요로 결석-금이 가게 하소서

체외충격파 쇄석술 알아보기

by 자유로

RIRS(요로 결석 수술 후 관리 (1부))가 내시경을 이용한 정밀하고도 효과적인 결석 제거술로서, 특히 복잡하거나 상부 요로(콩팥 쪽에서 가까운 요관)에 위치한 결석 치료의 끝판왕이라면,


ESWL(체외충격파쇄석술)은 비침습적인 방식으로 결석을 분쇄하여 자연 배출을 유도하는 치료이다.

비록 직접적인 수술은 아니지만, 그 효과성과 안전성 측면에서 수술적 치료에 버금가는 중요한 치료 옵션이라 할 수 있다.


체외충격파 쇄석술 장비



특히 마취나 입원이 필요 없는 장점 덕분에 치료에 대한 심리적인 부담이 적고 전신마취가 부담스러운 환자에게 적합하다 또한, 반복적인 시술을 통해 비교적 간단한 결석은 충분히 제거가 가능하다. (만약 첫 쇄석이 성공적이지 못해서 다시 쇄석술을 진행할 경우 경제적인 부담도 경감된다.) 물론 결석의 크기, 위치, 단단한 정도 등에 따라 치료 효과가 제한적일 수 있으므로, 정확한 적응증 판단이 치료의 성패를 가른다.


요로결석 치료에 있어 RIRS와 ESWL은 각각의 장점과 한계를 지닌 서로 보완적인 수단으로 활용이 된다. 물론 의료 기관의 사정에 따라 다르겠으나 수술실의 유무 및 두 가지 장비를 모두 구비한 곳인지 확인해 보는 것도 필요할 것이다. (보통 대학 병원급이라면 이 모두를 구비하고 있는 경우가 많지만 의원이나 종합병원에는 그렇지 않은 경우가 대부분이라서 확인해 보심이 좋다.)


eswl-extracorporeal-shock-wave-lithotripsy-procedure-purpose-indications-recovery-results-cost-price.png 참고 자료: Extracorporeal Shock Wave Lithotripsy (ESWL)


일전에 RIRS에 대해서 언급한 바와 같이 ESWL에 대해서 간단히 말씀드릴까 한다.

혹시 정형외과나 신경외과와 같이 물리치료실이 함께 있는 병/의원에 가보신 분들이라면 체외충격파 치료(ESWT, extracorporeal shock wave therapy)라는 것을 한 번쯤 들어보았을 것이다. 원리적으로 두 가지는 같다. 1950년대 독일의 항공기 제조사, 도니어(Dornier)는 제트기에서 발생하는 충격파가 몰 속에 있는 금속을 손상시킨다는 것에 착안을 했다.



강력한 음향 충격파를 발생시켜서 물을 매개로 인체 내부 결석에 집중시켜, 물리적으로 분쇄하는 비침습적 치료법. 이 것이 ESWL이며 ESWT는 ESWL의 에너지 강도를 10~100배 정도 줄여놓은 장치이다. (ESWT 장비의 규모도 10-100배 정도로 작다)


체외 충격파 치료인 ESWT를 어째서 받으시는가? 여러 목적이 있지만 그중 가장 큰 이유는 바로 통증을 해결하기 위함이다. ESWT는 근골격계 통증을 완화하기 위한 치료이다. 그 목적성은 그대로 ESWL 에도 적용된다. 돌의 파쇄 유무와 관계없이 경험적으로 보자면 ESWL을 시행하는 것만으로도 요로 결석으로 인한 통증이 상당 부분 개선된다.


대부분 필자를 찾는 요로 결석 질환자들은 통증을 견디지 못해서 방문을 하는데 이럴 경우 진통제나 진경제도 물론 사용하지만 ESWL 시행 시 환자가 느끼는 통증 해소는 즉각적일 때가 많다. (의료에 있어서 100%란 없기 때문에 물론 항상 그런 것은 아니다.)


충격파는 물이란 음파 전달에 매우 효율적인 매질을 따라서 대부분 조직 손상 없이 내부의 결석에 도달 가능하다. '타깃 결석 부위' 에만 초점을 맞춰 집중되며, 이때 결석의 표면에서 압축(줄어들고)과 인장(늘어나는)의 파동이 반복되어 균열 및 파편화가 유도된다. 잘게 부서진 결석 파편은 소변을 통해 자연스럽게 배출된다.



이 것이 기본적인 ESWL의 이야기 전개다. 돌에 기포가 생기고 금이 가고 그렇게 산산이 쪼개진다면 정말 가장 이상적인 스토리이다. 하지만 그렇지 않은 경우도 존재한다. 돌이 너무 단단해서 충격파의 에너지 강도를 최대로 높여서 시행해도 튕겨버릴 때가 있다. 또한 우리가 호흡을 하기에 내부 장기들은 끊임없이 계속 움직인다. 마치 파도의 썰물과 밀물처럼 이를 X-ray 사진으로 보면 계속 위아래로 진동한다. 기본적으로 타깃을 정해서 그 초점에 맞혀서 진행이 된다고 했다. 하지만 타깃이 계속 이동하면 그걸 지속적으로 추적하면서 결석에만 충격파가 온전하게 전달되지 못한다는 단점이 있다.


그렇다 해서 더 잘 깨려고 세기가 강하고 많은 충격파를 전달하는 것이 반드시 좋다고 할 수가 없다. 왜냐하면 늘 말하지만 과한 것은 모자람만 못하다. 일전에 언급한 용량과 반응에 관한 그래프(영양소 섭취량과 신체 기능 간의 관계)를 상기해 보자. 비단 영양소와 관련하여 얘기했지만 이는 대부분 많은 상황에서 공통적으로 작동하는 원리이다. 쇄석 타수가 늘어나면서 어느 순간 몸이 (쇄석) 과잉의 영역을 지나면 (원치 않는 부작용과 같은) 독으로 작용하는 것이다.


일반적으로 쇄석 하면 세션당 2,000~3,000타를 시행한다. 그 이상 진행 시 콩팥 손상이나 혈뇨, 허리 통증, 신혈관 손상과 같은 부작용을 경험할 수 있기 때문이다. 대개의 경우 쇄석 후 2주 정도 지나서 돌의 파쇄 여부 및 증상 경과를 확인한다. 다만 부득이하게도 그 안에 통증이 재발하거나 치료 전과 같은 증상을 다시 경험한다면 그전에 내원하여 다시 쇄석을 진행할 수도 있다.


무엇보다 ESWL에 치명적인 단점이 있으니 그것은 입체적인 몸을 2차원적으로 해석하면서 접근해야 한다는 점과 돌을 직접적으로 내시경 마냥 볼 수가 없다는 점이다. 복부 단층 사진(CT)을 보고 돌의 위치나 크기 그리고 주변 구조물들과의 관계를 입체적으로 그리고 들어간다. 하지만 ESWL 장비로 볼 적에는 단순 X-ray 이미지로 나오기 때문에 제한된 영상을 확인할 뿐이다. 그래서 종종 주변 구조물들에 영향을 줄 수 있다. 이를테면 충격파가 지나는 경로에 척추뼈 가까운 곳으로 돌이 있다면 충격파가 발생할 때마다 이로 인해서 신경이 자극되어 허리가 아프다고 할 수 있다. 또한 요관 결석을 치료하다가 요관이 종종 손상되어 소변이 요관 밖으로 나올 수 있는데 이를 urinoma라고 한다.


우리말로는 소변종 정도라고 표현할 수 있다. 소변은 자연스럽게 흡수되지만 종종 이런 일이 있을 수 있으니 훌륭한 치료 방법인 ESWL이라도 주의를 해야 한다. (참고로 소변이 노폐물의 일종이라고 생각하여 더럽다고 여긴다. 하지만 소변은 피를 걸러서 나온 것이다. 피에서 액체 성분인 혈장만 걸러낸 것이 소변이다. 하여 소변은 더러운 것이 아니다. 몸에서 배출한 것이라고 하여 노폐물이나 더럽다고 하는 것은 어폐가 있다. 반드시 그런 건 아니지만 건강한 사람의 경우 대부분 혈액과 마찬가지로 소변은 무균 상태이다.)


또한 CT 에서는 분명 보이는 돌이 단순 X-ray 사진에서는 안보이는 경우가 있다. 방사선투과율이 높은 돌들은 단순 복부 X-ray 이미지에서 하얗게 나타나지 않아서 돌이 없는 것으로 생각할 수 있다. (그래서 돌을 진단하는 가장 좋은 방법은 저선량 복부 CT 이다.) 불가피하게도 이런 경우 조영제를 혈관에 주입하여 조영제가 흐르지 못하는 지점에 돌이 있을 것으로 짐작하고 쇄석을 진행하기도 한다. 돌을 직접적으로 볼 수 없기에 생기는 문제이다.


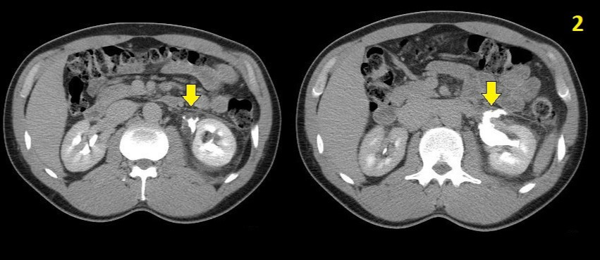
foto2.jpg 노란색 화살표가 가리키는 부위가 요관에서 소변이 새면서 소변종이 발생된 것을 보여줌(화살표가 지목하는 하얀색은 조영제가 섞인 소변)



쇄석 후에는 특별히 수술이 끝나고 나서 요관 부목을 넣거나 하는 과정은 없다. 다만 결석이 부서지거나 요관의 경련이 풀리면서 결석이 이동할 수 있다. 주로 아래로 이동하다가 다시 요관을 막게 되면 통증이 재발할 수 있다. 이때는 처음 병원에 왔을 때 하고 다른 양상의 통증이 나타날 수 있다. 통증의 부위나 강도가 달라지며 소변이나 대변을 보고 나서 잔뇨감이나 잔변감을 호소하기도 한다. 또 소변이 여느 때와 달리 자주 보게 되기도 한다. 소변에서 피가 섞여서 나올 수도 있는데 1-2일가량 나오는 것은 크게 염려치 않아도 되지만 그 이상 계속 혈뇨가 나온다면 다시 진료를 보시는 것이 좋다.


언제나 그렇지만 결석 치료가 끝나고 나서는 수분 섭취에 주의를 기울이도록 하셔야 한다.


이번 장에서는 비뇨의학과에서 하는 결석 치료 방법 중 ESWL 이란 것에 대해서 알아보았다.

결석 치료를 고민하는 분들에게 도움이 되길 바라며 문의 사항이나 여러분들의 의견이 있다면 기꺼운 마음으로 경청하겠다.


간단하게 수술적 치료와 비교해서 정리하며 마무리한다.

RIRS는 복잡하거나 반복된 ESWL 에도 불구하고 해결이 되지 않는 경우의 치료로 적합하며, 결정적인 결석 제거가 필요할 때 선택

ESWL은 비침습적 접근이 가능하고, 회복이 빠르며 반복 치료도 가능한 ‘간편한 1차 치료 옵션’으로 활용




keyword
작가의 이전글좋은 것 + 좋은 것 ≠ 더 좋은 것