brunch

기이소 (2) - 사람블라스토시스티스 학명을 소개합니다

기.생충의 이.름을 소.개합니다 (2)

by 신쥰

기생충 학명에 숨겨진 의미를 파헤쳐보자!

생충의 름을 개합니다 (2)

사람블라스토시스티스

(블라스토시스티스 호미니스)


숙주의 정보를 담은 기생충의 학명

사람블라스토시스티스,

블라스토시스티스 호미니스

(Blastocystis hominis)

Blastocystis hominis. 우리나라에서는 '블라스토시스티스 호미니스' 또는 '사람블라스토시스티스' 라고 불리는 기생충의 학명이다. 다른 기생충들과는 달리 학명과 국명에 별다른 차이가 없는 기생충이다. 그도 그럴 것이 '블라스토시스티스'가 발견된 건 오래이지만, 사람에게 문제를 일으킬 수 있는 기생충으로 분류된 건 꽤 최근의 일이기 때문에 이름 (국명)에 대한 활발한 논의가 없었던 것으로 사료된다.


블라스토시스티스는 그 생김새 때문에 1911년 발견된 이래로 줄곧, 별다른 병원성을 갖지 않는 '(기생충이 아닌) 효모'의 일종으로 간주되었었다. 하지만 이후 블라스토시스티스의 병원성과 관련된 보고들이 계속 이어졌고, 기생충의 한 분류인 원충의 특성을 갖는 여러 가지 특징들이 속속들이 발표되면서 최근에는 병원성을 갖는 기생충으로 분류되고 있다 [1-3].


블라스토시스티스는 원충에 오염된 식수 혹은 음식을 섭취한 사람의 위장관 내에 기거하며 설사질환을 일으킨다고 보고되고 있다. 하지만 증상을 나타내는 기전에 대해서 확실하게 밝혀진 바는 아직 없다. 앞으로 더 심도 있는 연구가 필요한 기생충 중의 하나라고 볼 수 있다.


특히 사람에게서 검출 및 분리된 병원성 블라스토시스티스를 일컬어 '사람블라스토시스티스'라 한다. 사람블라스토시스티스의 학명은 속명인 Blastocystis, 종명인 hominis, 그리고 명명자 (Brumpt)와 명명년도 (1912)로 이루어진다.


* 더 정확하게는, 속명인 Blastocystis는 Alexeieff (1911), 그리고 hominis (1912)는 Brumpt에 의해 제창되었다. [1]


사람블라스토시스티스의 학명엔 어떤 뜻이?


속명 (Blastocystis)

속명 Blastocystis는 고대 그리스어로 "a germ, bud, sprout (싹)”을 의미하는 blastos와 “bladder, pouch (주머니)”를 의미하는 kustis가 합쳐져 만들어졌다. 의미인즉슨 “싹을 내는 주머니” 정도로 해석할 수 있을 텐데, 이러한 속명은 아마도 발견 당시 Blastocystis가 효모의 일종으로 분류되었던 것에서 기인되지 않았을까 짐작해본다.


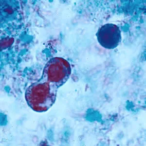
왜냐하면 효모는 세포분열 방식 중에서 ‘모체에서 바깥으로 싹을 내며 분열하는 방식인 출아법’을 이용해 분열하는데, 이때 ‘출아법 (出芽法)’을 지칭하는 영어단어가 바로 ‘budding’이다. 아마 명명자가 Blastocystis라는 생물의 이름을 지을 때에, 효모의 모양과 분열 방식에서 영감을 얻은 것이 아닐까? 실제로 Blastocystis의 분열하는 모습은 효모의 분열과 매우 흡사한 모양을 하고 있다. (아래 사진 참고)


아래 분열중인 Blastocystis hominis의 모습. 효모의 분열 (출아법)과 언뜻 유사한 모양이다. (사진 출처 [4])

그러나 정말로 명명자가 그러한 의도로 속명을 지었는지에 대해서는 알 수 없다. Blastocystis 이름의 유래와 의미에 대해서 명확하게 밝혀놓은 기록 또는 문헌을 찾지 못하여, 단지 추측해볼 뿐이다.


위에서 밝혔듯이 Blastocystis는 효모와는 다른 계통의 기생생물이며, 분열 방식도 ‘출아법’이 아닌 ‘이분법 (binary fission)’으로 알려져 있다.


종명 (hominis)

종명hominis "man, human being"을 의미하는 라틴어 hominis에서 유래되어 '사람'이라는 뜻을 나타낸다. 사람은 '블라스토시스티스', '사람블라스토시스티스'의 숙주이다.


사람블라스토시스티스 (Blastocystis hominis)

이름을 풀자면, "사람에게서 발견되는 싹을 내는 주머니 모양 생물" 정도가 되겠다. 하지만 최근 Blastocystis가 사람뿐 아니라 다른 동물들에게서도 다양하게 발견되고 있어, 숙주특이성이 낮은 것으로 확인되고 있다. 이와 같은 이유로 발견되는 숙주와 병원성에 따라 여러 가지 subtype (아형)으로 구분하는 것이 일반적이다. (사람만이 유일한 숙주가 아니라는 이야기!) 이 때문에 최근의 문헌에서는 'Blastocystis hominis'라고 표기하기보다 'Blastocystis sp. (Blastocystis의 일종)'이라고 표기하는 경우가 많아졌다. 어찌 됐든 hominis라는 종명은 Blastocystis가 감염 및 발견되는 발견원, 숙주인 '사람'에 대한 정보를 담고 있다.


* Tip: 앞으로 'hominis'라는 종명이 붙은 기생충의 학명을 보게 된다면, 사람을 숙주로 하는 기생충에 대한 정보일 가능성이 매우 크다. ex) Cryptosporidium hominis


효모와 생김새가 비슷하기 때문에 1970년대 까지 균류로 잘못 분류되어왔던 블라스토시스티스 (사진 출처 [5])


P.S. 확실히 그 이름의 유래와 의미에 대해 밝혀져 있는 기생충 학명이 있는데 반해, 본편의 Blastocystis hominis처럼 그 이름의 의미를 추측해가며 더듬어 가야 하는 기생충의 학명도 있다.

과거, Blastocystis라는 학명이 (추측대로) 효모의 특징으로 지어진 이름이라고 한다면, 학명 속에 숙주 (발견원)의 정보와 함께 ‘실수로 잘못 붙여졌던 이름표’도 함께 갖고 있는 셈이다.



1. Zierdt, C. H. (1991). Blastocystis hominis--past and future. Clinical Microbiology Reviews, 4(1), 61-79.

2. Silberman, J. D., Sogin, M. L., Leipe, D. D., & Clark, C. G. (1996). Human parasite finds taxonomic home. Nature, 380(6573), 398-398.

3. Denoeud, F., Roussel, M., Noel, B., Wawrzyniak, I., Da Silva, C., Diogon, M., ... & Segurens, B. (2011). Genome sequence of the stramenopile Blastocystis, a human anaerobic parasite. Genome biology, 12(3), 1-16.

4. https://mcdinternational.org/trainings/malaria/english/dpdx5/html/ImageLibrary/A-F/Blastocystis/body_Blastocystis_il4

5. https://www.idimages.org/images/organismdetail/?imageid=1813&altimageid=281

keyword
이전 07화기이소 (1) - 모낭진드기 학명을 소개합니다