9주차 산모 우울증인가?

by 주민

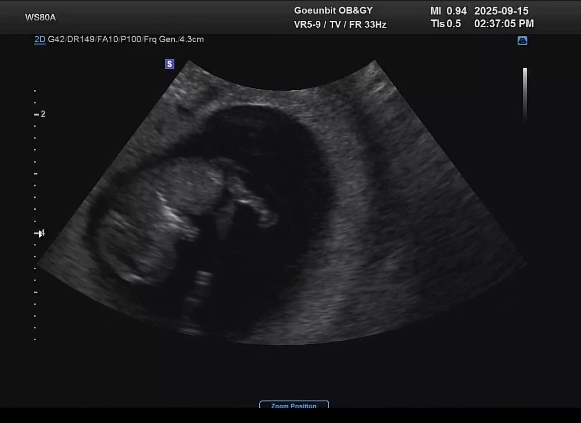
하루하루 반복되는 일상은 똑같은데 활동성이 많이 줄어들다보니 맥아리가 없이 쳐지는 기분이 든다. 제일 귀엽다는 젤리곰 초음파를 보고 와도 설레는 마음이 지속되진 않는다.

1. 인생 최고 몸무게 갱신중

2. 인생 최악의 외모 비수기

3. 마음대로 움직이지 못하는 나날


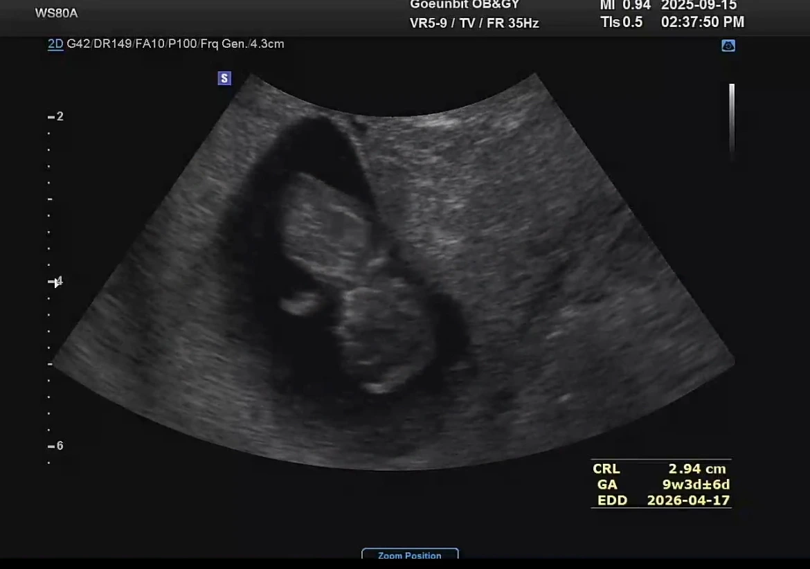
이 두가지가 날 갉아먹는것 같다. 아이는 3센티밖에 되지 않는데 자잘한 먹덧으로 야금야금 살이 불어나고 있다. 배뿐아니라 가슴도 커지고 있어서 가지고 있는 옷들이 답답해 지거나 잠기지 않는 현상이 발생하고 있다. 아니 9주차 부터 이러면 나머지 기간은 어떻게 입고 살라고?


pms로 뾰루지가 생길 때 눈치를 챘어야 했다. 그때는 두세개 정도 나고선 생리가 끝나면 사라졌기에 큰 관심을 두지 않았는데. 임신기간은 pms가 계속 되는 것으로 생각하면 되어서… 사춘기에도 나지 않던 뾰루지가 이마를 점령하고 코를 지나 볼로 내려오고 있다. 임산부는 화장품이나 약 연고등을 함부로 사용할 수 없어서… 전이나 지금이나 뾰루지는 치료의 개념보다는 방치가 최선의 방법이라 여겨지기에 나날이 갱신되어 가는 외모 비수기를 직접 겪어야 한다. 거기다 몸에 알게 모르게 생기는 쥐젖들도… 스트레스다.


자연임신이라면 모를까 특히나 시험관 아이는 더더욱안정기가 되는 12주차까지 몸을 사리는 것을 권장한다. 계속 운동을 했던 사람도 중단 하는 시기가 바로 지금인데 컨디션과 체력이 되지 않을 뿐더러 돌아다니고 싶은 가을 날씨에 누워 있어야 하는 건 참 고난이다. (그렇다고 밖에 나가도 체력이슈와 조금만 걸어도 오는 배땡김으로 외출은 최대 2시간이 한계다)


이런 일들이 켜켜이 쌓여가는 9주차. 그나마 시간을 보내는 방법은 1차 기형아 검사에 대해 공부를 하거나 니프티 검사항목에 대해 연구를 하거나 태아 보험에 대해서 계산을 하는 것인데. 내가 아닌 다른 새 생명의 미래를 점치고 예상하는 일이라 품이 많이 든다.

그래도 아기는 자신의 발가락을 뽐내며 내 뱃속에서 데굴데굴 잘 굴러 다니고 있다. 막되먹는 생각을 하는 엄마에 비해 퍽 대견한 행보다.



목요일 연재
이전 07화8주차 정해야 할 것이 너무 많다.