유방을 재건하면 좋은 점들

여성의 아름다움과 자존감을 단 한 순간도 잃어버리는 일이 없도록

by 명유진

암 치료의 근본은 암이 발생한 조직을 제거하는 것이다. 이는 유방암도 마찬가지이며, 유방의 분비샘 조직 (유선)에 발생한 종양을 그 주변의 약간의 정상 조직을 포함하여 절제하는 것이 유방암 절제 수술의 원칙이다. 다만 많은 다른 장기에 발생한 종양의 수술과 달리, 유방은 피부와 지방을 포함한 우리 몸 바깥쪽에 있는 기관이며, 그로 인해 유방암이 발생한 유방을 절제하는 것은 우리 몸 내부의 장기를 절제하는 것과 달리 환자에게 상당한 수술 이후의 심리적, 기능적인 후유증을 남길 가능성이 있다.

3843850_0.jpg 한쪽이 비워져 있는 것은 언제나 좋지 않다. 특히 가슴의 경우라면...


유방절제 이전의 다양한 선행 항암, 즉 수술 전 먼저 시행하는 항암치료와, 수술 후의 항암치료, 방사선 치료 기술의 발달로 인해 최근에는 점점 더 절제의 범위가 축소되어 환자에게 최소한의 부담을 주는 방향으로 지속적인 발전이 이루어지고 있다. 하지만, 여전히 조기진단에 실패하였거나 암의 범위가 큰 경우는 암이 발생한 쪽의 가슴을 통째로 절제하는 유방 전 절제술이 최적의 수술적인 치료법이며, 이러한 수술 이후에는 환자는 그야말로 한쪽 유방이 완전히 사라져 버리게 된다.


그렇다면 단순히 유방암으로 유방을 절제하는 환자들에 비해, 유방 재건 수술을 하면 어떤 점이 환자들에게 좋을까?


1. 유방 재건 환자들은 암 치료 이후 삶의 질과 자존감이 훨씬 올라가고, 높아진다.

breast-cancer.jpg 유방 절제술을 시행하고 모든 분들이 이렇게 행복하고 밝게 지내기는 힘들다.


유방암으로 인해 한쪽의 유방이 없어진 환자들의 이후 심리적인 충격은 얼마만큼일까? 이와 관련하여 유방 절제술을 받은 환자들의 자신의 신체에 대한 자존감, 삶의 질, 성적인 활동, 사회적인 역할, 정신적인 건강, 미래 건강에 대한 고민 등의 모든 항목에서 유의미하게 좋지 않은 결과를 보인 것으로 나타났다. 이는 환자의 나이, 경제적인 수준, 인종과 관련이 없이 모든 환자에서 그러한 것으로 분석되어, 암으로 인해 유방 전체를 절제하는 것이 얼마나 환자에게는 충격적이고도 힘든 일인지를 잘 보여준다.

qol.jpg 유방 절제술을 시행받은 환자들은 정신적으로도, 신체적으로도 무척 힘들다.


이에 반해 유방 재건수술을 시행한 경우, 유방을 절제하고 재건 수술을 시행하지 않은 환자들에 비해 당연히 자신의 신체 이미지에 대한 자존감과 자신감이 높으며, 그에 더해서 정신적인 건강과 전체적인 삶의 질이 일반 인구의 수준으로 극적으로 끌어 올라오는 결과를 보였다. 재건을 한 환자들은 원래의 직장으로의 복귀나 사회생활 사회적으로 더 많은 역할을 하고 더 행복하고도 정상에 가까운 암 치료 이후의 삶을 영위하는 것으로 나타났다.

그림1.jpg 유방 절제술과 동시에 시행한 유방재건술을 시행받은 환자들은 수술 후 삶의 질 측면에서 암이 없었던 일반 인구와 차이가 없는 결과를 보였다.


2. 유방 재건을 시행하면 팔과 어깨를 포함한 상체의 운동기능 회복이 빠르다.

woman-shows-scar-mastectomy-operation-260nw-1173834820.jpg


또한 한쪽 유방이 없는 것은 단순히 외형의 변화만으로 그치는 것이 아니다. 우선, 유방 절제술을 시행하는 과정에서 일정량의 피부와 연부조직, 그리고 근막과 근육, 감각신경과 운동신경의 절제를 동반하게 된다. 이후 수술 부위가 치유되는 과정에서 없어진 조직의 빈자리가 흉터 조직으로 채워지면서 낫게 되는데, 이때 어쩔 수 없는 조직의 유착과 운동 범위 저하가 발생하게 되고, 절제한 측의 어깨와 팔의 운동에 영향을 주게 된다. 이에 더하여 수술 부위에 수술 후 방사선 치료까지 더해지게 되면, 방사선 치료가 암세포를 파괴하는 대신 정상 조직의 원하지 않는 조직 손상을 어쩔 수 없이 유발하므로, 운동기능은 더더욱 떨어질 수밖에 없다.


그림2.jpg 유방 절제술과 방사선 치료는 팔과 어깨의 운동범위와 근력에 상당히 좋지 않은 영향을 끼친다.



반면에 유방을 재건하는 경우, 물론 재건하는 방법에 따라 조금씩 다르기는 하나 절제로 인한 조직의 손실을 보충해주고 피부와 조직의 부족에 따른 구축의 진행을 막아주기 때문에 수술 후 팔과 어깨의 움직임 회복이 더 빠르고, 같은 재활치료를 시행하여도 재건을 하지 않은 경우에 비해 재건을 시행한 경우 더 효율적인 기능 회복을 기대할 수 있다. 한 마디로, 재건을 하면 팔과 어깨가 더 잘 움직일 수 있다는 것이다.


그림3.jpg 필자가 진행하고 작성한 연구 논문. 유방재건술을 시행한 환자들은 그렇지 않은 환자들에 비하여 재활치료 후 어깨 기능 회복이 빠르고, 더 효과적이었다.



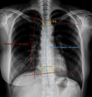
3. 유방 재건을 하면 자세가 한쪽으로 기울지 않아 척추가 덜 휜다.

1-s2.0-S1526820917303117-gr1.jpg


한쪽의 가슴이 없어지게 되면 결국 한쪽으로 무게중심이 쏟아지게 되어, 이를 보상하기 위해서 척추에 어쩔 수 없는 무리가 간다. 이때 특이한 점은 유방절제를 시행한 쪽의 무게가 가벼워서 그쪽의 어깨가 올라가고 무거운 쪽이 내려가는 방향으로 척추가 휠 것 같지만, 오히려 반대로 유방이 남아있는 쪽을 자기도 모르게 힘을 주고 올리고 있게 되므로 절제 수술을 한 반대쪽으로 어깨가 치켜 올라가고 척추측만 또한 이러한 방향으로 진행되게 된다는 연구 보고가 있으며, 실제로도 한쪽 유방이 절제된 채로 오래 사신 분들 중 상당히 많은 분들이 등과 허리, 어깨의 통증을 호소하는 것을 자주 보게 된다.


그림4.jpg 한쪽의 가슴이 없어진 채로 오래 살게 되면, 어쩔 수 없이 신체의 자세가 영향을 받게 되고, 이에 따른 여러 가지 척추의 비대칭과 측만이 유발된다.


이와 반면에, 동시 유방 재건을 시행한 경우 재건을 하지 않은 환자들에 비하여 유의하게 등과 허리의 통증 유병률이 낮았으며, 척추의 휨 정도가 덜했고, 측만증의 유병률 또한 당연히 낮았다. 이는 유방 재건을 시행한 환자들의 가슴이 단순히 반대편 정상 측과 무게가 비슷하기 때문이었을 수도 있고, 혹은 재건을 한 환자들이 좀 더 열심히 재활치료에 참여하고 운동 또한 열심히 한 것이 원인일 수도 있지만, 결과론적으로 보았을 때 재건을 시행한 환자들에서 어깨 운동기능과 더불어 전체적인 신체 자세 (body posture)가 더 바르고, 근골격 계통의 무리가 덜 했음을 보여주는 결과이다.


역시 필자가 진행하고 작성한 논문. 한쪽의 유방암으로 인해 절제술을 시행한 환자들 중 재건을 시행한 환자들에서 척추의 휨 정도가 덜했고, 등과 허리 통증 유병률이 더 낮았다.


이처럼 단순히 유방을 재건하는 것은 겉 보기에 가슴이 없는 것에 비해 있는 것이 더 좋아 보이는 정도의 문제가 아닌, 환자들에게는 심리적이고 기능적인 수많은 긍정적인 효과를 기대할 수 있는 '치료'이다. 유방암의 치료 성적과 생존율이 높아지고, 기대 수명과 평균 연령 또한 많이 올라간 사실을 감안한다면, 환자분들이 동시, 혹은 지연 유방 재건에 대하여 더 열린 태도를 갖고 긍정적으로 수술과 치료에 임하셨으면 좋겠다.


2018040901091_1.jpg 평균수명 80세 시대. 암 절제 이후로도 건강히 살아야 할 날이 많다. 많은 분들이 좋은 재건 치료로 오래오래 행복하고 건강하게 사시길 바란다.


keyword
작가의 이전글임파부종(1): 림프관이란 무엇인가?