brunch

혹시 구강암이 아닐까?!

구강악안면외과, 구강암진료실 - 권익재 교수

by SNUDH

구강암이란 구강 및 턱.얼굴에 발생하는 암을 말한다. 가장 호발하는 부위는 혀(설암)이며, 그 이외에 볼점막, 혀 밑바닥, 입천장, 턱뼈, 입술 등에 생길 수 있다. 구강암은 우리나라에서 매년 약 4,000명 정도가 발생하는 것으로 집계되고 있으며, 전체 암 등록환자의 약 2% 정도를 차지한다.

암은 기원이 되는 세포에 따라 분류를 하게 되는데 구강암의 약 80% 정도는 구강점막의 편평세포에 생기는 암으로 편평상피세포암이라 불린다. 그 이외에 침샘에 생기는 침샘암, 점막 아래의 근육이나 뼈에서 생기는 육종, 멜라닌세포에서 생기는 흑색종, 혈액암 중 하나인 림프종 등이 있다.


1. 구강암 왜 치료하기 까다로울까?


구강암 -01.JPG 그림1. 구강암이 주변조직으로 침윤하는 과정

구강암은 치료하기 까다로운 암중 하나이다. 그 첫번째 이유는 구강암은 신경, 혈관, 근육, 뼈 등 주변 조직으로 침윤하는 경향이 강하기 때문이다. 또한 이와 더불어 구강 내에는 좁은 공간 안에 많은 신경, 근육, 턱뼈가 같이 존재한다. 구강 점막에서 발생하는 편평상피세포암이 시간이 조금만 지나도 주변 조직으로 침윤해 들어가기에 그만큼 치료도 어렵고 예후도 나빠지게 된다. 실제로 병원을 찾는 구강암 환자의 약 절반 정도에서 이미 주변 신경, 혈관, 근육, 뼈 등에 침윤이 존재하였다.

이렇게 침윤이 쉬운 암일수록 완전한 제거가 어려워 재발률이 높아지고 나아가 임파절이나 타 장기로 전이가 발생하게 된다.

두 번째 이유는 구강 내의 혀, 턱뼈는 우리가 말하고 씹고 삼키는 기능을 하는 중요한 기관이기에 치료 후 심한 기능 저하를 초래할 수 있기 때문이다. 구강암 수술로 구강 조직의 일부를 절제하게 되면 상당한 기능적 저하가 불가피하며 현재 아무리 정밀한 재건술을 시행한다고 하더라도 완전한 기능의 회복은 쉽지 않다. 따라서 많은 환자분들이 구강암 치료 후 일부 기능 장애를 안고 살아가게 된다.

마지막 이유는 구강암은 치료 후 기능장애와 더불어 외형의 심미적 문제를 초래할 수 있기 때문이다. 진행된 구강암의 경우 턱뼈와 구강점막, 피부를 광범위하게 절제해야 하는 경우가 많은데 적절한 재건술이 이루어지지 않은 경우 턱 .얼굴의 추형을 일으킬 수 있어 많은 환자들을 힘들게 한다.



2. 구강암의 조기 발견 왜 중요한가?

구강암 -02.JPG 사진1. 초기의 구강암(설암)
구강암 -03.JPG 사진2. 진행된 구강암(설암)

구강암으로 치료받고 완치될 확률은 평균 50%로, 초기에 발견되면 80~90%가 완치되지만 진행되어 발견되면 약 20% 미만에서만 완치된다. 하지만 서울대학교치과병원 구강악안면외과를 내원한 구강암 환자들을 조사해 보면 처음에 병원에 내원하였을 때 약 40% 정도가 4기 구강암으로 많이 진행된 상태로 병원을 내원하였다. 이 수치는 10년 전 약 60% 였던 것에 비하면 많이 개선된 수치이지만 아직까지도 많은 환자들이 구강암을 조기에 발견하지 못하고 암을 진행시키는 경우가 많다.

구강암은 비교적 눈에 잘 띄는 입안에서 발생하기에 상식적으로는 심부에 생기는 다른 암에 비해 조기에 발견할 수 있을 것 같지만, 실제로는 상당히 진행되어 발견되는 경우가 많다. 이는 아직까지 국민들에게 구강암에 대한 정확한 정보와 인식이 확립되지 못했음을 보여준다. 최근에는 많은 노력으로 인해 구강암에 대한 인식이 증가하였지만 아직까지 구내 단순 염증인 것으로 알고 병을 키우다 많이 진행된 상태로 병원에 내원하시는 분들을 자주 보게 된다.

따라서 구강암을 예방하고 조기에 발견하여 큰 후유증 없이 완치되기 위해 구강암에 대한 정보를 집중적으로 알아볼 필요가 있다.



3. 구강암은 어떻게 발생되나?


구강암은 하루 아침에 갑자기 생기지 않는다. 모든 암이 그러하듯 정상 조직에서 일련의 과정들을 거쳐 돌연변이로 변화한다. 구강점막에서 발생되는 구강암의 진행과정은 먼저 정상점막세포들이 과형성되고 모양이 불규칙해지는 것으로 시작된다. 이후 더 진행되면 이형성이 발생되고 내부로 침투하게 되는 과정을 거쳐 암으로 진행되게 된다. 이렇게 정상 점막이 변화하면 우리 눈으로는 붉은 병변이나 백색 병변으로 보이게 된다. 여기서 더 진행되면 점막이 떨어져 나가 패이게 되는 궤양이 발생하게 된다. 이렇게 구강암은 없던 것이 갑자기 생기는 것이 아니라 점막 이상에 의한 일련의 과정으로 진행하는 것이다.

구강 내 적색, 백색병변 중 불균일한 성상을 가지고 여러 병변들이 혼재되어 있고 진하고 두꺼워 보일 시 구강

암이 의심스러운 병변으로 생각할 수 있겠다.


구강암 -04.JPG 그림2. 구강암의 발생 과정




4. 구강암으로 진행할 수 있는 위험, 전암병소


구강암 진행 전 단계의 병소를 전암병소라 부른다. 전암병소는 아직 암은 아니지만 암으로 갈 수 있는 가능성이 있는 상태를 말한다. 구강암으로 진행할 수 있는 병변을 적색, 백색병변으로 나누어 알아보자.

먼저 적색병변 은 우리가 홍반증이라 부르는 것으로 구강점막의 각화층이 떨어져 나가 생기는 것이다. 정상점막이라면 약 2-3주의 기간을 거치면 새로운 각화층으로 대체되어야 하는데 그렇지 못하고 지속된다면 세포이상을 의심해 보아야 한다. 약 14%에서 많게는 50% 정도 구강암으로 진행될 수 있다.

두 번째로는 백반증으로 불리는 백색병변 이다. 각화층이 떨어져 나가지 않고 계속 생성되면서 두꺼워지는 것으로, 앞서 홍반증보다는 낮지만 약 1%에서 15% 정도는 구강암으로 진행될 수 있기에 정기적으로 유심히 관찰해야 한다.

또한 이 두 가지가 같이 나타난 경우도 있다. 이렇게 홍반증과 백반증이 같이 나타나는 경우는 구강암으로의진행 가능성이 더 높아지므로 더 세심한 관찰이 필요하다.

구강 내 적색, 백색병변 중 불균일한 성상을 가지고 여러 병변들이 혼재되어 있고 진하고 두꺼워 보일 시 구강암이 의심스러운 병변으로 생각할 수 있겠다. 이 경우 주기적인 관찰을 통해 구강암으로의 진행 가능성이 있다고 판단되면 예방적 제거를 해주게 된다.

구강암 -06.JPG 사진3구강내 발생하는 전암병소,적색병변과 백색병변



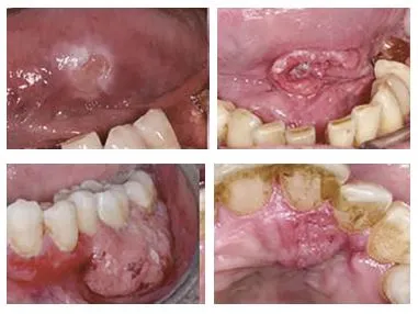
5. 구강암 의심 증상 빨리 발견 하려면?


대표적인 구강암 증상으로 전문의 검진을 요하는 경우는 아래와 같다.

◻ 낫지 않고 2~3주 이상 지속되는 궤양

◻ 입안 불균일한 백색, 적색, 흑색 병변

◻ 구강내나 목에 만져지는 혹

◻ 이가 갑자기 흔들리거나 상처가 잘 아물지 않은 경우


먼저 낫지 않고 2~3주 이상 지속되는 입안 궤양이나 불균일한 입안 적색, 백색, 흑색 병소가 있는 경우는 구강

암의 대표적인 증상일 수 있기 때문에 반드시 가까운 구강악안면외과 전문의의 검진을 추천한다. 또한 구강 내 또는 목에 혹이 만져진다면 종양이 원인 일 경우가 있기에 확인이 필요하다.

마지막으로 갑자기 이가 흔들리거나 치아 주변 상처가 잘 아물지 않는 경우 치은암에 의한 치주 소실일 수 있기에 검진이 필요하다.


구강암 -07.JPG 사진4. 구강암을 의심할 만한 구강내 다양한 병소들

구강암진료실 운영


구강암진료실  복사.jpg 구강암진료실

서울대학교치과병원은 구강암 환자를 위한 특화된 클리닉을 운영하고 있다.

구강암 진단을 받았거나 구강암 의심 병변이 있는 경우 구강암진료실을 내원하시면 도움을 받으실 수 있다.

( 위치: 서울대학교치과병원 1층 구강공공보건의료센터, T. 02-6256-3310)

keyword
이전 05화자체감사활동 심사평가 최우수 자체감사기구 선정