메뉴
brunch
매거진
다윈 이야기
우리 처음 만나던 날
반가워, 소중한 너야!
by
다윈이야기
Mar 13. 2023
아래로
"에이~ 아메바나 물고기 정도일 거야. 아직 심장도 없을걸?"
"..."
우린 정말 무자비하게 무식했다.
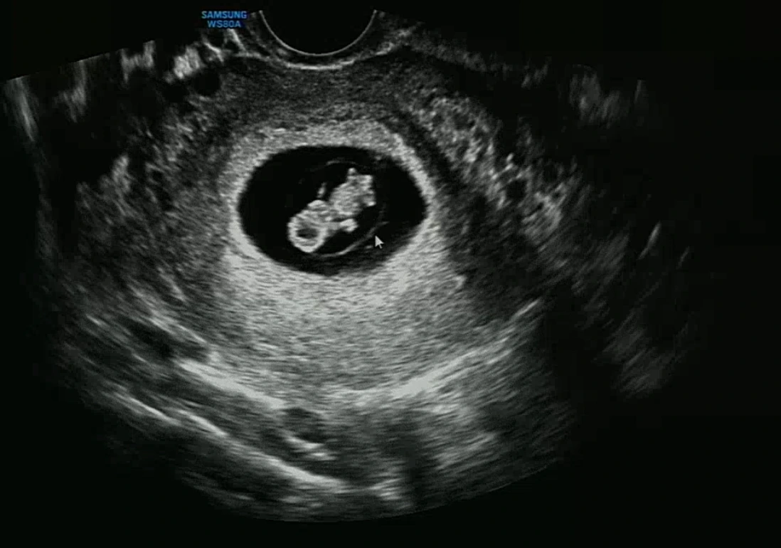
"아가 심장소리예요."
임신했다는 걸 확신하자마자 만난 너의 모습. 반가워! 그리고 미안해.
쿵쿵쿵쿵, 쿵쿵쿵쿵. 내 귀에 너무나 우렁차게 들리는 미약하지만 확실한 심장 소리.
이른 아침 남편과 함께 병원에 가는 길에서까지 믿지 못했던 존재의 완
성을 알리는 그 소리에-
쿵_ 하고 심장이 내려앉았다.
벌컥! 하고 알 수 없는 눈물이 터졌다.
"아빠분 이쪽으로 와보세요~"
왠지 제일 들뜬 것 같은 의사 선생님, 주르륵 흐르는 눈물을 훔치는 내 뒤로- 뒷걸음질 치는 남편.
"에?!??????????"
그게 아비로서 할 수 있는 최선의 리액션인지 묻고 싶었지만, 삼켰다. 에? 라니! '에' 라니...!
하... 정말 부끄럽다.
엄마라는 사람은 자기감정에만 빠져 있고, 아빠라는 사람은 어리바리 '에?' 만 남발하는 이 이상한(?) 부부. 의사 선생님은 '젤리곰'이 어쩌고 저쩌고 하시다가, 이내 우리가 뭔 소린지 전혀 못 알아듣는다는 걸 눈치채고 나직이 한마디 하셨다.
"... 궁금한 건 다음에 물어보세요."
8주도 지나서였다.
지난날 나는 식중독 혹은 역류성 식도염, 위
염일 거라는 의혹으로 많은 약과 주사를 맞았고_
몇 번의 밤샘 술자리 혹은 밤샘의 나날들을 보냈으며
평소처럼 뜨거운 물로 샤워를 했고, 배가 따뜻해야 한다며 핫팩을 붙였다.
평소보다 예민해진 듯 자주 욱! 했고, 욕도 하고 분노도 하고 짜증도 냈다.
공연 때문에 여기저기 뛰어다녔으며, 눈이 펑펑 오는 날은 미끄러져 넘어지기도 했다.
그렇게 조심에 또 조심, 안정의 또 안정을 취해야 한다는 임신 초기, 2개월이 훌쩍 지나갔다.
"다윈! 넌 알고 있었지?"
보호자가 임신하면 강아지들은 호르몬 냄새로 알 수 있다나.
"아니, 다윈이도 몰랐을 걸."
"아냐, 다윈이는 알았을 거야. 요즘에 너 좀 피해 다녔잖아. 너 보호해 주려고! 그렇지 다윈!?"
다윈이는 알았을까, 알았다면 어떻게 생각할까? 어떻게 설명해 주면 좋을까 하려는 찰나-
"윽! 야 이 녀석아!"
내품으로 안겨보겠다고 내 배를 불꾹 밟고 품으로 들어온 녀석.
흠.. 그래~ 장난감을 뺏겨도 덤덤, 밥 먹던 그릇을 치워도 덤덤- 이래도 저래도 허허실실-
모든 것에 둔감하다 못해 둔한 이다윈이 알았을 리 없지.
이런 우리 셋임에도 인정사정 안 보고 다짜고짜 찾아온 새 생명에게- 미안해진다. 무지한 어미와 무심한 아비, 그리고 무지막지한 형/오빠라니!
하, 정말. 댕청미 넘치는 우리 집 코미디언...
"다윈, 여기에- 아가 있어. 이제 우리 철들어야 돼."
그러든지 말든지, 푸- 하고 한숨 깊이 내쉬고 내 품에서 잠을 청하는 녀석.
앞으로 경쟁자(?)가 나타나 엄마의 품을 빼앗길 수도 있다는 걸 아는지 모르는지- 세상 근심걱정 모두 잃은 평온으로 쌕쌕 잘도 잔다.
그래, 넌 그냥 이 모습 이대로 있으렴. 어차피 넌 훌륭한 친구가 되어 줄 거야.
그리고 언제까지나 변함없이 사랑만 듬뿍 줄 거야.
어쨌든 넌 우리의 첫째 아기이니까.
keyword
임신
반려견
에세이
7
댓글
댓글
0
작성된 댓글이 없습니다.
작가에게 첫 번째 댓글을 남겨주세요!
브런치에 로그인하고 댓글을 입력해보세요!
다윈이야기
직업
크리에이터
담백한 바둑이 '다윈'을 키우며, 둘 중 안 바쁜 사람이 담백하게 씁니다. 인스타그램 @dawin_family
팔로워
110
제안하기
팔로우
매거진의 이전글
다윈! 이제 어쩌지??????