brunch

뒷목뻐근한 증상 유발하는 질환 알아보기

by 최봉춘

남녀노소 불문, 살다 보면 뒷목뻐근한 경험을 참 많이 합니다.


무거운 책가방을 들고 다니거나 스마트폰을 장시간 사용하는 초중고생에서도 통증이 발생할 수 있고, 대학 입시를 준비하는 수험생들도 장시간 고개를 숙인 채 공부하다 보니 뒷목뻐근한 증상을 달고 사는 학생도 많습니다.



2.png



대학생은 또 어떨까요? 밤새 과제를 준비하며 노트북을 오래 사용한 날에는 어김없이 뒷목뻐근함이 찾아옵니다.


직장인들도 마찬가지입니다. 컴퓨터 앞에 장시간 앉아 있는 사무직 종사자뿐 아니라 업무 중에 고개를 숙이고 일하는 시간이 많은 분, 장시간 아이를 안고 있거나 가사 노동을 많이 해 목 통증을 호소하거나 관절이 약해진 노년층 역시 뒷목뻐근함을 호소합니다.



3.png



이렇듯 뒷목뻐근함은 누구에게나 찾아올 수 있는 만큼 이와 연관된 질환은 무엇이 있는지 알아두는 것도 건강한 일상을 영위하는 한 방법이 아닐까 합니다. 오늘은 이 주제로 이야기를 나눠보고자 합니다.


뒷목뻐근한 증상이 나타나는 이유


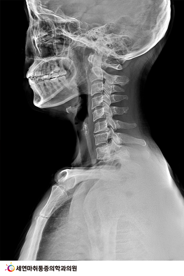
뒷목이 뻐끈한 이유는 여러 가지가 있지만 그 중에서도 ‘질환’과 연관 지어보면 대표적으로 목디스크와 거북목증후군(일자목), 경추후관절증후군을 들 수 있습니다.


하나. 목디스크(경추디스크)

목디스크는 목뼈(경추)와 목뼈 사이에 있는 추간판(디스크)이 돌출되면서 수핵이 빠져나와 신경근이나 척수 등 주변 신경을 눌러 통증을 유발하는 질환입니다.



4.png



주요 원인은 교통사고나 낙상, 운동 중의 부상 등 사고 후에 발생하거나 퇴행성 변화에 의해 발생하지만 최근에는 목에 무리가 가는 나쁜 습관에 의해 발생하는 경우가 많아졌습니다.


장시간 스마트기기를 사용하는 것도 목디스크 원인 중의 하나인데 컴퓨터, 노트북, 태블릿 PC, 스마트폰 등을 하는 경우(고개를 숙이거나 혹은 컴퓨터와 눈이 정면을 응시했을 때 수평을 이루지 않고 더 낮게 배치된 경우, 컴퓨터를 할 때 고개를 앞으로 쭉 빼고 구부정한 자세로 장시간 하는 경우 등)를 들 수 있습니다.



5.png



나쁜 생활 습관(높은 베개를 사용하거나 엎드려서 자는 수면 습관,
삐딱한 자세로 고개를 숙인 채 신문이나 책을 읽는 경우 등)도
목디스크를 유발하는 원인이 됩니다.


목디스크가 발생하면 돌출된 추간판이 신경을 압박하고 그 주위의 염증을 유발하며 염증의 만성화로 인한 신경 주위 유착이 생기는 등 극심한 통증을 수반합니다.


따라서 뒷목뻐근함과 어깨, 팔 저림 등의 증상이 있다면 목디스크 초기증상이 의심되므로 신속히 치료받는 것이 좋습니다.


둘. 거북목증후군(일자목)

거북목증후군은 나이가 들어갈수록 목 주변의 근육이 약해지면서 나타나는 일종의 노화 증상입니다. 하지만 시대가 발전하면서 잘못된 자세로 장시간 디지털 기기를 사용하면서 점차 발생 연령대가 낮아져 요즘은 20~30대 젊은 환자들이 급증하고 있습니다.



6.png



컴퓨터나 태블릿PC, 스마트폰을 볼 때 자신도 모르게 거북이처럼 목을 앞으로 쭉 빼게 되는데, 이러한 자세는 아래쪽 목뼈 부분이 지나치게 구부러지게 만듭니다. 그렇게 되면 뒷목의 근육과 인대가 늘어나면서 목에 더 팽팽한 긴장감을 주게 되는데요.


정상적인 목뼈는 C자형(머리 하중을 자연스럽게 분산시켜주고 충격을 완화)이지만 목을 앞으로 쭉 뺀 상태를 장시간 유지하게 되면 목뼈가 점점 ‘일자형’이나 ‘역 C자형’으로 변형되어 거북목증후군이 발생할 수 있습니다.



7.png



거북목증후군 환자는 정상적인 목뼈에 비해 충격을 완화하는 능력이 현저히 떨어지는데 머리의 무게가 분산되지 않은 채 그대로 목-어깨-허리까지 직접적으로 하중이 전달되어 자칫 목디스크로 발전할 수도 있으니 더욱 주의해야 합니다.


셋. 경추후관절증후군

앞의 두 질환보다 다소 낯설게 느껴질 수도 있을 텐데요. 경추후관절이란 목뼈의 뒤쪽에서 체중을 분산해 척추에 무리가 가지 않도록 해주는 역할을 하는데, 경추 후면에 있는 후관절에 손상이 생겨 통증을 유발하는 것이 경추후관절증후군입니다.


주로 퇴행성 변화로 인해 나타나지만 평상시 구부정한 자세로 고개를 숙이고 컴퓨터 작업을 오랫동안 하는 젊은 층에서도 자주 발생하며, 이 외에 교통사고나 외상 등이 주요 발생 원인으로 꼽힙니다.



8.png



뒤로 목을 젖힐 때 목 통증과 뒷목뻐근함이 있고 특히 후관절 주변의 압통이 있으면서 목 통증과 두통이 함께 나타나는 것이 특징입니다. 간혹 뒷목과 어깨에 무거운 짐을 들고 있는 듯한 느낌이 들 정도로 묵직함을 호소하는 환자도 종종 있습니다.


이렇듯 뒷목뻐근한 증상을 유발하는 질환은 매우 다양하며 각각의 질환에 따라, 혹은 환자의 증상 및 통증 정도에 따라 치료 방법도 달라집니다.



9.png



이제는 뒷목뻐근함이 어려도, 나이 들어도 피할 수 없는 ‘공공의 적’이 된 만큼, 전에 없던 뒷목뻐근한 증상이 느껴진다면 먼저 질환 유무를 확인하기 위해 병원 진료받는 것이 현명한 방법일 것입니다.



10.png


keyword