brunch

뇌에 문제가 있으면 무죄?

전두엽이 손상된 살인자 이야기

by 과학편지

여기 살인자가 있습니다.


자신의 아내를 살해한 혐의로 재판에 섰는데요. 모두가 그의 유죄를 확신하고 있을 무렵, 그는 사진 한 장을 꺼내 들며 무죄를 주장합니다. 바로 뇌 사진을 가지고 말이죠.



1992년 뉴욕을 발칵 뒤집은 살인 사건이 일어납니다. Weinstein, 65세 판매원이었던 그는 아내와 심하게 다투던 중 아내를 목 졸라 살해합니다. 또 아내의 시체를 12층 아파트에서 떨어뜨려 자살로 위장하는 모습까지 보이는데요.


다행히 사건의 진실은 금방 밝혀지고 Weinstein은 살인죄로 재판에 섭니다. 그러나 Weinstein은 반박하며 이렇게 주장합니다.

나는 뇌에 문제가 있다. 고로 나는 무죄다.


이게 무슨 말일까요?



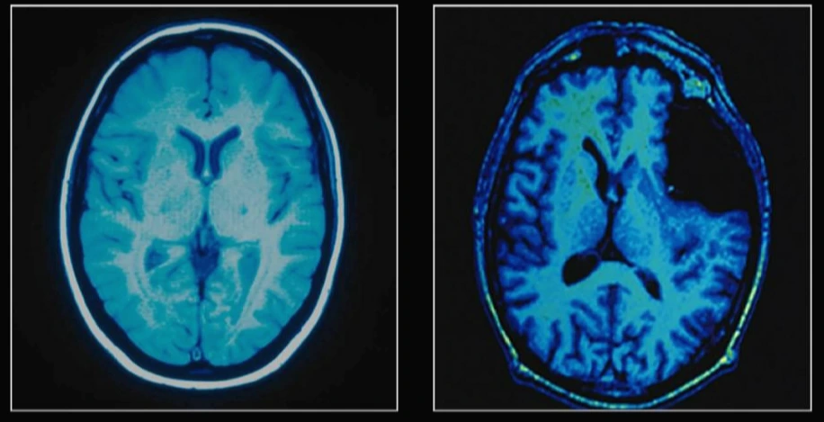
비어있는 Weinstein의 뇌

일반인의 뇌(왼쪽)와 Weinstein의 뇌(오른쪽)

Weinstein의 뇌는 일반인의 뇌와 약간 다른 점이 있습니다. 오른쪽 사진의 윗부분 뇌가 비어 있는 게 보이시나요? 그는 오랜 기간 뇌에 생긴 혹(낭종)으로 고통받아 왔습니다. 이 혹이 뇌를 손상시켜 지금의 뇌 상태를 만든 것이죠.


그런데 이 손상된 뇌 부위, 여기엔 큰 비밀이 숨겨져 있습니다.


인간의 뇌는 크게 네 부분으로 나눌 수 있다.

Weinstein의 비어있는 뇌 부위, 바로 전두엽이 있는 곳입니다. 전두엽은 인간의 여러 능력과 관련이 있는데요. 그중에서도 자기 조절 능력, 내가 어떤 행동을 해도 되는지 안되는지 판단하고 조절할 수 있는 능력과 감정 조절, 화가 났을 때 화를 억누르고 침착함을 유지하는 능력과 관련이 있는 곳입니다.


Weinstein은 이 뇌의 전두엽이 있어야 곳이 비어있어요. 그렇다면 이 전두엽과 연결되는 자기 조절 능력, 감정조절이 다른 사람들보다 떨어진다고 볼 수 있겠죠?



이런 Weinstein의 뇌 상태는 법의 책임능력을 의심할 수 있습니다.

형법 제10조(심신장애인)
① 심신장애로 인하여 사물을 변별할 능력이 없거나 의사를 결정할 능력이 없는 자의 행위는 벌하지 아니한다.
② 심신장애로 인하여 전항의 능력이 미약한 자의 행위는 형을 감경할 수 있다.

형법은 기본적인 사고/의사결정 능력이 없는 사람, 즉 책임능력이 없는 사람을 처벌할 수 없습니다. 어린 아기나 심한 정신 질환을 앓고 있는 환자가 이에 해당될 수 있는데요.


그렇다면 Weinstein은 어떨까요? 뇌에 생물학적 결함을 가지고 있는 Weinstein은 확실히 일반인보다 몇몇 기능이 떨어지는 건 사실이죠. 따라서 그는 자신 역시 책임 능력이 부족한 사람이라고 주장합니다.



자, 여기까지. Weinstein의 주장을 한번 정리해볼게요.


나의 전두엽과 측두엽은 손상되었다.
따라서 의사결정/감정조절 능력은 다른 사람들보다 떨어진다.
이건 책임능력을 부족으로 볼 수 있고
책임능력이 부족한 사람은 형사 처벌이 불가하다.
고로 나는 무죄다.



여러분은 이 주장을 어떻게 생각하시나요? 이 주장이 과연 재판에서 받아들여졌을까요?



Weinstein 재판의 결말


결과적으로 Weinstein의 무죄 주장은 받아들여지지 않았습니다. 그러나 처음 검사 측이 주장했던 형(2급 살인죄*) 보다 낮은 형(manslaughter**)을 받게 됩니다. 무죄는 아니지만, 주장이 어느 정도 수용됐다고 볼 수 있겠죠?

2급 살인죄*: 살해 계획은 없었으나 의도는 있는 범죄
manslaughter**: 살해 계획과 의도가 없는 우발적 범죄

Weinstein의 사건은 이렇게 끝이 납니다. 그러나 논란은 끝나지 않았는데요. 쟁점은 다음과 같습니다.


Weinstein의 비어있는 전두엽과 살인 행위의 연관성이 있는가?


누군가는 모든 전두엽이 손상된 사람들이 범죄를 저지르지는 않는다며 이를 부정합니다. 하지만 다른 누군가는 재판에서 유년기 가정환경, 경제적 상황을 고려하는 것처럼 생물학적 특성 역시 고려해야 한다고 주장하죠.


Weinstein 사건은 법정에서 뇌 영상이 증거로 채택된 최초의 사례로 알려져 있습니다. 인간의 뇌와 행동이 직접적 연관이 있음을 법정에서 인정했다고 볼 수 있죠.


Weinstein 사건에 대해 어떻게 생각하시나요? 과연 그는 무죄일까요?

keyword
매거진의 이전글뇌과학 역사상 최대의 파벌싸움(?)