brunch

MRI 용어 관련 정리

MRI를 쉽게 배워보기

by 미국침선생

오늘은 영상의학 분야에서도 좀 난이도가 있다고 생각되는 MRI 관련해서 간단한 용어 정리와 기본개념에 대해서 알아보겠습니다. 워낙 어렵기도 하고 눈으로 볼 수 없는 미시적 과학분야이기 때문에 어쩔 수 없이 공부하시는 분들은 일정 초급과정을 그냥 암기하는 방법밖에 없습니다. 분야 특성상 억지로 한글로 번역하다 보면 오히려 더 어렵게 번역되는 수도 있어서 중간중간의 영문 원어가 포함되는 부분은 이해 부탁드립니다.


차근차근 용어 하나하나씩 살펴보도록 하겠습니다.


Proton density - long TR and short TE sequence, T2배제

우선 양성자 밀도 영상 - 긴 TR시간과 짧은 TE시간을 가지고 대조도가 약간 낮은 듯한 표현으로 묘사됩니다.

(영상을 많이 보는 것이 중요!!)

img.jpg

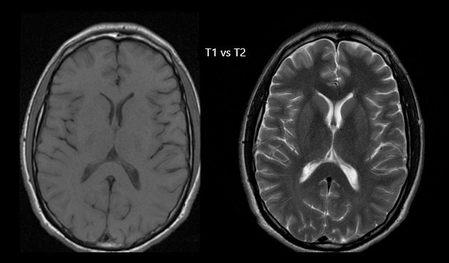
Proton density (PD)



T1-weighted:

short TR and short TE (하얀색) 지방 - 간 - 백질 - 비장 - 회백질 - 근육 - 혈액 - 뇌척수액 - 물 (검은색)


T1 강조영상은 짧은 TR, TE 시간을 가지고 물이 검게 보이는 특성으로 다른 영상에 비해 찾기 쉬운 편입니다.

img.jpg

이에 반해, T2-weighted - long TR and long TE (하얀색) 물 - 뇌척수액 - 회백질 - 백질 (검은색)

T2 강조영상은 긴 TR, TE 시간을 가지고 물이나 혈액, 뇌척수액이 밝게 보이기 때문에 영상의 구분이 가능합니다.


Water

long T1 and T2 - dark in the T1-weighted image and bright in the T2-weighted image

MRI상에서 물은 긴 T1, T2를 가지므로 T1강조영상에서 검게 나타나고 T2강조영상에서는 밝게(고신호)로 나타납니다.


Tissue

short T1 and a long T2 - bright in the T1-weighted image and gray in the T2-weighted image.

조직은 짧은 T1과 긴 T2 이므로 T1 강조영상에서 밝게, T2 강조영상에서는 회색으로 보이는 것이 특징입니다.


MRI에서 사용되는 조영제 Gadolinium

Gadolinium -

reduce T1 and T2 time -enhanced signal in the T1-weighted and a reduced signal in the T2-weighted image. - T1 T2 시간을 감소 - T1강조영상에서 조영 증강되고, T2강조영상에서 신호가 감소되는 효과를 가집니다.


Each tissue has - signal depends on 3 factors (proton density, T1 and T2 time)

각 조직은 고유한 세 가지 요건으로 신호가 정해집니다. 양성자 밀도, T1, T2

내적 인자 -스핀 밀도(spin density), T1이완 시간, T2이완 시간, 혈류, 화학적 이동, 자기 감수성, 확산, 관류

외적 인자 - TR, TE, FA, FOV, NEX, Slice thickness, Slice gap, Band width, Matrix


Screenshot 2022-04-06 at 14.16.23.jpg


TE (time to echo) 처음 90도 RF 펄스 후에 에코 신호까지의 시간

TR(Repetition Time) 펄스 반복 시간

TI(Inversion Time) IR 기법에서 종축자기화를 반전시키는 Inversion pulse와 신호를 받기 위해 인가하는 공명 주파수(90도) 사이의 시간


요소 조건의 특성입니다. 시간 단위 (mSec)

TE - is always shorter than TR, TE는 항상 TR보다 짧아야 한다

A short TR - value approximately equal to the average T1 value, lower than 500 ms (500 이하)

A long TR - 3 times the short TR, usually greater than 1500 ms (보통 1500보다 큼)

A short TE - is usually lower than 30 ms (보통 30보다 작음)

A long TE - 3 times the short TE, usually greater than 90 ms (보통 90보다 큼)

MRI coils - can be used for transmitting and/or receiving - 코일은 신호의 전달과 수집에 사용됩니다.


핵스핀 자기화의 기본이론

After a 90° RF pulse - longitudinal magnetization has disappeared and transverse magnetization has appeared.

90도 펄스 이후 종축자기화가 사라지고 횡축자기화가 나타납니다.

RF turned off-transverse magnetization decay, longitudinal magnetization recover, protons re-radiate absorbed energy

라디오파가 꺼진 후-횡축자기화가 소실, 종축자기화가 회복되고, 양성자가 흡수된 에너지를 재방출합니다.


MRI를 처음 공부하시는 분들은 용어가 낯설기 때문에 학생이나 초급자들은 무조건 외우는 수밖에 없습니다. 공부하는 것뿐만이 아니라 직접 장비에서 조절해 보고 영상을 많이 봐야 이해가 되고 외워(?) 지기도 합니다. 어려울수록 반복을 많이 해서 자기 것을 만드는 것이 중요합니다.


내용이 방대하기는 하지만 MRI공부 시 기본적으로 알아두어야 할 용어에 대해 정리해 보았습니다.


keyword
작가의 이전글골다공증 검사 얼마나 자주해야 할까?