Pre-Clinic

소갈머리

by 복자의 썰

거의 40여 년 전 고등학생 시절에 미국 이민이 결정되고 식구들이 몇 가지 이민준비를 하는데 그중 가장 중요한 것이 ‘이빨치료’였다. 이민결정의 가장 큰 부분이 경제적인 이유였던 지라 제대로 된 치과에서 치료를 받지 못했다. 그 당시는 소위 ‘야매’라고 불려졌던, 개인 집에서 치과 치료를 해주는 곳이 심심치 않게 있었다. 나도 그곳에서 적지 않은 보철치료를 받았고 제대로 경과를 보지도 못한 채 비행기를 탔어야 했다.


다행인지 불행인지, 치과공부를 하는 도중 그 보철을 했던 아래쪽 어금니들이 문제가 일어났다. 친구들이 모두 덤벼들어 내 증상을 궁금해했고 자기가 한번 치료해 보자고 덤벼들어 내 입을 벌리던 웃픈 기억도 있다. 늦은 시간 학교에서 두 친구가 남아 몰래 나를 치료하기 시작했고, 어금니를 하나 빼고 브리지를 만들었다. Pre-Clinic에서 Wax Up을 하고, 친구들에게 다른 환자들 치료하다 남아서 ‘꿍쳐놓은’ 금조각 들을 강제로 수거했다. 그렇게 내 브리지는 Pre-Clinic에서 완성이 되었다. 생각해 보면 두 번 다 정식으로 치료를 한 것이 아닌 ‘야매’ 수준이라 좀 뒷 맛이 씁쓸하기도 하다.


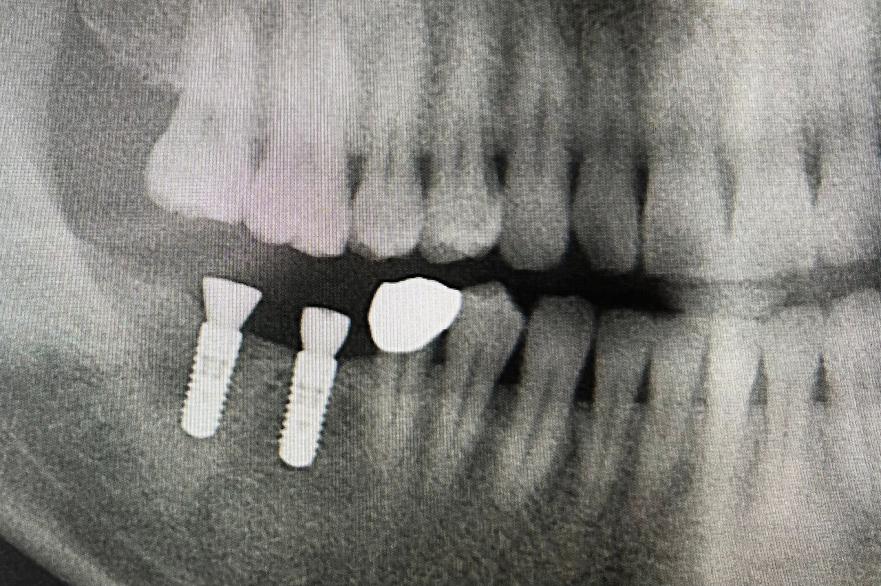
그 후로 20여 년이 넘게 잘 사용했으나 Abutment 어금니 뿌리가 부러지는 일이 있었고, 그 치아도 발치를 했어야 했었다. 자연스럽게 어금니 두 개가 없어진 채로 몇 개월을 지내야 했었다. 우습게도 이제야 정식으로 치료를 해야겠다는 생각을 했고, 친구 오피스를 찾았다. 내가 세운 treatment plan을 상담했고, 임플란트 두 개를 이식했다. 같이 일하는 후배의사한테 부탁해 크라운을 만들어 놓고 있었다. 시간이 많이 지났으나 적당한 시간을 찾지 못해 마무리를 하지 못하고 있었다. 환자분들한테는 언제나 우리가 제시하는 시간을 잘 지키라고 권유하지만 정작 나는 그러지 못했다. 차일피일 미루는 것이 숙제처럼 마음에 부담이 되었지만 한쪽으로만 먹는 것도 익숙해져서 시간은 일 년 가까이 지나고 있었다. 그러는 동안 다른 치아들이 부담으로 서서히 망가져 가는 것은 누구보다 더 잘 알면서.


그러다 그 친구랑 저녁 식사를 같이 하게 되었고 자연스럽게 내 임플란트 이야기가 나왔다. 아직도 마무리하지 않았다고 잔소리와 훈계를 한참이나 들어야 했다. 잔소리 들은 대가로 저녁을 사주고 늦은 저녁이었지만 바로 내 오피스로 그 친구를 납치해 갔다. 네가 시작한 거, 네가 마무리하라고 우기면서. 자정이 다가오는 시간이어서 주위에 아무도 없는 정적 가운데 둘이서 북 치고 장고치고를 시작했다.


25년 전 치대에서 환자들 없는 저녁에 학생들끼리 돌아가며 서투른 솜씨로 서로를 치료하며 지내던 Pre-Clinic 시절로 다시 돌아간 느낌이었다. 마취주사 하나 벌벌 떨며 제대로 들지도 못한 그때가 생생했다. 지금 생각해 보면 정말 아무것도 모르던 돌팔이 새내기 의사들이었는데. 그래도 에너지는 넘쳐났던. 지금의 우리는 벌써 떨어진 체력과 초점이 잘 맞춰지지 않는 시력 문제가 제일 먼저 느껴지는 나이가 되어 버렸다. Loupe이 없으면 정말 아무것도 보이지 않는다. 그래도 다행히 우리 세대에 허락된 Loupe의 도움이 없었다면 어떻게 치료를 계속할 수 있었을까 암담하기도 하다.


그런데 그날 저녁 그 친구는 Loupe이 없었던 것이다. 저녁 먹다 갑자기 나한테 끌려온지라 Loupe 이 있는지 없는지 생각도 못한 것이었다. 내 것을 써보았지만 전혀 초점이 맞지 않아 도움이 되지 않았다. 돋보기 안경을 껴보아도 도움이 되지 않는다. 잠깐.. 둘 다 황당해하며 망설였지만… “What the heck, let’s do this. We have done this million times! “ 난 자신 있게 내 입을 벌리고 누웠고, 친구는 손가락 감각으로 Healing Abutments를 풀어내고, 또 손가락 감각으로만 새 치아의 Fit을 느끼면서 Torque Driver를 돌리고 있었다. 누워 있는 나는 알아서 Suction 위치를 잡고, Light Curing을 했다. ‘봉사가 코끼리 다리 만지듯’ 치아를 만지고 있었지만 입 안으로 들어오는 친구의 손가락의 위치만 느껴도 모든 게 정확했다. 군더더기 하나 없이.


30년 전 Pre-Clinic에서 버벅거리던 우리는 이제 보지 않아도 누구보다 정확히 문제를 해결하는 수준에 올랐지만, 눈은 멀어지고, 배는 나오고, 소갈머리는 빠지고. 하지만 이제 뭔가를 알 것 같은 지금이 더 사랑스럽다, 에너지가 넘쳤던 그 Pre-Clinic 시절보다는. 그래서 우리에겐 지금이 더 소중한 것 같다. 치열한 Pre-Clinic의 시절을 보내고 있는 후배들 파이팅 하시길!


e49776098b2c83edceb314eefb0f5c93.jpg
IMG_5424.jpg
keyword
매거진의 이전글Bethelehem Star