요로 결석-수술 말고 약으로

요산석에 대한 약물 치료 방법

by 자유로


점점 더워지는 요즘...


기온이 올라가는 것과 함께 요로 결석으로 외래를 찾으시는 분들도 늘고 있다


많은 분들께서 궁금해하시는 질문이다.


"요로 결석 어떻게 약으로 녹이는 방법은 없나요?


이 질문에 대해 오랫동안 고민해 왔고, 수만 명의 결석 환자를 진료하면서 효과적인 방법이 무엇인지에 대해서 궁리하고 연구하게 되었다. 그중 하나가 바로 ‘체내 미네랄 불균형에 따른 대사 장애 교정’이다.


이에 대한 논의전에 현재 진료실에서는 어떤 약물을 사용하는지 이 장을 빌려서 얘기하고자 한다.


우리나라에서 가장 호발하는 베스트 3 요로 결석에 대해서 알아보자.


1위는 칼슘 결석(Calcium stones) - 칼슘 옥살산석(Calcium oxalate stone)이 가장 많고 그 다음으로는 칼슘 인산석(Calcium phosphate stone)이 뒤따른다. 이들이 대략 80% 가까이 차지한다.

2위는 요산 결석(Uric acid stones) - 통풍이란 질환과 관련깊은 요산이란 물질로 구성된 결석이며 대략 10% ~ 15% 정도 차지한다.

3위는 감염석(infectious stone 또는 Struvite stones) - 요로 감염과 동반하며 대략 10% 미만 가량 된다.



결석을 없애는 약은 있다. 그러나 누구에게나 통하는 건 아니다


약으로 결석을 치료하는 접근은 크게 2가지: 1> 요로 결석을 약물로 녹이거나 성장을 억제하는 방법 그리고 2> 배출을 촉진하는 방법으로 얘기해 볼 수 있다.


이는 결석의 종류와 크기, 위치, 그리고 환자의 전신 상태에 따라 달라진다.


이번 장에서는 대사 질환과 깊은 관련이 있는 요산 결석에 대해서 좀 더 자세히 알아보고자 한다.


1. 결석을 녹이거나 성장을 억제하는 약물 치료


결석 중에서 요산 결석은 약물 치료에 가장 잘 반응하는 결석 중 하나다.

우리 몸에서 대사되고 생성되는 물질 중 요산(uric acid)이라고 하는 것이 있다.


9791171257829.jpg


요산은 우리 몸에서 퓨린이라는 물질이 분해될 때 생기는 최종 대사산물이다. 퓨린은 세포의 핵산(DNA, RNA)이나 일부 음식(간, 멸치, 고등어, 맥주 등)에 많이 존재한다. 요산은 주로 신장을 통해 소변으로 배출되는데 요산의 생성이 많거나 배설이 잘 되지 않으면 혈중 요산 농도가 높아지는데 이 상태를 고요산혈증이라고 한다. 고요산혈증이 지속되면 요산이 관절에 쌓여 통풍을 일으키거나, 신장에 침착되어 요산 결석(uric acid stone)을 만들 수 있다


uric-acid-crystals.jpg 요산 결정의 현미경 모습


요산결석은 방사선 투과성(radiolucent)이 높아서, 전통적인 X-ray 검사에서는 주변 조직과의 밀도 차이가 크지 않아 잘 보이지 않는다. 칼슘결석에 비해 밀도가 낮아 X-ray를 투과시키므로, 단순 X-ray 영상에서 뚜렷하게 구별되지 않는다. 그래서 ESWL 시행 시 요산석은 잘 보이지 않는 경우가 많아서 쇄석 진행 시 조영제를 사용해야 할 수 있다. 결론적으로 복부 CT를 찍어서 결석 병변을 확인하는 것이 가장 정확하다. (CT 역시 방사선을 이용하지만 CT는 밀도 차이에 민감하게 반응하므로, 요산결석이 주변 조직보다 밀도가 높은 경우 상대적으로 하얗게 표시되고 이를 통해서 결석의 유무를 감별하게 된다.) 특히나 돌의 유무만 본다고 하면 조영제의 사용없이 저선량 복부 CT를 촬영해 볼 수 있으며 요산 결석의 체외 충격파 쇄석술 이후 돌의 위치나 파쇄 정도와 같은 변화를 관찰하기 위해서 필히 진행되는 검사 중 하나이다.


기본적으로 일반 엑스선 촬영(K.U.B 사진, Kidney, Ureter, Bladder)으로는 보이지 않지만 CT 에는 보이고 그 크기가 4mm가 넘으면서 소변의 산도(pH)가 5.5 미만이면 요산석의 가능성은 거의 90% 이상된다.


CT는 Hounsfield Unit(HU)이란 지표를 활용하여 조직의 밀도를 정량화할 수 있다. 대부분 요산결석의 경우, 일반적으로 200~500 HU 범위로, 칼슘결석(800~1,000 HU)보다는 낮지만 주변 연부조직(근육: 40~60 HU, 지방: -100~-50 HU)보다는 밀도가 높다. 대개의 경우 이 HU 값이 높을수록 그 돌은 단단한 돌이다.



new-inhibitor-of-kidney-stone-formation.jpg 요산 결석의 전형적인 모습


즉 요산 결석은 상대적으로 '무른돌'이며, 이렇게 경도가 낮은 돌이 약물에 대한 반응이 좋다는 말이다.


대개 HU 500 미만일 때, 돌을 녹일 수 있다는 기대하에 약물 요법을 적극적으로 고려하게 된다.



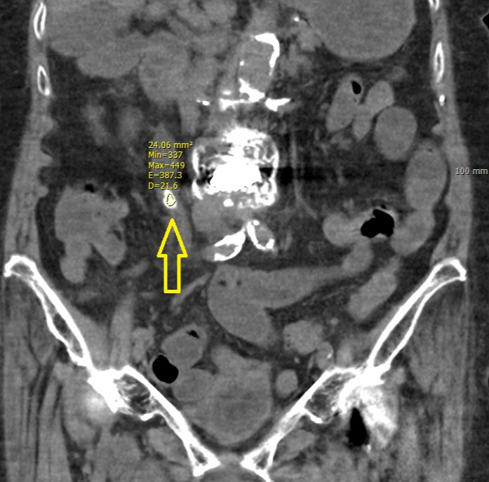
요산석 HU.jpg 화살표로 가리키는 물체가 요관 내 위치한 요산석. 관심 영역 내에 HU 337~449를 보이고 있다.



요산은 pH 5.5 이하의 산성 소변에서 불용성 결정체로 변해 결석을 형성하지만, pH 6.5 이상에서는 대부분 수용성 요산염(urate) 형태로 존재하며 쉽게 소변으로 배출된다.


따라서 요산 결석 치료의 핵심은
소변의 산도를 pH 6.5~7.0 이상으로 올려주는 것.


이 과정을 요 알칼리화 요법(urine alkalization therapy)이라고 한다.


알칼리화 요법을 통해 요산 결석을 자연스럽게 녹일 수 있다. 경험적으로 효과가 좋은 경우, 수주만에 돌이 없어진 경우도 보았지만, 대개 돌의 사이즈가 큰 경우 6개월 정도 소변 알칼리화 요법을 시행한다. 이때 사용하는 대표적인 약물이 구연산칼륨(potassium citrate)과 중탄산나트륨(sodium bicarbonate)이다.


OIP.Wg5ohK8t7jzTdC73vdwDfgHaHa?w=216&h=216&c=7&r=0&o=7&dpr=1.5&pid=1.7&rm=3


산성인 구연산(citric acid)과 달리 구연산염(Alkali citrate)은 약알칼리 물질로서 체내에서 대사되어 중탄산염(HCO3-)으로 변환된다. 이로 말미암아 소변을 알칼리화하고, 동시에 칼슘 결석 예방에도 도움이 된다. 또한 요산 용해도를 높이고, pH를 안정적으로 6.0–7.0 범위로 유지시켜 결석이 서서히 녹도록 유도한다.


중탄산나트륨은 흔히 ‘베이킹소다’로 알려져 있다. 구연산염은 대사를 거쳐서 중탄산염으로 변해서 작용하지만 중탄산나트륨은 즉각적인 pH 상승을 유도할 수 있다. 구연산염이나 중탄산나트륨이나 결과적으로 요 알칼리화를 위해서 중탄산염을 이용한다. 그래서 가격적으로도 저렴한 중탄산나트륨이 더 좋을 거 같아 보이지만 진료실에서는 주로 구연산칼륨을 더 많이 처방한다.


baking-soda-sodium-bicarbonate-chemical-structure-vector-illustration_654039-73.jpg?w=1060


중탄산나트륨은 복용 시 속이 더부룩하거나 가스 생성, 트림, 나트륨 과잉에 대한 우려 등으로 장기 복용이 부담스러울 수 있다. 또한 즉각적으로 pH를 올리지만 효과가 짧고 요동이 크다. 즉, 지속적인 pH 조절에는 불리한 셈이다. 보다 정교하고 장기적인 요산 결석 관리에는 구연산염이 중탄산나트륨보다 더 적합하다고 평가되며, 요중 구연산(citrate) 농도를 증가시켜, 칼슘 결석의 형성도 억제한다. 특히 혼합성 결석(요산 + 칼슘 결석)이나 신장결석 이력이 반복된 환자에서는 구연산염의 사용이 더 유리하다. 따라서 구연산칼륨을 1차 선택으로 사용하는 경우가 많다.


OIP.j9unVCtMXwGc2RK5yedIzAHaHa?w=218&h=218&c=7&r=0&o=7&dpr=1.5&pid=1.7&rm=3


구연산염은 단순히 pH를 올리는 것 이상의 결석 억제 메커니즘을 추가로 갖고 있기 때문에 장기적 예방 효과가 크다.


소변 pH가 높을수록 요산석의 용해에 이점이 있지만 과도한 알칼리화는 칼슘 인산석(calcium phosphate stone)의 형성을 유도할 수 있으므로 소변의 산도가 6.5~7.0 정도로 조절하는 것을 목표로 한다.


요산석의 주요 성분이 요산이기에 요산 자체를 줄이는 전략으로 결석 성장을 억제하기도 한다. 대표적으로 알로퓨리놀(Allopurinol)이란 약물을 생각해 볼 수 있다. 통풍 치료제인 알로퓨리놀은 퓨린 대사를 억제해 혈중 및 소변 내 요산 농도를 낮추고, 요산 결석의 형성과 성장을 억제한다. 주로 요 알칼리화가 어렵거나, 알칼리화 치료에도 불구하고 결석이 재발하는 경우에 사용된다. 즉 아예 요산 결석의 원재료를 없어버리는 전략이다.


알로퓨리놀은 요산 결석뿐 아니라, 고요산뇨증이 동반된 칼슘 옥살산 결석 환자에서도 결석 재발률을 유의하게 낮추는 것으로 보고되어 있다.


또한, 페북소스타트(Febuxostat)란 약물도 있는데 알로퓨리놀과 유사하게 작용하는 요산 저하제로, 고요산뇨증 환자에서 요산 배설을 더 효과적으로 줄일 수 있으며 한 연구에서는 24시간 요중 요산 수치를 알로푸리놀보다 더 크게 감소시키는 효과가 확인되기도 했다.


slide026.gif



2. 결석 배출을 촉진시키는 약물 치료


결석 배출을 촉진시키는 약물 치료는 비단 요산 결석뿐만 아니라 칼슘 결석과 감염석의 경우에도 마찬가지로 적용된다. 배출을 촉진시키는 것은 요관의 긴장도를 떨어뜨리는 것과 연관이 되기 때문이다. 요관은 단순히 가운데가 텅 빈 관이 아니다. 장과 같이 연동운동을 하며 수축하기도 하고 이완되기도 한다. 결석이 요관 내부에 존재할 시 요관은 돌을 없애기 위해서 부단히 움직인다. 그러다가 돌이 걸리게 되면 요관이 상처가 나면서 붓게 된다. 이렇게 되면 아무리 작은 돌이라고 해도 배출되기 어렵다.


비뇨의학과에서 가장 많이 처방하는 약물 중 하나가 알파 차단제(Alpha blockers)다. 여기서 말하는 알파라고 하는 것은 본래 요관의 평활근에 있는 알파-1 아드레날린 수용체(alpha-1 adrenergic receptor)를 의미하며, 이 수용체로 인한 작용을 억제한다는 의미이다. 이 수용체가 자극되면 근육이 수축하고, 반대로 알파차단제가 이 수용체를 차단하면 근육이 이완된다.


20210502_121720_234324_tamsulosin-thuoc.max-1800x1800.jpg 대표적인 알파 차단제인 탐술로신


전립선 비대증이 있는 환자들에게 소변 배출을 원활하게 하기 위한 목적으로 많이 사용하는데

요로 결석을 배출하기 위한 목적으로도 이 약물을 사용한다. 특히 체외충격파 쇄석술 시행 후 파쇄된 돌들이 잘 배출되도록 하기 위해서 처방하기도 한다.


이 약물은 요관의 평활근을 이완시켜, 결석이 이동할 때 발생하는 경련과 통증을 줄여준다. 또한 요관의 내경이 넓어지고 연동운동이 원활해져 결석이 더 쉽게 소변과 함께 배출될 수 있도록 한다. 특히 5mm 이상의 하부 요관 결석에서 효과가 크며, 통증 완화와 결석 배출률 증가에 임상적으로 널리 활용되고 있다.


다만 알파-1 아드레날린 수용체는 요관에만 있는 것이 아니고 전신에 존재한다. 이로 인해서 약물의 전신 작용으로 사람에 따라서 기립성 저혈압, 어지러움, 혈압 저하및 역행성 사정 장애와 같은 부작용이 나타날 수 있다.


285-4-1280x1280.jpg


요관 평활근 이완 전략을 좀 더 확장하면 약물에 대한 선택지가 넓어진다. 고혈압약으로 많이 쓰이고 있는 칼슘 통로 차단제(calcium channel blocker, CCB) 역시 요관의 평활근 이완을 목적으로 처방된다. 단순하게 말하자면 칼슘이 있어야 근육이 수축하는데 이런 칼슘의 유입을 차단하면 이완되는 논리이다. 대표적으로 니페디핀(nifedipine)과 같은 CCB는 요관 평활근의 수축력을 감소시켜 결석에 의한 요관경련과 연동운동을 억제시키는 기전으로 결석의 배출을 돕는다. 하지만 니페디핀은 알파차단제에 비해 상대적으로 성공률이 낮으며, 특히 하부 요관의 결석배출에는 효과가 매우 낮은 것으로 알려져 있다. 칼슘통로차단제의 경우 상대적으로 혈압 저하와 같은 부작용이 더 잦은 만큼 주의가 필요하다.


흥미롭게도 결석 배출에 굉장히 의외의 약물이 있다.


이른바 발기 부전 치료제이다.

lilly-daily-cialis.jpg


발기 개선 약물이 결석 배출과 무슨 연관이 있나 싶을 것이다. 포스포디에스터라제-5 억제제(phosphodiesterase type 5 inhibitor)인 타다라필(tadalafil)은 남성 발기 치료제로도 유명한데 음경으로 가는 혈류를 증가시키는 작용을 한다. 이 또한 혈관을 이루는 평활근의 이완을 통해서 혈관이 이완됨에 따라 더 많은 혈류가 이동할 수 있기 때문이다. 이 약은 저용량 용법으로 이용하면 발기 개선및 전립선 비대증 완화뿐 아니라 결석의 자연배출률을 높이고 통증을 경감시키는 것으로 알려져 있다. 혈관의 평활근에 작용하는 거와 마찬가지로 이 역시 요관의 평활근을 이완시켜 요관 내경을 넓히는 역할을 하기 때문이다.


요산 결석의 치료는 다른 결석들과는 다르게 그래도 약물에 대한 반응이 좋은 편이다.

하지만 대부분 환자들은 요로 결석으로 인한 통증이 심할 때 병원을 찾게 된다. 그리고 즉각적인 통증 해소를 기대한다. 그런 면에서 약물 치료는 대개 1차적으로 고려된다기보다는 수술이나 체외충격파 치료 이후에 보조적으로 행해지는 경우가 많다.


이번 장에서는 결석 치료 그중에서도 요산 결석에 대한 약물 치료를 주로 다루었지만 막상 진료실에서는 생각보다 결석 치료 후 처방하는 약물이 그리 많지 않다. 그만큼 약물은 신중하게 써야 한다.


사람마다 각기 사정이 다르다. 수술이나 체외 충격파 치료가 금전적으로 너무 부담돼서 결석이 있음에도 선뜻하지 못하는 경우가 있다. 또 누군가는 수술이나 시술이 두려운 사람들도 있고 병원을 싫어하는 분들도 있을 것이다. 저마다의 상황이 다르겠지만 모쪼록 이번 내용이 누군가에게는 일말의 도움이 되었으면 하는 바람이다.

.




참고 문헌>

1. Normand, M., Haymann, J.-P., & Daudon, M. (2024). Medical treatment of uric acid kidney stones. Canadian Urological Association Journal, 18(11), E339–45. https://doi.org/10.5489/cuaj.8774


2. 요로결석의 비수술적 치료 DOI: https://doi.org/10.5124/jkma.2020.63.11.668

keyword
작가의 이전글바다의 흐름과 내 몸속의 흐름