(태교일기) 내 아가에게

임신 확인 ~ 14주 니프티검사 결과

by 깊은바다 상어유영

아가야!

네 아빠와 나는 네 이름을 새싹이라고 부르기로 했어.

너는 2022년 4월 5일 세상의 모든 나무와 풀이 푸릇푸릇 연두빛을 띄기 시작할 때 왔거든!

하루가 다르게 돋아나는 그 새싹들을 보면서 속으로 얼마나 빌었는지 몰라.

너도 그 새싹들처럼 무럭무럭 자라주기를

그리고 너는 그렇게 와주었어.


앞선 두 번의 유산으로 간이 콩알만해진 나는 매주 병원에 가는 날이 얼마나 걱정되고 떨렸는지 몰라.

내 뱃속에 있지만 너를 확인할 수 있는 방법은 병원에서 보는 초음파 밖에 없었거든.

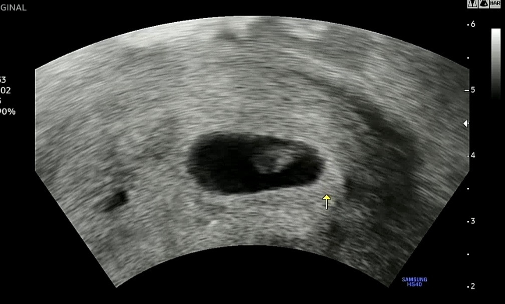
초음파 사진 속의 너는 타원형 UFO를 타고 온 외계인처럼 내 몸속에 날아들었더라.

팔딱팔딱 심장 뛰는 걸 처음 본 5월3일(6주3일)엔 안도의 한숨과 기쁨의 눈물을 함께 흘렸단다.

4밀리미터의 존재감을 확실하게 보여주는 널 보면서 기쁘고 흐뭇하고 대견하기까지 하더라.

Screenshot_20220905-164227_Gallery (1).jpg


6주차 네 외할아버지 생신 때 내려가는 차안에서 체한 느낌에 잘 안먹던 콜라를 마시고 속이 쓰리기 시작한 게 입덧의 시작이더라. 그렇게 꼬박 13주까지 두통과 울렁거림의 반복이 나를 괴롭혔어.

난생 처음 겪는 이 불편함이 네 존재를 확인시켜주는 징후라 생각하면 다행이다 싶었지만......

나도 인간인지라 한번씩 변기에 토하고 나면 이 짓 못해먹겠다 싶기도 했어. 하하하!


다행히 입덧은 심하지 않게 끝났어.

10주 이전에 해야한다던 산후조리원 예약과 태아보험은 네 아빠와 상의해서 결정했단다.

네 아빠는 나보다 훨씬 꼼꼼하고 믿음직스러워.

나중에 네가 커서 뭔가를 상의할 때 조언을 해줄 수 있는 좋은 파트너가 될거야.


그런데 문제는 앞으로 줄줄이 시작되는 기형아 검사들이었어.

임신을 확인하고 매주 병원가서 확인하는 과정에서도 멘탈이 탈탈 털리고 있었는데

이미 내 뱃속에서 자라고 있는 너를 이렇게 테스트하고 끊임없이 의심하고 걱정하는 게 얼마나 불편하던지.


12주차에 하는 니프티 검사 결과는 나오는데 2주나 걸렸고

결과가 나온다던 날의 오후가 되어서도 연락이 없어서 얼마나 가슴을 졸이며 떨었는지 몰라.

결국은 내가 병원에 직접 전화를 해서 결과를 듣고야 말았지......

모두 저위험군이라는 얘기를 두 번이나 확인하고 나서 나는 숨죽여 다시 한번 울었어.

세상 모든 신과 건강하게 자라주고 있는 너에게 감사했기 때문이야

아울러 나를 건강하게 낳아주고 길러주신 내 엄마도 이렇게 걱정하고 맘 고생을 했겠구나 싶더라구.

역시 나란 사람은 뭐든 겪어봐야 알게 되나봐.

너는 꼭 겪어보지 않아도 미리 짐작되는 혜안을 가졌으면 좋겠다.


이후에도 신경관 결손검사, 정밀초음파 등 각 시기마다 거쳐야하는 검사들이 줄줄이 남아있었지만

니프티검사 결과가 나온 이후엔 지금까지 했던 걱정의 반 정도는 덜어낸 것 같았어.

입덧도 점차 줄어들기 시작했고

이제 너를 만나면 그 이후엔 어떻게 해야할지가 슬슬 걱정이 되기 시작하더라.




keyword
작가의 이전글(난임일기) 마치며