전0화, 91세, 벤자민

by 타자 치는 snoopy

90년을 살고 다시 한 살이 된 아버지.

돌덩이보다 묵직하고

철보다 밀도 높은 90년 시간을

초 9개로 일별하는 조촐한 생일 축하.


미안함과 안타까움으로 응어리진 마음을

블루베리 케이크와 함께 뭉텅 잘라

크게 한 덩어리 아버지께 드렸다.


살면서 나는 아버지께 해드린 게 아무것도 없다.

늘 받기만 했던, 모자란 것 투성이 못난 아들.

애니메이션 <엘리멘탈> 속 늙은 아버지의 고백처럼

'나도 늘 아버지의 꿈'이었겠지?


아버지가 어린 우리를 찍어주시던

Nikon L35AD 카메라에 흑백 필름을 넣어 가

구순의 웃는 아버지,

한 호흡으로 9개의 촛불을 "후~!" 불어 끄시는

아버지라는 이름의 빛을

셀룰로이드 필름 안에 저장했다.


장롱에서 잠자던 나이 먹은 카메라의

셔터를 눌러 필름 사진을 1장씩 찍을 때마다

아버지의 기억을 조금씩 훔치고 뭉쳐서

필름 1롤 36컷 안에 당신의 인생을

꾹꾹 눌러 담는 기분이었다.


아버지는 이제 필름 카메라에 찍혔던

사진 속 그 시절 그 모습으로 다시 돌아갈 수 없겠지?


늙어가는 내 얼굴에서 아버지의 모습을 본다.





+


작년 겨울,

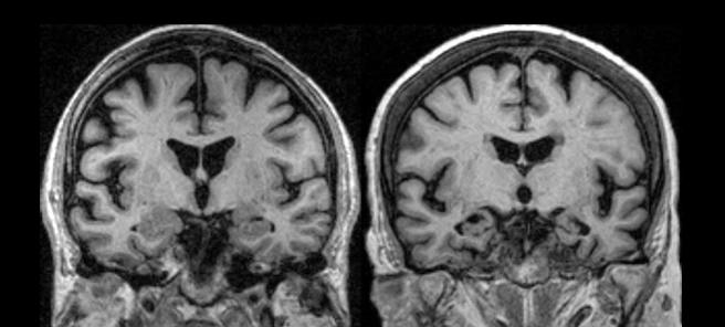
아버지의 뇌 MRI 사진을 보았다.

쪼그라든 호두 같았다.

나비의 실루엣 같기도 했고

까마득한 기억 너머 미술 시간에 그려봤던

데칼코마니 그림 숙제 같기도 했다.






전두엽 사진인데요

사이사이 빈 공간 보이시죠?

원래 저런 곳이 꽉 차 있어야 좋은 건데

아버님 뇌는 많이 쪼그라든 상태예요

연세와 교육 수준의 평균치에 비해

뇌 상태 수치가 많이 낮아요

그러다 보니 전두엽이 관장하는

기억력, 인지 능력, 사고 능력 등이

많이 떨어져 있는 상태고요

감정 조절도 안 돼서 갑자기 화를 내거나

신경질을 내거나 폭력적이 되기도 할 거예요

망상, 집착, 의심 등이 주요 증상이고요

건강한 사람들은 의식의 거름망이란 게 있거든요

보통의 이성적인 사람들은

화가 나거나 욕을 하고 싶거나 상상을 해도

그걸 순화하거나 아예 입 밖에 내질 않잖아요

그런데 아버님은 지금 그 거름망이 없는 상태예요

그래서 하고 싶은 대로 하는 거예요

가족을 일부러 괴롭히려는 게 아니고

자기도 제어나 통제가 안 되는 상태인 거예요

성격도 바뀌어서 지금 보고 계신 아버지는

가족들이 일던 그 사람이 아닌 거예요

그러니 가족들이 이해해 주셔야 해요


젊디젊은 의사선생님이 MRI 사진을 보며

해주던 말들이 아득한 메아리처럼 흩어졌다.


집으로 돌아오는 택시 안에서 아버지가

창밖을 가리키며 큰소리로 말했다.


"키스 노래방이래, 키스 노래방!

저기 가면 노래는 안 하고 키스만 하나 보네."


처음 서울 구경 나온 섬소년처럼 한껏 들뜬 목소리로

히히히히 웃었다.


벤자민 버튼처럼 점점 아이가 되어가는 아버지.






+


오늘은 아버지 생일.

아침에 전화로 "생신 축하해요!" 했더니

"말로만 축하 말고 딴따라딴따라단~ 안 불러?"

하신다. ㅎㅎㅎ


그래요, 아버지.

내년엔 밴드도 부르고,

병치레도 안 하고

아직 살아계신(?) 친구들도 초대해서

코로나 때 못한 구순 잔치 꼭 해요.


건강하시고,

오늘 맛난 것 많이 드시고,

다른 건 다 잊으시더라도

아버지가 우리 아버지인 건 잊지 마세요.

꼭, 잊지 마세요!


#아버지 #91세생일




keyword