소랑이와 행복했던 10주 세 번째 이별

이젠 빼박 습관성 유산, 반복 유산..

by 황소영

2023년 3월 25일, 우린 예상치 못한 이별을 선고받았다. 소랑이가 떠난 것이다.


브런치에 한동안 글을 못 올렸는데 소랑이와의 추억을 이곳에 처음이자 마지막으로 남기고자 글을 쓴다. 글로 먹고사는 직업인데 큰 아픔과 마주했을 때 글이 주는 위로나 마음을 정리하는 힘은 상당한 것 같다. 그래서 내게 세 번째 아픔이지만 이날을 남기고 정리하고자 한다.


지난 2월 12일 새벽 마지막 남은 임신 테스트기가 있어서 생리 예정일 하루 전이길래 임신은 아니겠지만 테스트기를 쓰고 버려야겠다는 생각으로 해봤다. 그런데 이것이 무엇인가. 잠결에 잘못 봤나. 두 줄이 나왔다. 임신이 됐다는 생각이 없었기에 이번에도 실패라 생각하고 마음껏 술을 마셨는데 이틀 전 마신 술이 마지막이라니 급작스러운 술과의 이별에 아쉬움이 남았지만 1년 2개월 만에 아기천사가 찾아왔다니 이것이 현실이 맞나 싶었다.


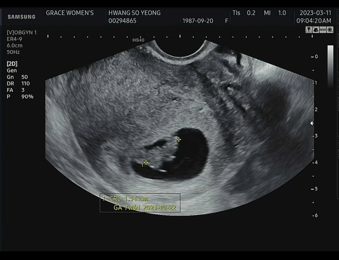
기쁨과 불안감이 공존했다. 두 차례의 유산(계류유산, 화학유산) 경험이 있었기에 이 아이를 이번에도 못 지키면 어쩌지 공포감이 있었다. 소랑이는 4주 1일 점 같은 아기집을 지었고 5주 6일엔 2mm의 크기를 자랑하며 난황에 매달린 모습으로 엄마, 아빠에게 인사했다. 7주 6일엔 170 BPM이 넘는 쿵쾅쿵쾅 심장소리와 깜찍한 1.5cm 이 등신 몸매로 반하게 했다.


손과 발이 생긴 귀여운 9주 6일 이 등신 소랑이를 만나러 갈 생각에 설렘 가득이었는데 소랑이의 심장은 뛰지 않았다. 8주 4일께쯤 크기로 성장이 멈춰있었고 쿵쾅거리던 심장도 조용했다. 반짝거리던 심장이 내 눈에도 보이지 않았다. 의사 선생님은 유산의 명확한 이유가 없다는 얘기와 함께.. 수술 날짜를 잡자고 했다. 수술 후 태아의 유전자 검사를 해보자고 했다.


앞서 두 번의 유산 후 습관성 유산검사를 했었다. 나팔관 조영술도 했다. 그러나 이상은 없었다. '왜 자꾸 이런 일이 벌어지는 거지?'란 생각이 들면서 '내 자궁이 아기가 자랄 환경에 적합하지 않은 것인가?'란 생각이 떠나지 않았다. 아님 우리 부부의 유전자 문제인가란 생각도..


소랑이를 진짜 만나고 싶었나 보다. 남편이 없을 때 엉엉 울었다. '하나님 이번엔 좀 지켜주시지 그랬어요. 제가 너무 힘들어할 것 아시면서 진짜 너무 해요..' 기도보단 거의 그냥 나의 신세한탄에 가까웠다. 그런데 생각해 보면 난 지난 2월과 3월 10주 동안 소랑이와 함께하며 정말 행복했다. 입덧(먹덧, 체덧)으로 진땀이 난 적이 있지만 토덧처럼 괴롭지 않았고 포동포동 살이 오르는 것만큼 남편과 행복한 미래를 꿈꾸며 웃었다. 소랑이와의 이른 이별이 너무 속상하지만 잘 보내줘야겠다.. 고마웠다고 진짜 사랑했다고..


세 번째는 꼭 성공하리라, 실패는 없다고 생각했는데 한낱 인간의 뜻대로 되는 것이 있으랴. 생명은 하나님의 영역이다. 내일 일을 모르는 인간이기에.. 그분을 믿고 의지하며 오늘도 살아가야겠지.. 내일 수술하는 날인데.. 출산을 앞둔 산모들, 이미 출산한 산모들과 한 공간에서 6시간 있어야 한다는 게 벌써 고통이다. 몸보다 마음이 더 아픈 수술인 것을 알기에.. 난 언제쯤 아기천사를 만출까지 품을 수 있을까.

keyword
작가의 이전글이젠 추억의 한 페이지가 된 못생긴 '약과'