강21 영원히 잊지 못할 사진 한 장을 남겨라

강의 기법 08

by 한우물
대가의 남다른 한 칼


1980년대 후반, 이 땅에 초음파란 학문이 들어온 지 10여 년 밖에 안된 초창기 시절. 대한초음파의학회에서 는 프랑스의 저명한 학자 Francis Weill(프란시스 바일, 1933-2018)을 초청하여 '복부 초음파'에 관한 특강 자리를 마련하였다.


당시 나는 그의 저서 「Ultrasonography of Digestive Diseases(1982, Mosby) 」를 구입하여 공부하던 중이라 설레는 마음으로 그의 강의를 들었다.


francis_wiell.jpg


역시 대가가 달랐다.

실력만 좋은 게 아니라 강의 또한 남달랐다.

교수 생활 35년 동안 세계적인 유명 학자들로부터 무수한 강의를 들어왔지만 지금까지 내 머릿속에 남아 있는 강의는 그날 그 강의가 유일하다.

대체 무엇이 그의 강의를 그토록 오랫동안 살아 숨 쉬게 만들었을까?


우선 그는 프랑스인으로서는 보기 드물게 standard English에 가까운 억양으로 영어를 구사하면서 천천히, 그리고 또록또록한 발음으로 한국인 의사들이 잘 알아들을 수 있도록 강의하였다.

하지만 30년도 더 지난 지금까지 그날 강의가 내 기억 속에 남아있게 한 건 따로 있었다.

그가 내민 남다른 한 칼!

그것은 어이없게도 초음파와는 아무 상관없는 '사진 한 장'이었다.


그의 강의가 췌장염 편에 들어섰을 때, 그는 화면에 아래와 유사한 꽃밭 사진을 한 장 띄웠다.

초음파 강의를 하면서 강의 내용과는 아무런 관계도 없어 보이는 이런 뜬금없는 사진에 다들 호기심 어린 눈으로 바라봤다.

그러자 그는 "이 사진에서 꽃 외에 무언가 눈에 띄는 게 있습니까?" 하고 물었다.


숨은 그림 찾기, 나비,.jpg 나비가 어디 있는지 여러분도 한번 찾아보시지요.


숨은 그림 찾기라면 영상의학과 의사야 말로 전문가 중에 전문가 아닌가!

자세히 보니 화단 한구석에 조그만 나비 한 마리가 숨어있었다.

몇 초 후, 그는 "여기 나비 한 마리가 보이시죠?" 하며 내가 찾아낸 바로 그 자리를 가리켰다.


'그래서 어쨌단 말인공?'

그때까지도 나는 그의 의도를 파악하지 못했다.


그러자 그는 초음파 사진 한 장을 비추며 다음과 같이 말했다.

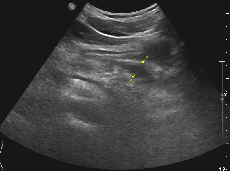
"이 사진은 환자의 상복부(배꼽을 중심으로 위쪽) 중앙을 transverse scan(옆으로 자른) 한 사진입니다. 혹시 이상 소견이 보이나요?"


자른 위치로 봐서는 췌장을 중심으로 잡은 것 같은데 당시 초음파 장비의 성능도 형편없는 데다 비만한 서양 환자의 배를 그어 놓은 사진이라 제대로 된 해부학적 landmark(길잡이가 되어줄 구조물)도 전혀 안 보여 뭐가 뭔지 도무지 알 수가 없었다.


그러자 그가 말했다.

"급성췌장염이 의심되는 환자에서 췌장이 잘 안 보이거나 보이더라도 특별한 이상 소견을 발견할 수 없을 때 우리가 찾아야 할 것은 바로 이 나비입니다." 하면서 그는 췌장으로 추정되는 희미한 구조물 바로 앞에 있는 적은 양의 'fluid shadow, 액상 음영'을 가리켰다.

Pancreas pseudocyst.png 필자가 경험한 그와 유사한 케이스

그제야 나는 감탄을 금치 못했다.

"캬~ 기가 막히네. 저걸 저런 식으로 연결시키다니! 대단해. 역시 대가가 달라."


영상물의 활용 방법

복부 초음파에서 가장 보기 힘든 부위가 바로 췌장이다.

이유인즉슨, 췌장은 뱃속 가장 깊숙이 놓여있으면서 여러 가지 구조물로 복잡하게 얽혀있는 데다 그 앞에는 공기가 든 위장과 대장이 가로막고 있어 많은 양의 음파가 여기서 튕겨 나가기 때문이다.


췌징주변 아나토미.png 이 그림은 췌장을 잘 보여주기 위해 췌장 위를 덮고 있는 위장과 췌장의 아랫부분을 가리는 대장은 잘라낸 상태다


그러므로 요즈음 같이 성능 좋은 장비를 가지고도 췌장 전체를 잘 그려내기는 쉽지 않은 데, 설상가상으로 배불뚝이 환자나 위와 장에 가스가 많이 찬 환자라도 만나면 아예 포기하는 경우가 많다.

이럴 때. 급성췌장염이 의심되는 환자라면 잘 안 보이는 췌장과 씨름하기보다, 급성염증 시 잘 동반하는 물을 찾는 것이 정확한 진단의 지름길이라는 엄청난 노하우를 꽃밭에 숨은 나비 사진 한 장으로 리얼하게 전수해 준 것이다.


그의 그날 명강의 중 다른 것은 아무것도 기억에 남아있지 않다.

만약 그가 꽃밭 사진을 안 보여줬더라면 그가 강조한 그 부분 역시 수많은 초음파 지식 중 하나로 망각 속에 파묻혔을 것이다.


하지만 자신이 강조하고자 하는 가장 중요한 포인트를 그것과 아무 상관없어 보이는 나비 한 마리를 끌어와 기막히게 연계시킴으로써 사진 한 장의 강렬한 잔영이 나의 뇌리에 영원히 박히게 만들었다.


의학에도 영상의학 전성시대가 도래했듯이 이제 인문학 강의에도 영상물 사용이 대세가 되었다.

필자가 많은 지면을 할애해 가며 위의 예를 소상히 설명한 것은 인문학 강의에도 얼마든지 저런 기법을 도입할 수 있다는 가능성을 보여주기 위함이다.


단, 한 가지 명심할 점은 이런 기법은 한 강의 내에 딱 한 번만 쓰라는 것이다.

이것은 여러 명의 애인과 헤어진 사람은 세월과 함께 그들에 대한 기억이 퇴색해 버리지만, 단 한 명의 애인과 헤어진 사람은 영원히 그 사람을 잊지 못하는 것과 같은 이치다.