인대들이 질기게 안팎으로 잡아주고 있어서 구조적으로 안정적인 모습을 보이게 됩니다.


그러나 실상으로 턱관절은 운동이 굉장히 많이 일어나는 관절입니다. 손목을 안쓰고 살 수 있어도 안먹고 살 수는 없겠죠? 그렇기 때문에 입을 벌리고 닫는 행위, 음식을 먹는 행위에 의해 이 디스크는 지속적으로 완충작용을 해주면서 하악골이 측두골 사이를 잘 슬라이딩하여 전후방 롤링운동이 잘 일어날 수 있도록 해주게 됩니다.



살다보면 여러 일이 일어난다!
SHpgqIWQFgyYVVF6eIr2hVTtVLn_F2xs4fdt79ds9S_96kMkl1ytRkWaj8GQtR-jGLTqRnaGj_TiGAcCjYtcXQS15hgl47AL86In2Jho4FY17sdGZOaO2PkfbF0w3eH05n0L9pSM

게중에 젤 흔한 유형이 턱관절디스크장애일 것입니다. 턱관절디스크장애가 원래 있던 위치에서 앞쪽으로 튀어 나가면서 뼈와 뼈 사이에 완충해줘야할 조직의 위치가 바뀌면서 제역할을 다 못하게 되는 것입니다. 이런 일들은 한쪽 턱 근육을 과사용한다든지, 일자목 경향이 있어서 턱관절이 지속적으로 부하를 받는다든지, 턱관절의 안좋은 습관이 있다든지 등의 문제 등으로 일어나는데 여성에서 보편적으로 더 많이 일어나게 됩니다.


디스크가 앞쪽으로 나가면 처음에는 소리가 발생을 합니다. 이때 소리는 개구 폐구 과정에서 두번 나는데 이런 소리를 click소리, 딸각딸각소리라고 표현하기도 합니다. 물론 보다 유식한 말은 염발음입니다. 처음에 나는 소리는 입을 벌릴 때 하악골의 끝부분(하악과두라 부릅니다)이 앞으로 더 나가면서 이때 턱관절디스크는 잠시 제자리를 회복하는데 이때 좁은 공간을 비집고 나오면서 딸각 소리의 마찰음이 발생을 하고 이런 과정을 복원이라 부릅니다. 복원이란 말은 잠시 제자리에 들어온다는 뜻입니다.


두번째 소리는 다시 입을 닫으면서 제자리에 잠시 위치해있었던 디스크가 앞으로 다시 편위되면서 딸각 소리가 발생을 하며 결국에 이런 두번의 소리가 지속적으로 나게 되는 시기가 바로 턱관절 소리의 첫 시기가 됩니다.


첫 시기...라고요?

그럼 소리가 양상이 더 바뀌게 될 수도 있겠죠? 당연합니다. 디스크는 점점 마모가 되는 한편 뼈와 뼈 사이는 계속 유합이 되고(붙어버린다는 뜻입니다ㅠㅠ) 그러면 점차로 뼈와 뼈가 소리가 내면서 소리가 점차로 더 커지는 시기가 있는데, 이때는 딱딱 소리가 발생을 하게 됩니다.


그리고 이 시기가 지나면 디스크가 거의 마모가 되는 한편 디스크 뒤의 인대들이 모양을 갖춰 점차로 커지면서 완충을 하기 때문에 보상작용이 일어나고 이때는 소리가 점차로 잦아들면서 개구장애, 개구시 편위가 나타나는 쪽으로 진행양상이 바뀌게 됩니다.


rdA614as5wFB3mlWUrrhrdqge8aU_-esGbxWjigCh6qO3Xir9ogMxydnVwlyekg78SEZuzyM5yH6I6_nvgQPk_lie35sqig95Zuw1QvhF4I55fw8gcVrM9gtkOzAAviBJzFtvXBN


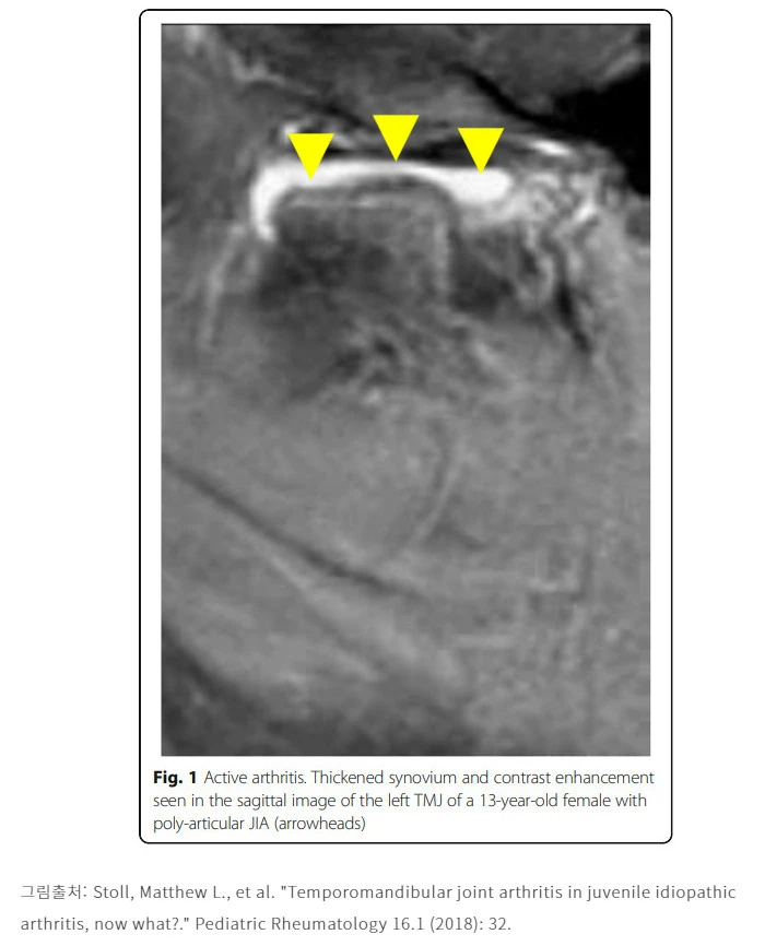
살다보면 염증도 발생을 하게 됩니다. 턱관절 염증은 생각보다 파괴적인 측면이 있어서 잠시 통증이 있고 붓고 음식먹을 때 불편한 수준으로 끝나기도 하지만 염증이 제대로 해결이 안되서 만성으로 진행된다거나, 아니면 처음부터 센 놈이 와서 턱관절 염증을 무지막지하게 유발하게 되면 문제가 됩니다. 후자의 경우 소아에서 특발성으로 발생하는 류마티스관절염이 턱관절에 이환된 형태가 보편적입니다.


이런 일이 발생하면 턱관절 디스크를 싸고 있던 활막이 염증이 생겨서 두꺼워지고 이 염증은 점차로 그 주위조직에 파급되어 심하면 하악과두에도 영향을 미치게 됩니다. 하악과두는 뼈죠? 그래서 뼈에 염증이 생기면 조직 리모델링이 일어나면서 뼈가 파괴가 되기도 하는데 이를 골침식이라 부르게 됩니다.


Se_nHi6ODEKb8VNfoFY1n0ow7i_mUEER9PztB7HsFjDBSHXTlsTIoCW7rzvwjkOP6LL0LL3lUnlGqMqZzFp3qSnGkzajiHA2QutpVWkYMzUbK_1pqbRfgsrFMhXJw3lOzNDAZ2pE

골침식이 일어나면 뼈가 저렇게 왼쪽 오른쪽이 다르게 길이가 되어 버립니다. 안타깝죠. 처음에는 하악골의 중심편위가 도드라지지 않고, 왼쪽 오른쪽 하악지(하악골 다리 부분)부분의 길이 편차가 심하게 보이지 않기 때문에 잘 모르고 넘어가지만 시간이 지나면 점차로 비대칭의 문제가 대두가 됩니다.


흔들바위 아시죠? 턱관절에도 불안정성이 발생하면서 관절이 한쪽으로 기우는 문제가 발생하는 것입니다.




턱관절 문제가 비대칭으로 가기까지


ek07f1xAou2m2AsDnXR2whHjNs5Ozf6TIF0AwaLZ573tERUpJGJY1aMxU0mue9jSqZ5YzSvzjJ7neNLzvluc87ldbs4VrHKCnBo0KdF5s0_Vor5OgMUzpnUODbDPsHxoDmB18onx

턱관절 문제가 발생하면 위의 왼쪽처럼 초기에는 보이지 않습니다. 이때 촉이 예민한 아이들은 부모님을 모시고 방문하여 상담을 받지만 부모님은 대체로 아이들 편을 들어주지가 않으시죠ㅠㅠ 그런데 이때부터 잘 관리를 해줘야 좋은 결과를 얻을 수가 있습니다.


가장 큰 이유는 성장이 완료가 되지 않았기 때문에 한쪽 관절의 제한(디스크장애로 인한 유합이든, 염증으로 인한 골침식이든..)이 발생을 하게 되면 그 부위의 골성장은 원활하게 일어나기가 어렵습니다. 그렇기 때문에 다른 쪽의 하악골의 하악지 성장이 일어나면서 마치 다른 쪽으로 턱 중심을 밀어내는 것처럼 성장을 하게 되는데 이때 우측과 같은 모습이 일어나게 됩니다. 그러므로 턱관절장애는 초기부터 비대칭 진행가능성을 염두에 두고 치료를 진행을 해야 합니다.


ez6y_h-g_xJaaamaADftmFzsyJLSToJuwwoVjR2roJ25LyzgV5WU0Enohq6bEUBGaB_k0OjYIYuViTd8Z2LS_pucn_Y7tfH8-qhp990fZcU1YA6MYCHLbr28QNI35pT9hhVFntNq

많은 케이스들이 처음에 턱관절 문제부터 시작이 됩니다. 위의 케이스는 출생시 산도를 나오는 과정에서 턱관절에서 발생한 강직으로 인하여 비대칭이 발생한 케이스입니다. 그래서 이러한 문제는 비단 초중고등학교 때의 일은 아니고 드물지만 출생 때부터 시작이 됩니다. 이때에는 성장 20년치가 남아 있는 시기이므로 최종 결과가 비대칭이 매우 심하게 발생을 하게 되겠죠?




그래서 어떻게 치료해야 할까?

z6VCGh1zzdeeS0X2V7J1SgaV_xzxU-UTJUaoBpSmu9rUWA5WGBHo5RM6W4I3WZMiw2OqVt25CDCDRlPJFK62QZwURGfVYAly1lLaAizl4AczFl__O4OBp8hEkZBLkjEqnxjvpPlx

그래서 처음부터 잘 치료하고 관리를 해주어야 합니다. 턱관절 주위를 이루고 있는 근육 인대의 균형이 좌우 잘 잡힐 수 있도록, 그래서 턱관절이 편한 위치로 갈 수 있도록, 이러한 위치가 최대교합 위치와 크게 차이가 나지 않도록 잘 관리를 해주는 것이 필요하며 이러한 위치에 제대로 턱관절이 자리를 잡을 때 비대칭도 많이 개선이 되고 턱관절 문제도 같이 해결이 되게 됩니다.


턱관절이 편한 위치와 치아를 꽉 물었을 때 턱관절이 위치하는 자리는 다를 수가 있습니다. 이를 CR-MI 불일치라 하는데 이는 턱관절장애, 안면비대칭 치료에서 매우 중요한 개념입니다. 제 개인 임상소견으로는 비대칭 진행이 오래되면 오래될수록 이러한 불일치는 더욱 크게 증가하는 경향이 있는 것 같습니다.


PiEc0at64qQW2YB_oo9i6zRhx2uu1Tkc4s7ZsF7Sw4O8j1ob9T3H7rRCjaO3XetGRK2_r7g_LcRYv9WJjVewUBN3vvFIDB6hyHQLs7LeUpdru5-e9r2IWibmcgXIjG997CbftUJf

그래서 이러한 부분들을 잘 고려해야 합니다. 턱관절 편위 각도(위의 그림에서 MLD)를 고려하여 장치도 맞추고, 턱관절 주위 근육도 잘 풀어주고, 자가운동도 열심히 하고, 턱의 위치를 바르게 맞추어 줄 수 있는 장치도 착용하고 하면서 적어도 6개월 정도는 열심히 집중적으로 치료를 하고 그 이후부터는 3개월~6개월에 한번씩 계속 모니터하는 것이 필요합니다.



제가 오래전부터 치료해오던 분야이고 비수술방법으로 최초로 케이스논문을 냈던 진료분야기 때문에 하나 자신있게 말씀드릴 수 있는 부분은 턱관절의 정확한 평가와 그간 있었던 일들의 히스토리를 잘 파악하는 것이 중요하다는 건데요. 그래서 꼼꼼하게 턱관절 이학적 검사도 하고 2D, 3D 사진도 찍어서 입체적인 모습도 확인해보고 무슨 일이 있었는지 히스토리도 꼼꼼히 점검해보고 그런 겁니다. 그래야 보다 올바른 치료방법이 설계될 수가 있고 좋은 치료결과를 기대해볼 수 있거든요. 그래서 제 상담이 이렇게나 기나 봅니다ㅠㅠ 목이 많이 쉬는데 그럼에도 모든 설명을 다 드려야 제 마음이 후련해지거든요.







keyword
작가의 이전글다낭성난소증후군 병태생리 치료전략(대구미올한의원)