brunch

[27주 임신일기] 베이비페어, 4D 입체 초음파

베페 방문 후기, 그리고 4D 입체 초음파 성공!

by cosmos

26주, 두근두근, 임당검사 결과 통보. 그리고 자궁경부길이에 대한 맘카페의 흉흉한 소문

27주, 베이비페어 첫 방문, 그리고 4D 입체 초음파 촬영



10월 2일 일요일 (27주 0일)

임신을 하고 출산 전 꼭 한 번쯤은 가보게 된다는 베이비페어, 나도 이전에 여러 번 베이비페어에 사전등록을 해두었지만 입덧 때문에, 여행 때문에 기회를 놓쳤었다. 이번에는 개천절 연휴로 주말이 길어서 남편과 함께 나들이를 겸해 베이비페어를 가보기로 했다. 무얼 특별히 사겠다는 목적은 아니었고, 그저 우리는 아기 용품에 대해 무지하기에 어떤 물건들이 있는지, 어떤 것들을 사야 하는지 설명을 들어보기 위해 찾아갔다.

2022-10-10 11 24 08.png 우리가 방문한 인천 베이비&키즈페어 | 인천국제유아교육전 (@송도컨벤시아)

우리가 방문한 전시장은 단독 베이비페어라기보다는 유아교육전이 메인인 느낌이라, 우리가 원하는 물건 종류들이 많지는 않았다. 출산을 하면 꼭 사고자 하는 분유 제조기, 분유 포트 같은 것들은 없었고, 유모차도 종류가 많지는 않았다. 그래도 아기자기한 아기 옷들과 젖병, 젖병소독기, 욕조, 장난감 등을 구경할 수 있었다. 한 바퀴를 쭉 돌아보고, 아기 천 손수건과 밤부 손수건을 저렴하게 판매하는 곳이 있어서 천 손수건 30매에 만원, 밤부 손수건 10매에 9천 원으로 총 19000원에 손수건 40장을 득템했다. 그리고 아이를 위한 보험상품 등 설명을 듣고 사은품도 좀 챙겼다.

우리가 들었던 태아보험을 점검해준다는 곳도 있어서 설명을 들어봤는데, 들어보고 우리가 내린 결론은 그렇다. 같은 보험사의 상품이지만, 담보를 좀 덜어내어 월 보험료를 더 저렴하게 구성한 보험상품을 제시하고 '당신은 이렇게 많은 보험료를 내고 있었습니다!', '이전에 가입한 보험을 해지하고 제가 설계한 상품을 다시 가입하세요!'라고 설득하는 게 이 사람들의 영업 방식이었다. 우리에게 설명을 해줬던 영업사원 분은 '담보를 꼼꼼하게 잘 구성하긴 했는데 보험료가 비싸네요.'라고 했다. 우리가 내는 보험료의 60% 수준으로 설계한 보험상품을 우리에게 제시하고 재가입을 권유했지만, 이미 임신 27주인지라, 태아와 임부에게 발생할 수 있는 질병에 대한 담보는 재가입할 수 없어서 마음을 접었다. 그 대신 아기가 태어나고 1년 뒤, 이미 가입한 담보를 삭제하는 방식으로 보험료를 줄일 수 있는데(장기보험은 기본적으로 중간에 담보를 줄이는 건 되지만, 추가하는 건 안된다고 생각하면 된다.) 그 방식을 택하기로 했다. 그리고 내심 담보가 잘 구성되었다는 생각에 병원에서 가입했던 설계사 분께 고마운 마음도 들었다. 꼼꼼한 담보 구성은 나중에 아기가 건강하게 태어난다면 좀 줄이면 되니까.

8119921_1 (1).jpg 왼쪽부터 분유 제조기, 분유 포트, 냉온정 정수기

그리고 우리는 육아의 질을 높여준다는 분유 제조기를 위해, 분유 포트를 구입하기로 마음먹었었는데(분유 제조기에도 40도의 온수를 넣어주어야 한다. 분유 포트는 물을 한번 끓였다가 원하는 온도로 식혀서 유지시켜주는 기능이 있다.), 분유 포트 대신 원하는 온도의 물을 받을 수 있는 정수기를 렌탈하기로 마음먹고 정수기 상담도 받았다. 우리 집에서 배출되는 상당한 양의 생수병 플라스틱 때문에 마음 한편에 있던 죄책감도 조금 덜어내길 바라면서... (그러나 결국 계약은 다른 곳에서 알아봐서 진행했다...)

별 건 없었지만 이것저것 양손에 들고 집에 돌아왔다. 베이비브레짜가 없어서 아쉬운 마음을 뒤로하고...


10월 6일 목요일 (27주 4일)

내가 임신 이후 꾸준히 지속하고 있는 필라테스, 오늘도 필라테스를 가는 날이다. 선생님과 호흡이 잘 맞고, 운동 부위를 다양하게, 기구도 다양하게 구성해 매번 '오늘은 어떤 운동을 하려나' 기대하는 마음으로 센터를 찾곤 한다. 처음에 산전 필라테스를 시작했을 땐 오래 운동을 쉬어서, 그리고 입덧 때문에 잘 먹지 못하고 컨디션이 안 좋은 상태가 오래되어 운동을 잘 따라가지 못했었다. 특히 나는 원래부터도 상체 근력이 많이 부족한 편이었는데, 상체운동을 할 때는 어지럼증까지 느껴 잠시 휴식 후 운동을 재개해야 하기도 했다. 그러나 운동을 꾸준히 하고, 집에서 스트레칭, 가끔 산책을 병행하니 컨디션이 많이 좋아졌고 운동능력도 향상됐다. 오늘은 상체 운동을 하는 날이었는데, 선생님도 예전보다 확실히 나아졌다며 '뿌듯하네요'라고 하셨다. 저도 뿌듯합니다!

2022-10-10 12 02 46.png 친한 언니가 생일선물로 준 해피테일즈 바디필로우

요즘 가장 불편한 점은 잘 때 허리가 너무 아프다는 것이다. 똑바로 자는 게 편하긴 하지만 배가 뭉치는 느낌이 들 때가 종종 있어서 다리 사이에 바디필로우를 끼우고 옆으로 자는 경우가 많은데, 척추가 일자로 유지되지 않아서 그런지 일어나서 허리가 너무 아프고, 심지어는 새벽에 허리가 아파서 잠에서 깨기도 한다. 허리가 덜 아프게 자는 방법을 연구해봐야 하나...

여전히 새벽에 쥐는 찾아오려고 내 종아리에 어슬렁 거리지만, 이제는 좀 요령이 생겨서 쥐가 날 것 같다! 싶으면 바로 반대로 발목을 쭉 당겨 쥐를 쫓아낸다.

종아리에 쥐, 빈뇨, 허리 통증 등으로 새벽에 자주 깨곤 해 주말만이라도 늦잠을 자고 싶은데 이놈의 몸속 시계는 내가 6시간 이상 자는 꼴을 못 본다. 가끔 피곤해서 9시에 자도 3시면 잠에서 깬다. 출산하고 나면 더 수면의 질이 떨어질 텐데, 언제쯤 푹 자볼 수 있을까.


10월 7일 금요일 (27주 5일)

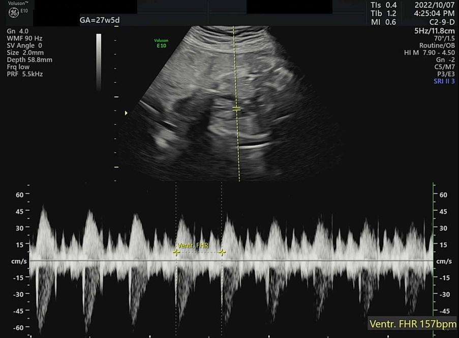
오늘은 병원에서 4D 입체 초음파를 찍기로 예약한 날이다. 입체 초음파는 아기의 모습을 입체적으로 사진 찍듯이 볼 수 있는데, 27주쯤에 찍어야 아기도 통통하게 살이 올라 예쁘게 찍힌다고 하여 이때 예약했다. 초음파실에 들어가서 아기가 주수에 맞게 잘 컸는지부터 확인했다. 2주 전 860g 정도였던 써니는 벌써 1kg를 돌파하여 1096g이 되었다. 임신 28주 이후에 체중이 1000g을 넘은 아기는 조산하여도 NICU(Neonatal Intensive Care Unit, 신생아 집중치료실)에서 치료를 받을 경우 생존 가능성이 95% 이상이다. 가장 친한 친구 중 한 명이 NICU 간호사인데, 매번 써니의 체중을 물어보았었다(직업병..?). 이제 1kg를 넘었으니 혹시나 세상에 일찍 나와도 이모한테 가면 살 수 있다. 그래도 이모 일터에는 가지 말자 써니야...

KakaoTalk_20221010_121559048.jpg
KakaoTalk_20221010_121559048_01.jpg
KakaoTalk_20221010_121559048_02.jpg
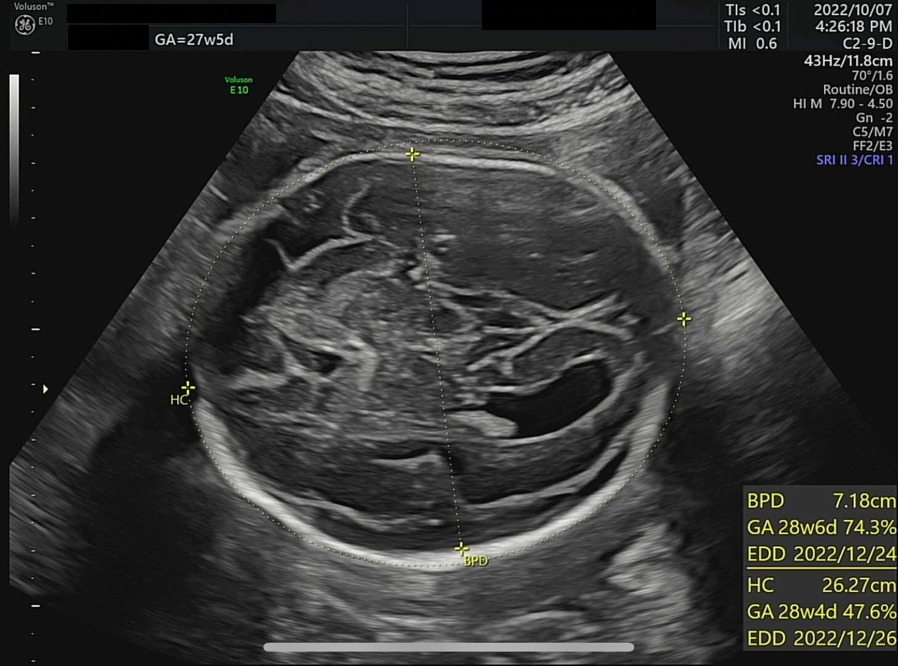
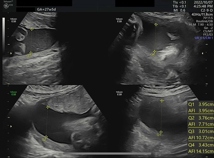
왼쪽부터 심박수, 양수량 확인, 머리 좌우 직경과 둘레 그리고 그에 따른 예상 분만일. ± 1주정도는 일반적이다.
KakaoTalk_20221010_121559048_03.jpg
KakaoTalk_20221010_121559048_04.jpg
KakaoTalk_20221010_121559048_05.jpg
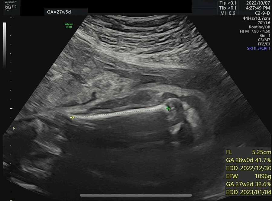
왼쪽부터 복부 둘레, 허벅지뼈 길이와 예상 체중(머리 좌우직경과 복부 둘레로 예측), 팔뚝뼈 길이
KakaoTalk_20221010_121559048_06.jpg 기계는 서양 데이터 기반이라 한국 아기는 이에 비해 머리가 조금 크고 몸통은 좀 작고 다리도 좀 짧다고... (다리는 기니까 다행...)

그리고 아기의 얼굴을 보기 위해 요리조리 확인을 해보았는데, 아기가 내 등 쪽으로 고개를 돌리고 있었다. 왼쪽으로 돌아 누워서 옆모습이라도 볼까 했는데 고개를 더 돌려버리는 아기. 배를 좀 흔들어보았으나 결국 1차 실패. 나가서 15분 정도 기다리면서 계단을 올라가 보라고 했다. 그리고 2차 시도, 이번엔 아기가 양팔을 얼굴 앞으로 올려 아예 얼굴을 가리고 있었다. 수줍은 거니, 보여주기 싫은 거니... 엄마는 기억하겠어... 결국 2차 실패. 초코우유 한 팩을 받아 들고 다시 병원 복도를 한참 걸었다.

3차 시도 때는 아기가 팔을 내렸다. 그 대신 태반에 얼굴을 파묻고 있었는데, 내가 왼쪽으로 돌아누우니 얼굴과 태반 사이에 공간이 조금 생겨 사진을 찍을 수 있었다. 오똑한 코와 통통한 볼이 너무 예쁘다. 특히 우리가 초음파 사진을 보고 아빠를 닮았다고 확인했던 코 모양은 입체로 보아도 정말 아빠를 똑 닮았다. 작고 소중한 우리 아기, 엄마가 조금 귀찮게 해서 미안해! 그래도 얼굴 보여줘서 고마워♥

KakaoTalk_20221010_124046450.jpg
KakaoTalk_20221010_124046450_01.jpg
아빠를 똑 닮은 코, 특히 콧볼... 오른쪽은 양수를 먹고 있을 때 찍혀 입모양이 너무 귀엽다.


keyword
작가의 이전글[26주 임신일기] 임당검사 그리고 자궁경부길이