brunch

자운고, 청대연고 아토피연고?

한방외용제 스테로이드 연고를 대체할수 있을까?

by 최연승


한방 외용제에 대한 이야기입니다.


외용제의 활용은 활용도가 아주 높습니다.


특히 가려움이 심한 피부질환 환자에게는 일상생활에서 심리적인 안정을 줄 수 있는 장치가 절실합니다.


연고를 바르는 행위 자체가 그런 안정감을 제공하는 측면이 있습니다.

마치 불면증 환자가 수면제를 습관적으로 찾듯이 말이죠.


특히 피부 가려움증이 심하고 습관적으로 스테로이드 연고에 의존하는 경우에는 스테로이드 사용을 줄여가는 과정에서 대체할 수 있는 외용제를 활용하는 것이 무척 필요합니다.


때문에 외용제의 경우에 재처방률이 매우 높습니다.



9dfb8ede84cef5c6bd87733b06e7a641.jpg


가장 잘 알려져있는 연고는 역시 자운고이고요. 습진고, 일황고 등의 연고들도 많이 사용되고 있습니다.


자운고는 염증성 질환에 사용하기보다는 피부의 보습, 컨디셔닝에 조금 더 촛점이 맞춰져있는 측면이 있습니다.


최근에는 청대고, 청대연고에 대한 관심이 높아지고 있는데요. 건선을 비롯해 습진성 피부 질환에서 활용도가 높습니다.



https://www.sciencedirect.com/science/article/abs/pii/S0965229918303741







자운고 효과에 대해서 대조군 설정해서 한 연구인데 재밌는게 대조군도 효과가 꽤 좋은걸로 나옵니다.


그 이유가 대조군에서 사용된게 보습크림이나 연고의 베이스로 사용되는 비즈밀랍이랑 오일류로 만들어졌기 때문이죠.



기본적으로 한방 외용제들의 형태가 왁스 + 오일 베이스에 active ingredient라고 할 수 있는 몇가지 한약재 조합이라고 볼 수 있기 때문에 occlusive나 emolient 계열의 보습제 역할을 일부 담당할 수 있습니다.



때문에 어떤 한약재로 구성되었는지와 무관하게 보습 기능만으로도 피부장벽에 도움이 됩니다.


여기에 다양한 성분들이 추가해서 피부 증상에 따라 구분해서 사용할 수도 있는거구요.



자운고, 습진고, 청염고, 태열고, 일황고 등등 다양해서 모두 구비해두고 상황에 따라서 처방을 하는 편입니다



간혹 가다 연고 바르고 뒤집어졌다고 오시는 경우도 있는데


이거는 알러지 반응인 경우도 있고요.


연고의 문제라기보다는 피부 자체가 극도로 민감해져있는 경우일수도 있습니다.


그럴때도 연고 종류 달리해가면서 줘볼수도 있고 다양하게 고민해볼 수 있습니다.



최근에는 청대연고에 대해서 관심이 많은데요.


건선 치료에 대한 연구들이 나오고 있기 때문입니다.


아마존에서 indigo naturalis ointment라고 검색하면 건선이나 습진용 연고들이 몇개 나오기도 하구요.

indigo_balm_square.jpg


국내에서도 청대연고가 알음알음 인지도가 높아지고 있는 것 같습니다.


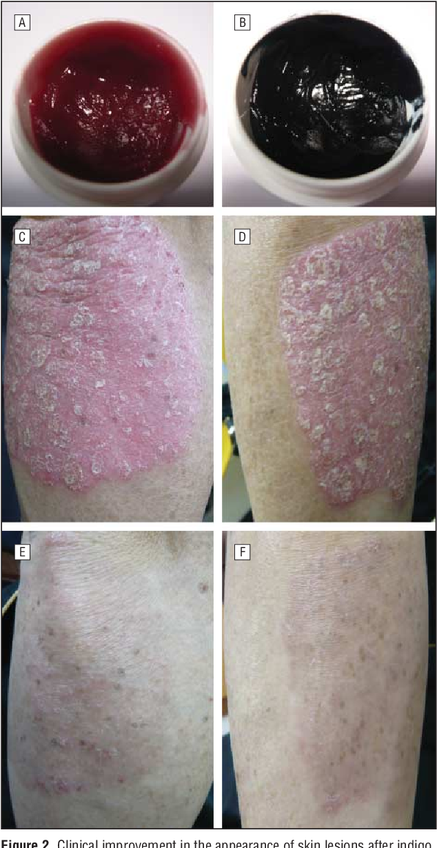
3-Figure2-1.png


Comparison of refined and crude indigo naturalis ointment in treating psoriasis: randomized, observer-blind, controlled, intrapatient trial.



청대 연고 활용을 통한 건선 치료에 대한 연구들이 관심있게 지켜볼 내용들이 많습니다.



스테로이드 연고의 의존성이나 피부장벽 기능 컨디셔닝과 관련해서 이를 대체할 수 있는 외용제에 대한 연구들이 많이 필요하다고 생각이 듭니다. 그 가운데 한방 외용제 부분에서 관심있게 살펴볼만한 내용들을 이야기해드렸습니다.





자료 제공: 인천 송도 미올한의원





keyword
매거진의 이전글아토피 생기는 이유?