brunch

운동 중 상해_골절

선수들을 위한 운동 상해 정보 시리즈

by WLE ATC

운동 중 상해_골절


운동 중 발생할 수 있는 부상의 종류는 그 수를 헤아릴 수 없을 만큼 다양하다.


우리가 운동 중에 가장 흔하게 접하게 되는 부상이 바로 근골격계 부상인데, 이는 염좌, 염증, 타박, 탈골과 아탈골, 그리고 골절 등을 포함한다. 근골격계 부상이란 명칭에서 유추할 수 있듯이 이들은 뼈와 관절, 근육, 인대와 힘줄, 관절낭 등 다양한 근골격 부위에 다양한 기전으로 인해 발생되는 부상들이다.


이미 소개된 '염좌'에 관한 내용은 이전 글을 통해 확인해보기로 하고, 오늘은 염좌만큼 흔하지는 않지만 부상의 심각성이나 위험성 측면에서 둘째 가라면 서러운 근골격계 부상, '골절'에 대해 알아보기로 하자.


골절이란 무엇인가?


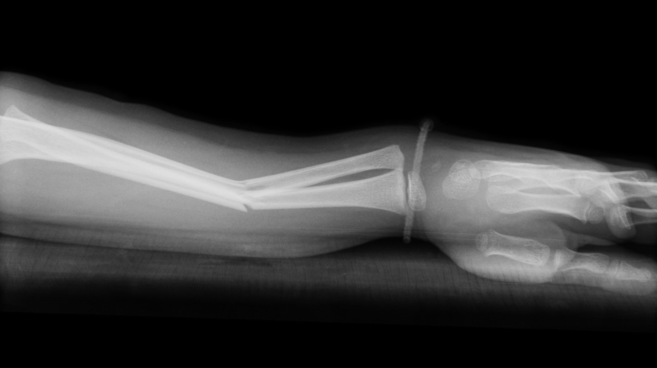
골절이란 외력 혹은 내부 구조물들의 비정상적인 마찰이나 충격에 의해 뼈의 연속성이 완전 혹은 불완전하게 소실된 상태를 지칭하며, 이는 뼈에 발생하는 균열(실금)이나 조각남 혹은 부러짐과 같은 손상을 동반한다.



예외적으로 다양한 종목의 운동선수들에게 심심치 않게 관찰되는 피로 골절이나 골 좌상(뼈에 멍이 드는 부상)의 경우에는 정밀 검사를 통해 명확한 손상이 관찰되지 않음에도 불구하고, 뻐에 직접, 반복적으로 전달되어온 다양한 피로의 누적이나 일시적으로 경험하게 되는 과도한 충격으로 인해 뼈에 통증 혹은 염증이 발생하는 부상이다.


골절의 종류


골절은 크게 개방성 골절과 폐쇄성 골절로 나뉘는데, 개방성 골절은 말 그대로 골절된 뼈가 피부를 뚫고 나와 외부에서 눈으로 직접 관찰되는 골절, 폐쇄성 골절의 경우 뼈의 손상 정도와는 상관없이 골절된 뼈가 피부 밖으로 돌출되지 않아 눈으로 직접 확인이 불가능한 상태의 골절을 의미한다.


골절의 종류


기본 형태별

완전 골절 : 뼈의 연속성이 완전히 끊어진 상태

불완전 골절 : 뼈의 연속성은 유지되지만, 부분적으로 혹은 한 쪽면이 손상된 상태


발생 기전별

충돌, 압박 골절 : 직접적인 충돌(충격)이나 뼈와 뼈의 접촉으로 인해 발생된 골절

피로 골절 : 반복적인 스트레스로 인한 골 조직의 파손 또는 미세 골절, 완전 골절로도 발전 될 수 있는 상태


세부 손상 형태별

평면형 골절 : 뼈의 횡단면과 평행하게 발생된 골절

대각선형 골절 : 뼈의 횡단면과 평행하지 않게 대각선으로 발생된 골절

조각 골절 : 뼈의 일부 혹은 전체가 조각난 골절

나선형 골절 : 뼈의 가운데 축을 중심으로 나선형으로 틀어지며 손상된 골절



대표적인 운동 중 골절의 예


상대 선수 혹은 기물과의 접촉이나 과격한 움직임이 요구되는 경기나 훈련에 참여하는 운동선수에게 골절의 위험성은 대단히 크다. 운동 중 골절의 경우 작고 얇은 손과 손목, 발과 발목 부위 뼈들의 골절이 대부분이지만, 과도한 외력(충격)에 의한 크고 굵은 다리나 팔, 혹은 척추 뼈의 골절 가능성 역시 높다.


상대적으로 커다란 뼈들의 골절 시에는 해당 뼈의 골절 이외에도 2차적으로 근육이나 혈관 또는 신경의 손상을 야기할 수 있기 때문에 더욱 세심한 부상 점검과 적절한 응급처치 및 관리가 중요하다.


외력에 의한 충격이나 일시적인 충돌 없이도 선수들에게 흔히 발생되는 피로 골절이나 골 좌상의 경우에는 선수가 심부 혹은 연부 조직 이외의 위치에 통증을 호소했을 때, 무심코 지나치지 말고 즉각적인 휴식과 빠른 시일 내의 전문의 진료를 보장하여 관련 증상과 관련한 정밀 진단을 받아 볼 수 있도록 하는 것이 증상 혹은 부상의 악화를 막을 수 있는 가장 효과적인 선택이 될 수 있다.


골절의 증상


일반적인 골절의 증상은 다음과 같다.


골절의 증상


붓기 Swelling

해당 부위 피부의 붉어짐 Redness

통증 Pain 혹은 시림증상 Soreness



추가적으로 눈으로 직접 확인이 가능한 개방성 골절이 아니어도, 골절이 있을 경우 해당 손상 부위와 연결된 관절의 움직임이 아예 불가능하거나 약간의 움직임은 가능하더라도 극심한 통증이 동반되기 때문에 어렵지 않게 골절 여부를 확인할 수 있다. 다만 더욱 안전하고 적절한 음급처치를 위해 다양한 부위의 골절 여부를 확인하기 위한 스페셜 테스트나 응급처치에 대한 사전 교육이 절실하다.


골절에 대한 응급 처치 및 관리 요령


골절이 의심될 경우, 해당 부위에 추가적인 스트레스나 충격이 가해지지 않도록 주의하고, 응급 구조사에 의한 병원 후송이 이루어지기 전까지 완벽한 고정과 보호가 요구된다. 이때 현장 상황(폐쇄성 혹은 외부 골절의 경우)에 따라 얼음주머니를 활용한 통증 및 붓기 관리의 노력이 요구될 수 있다.


개방성 골절이 발생했을 경우에는 우선 지혈을 위한 드레싱이나 압박을 실시하고, 피부 창상 주변 부위의 소독을 통해 2차적인 감염 예방을 위한 조치 또한 잊지 말아야 한다.


의식의 소실이나 호흡 곤란 혹은 내장의 손상을 초래할 수 있는 머리와 흉부의 골절, 신경적인 손상이 동반될 수 있는 척추 골절, 그리고 주요 혈관의 손상으로 인한 과다 출혈의 위험성이 큰 허벅지(긴 다리뼈) 골절 등의 경우에는 상황 발생 즉시 119에 신고하고, 전문 응급 구조사의 도착 시까지 해당 선수의 심리적 안정환부의 보호 및 지혈, 그리고 호흡 유지 등의 노력을 병행 실시해야 함을 명심해두자.




골절 예방하기


경기나 훈련에 참여해야 하는 선수들의 골절을 100% 예방하는 방법은 없다. 하지만 골절의 발생 가능성이나 위험성을 낮추는 것은 아래와 같은 노력을 통해 어느 정도 가능하다. 유비무환의 마음가짐으로 최선을 다해 실천해 보길 기대한다.


골절 예방을 위해 실천해야 할 노력들


부상에 대한 체계적인 재활점진적인 훈련 복귀

건강한 식습관의 유지 및 꾸준한 칼슘 보충제 섭취

균형 감각과 취약 부위 근력 향상을 위한 보강 훈련

정상적인 기능 움직임의 회복

훈련 및 경기 후 적절한 그리고 똑똑한 휴식

각종 안전 장구의 활용

본인의 나이, 성별과 신장에 따른 적정 체중의 유지

금연!!!


keyword
매거진의 이전글코어 운동 시리즈_플랭크