brunch

토리와 신나게 유럽여행

코로나도 걸렸지만 무사히 지나간 임신 중기 (2nd Trimester)

by 앨리스

영국에서 첫 초음파를 보고 난 뒤부터는 본격적으로 임신 중기에 접어들었다. 이 시기는 대부분 '안정기'라고 하는 시기인데, 1차 기형아 검사까지 마쳤으니 크게 걱정하거나 위험할 확률은 많이 줄어들었다고 보면 된다. 나는 은은하던 입덧도 사라져서 그야말로 컨디션이 아주 좋았던 때.


IMG_9620.jpg 아름다운 런던의 가을 날씨

전례 없던 영국의 폭염이 지나고 9월 이후부터는 그야말로 천국 같은 날씨였다. 너무 덥지도 춥지도 않고, 햇빛은 따사롭고, 해는 짧아지기 전이라 일 년 내내 이런 날씨였으면 싶었던. 그래서 우리는 주말마다 런던 센트럴에 외출을 나갔고, 소중한 햇빛을 즐기기 위해 아주 열심히 돌아다녔다.


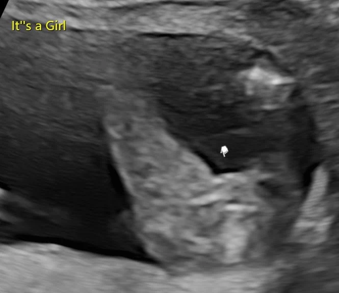
토리의 성별을 확인하다
IMG_9299.JPG Baby Girl!

임신 16주쯤부터는 성별 확인을 할 수 있다. 나는 20주 스캔까지 기다릴 수 없어서 또(!) 프라이빗 스캔을 다녀왔다. 영국에서는 젠더 리빌 파티 (Gender Reveal Party)라고, 아이의 성별을 확인하는 파티를 하는 경우가 많은데 그래서인지 이 스캔 센터에서는 예약할 때 '성별을 너에게 알려줄까, 아니면 따로 써서 줄까'라고 물어본다. 만약 파티를 생각하고 있다면 따로 종이에 성별을 써주고 그걸 파티 주최자 (보통 가장 친한 친구)에게 주면 그에 맞게 파티를 준비하는 것.


Gender-Reveal-Party-Ideas.png 가장 흔한 형태의 젠더 리빌

그러면 파티 주인공인 부부가 파티 당일 풍선을 터트리거나, 케이크를 자르거나, 폭죽을 터트리거나 기타 등등 기상천외한 방법을 통해 그날 서프라이즈로 성별을 알게 되는 것이다. 나는 실제로 젠더 리빌 파티에 가 본 적도, 파티를 생각해 본 적도 없어서 잘 모르겠지만 두근두근하면서 성별을 알게 되는 것도 잊지 못할 기억이 될 듯하다. 어두운 초음파실에서 의사가 차근차근 알려주는 것도 나쁘지 않았지만!


IMG_9375.jpg 우리가 처음으로 산 아기 옷과 실내화


토리는 Baby Girl, 딸이었다.

임신 사실을 알고 나서 따로 아기 용품을 사거나, 집에 뭘 장식을 하지는 않았지만 성별 확인한 뒤에서야 기념으로 아기 옷을 사봤다. 자신만만하게 백화점 아기 용품 코너 갔다가 처음 느낀 감정은 '멘붕'. 일단 옷이 엄청나게 많은데 무슨 용도인지도 모르고, 사이즈는 왜 이렇게 자잘하게 나뉘어있는지... 디자인이 뭔가 조금씩 다른데 왜 이런지도 모르겠고 소재는 또 엄청나게 다양... 한참 고민하다가 그중 제일 무난해 보이는 소재로, 너무 Baby Girl 느낌이 나지 않는 옷을 골라 집에 장식해 두었다.



임산부, 코로나에 걸리면 어떻게 하나요?


IMG_9603.jpg 피해 가지 못한 코로나


10월 초였나, 영국에서는 임산부와 노약자를 대상으로 코로나 백신 4차 접종을 시행하고 있었다. 슬슬 날이 추워지고 있으니 당연히 나도 바로 백신을 맞았고 조나단은 마침 해외 출장이 있어서 일주일 정도 집을 비웠던 그때... 출장에서 다녀온 조나단 컨디션이 영 좋아 보이지 않았다. 터키 출장 다녀오고 주말에 잠깐 집에 있다가 바로 캐나다 출장 다녀와서 그런가, 시차 적응이 덜 되어서 그런가 보다 했는데 결과는 코로나. 오 마이갓... 침실을 따로 쓰기 시작했으나 나도 슬슬 열이 오르고 기침을 하기 시작한 것. 결국 나도 코로나를 피해 갈 수 없었다.


이미 코로나19가 시작된 지 몇 년 지나서 임산부가 코로나에 걸려도 태아에게는 큰 영향이 없다는 걸 머리로는 알고 있었다. 하지만 정말 힘든 건 열이 오르고 목이 아파서 목소리가 안 나오는 지경인데 임산부가 쓸 수 있는 약이 없다는 거였다. (아기가 문제가 아니고 임산부 몸이 너무 힘듦) 한국에서도 그렇지만 코로나 걸린 임산부에게 허락된 약은 오로지 파라세타몰(=아세트아미노펜, 타이레놀) 뿐... 그것도 용량이 정해져 있어서 나는 시간 맞춰 파라세타몰을 먹는 것 말고는 할 수 있는 게 없었다. 결국 나는 텀블러 안에 따뜻한 물을 채워두고 기침 나올 때마다 물을 들이키며 버텼다. GP에 얘기해 봐도 '미안하지만 해 줄 수 있는 게 없어'라는 말뿐... 정말 억울한 건 내가 백신 4차 접종까지 했는데도 면역이 생기기 전에 코로나에 걸려버려서 아플 대로 아팠다는 사실. 어쨌든 일주일쯤 지나고 나니 코로나 증상은 많이 나아졌고 약속된 20주 스캔까지 다녀올 수 있었다.


IMG_9641.jpg 그새 많이 자란 토리

12주 초음파 때와 비슷하게 아주 오랜 시간 초음파를 봤고 모든 장기나 발달 상황이 정상임을 확인. NHS 스캔에서도 성별 알려줄까, 그냥 말하지 말까 하고 물어본다. 따로 프라이빗 스캔을 하지 않은 경우라면 20주 초음파 때 성별을 확인할 수 있는 것.


토리, 여행 가자!

IMG_9801.jpg
IMG_0487.JPG
IMG_0855.JPG
왼쪽부터 파리, 에딘버러, 마요르카에서

코로나에서 벗어나 20주 초음파까지 마친 우리는 그다음 신나게 여행을 다녔다. 당시 집 매매와 이사를 앞두고 있기도 했고, 더 시간이 지나면 여행 다니기 힘들 것 같다는 생각. 흔히 '태교 여행'이라고 휴양지 리조트를 많이 가지만 우리는 오히려 도시로 갔다. 대신 예전보다 스케줄은 훨씬 줄이고, 힘들면 숙소에 돌아와서 눕고, 맛있는 거 많이 먹고 쉬엄쉬엄 다니는 걸로.


자세한 여행기는 네이버 블로그에!

https://blog.naver.com/syalicehong/222996362363

https://blog.naver.com/syalicehong/222988165749

https://blog.naver.com/syalicehong/222987383336


지금 돌이켜보면 이때 짤막 짤막하게 여행 다녀오길 정말 잘했다.


IMG_9927.jpg 이때만 해도 내 배 위에 자주 올라왔는데 이제는 아예 배 근처에도 오지 않는 고양이 도미

임신 기간 내내 코로나 말고 이벤트 하나 없던 내게 12월부터 폭풍 같은 날들이 펼쳐졌기 때문....

(계속)

keyword