혈소판, 간섬유화의 지표

by 예재호

1. 혈소판은 혈액을 구성하는 성분 중 하나지만 '세포'가 아닙니다.


2. 혈소판 수혈해 보신 분 계신지요? 혈소판은 보관이 까다로워 오래 쓰지 못합니다. 적혈구가 한 달 이상 보관이 가능한 데 반해, 혈소판은 채혈 일로부터 5일간만 수혈이 가능합니다. 냉장이나 냉동 보관이 불가해서 꼭 실온에서 보관해야 하고 가만히 놔두면 응고되는 탓에 끊임없이 흔들어줘야 합니다. 정상치는 130-400 ×(10)3/μL 며 지혈을 위해 꼭 필요합니다.

PLTTF.png


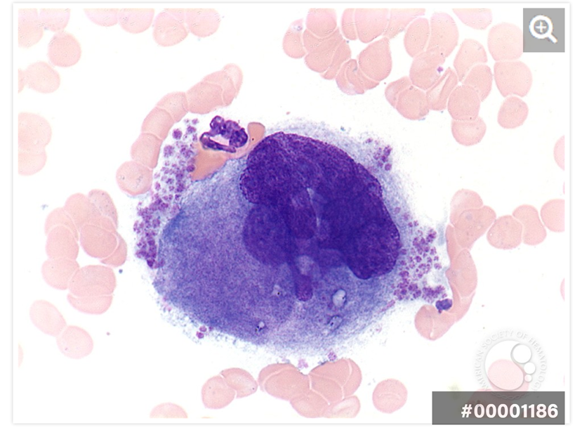
3. 골수에는 대단히 이상한 세포가 하나 있습니다. 보통의 세포는 시간이 지나면 세포 분열을 해서 숫자를 늘리기 마련인데, 이 세포는 핵만 자꾸 복제해서 몸집만 불어납니다. (자손들이 독립하지 않고 몇 세대에 걸쳐 함께 삼)


MEGAKARYO.png

4. 이 세포의 이름은 거핵세포(Megakaryocyte) 입니다. 뜬금없이 골수의 세포를 설명해 드리는 이유는 이 거핵세포가 내어놓는 ‘부스러기’가 바로 혈소판이기 때문입니다. 잘 아시다시피 혈소판은 피가 났을때 지혈하는 역할을 합니다. 부족하면 응고되기 어렵습니다.


MEGA_2.png

5. 생각해 보면 출혈은 매우 위급한 상황입니다. 무슨 일이 일어났는지 알 길이 없는 심장은 줄기차게 혈액을 콸콸 밀어내고 있고 혈액은 무한하지 않으므로 빨리 무슨 수를 쓰지 않으면 구멍으로 피가 전부 새어 나가 버릴 수 있기 때문입니다.


6. 그래서 지혈 과정은 생명을 유지하는 데 있어 매우 중요합니다. 아스피린을 드신다고 하면 발치나 내시경을 바로 해주지 않는 이유도 여기에 있습니다. 자칫 잘못하다 피가 멎지 않으면 큰일이 나기 때문입니다. (아스피린은 다름 아닌 오늘의 주인공 혈소판의 작용을 방해하는 약물입니다.)


TENT.png


7. 지혈 과정을 매우 단순하게 설명하자면 구멍이 난 곳에 패치(patch)를 대고 여러 가지 접착제를 써서 틈을 메우고 단단히 밀봉하는 과정이라고 할 수 있습니다.

PLT.png

8. 예를 들어 혈우병 환우들은 접착제의 종류가 부족해 틈이 자꾸 벌어지는 탓에 지혈 속도가 느려지며, 대표적인 항응고제인 와파린은 비타민 K의 작용을 막아 접착제의 생산을 늦춰 역할 하지 못하게 만드는 원리입니다.


9. 이때 패치 역할을 하는 것이 바로 오늘의 주인공 혈소판입니다. 혈소판은 간기능의 중요한 지표이기도 한데요. 골수에서 만들어지는 혈소판이 어떻게 간기능과 연관이 되는지, 지혈 과정은 어떻게 간기능과 연관되는지 한번 살펴보겠습니다.


FLEX.gif




10. 아직 지방간에 관한 이야기가 끝나지 않았습니다. 간과 관련된 여러 수치를 정리하느라 가물가물해진 김에 잠시 복습하겠습니다. 대사이상지방간질환 (MASLD)에서 예후에 가장 중요한 점은 간의 섬유화 진행 정도였습니다. THR-베타 작용제인 레즈디프라나 GLP-1 RA가 치료제로 승인받을 수 있었던 비결 또한 섬유화 개선을 보여줬기 때문입니다.


https://www.threads.com/@care.about_your.health/post/DR_n7iAgZpA?xmt=AQF0iQnamqmafcDjDxzzdYjhWQjqnJCX5agtEKdd9hVfrw


11. 섬유화는 간질환의 주요 사망 예측인자이며, 심혈관질환을 포함한 모든 사망원인과 관련이 있었습니다. 그래서 사실 지방간을 진단받았다면 간 섬유화에 대한 평가가 무엇보다 필수적입니다. 하지만 저와 같은 일차 의료기관에서 지방간 환자에게 간 조직검사를 진행한다는 건 거의 불가능합니다. (지방간이니까 조직검사를 해보자는 말씀을 들어본 분도 거의 없으실 겁니다.)


12. 그래서 저는 Fibrosis Index-4 (FIB-4)나 NAFLD fibrosis score (NFS)와 같은 공식을 활용합니다. FIB-4와 NFS는 근의 공식처럼 수식인데 아래와 같고 숫자만 넣으면 계산해 주는 사이트가 있습니다. 둘 다 높게 나오면 좋지 않습니다. (FIB-4<1.3, NFS<2.67 외에는 조직검사 고려)


FIB-4.png


13. 복잡하긴 하지만 공식을 소개해드리면 FIB-4 = 나이 x AST / 혈소판 개수 x ALT의 제곱근이고, NAFLD fibrosis score (NFS) = (-1.675 + 0.037 x age (years) + 0.094 x BMI (kg/m2) + 1.13 x IFG / diabetes (yes = 1, no = 0) + 0.99 x AST / ALT ratio - 0.013 x platelet count (x109 / 1) - 0.66 x albumin [g/dL])입니다.


14. 두 항목 모두 혈소판의 개수가 들어가는데, 꼼꼼히 들여다보면 값에 영향을 끼치는 가장 큰 변수가 바로 혈소판이라는 것을 알 수 있습니다. 맞습니다. 간경화 혹은 간 섬유화를 반영하는 단 하나의 수치를 말해보라면 바로 혈소판의 감소 정도라 할 수 있겠습니다.




15. 혈소판이 간 섬유화를 시사하는 지표인 이유를 이해하기 위해 우리는 비장에 대해서 배워야 합니다. 비장은 전에 나온 적이 있습니다. 세포막의 내구 연한이 끝나 마치 타이어의 마모 한계선이 드러난 것처럼 폐기가 필요한 표시를 내던 적혈구 기억나시나요? 그 표식을 확인하고 적혈구를 폐기하는 관문이 바로 비장이었습니다.


SPLEEN.png

https://www.threads.com/@care.about_your.health/post/DSKD6o3AVel?xmt=AQF0HSEV2KVGMnlnsJHv-K-uBy7364HIcOEkpbgW1BR7eg


16. 비장은 혈액 '파쇄기' 역할을 하는 기관입니다. 수명을 다한 적혈구와 혈소판은 비장을 무사히 지나칠 수 없습니다. 또한 ‘임시 저장소’ 역할도 해서 갑작스러운 출혈이 일어나면 저장해두었던 혈소판과 혈액을 즉시 혈관으로 내보내기도 합니다. 권투 경기에서 비장은 치명적인 급소 중 하나인데 보디 샷을 허용하여 비장이 파열되면 어마어마한 출혈이 일어날 수 있습니다.


SPLEEN2_.png


17. 준비운동 없이 갑자기 격렬하게 움직이면 왼쪽 옆구리가 쑤시는 통증을 느낄 수 있는데 이 또한 비장과 연관될 수 있습니다. 비장이 혈액을 빨리 내보내기 위해 급격하게 수축하면서 발생하는 통증일 수 있기 때문입니다. 비장은 우리 몸에서 가장 큰 림프 기관으로 면역 반응에도 깊이 관여합니다. 비장을 제거하게 되면 예방접종도 다시 받아야 합니다.


18. 이러한 비장과 간은 매우 밀접한 관련이 있습니다. 비장에서 걸러진 피는 다른 곳으로 보내지지 않고 모두 간으로 들어가게 되어 있습니다. 그러니까 비유하자면 출구가 하나뿐인 요금소와 비슷하다고 생각해 볼 수 있습니다. 무슨 사고라도 나서 출구가 꽉 막히면 차들은 오도 가도 못하고 거리에 움쭉달싹 고대로 메이게 됩니다.


sanysidoro.png

19. 간경화, 간 섬유화가 바로 이러한 상황입니다. 원래라면 간으로 술술 흘러가야 할 혈류가 간이 딱딱해지다 보니 혈류속도가 급격히 느려집니다. 요금소, 파쇄기 역할을 하는 비장에 피가 묶이고 정체되다 보면 ‘이왕 멈춘 김에 한 번 더 점검하자’라는 식으로 흘러갈 수 있습니다. 비장의 여과 능은 더욱 증가하고 특히 혈소판이 많이 검열됩니다. 예상하셨겠지만 비장의 크기도 커집니다.


LC_PLT11.png


20. 뒤에서 다룰 내용이지만 간경화의 합병증은 거의 다 이런 식으로 일어납니다. 간은 모든 피가 한번은 거쳐야 할 입국심사대와 같은 역할을 하는데 간이 딱딱해져 혈류가 잘 가지 못하면 뒤쪽에 정체되는 곳에서 증상이 나타납니다. 식도정맥류가 생기고 비장은 커지고 복수가 찹니다.

LC_SPLENOMEGALY.png


21. 여튼 간경화가 진행될수록 혈소판의 개수는 줄어들고 수명도 급격히 감소합니다. 비장 내부의 혈관 구조가 복잡해지고 혈액의 흐름이 정체됩니다. 이 과정에서 혈소판이 비장에 머무는 시간이 길어지고, 예민해진 비장 내 세포들이 혈소판을 '노화된 것'으로 오인하여 훨씬 빠르게 파괴합니다. 이에 따라 실제 생존 일수는 정상의 1/3 수준인 2~3일까지 급격히 짧아질 수 있습니다.


22. 거기에 덧붙여 2. 번의 거핵세포가 자기 몸에서 혈소판을 떼어 내 혈관 속으로 내보내게 만드는 신호인 Thrombopoietin(TPO)가 간에서 만들어지는 탓에 간 기능이 저하되면 생산 신호도 줄어듭니다. 혈소판은 만들어지지도 않고 만들어지는 족족 파괴가 되니 급속도로 줄어듭니다.


(계속)

keyword
작가의 이전글광우병과 알부민 영양제