검붉은 미소

얼짱을 위한 치아교정과 미백

by 김동석

요즘 젊은이들은 버는 돈의 반은 맛있는 거 먹는 데 소비하고, 나머지 반은 다이어트에 소비한다는 우스갯소리가 있습니다. 그만큼 아름다움을 추구하는 데 많은 정성을 쏟는다는 말이겠지요. 아름다움을 추구하는 것은 인간의 기본적인 욕망이자 외모 자체도 사회생활의 경쟁력이 되고 있습니다.


첫인상을 좌우하는 것 중의 하나는 바로 그 사람의 미소입니다. 밝게 웃는 미소가 호감을 주는 것은 당연하지요. 웃을 때 하얀 치아가 가지런하게 보인다면 금상첨화겠지요. 하지만 아무리 가지런한 하얀 치아라도 어색해 보이는 미소가 있습니다. 다름 아니라 잇몸(gum)이 너무 많이 보이는 '잇몸 노출증(잇몸이 보이는 미소, gummy smile)‘이 그것입니다. 연예인 중에서 이런 잇몸이 보이도록 웃는 꽤 매력적인 사람이 있기는 하지만 대부분의 경우에는 보기가 조금은 부담스러운 미소인 것이 사실입니다. 게다가 잇몸이 검붉게 착색이 된 경우에는 검붉은 미소가 되기까지 합니다. 대부분 이런 분들 중 여성들은 입을 가리고 웃으시더군요.


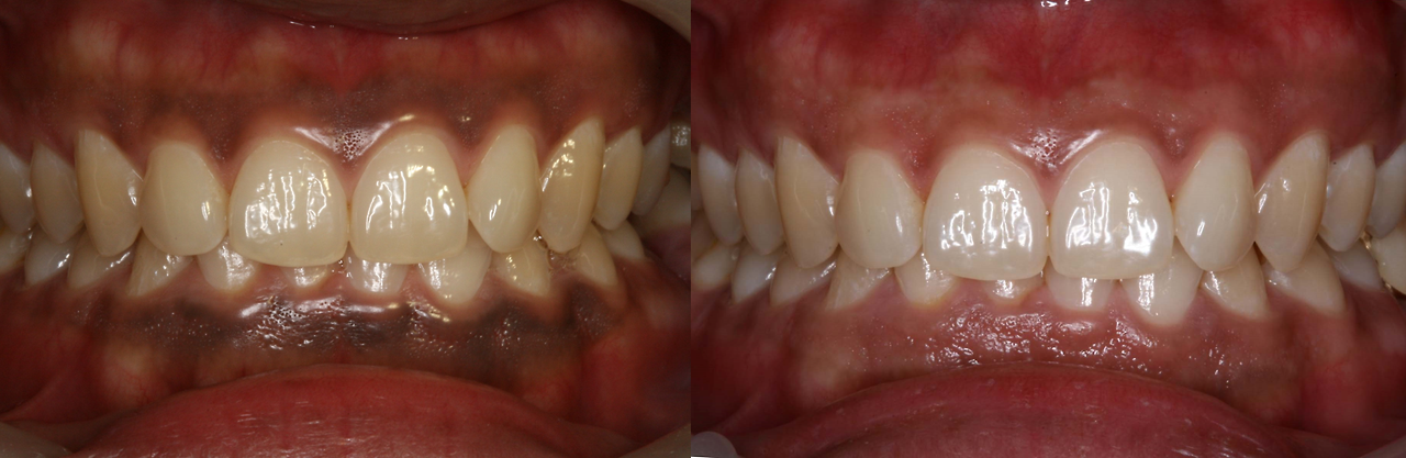
일단 잇몸이 많이 보이는 경우 치료할 수 있는 방법은 다양합니다. 잇몸성형을 통해서 간단하게 해결할 수 있는 경우, 치아교정이나 악교정 수술을 해야 할 정도로 돌출입인 경우, 잇몸성형과 치아성형을 병행하는 경우 등 정확한 진단 후에 본인에게 맞는 방법으로 잇몸 노출증을 치료할 수 있습니다. 잇몸이 검붉은 색일 경우에는 레이저를 이용한 잇몸미백 방법을 통해서 원래의 선홍색 잇몸 색을 가질 수도 있습니다.


미소가 아름다운 사람이 되고 싶으시다면 본인의 미소를 꼭 점검받으시고 다양한 치료 방법 중에서 선택하세요. 선택에 폭이 넓어진 만큼 본인에게 맞는 치료법이 있을 겁니다.


잇몸이 검게 보이는 경우 치과에서 전문적인 잇몸미백을 통해서 선홍색의 잇몸을 찾을 수 있다.


keyword
이전 19화남자도 V라인