10일간의 차팅 -episode 5

[뇌경색 치료 기록 노트 5] 입원 1일차 | 조금씩 숨이 쉬어지던 시간

by ㅅㄷㄱ


병실에 들어온 뒤부터는,

아침 내내 나를 붙잡고 있던 불안이 조금씩 느슨해지기 시작했다.

입원 수속을 마치고, 자리를 잡고,

간호사 선생님의 안내를 받으며 하나씩 설명을 듣다 보니

막연했던 걱정보다는

‘지금은 여기서 잘 따라가면 되겠다’는 생각이 들었다.

모든 것이 여전히 낯설었지만,

적어도 혼자라는 느낌은 들지 않았다.




2025년 4월 12일 (토)


증상

방금 일어난 일에 대한 순행성 기억상실 (Anterograde Amnesia)

어제와 동일함.


진단명

아직 모름.

(김소은 과장님이 14일 아침 회진 때 알려주셨음)


마음 상태

머리 때문에 내원을 하는 일이 생전 처음이라 그런지

계속 불안감이 있었음. 입원에 대해서는 1도 생각이 없어서 당황했으나,

금방 진정됨. 여전히 자꾸 깜빡해서 속상함.


병원, 진료과 / 담당 주치의

검단 탑병원 2신경과 (인천광역시 서구 청마로 19번길 5에 위치함)

주치의 : 김소은 과장님


검사

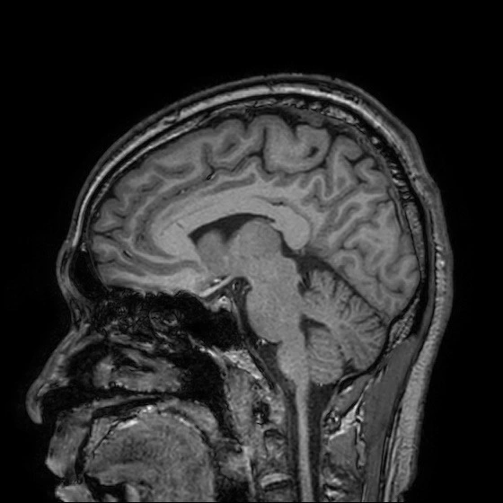
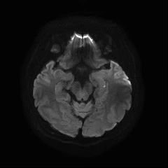
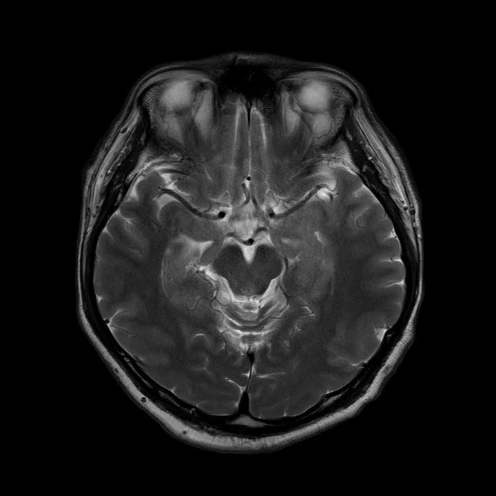
Brain MRI : 뇌 자기공명영상 - 뇌 구조 확인.

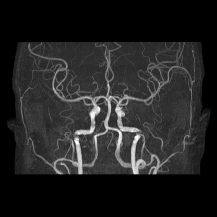
Brain MRA : 뇌혈관 자기공명영상 - 뇌혈관 상태 확인

diffusion MRI, : 급성 뇌손상(뇌졸중) 확인에 민감

carotid MRA (e) : 목의 경동맥 혈관 상태 평가 (뇌로 가는 혈류 확인)


투약

병상에서 환복 후, 정맥주사(IV) 맞음.

중외생리식염주사액 투여 개시.

점심 식사 후, 트라몰8시간서방정 650mg 처방 받음.

저녁 식사 후, 아토젯정 10/10mg, 아스피린프로텍트정 100mg, 프로맥정 75mg 처방 받음.

익일 후 아침 식사 후 30분에 먹는 약.





현재 시간, 오전 11시.

입원수속을 마치고 53병동 525호 병실 창가 병상에 자리잡게 되었지요.

병상에서 입원복으로 갑아입는 중, 밖에서 간호사 선생님과 아내가 대화하는 소리가 들렸어요.


간호사 선생님: 뭐라고 부르면 돼요?

아내: 슌이라고 불러주시면 돼요.

간호사 선생님: 네 알겠어요~


내 기억에는 그 귀여운 목소리의 주인공은 남소영 선생님이셨던 것 같아요.

환복하고 나니 바로 남소영 간호사 선생님이 오셔서 입원 안내를 해 주셨어요.

의사 선생님 회진 시간이나… 입원 생활에 필요한 물품들..

식사 시간, 기상, 소등 시간 등.. 자세히, 친절하게 이야기를 해주셨어요.

일단… 기상은 아침 7시, 소등 시간은..오후 10시,

식사 시간은 아침 7시20분 ~ 50분, 점심 12시~12시30분, 저녁 5시30분~6시,

면회시간은 평일 오후 6시~7시, 주말/공휴일은 12시~1시, 오후6시~7시,

등록된 가족 한 명만 가능하다고 했어요.


안내를 잘 듣고, 백나연 간호사 선생님이 오셔서 왼쪽 팔에 정맥주사(IV)를 맞았어요.

아아, 입원을 하면 수액 주사를 맞는구나… 그냥 아무 생각 없이 잘 맞았어요.

별로 아프다는 느낌은 없었고, 순식간에 끝난 느낌이었어요! 그만큼 잘 넣어주셨다는거죠.

그 때는 몰랐는데, 나중에 세부산정내역을 보니까

여러가지 생리식염수나… 삐콤헥사주도 맞은 다음에 중외생리식염주사액(1000ml)을 투여하기 시작했네요.

이게 노란색이어서 수액이 노란색인 줄 알았는데, 색은 투명했던 것 같아요.


tempImageF7ovmz.heic


암튼, 수액을 투여하기 시작하고..

MRI 검사를 받기 위해 병상에서 좀 대기하고 있었어요.

11시반쯤이었나, 얼마 안있다가 간호사 선생님이 오셔서,

“슌님~ 이제 MRI 촬영 하고 오시면 돼요, 1층 영상의학과에 내려가셔서 이 종이를 드리면 돼요”라고 하셔서

아내와 함께 1층에 내려갔어요. 왼팔에 수액주사를 맞고.. 수액걸이를 잡고 움직이니까…

진짜 환자가 된 것 같은 느낌이 들었어요.

움직이는 것도 불편하고~~ 옷도 환자복이니까~


5층에서 1층으로 내려가, 영상의학과에 MRI 접수를 하고 잠시 기다렸어요.

바로 이름이 불려서 MRI촬영실로 들어갔어요. 주머니에 있던 핸드폰은 빼고요.

(아마 전자기기는 촬영에 지장이 있으니까)

촬영 기계 위에 눕게 되고, 촬영 중 소리 때문인지 귀에 귀마개를 하고, 그 위에 해드셋을 끼웠어요.

촬영이 처음이라 얼마나 소리가 요란한지 몰랐지만, 그렇게 귀를 막아도 들릴 정도니까…

진~~~짜 요란한 소리였을 거예요. 암튼, 이제 촬영 시작..


30분정도 걸린다고 하셔서 30분 동안 촬영이 끝날 때까지 움직이면 안되니까….

눈감고 가만히 있었는데, 사람의 심리라..움직이지 말라고 하면 움직이게 되는법..

못움직이는 것이 얼마나 고통스러웠는지… 그래도 꾹 참고..

드디어 촬영 끝!! 다양한 종류의 이미지를 촬영했던 것 같아요!!!


나중에 선생님께 이야기를 들어보니까…

Diffusion MRI (급성기 뇌손상 확인을 위한 MRI),

Brain MRI (뇌 조직 자기공명영상),

Brain MRA (뇌혈관 자기공명영상),

Carotid MRA (좌우 경동맥 자기공명혈관촬영)

이렇게 여러 종류의 MRI 촬영을 했네요!


tempImageUO8sGK.heic
tempImagegl8cln.heic
tempImagef7WIzC.heic
tempImagePzsoIs.heic
tempImageNfURs5.heic


영상을 보면.. 위에서, 옆에서, 밑에서.. 여러 각도에서 입체적으로 찍었어요.

급성기 뇌송상은 일반 MRI에는 나타나지 않고,

Diffusion MRI에만 보이는 거라..

그것을 먼저 촬영하고..

과거 혈전이 있었는지 등은 일반 뇌 MRI로 확인하고..

처음 알았는데, 사진에서 왼쪽은 오른쪽이고, 오른쪽이 왼쪽이라네요.

3D로 뇌혈관, 심장으로부터 목으로 연결되는 경동맥도 잘 보이고,

내 뇌 구조가 이렇게 생겼구나! 정말 신기하더라고요!!

혈관 모습도 좌우 다 다르고 (당연한거지만 신기해서)

처음 경험을 해봤는데… 소리는 너무 시끄러워서 좀 힘들었지만, 생각보다 수월하게 촬영했던 것 같아요!!!

촬영을 잘 마치고 다시 525호 병실로 돌아왔어요.


시간을 보니까 12시가 넘어서 돌아왔더니…벌써 점심이 와 있네요!

얼른 점심 먹어야지! 하면서 바로 먹기 시작했죠.


tempImage8V6RxG.heic 4월 12일 점심식사


오늘 메뉴는….나물비빔밥!!! 검단탑병원은 저나트륨 시범병원으로,

음식에도 신경을 좀 많이 쓰는 편이라는 것을 나중에 김넝쿨 팀장님이 알려주셨어요!

메뉴도 다양하고… 보통 병원 밥으로 안나올 것 같은…

빵이나..여러가지 음식들도 다양하게 나온다고..

나는 입원이 처음이었지만… 옛날 어릴적 아버지가 입원하셨을 때나…

병원에서 드시던 밥이 별로 맛있어 보이지 않았는데

그래서 그런지 병원밥은 맛이 별로라는 선입견을 좀 가지고 있었던 것 같아요!

근데, 오늘! 병원밥에 대한 선입견(?)은 바로 사라졌죠

맛있는 비빔밥에다…오늘은 반찬으로 소떡소떡까지 나오고…

내가 좋아하는 연근조림까지!! 후딱 다 먹었죠.


tempImagezVCuKv.heic 후딱~!


점심을 먹고, 약을 먹었어요. 병원에 오니까 열도 좀 있어서

트라몰8시간서방정(해열진통제)을 처방받아서 먹었어요.

그 사이에 아내가 입원에 필요한 물건들을 가지러 집으로 잠깐 갔어요.

입원 생각은 1도 없었기 때문에 아무런 준비를 안해와서..

마트에 필요한 것도 사러가고… 집에서도 필요한 물건들…

노트북, 아이패드, 책 등등..일단 갖다달라고 부탁을 했죠..

책은.. 안읽을 것 같긴 하지만.. 노트북과 아이패드는 필수!!


오후1시쯤 넘어서 우리 회사 고퍼우드 이혜연 차장님한테 병원 잘 다녀왔는지 카톡이 왔어요.

아직 병원이고..입원 소식은 직접 전화로 말씀드리는게 나을 것 같아서 전화 통화했어요.

방금 MRI 촬영하고 온 것과 검사를 여러가지 받아야 돼서 입원을 하게 되었다는 이야기,

그리고, 월요일 결과가 나오는데, 결과에 따라서 입원이 연장될 수 있다는 이야기를 했어요.

일단 업무 생각은 하지 말고, 겸사겸사 맘 편히 푹 쉬고 오시라고 말씀해주셔서 감사했죠..

암튼…전화 통화하고..그 후에도 수시로 소식을 전하기로 했어요.


잠시 휴식시간..

아직 아내가 안와서 아무것도 없으니…

그냥 바깥을 보면서 누워서 쉬었지요..

이렇게 아무 생각없이 바깥을 바라보고 쉬는게 얼마만인지….

회사에서는 하루종일 서서 일하고… 하루가 정말 빨리 지나갔는데..

병상에 누워서 바깥을 바라보니까.. 오랜만에 여유로운 시간을 보냈던 것 같아요!!!


3시반에서 4시 사이였나… 간호사 선생님이 오셔서 월요일에 하게 될 검사가 바뀌었다고 알려주셨어요.

원래는 월요일에 뇌파검사(EEG)를 할 예정이었는데, 그걸 안하고,

뇌혈류초음파(TCD)와 심장초음파, 동맥경화검사로 변경되었어요.

(지금 생각해보면.. MRI 영상을 보시고 검사를 변경하신 것 같긴 하네요)


5시쯤에 아내가 다시 와줬어요.

마트에서 딸기랑 빵이랑 과자랑.. 커피랑… 이것저것 필요한 것들을 사다주고..

노트북, 아이패드, 책도 갖다주고.. 감사했죠..


5시반, 기다리고 기다리던(?) 저녁 식사 시간이 되었어요!

오늘 메뉴는… 설렁탕과 찜닭..그리고 반찬들!

건강식이네요~!

나는 자극적인 음식보다 이런 음식들이 좋아서 이렇게 잘 맞을 수가 ㅎㅎㅎ


tempImagenZ3Y3I.heic 4월 12일 저녁식사


저녁 식사 중에 간호사 선생님이 오늘부터 먹을 약을 갖다주셨어요!

오늘 저녁부터 먹게 되는 약은..

아토젯정 10/10mg, 아스피린프로텍트정 100mg, 프로맥정 75mg 이 3가지 약이에요.

(이것도 나중에 김소은 과장님께 물어보니까 MRI 영상을 보시고,

오늘부터 급성기 치료를 시작하셔서 약을 처방하셨다고 들었어요)

그 약이랑 트라몰8시간서방정 650mg도 같이 먹게 되었어요.

암튼, 저녁을.. 후딱~ 맛나게 다 먹었어요.

다 먹고, 아내가 사다준 딸기랑 후식도 먹고~~~

아직 입원 첫날이라 식욕은 원래대로 있었네요.


아내는 좀 이따가 집으로 가고~~~

나는 침상에서 좀 쉬고 있었는데~~~~

바깥을 보니까 비가 엄청 쏟아지고…


그런데, 몇 시간 전부터 계속 들려오는 소리가 있었어요.

무슨 기계소리였는데, 계~~~속 들려서 좀 신경이 쓰이긴 했어요.

얼마 지나지 않아 방현아 간호사 선생님이 병실에 오셨는데,

혹시 불편한 것이 있으면 말씀해달라고 하셔서

무슨 소리인지 여쭤봤어요. 옆옆 침대에 계시는 할아버지께서 가래 흡입하는 기계소리래요.

좀 소리가 요란하지만, 어쩔 수가 없었지요.

현아 선생님이 병실을 변경해드릴까요? 라고 하셨지만,

나는 괜찮다고 했어요. 병동에서는 이런 저런 소리가 날 수도 있구나 생각했어요^^

그래서.. 혹시 병원 안에 편의점이 있으면 귀마개 사올까 해서 여쭤봤는데,

병원 안에는 없고, 병원 앞에 있는데, 병원 밖으로 나가려면 신청서 쓰고…

좀 복잡할 것 같아서 그렇게는 못했는데,

혹시 귀마개가 있는지 여쭤보니까 있대요! 현아 선생님이 바로 갖다 주셨어요!!!

어찌나 감사했는지… 이런 작은 배려에 감사하고…

현아 선생님의 친절하고 따뜻한 마음에도 감사해요..

바로 귀마개 착용하고…해드폰도 끼니까 좀 낫네요!!!


tempImageSMxRH2.heic 현아 선생님이 주신 3M 귀마개


이렇게 저녁 시간을 보내고 9시 넘으니까 불이 꺼지네요.

병원에서는 일찍 자고 일찍 일어나는 것을 처음 알았어요.

그래도 이렇게 일찍 자는 건 진~~~~짜 오랜만이네.

언제 이렇게 일찍 잤는지 기억도 안나지만

전체 소등 시간이 10시네요. 불이 꺼지니까… 술술 잠도 오네요

평소보다 훨씬 일찍 자는거라 잠들 수 있을지 살짝(?) 걱정은 했지만…

사람은 환경에 바로 적응하나봐요. 금방..잠이 들었네요

내일은 일요일, 병원에서, 53병동에서는 어떤 일이 있을까.

내일로 계속됩니다~


To be continued ㅎㅎ

(입원 둘째날로 계속)




1부를 9월에 써놓고..

2부를 두달이나 지나고 올리게 되었어요.

사실..

9월에는 오랫 동안 쌓인 피로와...

최근에 깨달은 나의 정체성에 대한 상실감 때문에

몸도 마음도 힘든 시간을 보냈고...

10월은 고향에서 회복과 힐링의 시간을 갖게 되어서

(나중에 그런 이야기들도 올릴게요)

다시 일상복귀하고 시간이 이렇게 지나갔네요.

기억은 정말 시간이 지날수록 잊혀지는 법이니까..

하루 빨리 다 쓰고 기억해두고 싶은데,

그게 쉽지가 않네요..

하지만, 꼭 끝까지 쓸 거니까..

조금만 기다려주세요^^;




의학용어

Brain MRI (Magnetic Resonance Imaging) : 뇌 조직 자기공명영상. 뇌 안쪽 구조를 사진처럼 찍어 큰 이상이 없는지 확인하는 검사.

Brain MRA (Magnetic Resonance Angiography) : 뇌혈관 자기공명영상. 뇌 속 혈관이 좁아졌거나 막혔는지, 이상 혈관이 있는지 보는 검사.

Diffusion MRI (Diffusion-Weighted MRI, DWI) : 확상강조영상을 의미하며, 주로 급성 뇌손상 특히 뇌경색(뇌졸중) 확인에 사용됨. 일반 MRI와 달리 분자의 움직임(diffusion)을 영상화. 급성 뇌경색이 생기면 물 분자의 이동이 제한되므로 조기 발견 가능. 증상이 나타난 직후에도 뇌경색을 민감하게 확인할 수 있음. 뇌경색처럼 갑자기 생긴 작은 손상을 빨리 확인할 수 있는 특수 MRI.

Carotid MRA (e) : 좌우 경동맥 자기공명혈관촬영을 의미하며, 목의 주요 혈관 상태를 확인해서 뇌로 가느 혈류가 막히거나 좁아진 곳이 없는지 보는 검사. 필요하면 조영제를 사용해 혈관 상태를 더 선명하게 보는 검사.


의약품

트라몰8시간서방정 650mg : [성분/함량] Acetaminophen(아세트아미노펜) / 650mg [효능] 해열진통제로 열을 내리고 통증을 줄여줍니다.

아스피린프로텍트정 100mg : [성분/함량] Aspirin(아스피린)/100mg [효능] 심근경색, 뇌경색 등 진환에서 혈전 생성을 억제합니다. 혈소판 응집 저해제.

아토젯정 10/10mg : [성분/함량] Atorvastatin Calcium Trihydrate(아토르바스타틴칼슘삼수화물) / 10.9mg (아토르바스타틴(으)로서 10mg), Ezetimibe(에제티미브) / 10mg [효능] 고콜레스테롤혈증을 치료합니다.

프로맥정 75mg : [성분/함량] Polaprezinc(폴라프레징크) / 75mg [효능] 궤양치유 촉진 및 항염증 작용을 통해 위궤양과 위염증상에 복용합니다.




keyword