요로 결석-여기에도 돌이 있나요???

몸의 생존 전략

by 자유로


우리는 흔히 몸 안에 ‘돌’이 생기는 것을 하나의 독립적인 질환으로 받아들인다.
그래서인지 요로결석이 생기면 대부분의 관심은 그 돌을 어떻게 제거하느냐에 쏠리게 된다.

"수술을 해야 하나요? 수술 말고 다른 방법은 없나요? 어떻게... 약으로는 좀 안 되나요?" 등등...

하지만 정작 중요한 질문을 하는 이들은 많지 않다


“그 돌은 왜 생겼나요?”

이 질문은 단순한 궁금증을 넘어서, 여러분의 몸 전체를 바라보는 시야를 넓혀줄 것이다.
왜냐하면 ‘돌’은 단지 요로계에만 생기는 것이 아니기 때문이다.

'내 몸에는 요로 결석이 없다고?'

절대로 안심하지 마시라...


왜???


우리가 간과하는 중요한 사실이 있다.

소변은 어디에서 만들어질까?
바로 혈액에서부터 만들어진다.

혈액이 신장의 정교한 여과 시스템을 거쳐 만들어지는 것이 소변이라면,
이 논리는 분명 이런 생각으로 이어질 수 있다.


“요로 결석이 소변이 지나는 길에 생기는 돌이라면,
혈액이 지나가는 길(혈관)에도 돌이 생기지 않을까?”


그렇다. 소변이 혈액으로부터 나왔고 소변에서 돌이 만들어진다면

응당 혈액에서도 돌이 만들어질 수 있다.


대표적인 경우가 바로 정맥돌(phlebolith)이다.

이를 언급하는 이유가 있다. 바로 요로 결석으로 통증을 심하게 느껴서 오신 분들의

복부 CT 사진을 찍으면 이 정맥돌들이 하나둘 보이는 경우가 많다.

그리고 골반 내에 위치해 있는 경우가 많아서 요로 결석과 혼동되는 경우가 잦다.


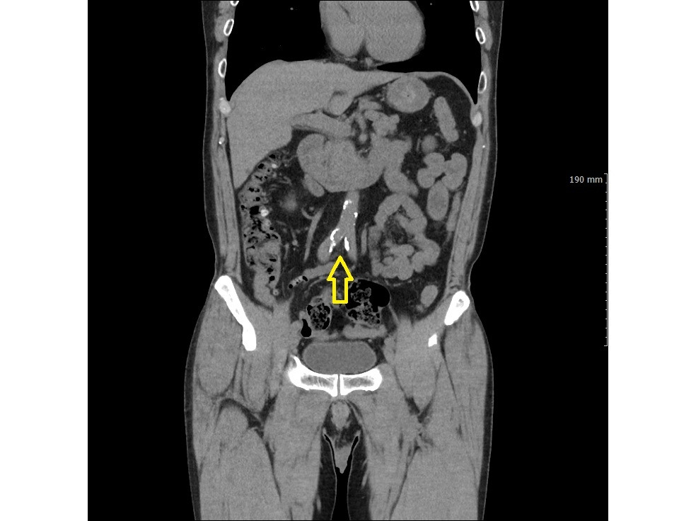
정맥돌 1.jpg 노란 화살표가 가리키는 것이 골반 내 존재하는 정맥돌들이며 요관 결석과 매우 혼동됨


정맥돌은 특히 골반 내 정맥에서 자주 발견된다. 골반은 남성의 경우 방광과 전립선, 여성의 경우 방광과 자궁이 위치한 해부학적 공간으로, 심장에서 멀고 좌식 생활 등으로 인해 정맥 순환이 쉽게 저하되는 부위이다. 특히 장시간 앉아 있는 자세는 골반 내 정맥을 기계적으로 압박하여 혈류의 정체를 유발할 수 있고, 이로 인해 형성된 혈전이 석회화되면서 정맥돌(phlebolith)이 발생할 가능성이 커진다. 이러한 조건은 정맥 순환의 지연과 더불어 결정 형성을 촉진할 수 있는 환경을 만든다.



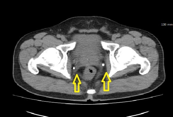
정맥돌 2.jpg 노란 화살표가 가리키는 것이 전립선 주변 정맥 혈관총내에 있는 정맥돌들


돌이 혈관에 있다고 걱정을 하실수 있다. 하지만 정맥돌은 다행히 CT 검사를 통해서 우연히 발견될 정도로

무증상에 가깝다. 요산통처럼 갑자기 부풀어 오르면서 신장에서 느끼는 압력이 결석으로 인해 최대 10배까지 증가하는 그런 찢어질 듯한 통증은 느껴지지 않는다.(얼마나 통증이 심했으면 요산통이라고 했을까 싶다. 산통은 아이를 낳을 때 겪는 통증을 의미한다.)


정맥 내 석회화(phlebolith)는 대부분 무증상이지만, 통증이 있을 경우 대개는 둔하고 위치를 특정하기 어려운 증상으로 나타난다. 또한 정맥 결석은 주변 조직의 팽창을 크게 유발하지 않기 때문에, (정맥 주변을 둘러싸고 있는 신경의) 통증 수용체가 덜 자극되고 그만큼 통증도 약하게 나타난다. 하지만 그렇다 하더라도 마냥 안심할 수는 없다. 종종 흔치 않지만 만성 골반 통증 증후군(CPPS, chronic pelvic pain syndrome)이나 정맥 부전(venous insufficiency)과 같은 복합적이며 원인미상의 문제들과 연관될 수 있으며, 이는 삶의 질에 장기적으로 부정적인 영향을 줄 수 있다.



정맥돌 3.jpg 정맥돌의 모습 (골반강내 정맥돌은 아니지만 저런 '돌'이 발생 가능하다.) 참고 자료


헌데 혈관이 어디 정맥만 있던가?

정맥뿐만이 아니다.

동맥에도 결정이 나타난다.

그것도 심지어 우리 몸에서 가장 큰 혈관인 이름하여 대동맥이다.

심장에서 나온 혈관이 대동맥을 타고 온몸으로 흐르게 되는데 이 대동맥 벽에

석회화가 발생할 수 있다. 죽상 경화반(atherosclerotic plaque)이 대표적인 예다.

이 석회화 병변은 정맥돌보다 훨씬 더 치명적인 문제로 이어질 수 있다.


대동맥 돌 사진_46M.jpg 복부 대동맥에 존재하는 석회화 구조들

저 석회화 병변이 파열되거나, 파열된 부위에서 혈전이 형성되어 떨어져 나가면, 뇌혈관을 막아 (허혈성) 뇌졸중을 일으킬 수 있으며, 이는 인지 기능 저하나 신경학적 장애로 이어질 수 있다. 팔과 다리로 가는 말초 동맥이 막히는 경우에는 사지 냉감, 보행 장애, 통증, 감각 저하 등 말초동맥질환(peripheral artery disease)의 증상이 나타날 수 있고, 신장으로 향하는 혈류가 차단되면 급성 신장 허혈로 인해 신장 기능 저하가 초래될 수 있다 (당연하지만 몸이 건강하려면 혈류에 막힘이 없어야 한다!!!)


이는 단순히 콜레스테롤 문제로만 치부할 수준이 아니라, 우리 몸의 대사와 노폐물 처리 메커니즘이 어떻게 작동하고 있는지를 보여주는 하나의 징후이다.


대체 왜 저기에? 어째서 돌은 생기는건가?


생각해 보자.


여러분이 집을 청소한다고 가정하면 집에 쓰레기들을 한 곳에 모아서

버리려고 할 것이다. 왜 그렇게 할까? 그게 효율적으로 치우기가 편하니깐...

다시 말해 그렇게 하는 게 덜 에너지를 쓰니까 그리 하지 않으신지??


이런 습성이 몸에도 그대로 드러난다. 바로 돌이란 것 역시

마치 '청소하기'와 같다고 생각하시면 된다. 몸에서 처리해야 할 노폐물을

한 곳에 모아두면 처리하기가 편해질 것이다


지역마다 쓰레기 수집장이 있고 이를 모아두고 처리를 한다. 돌도 마찬가지...

몸에 불필요한 것들이 너무 많으면 이를 한대 정해놓고 처리하고자 한다.

이미 생긴 돌이 점점 커지는 것도 그런 연유이다.


몸 안에 과잉의 불필요한 대사물들을 돌이란 결정화하는 방식으로 처리하지 않는다면

독으로 작용할 것이다.


Dose-response relationship.jpg


일전에 쓴 글에 있던 그래프처럼 가로축에 영양소 섭취량이 아닌 체내 대사물이라고 생각해 보자. 체내 대사물이 점점 많아져서 중독상태까지 이르면 이 것이 '노폐물' 내지는 영양소가 아닌 '독소'가 되는 것이다.

이를 피하고자 그 농도를 떨어뜨리기 위한 필사의 노력이 결석을 형성하는 것일 수 있다.


이 방어 기제는 결국 우리 몸에 독으로 작용하는 물질이 많다는 걸 의미한다. 우리 몸에 독으로 작용할 만한 것이 많이 만들어진 것인지, 은연중에 체내 많이 들어온 것인지, 아니면 처리가 잘 되지 않아서 배출이 잘 안 되는지 등등 우리의 생활 습관과 환경, 그리고 몸의 대사 과정을 잘 점검해 보라는 몸의 진심 어린 충고일 거란 생각이 든다..


“그 돌은 왜 생겼을까?”


이 질문을 하시는 분들은 앞으로 자신의 삶을 돌이켜보며 해야 할 것과 하지 말아야 할 것을 구분하고

더 나아가 어쩌면 과거의 자신과 결별할 준비가 된 사람일지 모른다. 하지만 이 질문을 진지하게 해보지 않는다면 지금껏 삶의 관성대로 그렇게 살아갈 것이다. 치료는 병원에서 하면 되고 나는 다시 일상으로 되돌아가면 되고... 그러면 돌과의 조우는 필연이다. 단지 시간의 문제일 뿐...


우리 몸은 몸 안의 찌꺼기들(과도한 칼슘, 인, 요산, 콜레스테롤, 죽은 세포 조각들)을 마치 청소하듯이 한 곳에 모아 두려는 경향이 있다.


그것이 때로는 ‘결석’, 때로는 ‘석회화’, 혹은 ‘플라크’라는 이름으로 불리지만

이런 현상은 우리가 돌을 단순히 병리적인 것으로만 볼 것이 아니라,
몸의 ‘정리 전략’ 혹은 ‘최후의 대응’으로 볼 수도 있으며 더 나아가

우리가 지금 어떻게 살고 있는지 점검해 보라는 스스로에 대한 사랑일지 모른다.



참고자료:


Kato, Hisashi et al. “A phlebolith in the anterior portion of the masseter muscle.” The Tokai journal of experimental and clinical medicine 37 1 (2012): 25-9.

keyword
작가의 이전글요로 결석-금이 가게 하소서