brunch

삐뚤빼뚤 치아가 가지런하게,
치아교정원리 알아봐요

치아교정의 원리 A to Z

by 허영준


삐뚤빼뚤 치아가 가지런하게, 치아교정원리 알아봐요


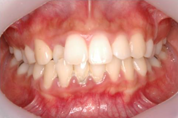
치아교정전.png
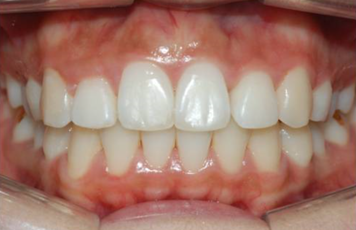
치이교정후.png
치아교정 전 후


치아교정은 만 12세~13세 정도 연령에서 주로 행하는 시술입니다. 유치가 모두 빠지고 영구치가 완성되는 시점으로, 이 시기가 교정치료를 시작하기에 가장 좋은 때이기 때문입니다.

하지만, 요즘에는 20~30대 젊은 층은 물론 40대 이상의 중년층에서도 치아교정을 많이 하고 있습니다. 치아교정 기술이 발전하고 교정기의 종류도 다양해지면서 일상생활에 지장 없는 치아교정이 가능하기 때문으로 분석됩니다. 물론, 성인의 경우 외모 콤플렉스를 극복하기 위해 치아교정을 하는 경우도 종종 있습니다.

치아교정이 대중화되고 있지만, 여전히 교정에 대해 잘 모르는 사람들이 많습니다. 따라서, 치아교정을 고민하고 있다면 그 원리를 제대로 알고 시술에 나서야 성공적인 교정 결과를 얻을 수 있습니다.


20791240.jpg

# 이를 가지런하게 만드는 치아교정의 원리

치아교정이란 어긋나거나 벌어진 치아를 가지런히 배열하고, 돌출입이나 무턱, 부정교합, 얼굴 비대칭 등을 개선하는 치과 시술을 말합니다. 선천적 요인과 후천적 요인 등에 따라 발생하는 다양한 증상을 치료하는 만큼 매우 섬세한 고도의 기술을 요합니다. 의사의 실력과 임상경험이 어느 시술보다 중요한 이유도 이 때문이죠.

그렇다면, 삐뚤빼뚤한 치아를 가지런히 만들어주고, 부정교합을 정상으로 만들어주는 치아교정은 어떤 원리로 진행되는 것일까요?

치아교정은 치아에 압박을 가해 그곳의 뼈는 세포에 의해 사라지고 반대편에는 새로운 뼈가 생겨나면서 치아를 조금씩 이동시키는 원리로 진행됩니다. 이때 필요한 것이 브라켓과 와이어인데요, 이들 장치를 치아에 부착해 원하는 모양대로 조금씩 치아를 이동시켜 교정을 하게 됩니다.

치아가 이동할 공간이 없으면 발치를 해서 공간을 만들어주고, 와이어를 조이거나 고무줄을 활용해 원하는 위치로 치아가 움직일 수 있게 조절합니다. 교정기를 부착한 후, 매주 치과를 방문해 치아의 이동을 점검하고 와이어 길이를 조절하는 등 적절한 관리를 받아야 성공적인 치아교정이 완성됩니다.

치아는 조금씩 천천히 이동하기 때문에 교정 기간은 오래 걸리는 편입니다. 또한, 개인의 구강 상태와 증상에 따른 치료과정에 따라 치료 기간은 달라지게 됩니다.


20402737.jpg

# 성공적 치아교정을 위한 장치의 선택

치아교정에서는 브라켓과 와이어로 대표되는 교정 장치의 역할이 아주 중요합니다. 심미성과 기능성을 고려하고, 자신의 증상 개선에 가장 효과적인 장치를 선택해야 잦은 탈락 없이 원활하게 교정을 진행할 수 있습니다.

교정 장치는 형태와 소재, 기능 등에 따라 선택할 수 있는데요, 요즘은 투명한 브라켓도 많이 활용되고 있어서 부착 시 티가 잘 안 나는 장점을 누릴 수 있습니다. 성인들의 경우 심미성을 고려해 투명 장치를 많이 선호하는 편이고, 어린이들은 심미성 보다 기능적인 면이 뛰어난 메탈 소재 장치를 주로 이용하고 있습니다.

또한, 교정 후에 사용하는 유지 장치도 중요합니다. 유지 장치를 하는 이유는 본래의 위치로 되돌아가려는 치아의 성질을 막아주기 위해서 인데요, 치아에 붙이는 유지 장치와 ‘꼈다 뺐다’ 할 수 있는 유지 장치 등을 적절히 사용해 교정 상태를 유지하게 됩니다.


유지는 교정 못지않게 중요한 만큼, 유지기에도 병원을 정기적으로 방문해 제대로 관리받아야 치아교정의 혜택을 충분히 누릴 수가 있습니다.

KakaoTalk_20200504_153437808.png


치아에 문제가 있어 치아교정을 고민하고 계신가요? 치아교정의 원리를 제대로 이해하고, 임상경험이 풍부한 전문의와 충분한 상담을 가져보세요.


치아교정을 통해 치아의 정상적 기능 회복과 심미적 효과를 거두게 되면, 건강하고 자신감 있는 일상생활을 누릴 수 있습니다.





keyword