brunch

결정장애는 감정장애

앨리엇 이야기

by 신동선

엘리엇 이야기



신경과 전문의 안토니오 다마지오 Antonio Damasio는 그의 저서 '데카르트의 오류'에서 엘리엇 Ellitot이라는 이름의 환자에 대하여 들려줍니다. 엘리엇이 다마지오의 진료실을 방문합니다. 그는 수개월 전에 뇌수술을 받았습니다. 전두엽 근처에서 작은 종양을 제거하는 수술이었습니다. 성실한 가장으로, 독실한 기독교 신자로 일생을 잘 꾸리며 살아오던 사람이었습니다. 하지만 작은 종양 제거 수술 이후로 그의 삶은 모조리 바뀝니다. 수술 전 97, 수술 후 97. 지능은 같습니다. 하지만 무언가 몹시 바뀌었습니다. 지능만으로는 도저히 설명되지 않는 무언가였습니다. 그 무언가는 바로 '결정하는 능력'이었습니다.



그는 단순한 결정에 온통 집중합니다. 지극히 사소한 결정에 끝없이 매달렸습니다. 문서작업에 어떤 볼펜 색을 쓸지 고민하고 고민합니다. 파란색을 쓸지, 검은색을 쓸지 고민하고 고민합니다. 라디오는 또 무엇을 들을지, 주차는 또 어디에다 할지 생각하고 생각합니다. 꼼꼼함은 극에 이르고, 생각을 거듭하지만 끝내 결정은 내리지 못 합니다. 엘리엇은 가족과의 저녁식사를 위한 식당을 예약하려 합니다. 메뉴를 확인하고, 자리를 확인하고, 조명을 확인합니다. 그리고는 차를 몰고는 식당에 방문합니다. 얼마나 붐비는지를 눈으로 직접 확인하기 위해서입니다. 신중에 신중을 기울입니다. 신중하지만 결국 결정은 내리지 못합니다. 사소한 결정사항에 끝없이 매달립니다. 엘리엇은 직장에서 쫓겨납니다. 이어서 벌인 새로운 사업에서도 실패합니다. 또 아내와는 이혼하고 부모님 집에 얹혀 여생을 살게 됩니다.


왜 엘리엇의 뇌는 결정을 내리지 못하는 걸까요? 정상적인 지능에도 불구하고 그의 탄탄한 삶은 왜 무너져 내린 걸까요?


엘리엇을 관찰하던 다마지오는 몇 가지 특이점을 발견합니다. 이러한 본인의 상황에 대하여 무심해 보였던 것입니다. 엘리엇은 자신의 처지에 고통을 느끼지 않았습니다. 자신의 비극적 상황에 대하여 구경꾼처럼 무심히 말합니다. 나와는 상관없다는 듯 담담히 말합니다. 더불어 그의 친구와 가족은 그에게 감정이 사라졌다고 이야기합니다. 슬픔, 기대, 초조, 기쁨, 좌절이 사라졌습니다. 그는 아무런 느낌을 가지지 못한 듯 보였습니다. 무너진 자신의 인생조차도 강 건너 불구경이 된 것입니다.



다마지오는 엘리엇의 감정적 상태를 알아보고자 합니다. 감정적 상황에서의 손바닥 땀샘을 측정합니다. 감정 경험은 손바닥 등에 땀을 내기에 감정 반응을 살펴볼 수 있기 때문입니다. 만화를 보면 당황할 때 이마에 땀을 흘리는 장면으로 많이 묘사합니다. 감정이 동요하면 실제로 땀이 납니다. 다마지오는 엘리엇에게 강렬한 감정을 일으키는 사진을 보여주고 땀의 변화를 체크합니다. 엘리엇은 땀이 나지 않았습니다. 절단된 신체, 불난 집, 옷을 벗은 이성, 총 등의 온갖 사진을 무심히 바라볼 수 있었습니다. 엘리엇은 감정적 경험을 하지 못하는 것입니다.


다마지오는 엘리엇 이후에도 비슷한 증상을 보이는 환자들을 관찰하기 시작했습니다. 일반적 지능검사는 전혀 이상을 보이지 않지만 의사결정을 내리지 못하는 사람들이었습니다. 다마지오의 저서 < 데카르트의 오류>에 다음의 결정장애를 가진 사람과의 약속 잡는 상황을 묘사합니다.



나는 날짜 두 개를 제시했다. 둘 모두 다음 달이며, 며칠의 간격이었다. 환자는 수첩을 꺼내 들고는 달력을 살펴보기 시작했다. 그리고 다음 행동은 몹시 놀라웠다. 당시 다른 연구자들도 이를 지켜봤는데, 그는 약 30분에 걸쳐 두 날짜가 가능한 이유와 안 되는 이유를 열거했다. 선약이 있다, 다른 약속과 너무 근접하다, 날씨가 어떨지 모르겠다는 등 단순히 날짜 하는 잡는데 생각할 수 있는 모든 핑계는 다 갖다 댔다. (중략) 그는 곧 비용 대비 효능을 분석하고, 끝없이 두 날짜를 생각하며 무의미한 비교와 예상되는 결과를 쏟아냈다. 중간에 끊지 않고 그의 말을 다 들어주려니 엄청난 인내가 필요했다.

『How We Decide, 우리는 어떻게 결정하는가』 저자 조나 레러(Jonah Lehrer)



사진 구글


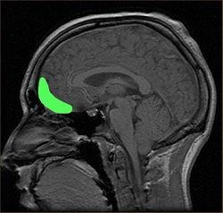
다마지오는 감정을 나타내는 것에 문제를 가진 이들의 뇌 영역을 연구했습니다. 그리고 많은 영역이 감정적 활동에 영향을 미친다는 것을 관찰합니다. 다마지오는 특히 중요해 보이는 한 곳을 지목합니다. 안와전두엽 orbitofrontal cortex. 라틴어 orbit는 안와, 눈구멍을 뜻합니다. 즉 안구 바로 뒤에 있는 전전두엽의 한 부분을 말합니다. 다마지오는 바로 이 영역이 손상되었을 때 결정장애가 발생한다고 이야기합니다.


『How We Decide, 우리는 어떻게 결정하는가』의 저자 조나 레러(Jonah Lehrer)는 안와전두엽이 뇌 속의 감정을 의식적인 사고와 연결하는 부위라고 이야기합니다.


안와전두엽이 감정을 이해하지 못하면, 그래서 신경회로에 심각한 문제가 발생하면 통상적인 판단력을 잃게 된다. 미식축구에서 리서버의 움직임을 보고도 무슨 의미인지 이해를 못하고, 점심식사로 치즈버거를 먹는 게 괜찮은지 아닌지 알 수가 없다. 그 결과 제대로 된 결정을 내리는 것이 불가능해진다.




엘리엇은 결정할 수 없었던 것입니다. 엘리엇에게는 모든 결정의 내용이 똑같은 가치로 느껴졌던 것입니다. 중요한 것을 중요하게, 사소한 것을 사소 하게 여길 수 있어야 결정을 내릴 수 있습니다. 가족과의 단란한 시간과 어떤 식당을 골라야 하는지에 대한 중요도를 파악할 수 있어야 합니다. 빨간펜을 쓸지, 아니면 파란 펜을 쓸지를 결정하는 일과 주어진 일을 주어진 시간에 해내는 일의 중요도를 구분할 수 있어야 합니다. 이혼을 하고, 인생이 모래성처럼 부스러지는 일과 주차를 어디에 할 것인가 에 대한 중요도를 구분할 수 있어야 합니다. 엘리엇에게는 감정의 에너지가 끊겨있기에 모든 결정이 같은 무게로 다가온 것입니다. 감정은 결정을 위한 가장 중요한 결정적 요인입니다. 직관적으로 일의 가치 순위를 만들기 때문입니다.


1673년 철학자 데카르트는 인간이 합리적으로 사고하고 결정한다고 이야기했습니다. 하지만 다마지오는 저서 <데카르트의 오류>를 통해 데카르트의 오류를 명확하게 지적합니다.


판단하고 결정하는 일은 이성적으로 하는 것이 아닙니다.


결정은 '합리'만으로 하는 것이 아닙니다.


'감정'이 함께 해야 오히려 더 '합리'적입니다.


<목표, 뇌신경을 연결하라> (가제)(2020년 출간 목표) 중에서






작가의 이전글의식 & 무의식