brunch

노인성 치아 우식-치근면 우식증이란?

원스톱협진센터 이형우 교수

by SNUDH

현대 의학의 발전과 식습관의 개선으로 인류의 기대수명이 증가했다. 더불어 치의학 분야의 발전으로 치아의 '치료술식과 예방술식'이 개선되면서, 자연 치아를 보존하고 유지할 수 있는 기한 역시 더욱 증가되고 있다. 즉, 자기의 자연 치아를 오래 지니고 있는 성인 및 노인의 비율이 높아졌다는 뜻이다. 다만 치주조직이 생리적 노화 혹은 치주질환을 겪게 되면, 잇몸(치은)이 퇴축되고 이로 인해 치아 뿌리(치근)가 노출되는데, 이 치근 표면에 발생하는 충치를 치근면 우식증이라고 한다. 중.장년층에 있어서도 우식증은 치아머리(치관부)보다는 치근면에서 일어날 가능성이 높으며, 특히 치근면 우식증의 발생 빈도는 연령의 증가에 따라 비례적으로 증가한다고 알려져 있다. (WHO 연령대에 따른 치근면 우식증 유병률 보고, 2018)



치아의 구조

치근면 우식증 -1.JPG 그림 1. 다양한 우식

젊고 건강한 잇몸을 전제로, 일반적으로 잇몸 위 치아머리 부위는 치관, 잇몸 아래 치아 뿌리 부위는 치근이라 부른다. 다만, 앞서 이야기했듯 노화가 진행되거나 잇몸 질환을 앓게 되면, 잇몸이 퇴축하기 때문에 잇몸을 경계로 치관과 치근을 구분 짓는 것은 유의미하지 않다. 이때 조직학적으로 구분 짓는 것이 확실한데, 치관부는 표면이 법랑질로 구성되어 있고 치근부는 표면이 백악질로 되어 있다.

치근면 우식증은 잇몸이 퇴축되어 치근 및 백악질이 노출된 부위, 즉 백악질과 법랑질이 만나는 경계에서 백악질 쪽으로, 퇴축되는 잇몸 경계를 따라 형성된다. (그림 1) 또한 치관에서 발생하는 일반적인 우식과 달리,치근 속의 치수 쪽으로 진행되기 보다 치근면을 감싸며 옆으로 확산되는 경향을 보인다. (그림 2, 3)


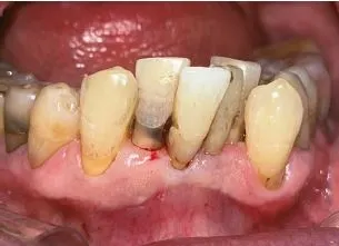
치근면 우식증 -2.JPG 그림 2. 치주염에 의한 치근면 노출
치근면 우식증 -3.JPG 그림 3. 치근면 우식증 임상사진

치근면 우식증의 문제점


치근면 우식증을 예방하기 위해 아주 강한 칫솔질이나, 무리한 잇몸 치료를 강행하는 것은 좋은 습관이 아니다. 치근 표면을 구성하는 백악질이 벗겨지거나 제거되면, 바로 치아 속살인 상아질이 노출되고, 이 경우 산성분에 탈회가 매우 쉽게 일어나기 때문이다.

대표적인 치아 우식 균인 스트렙토코커스 뮤탄스(Streptococcus mutans)와 락토바실러스(Lactobacillus) 등이 구강 내의 탄수화물을 분해시켜 젖산 등의 산성분을 만드는데, 치아 표면인 법랑질이나 백악질이 제거된 상태에서, 속살인 상아질이 노출되면 탈회에 매우 취약해진다. 따라서 치근면 우식증이 단시간 내에 광범위하게 진행되는 경우도 많고, 별다른 증상을 보이지 않는데도 치수를 침범할 정도로 진행된 경우도 흔하다. 특히 치은면을 따라 굴곡이 복잡한 형태로 생기기 때문에 수복하기 어렵거나 온전히 수복할 수 없는 경우도 빈번하다.



치근면 우식증의 대처법

우선 식습관 개선과 구강위생청결 유지가 필수적이다. 치아 우식 균의 번식 및 활동성 감소를 위해 당분이 높은 음식 섭취를 제한하거나, 식후에는 반드시 양치 및 치실 등을 하여 음식물이 치면에 오래 붙어있는 것을 방지해야 한다. 시중의 불소치약을 함께 사용하면 항우식 효과를 높일 수 있다고 알려져 있는데, 이는 불소가 치아의 광화에 효과가 있기 때문이다. 또한 치과에 내원하여 처치받는 고농도 불소 도포도 권장된다.

환자의 꾸준하고 세심한 관리로 치근면 우식이 진행 중이 아니라면 정기적인 불소도포 정도로 처치가 이뤄지지만, 기본적인 우식의 범위가 넓거나 그 침습성이 강하다면, 활동성으로 판단하여 치근면 충치의 적극적인 처치가 요구된다. 이 경우, 충치로 이환된 치근을 긁어내고, 다양한 재료로 수복이 가능하다. 대표적인 재료는 크게 3가지가 있다.


- 재료 자체의 물리적인 성질이 우수하며, 치아와 접착력이 높고 가장 심미적인 복합레진

- 강도와 접착력은 낮으나 항우식효과가 있는 글래스 아이오노머

- 두 재료의 장점을 어느 정도 취한 레진강화형 글래스 아이오노머


각각의 장단점 이외에도 비용적 차이가 분명히 있으니, 전문가와 상의 후에 본인의 충치치료에 유리한 방법

및 재료를 선택하는 과정이 필요하다.


노인성 치아우식.JPG

https://youtu.be/j3gjJ6waqD8?si=j-hhRFzF7Bx8xj-d

keyword
이전 06화혹시 구강암이 아닐까?!