brunch

사랑니가 아파올 때

by 김민영


이따금 사랑니가 아파온다. 잇몸 깊숙이 퍼지는 통증이 밀려오면, 그제야 숨겨져 있던 존재를 떠올린다. 그리고 잃어간 것들을 되짚어본다.


헌 이를 빼고 새 이로 갈아 끼우는 것은 유년 시절 다 끝마친 일이라고 생각했다. 그러나 서른에 가까워진 지금까지도, 감춰진 것들은 때로 잇몸을, 내 하루를 지그시 누르며 묻는다. ‘나 없이도 잘 살고 있느냐’고. 미안하게도 나는 잘 살고 있었다. 마땅히 있는 것을 보지 못한 채, 눈에 보이는 것만을 진짜라고 믿은 채, 오늘이 세상의 전부라고 확신한 채.


이상하게도 사랑니가 아픈 날엔, 오랜만에 보는 얼굴들이 많았다. 잊고 지내던 얼굴을 마주하면, 기억 저편의 지난 시간들이 물밀듯 밀려왔다. 그리고 당연하던 오늘은 지난날들에 지긋이 눌려진다. 추억 속에 잠겨있던 당신들이 살아 숨 쉬는 것을 느낄 때, 망각의 대가를 치르는 듯 마음이 저려왔다.


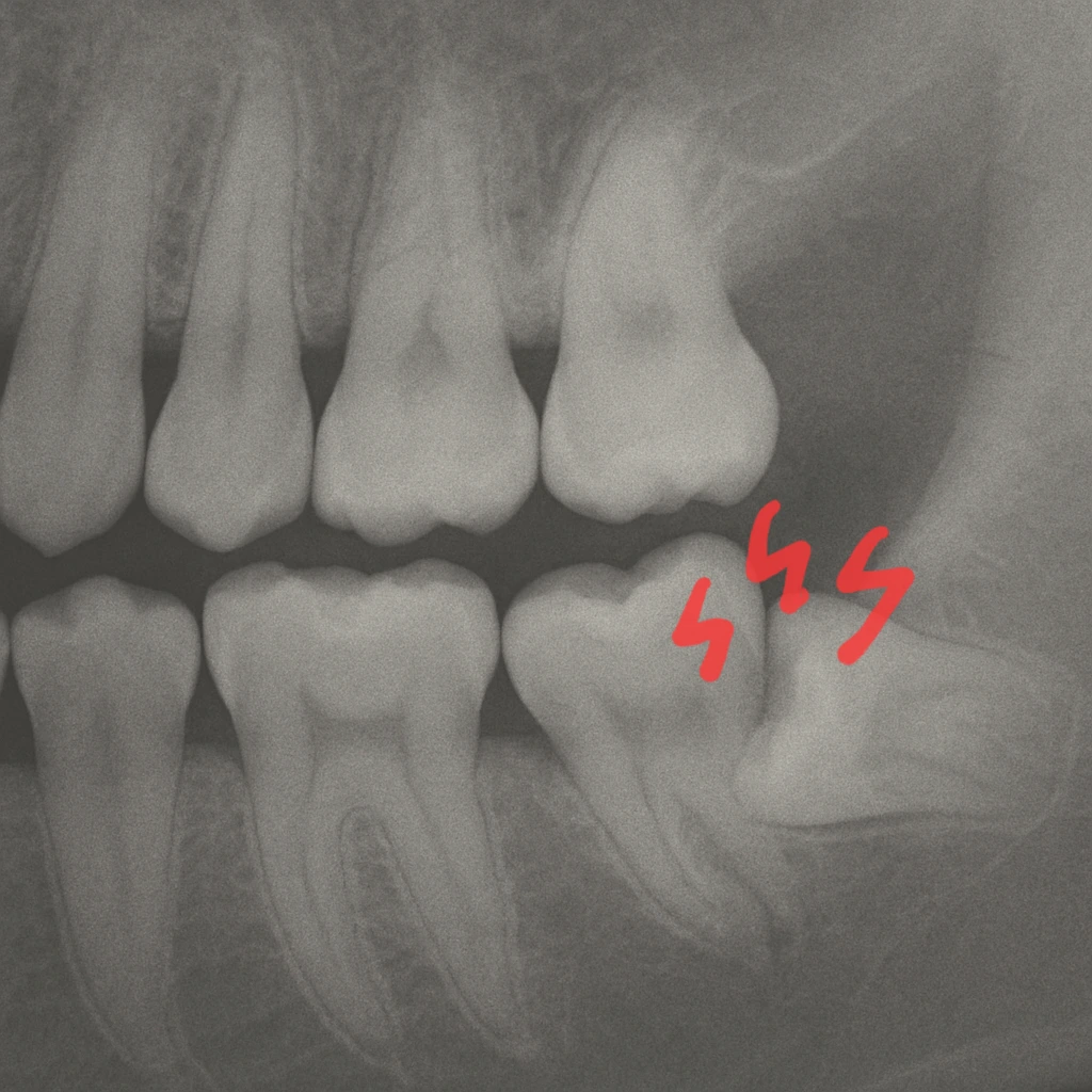
약속을 마치고 집으로 돌아가는 길. 문득 사랑니를 뽑으면 어떤 일이 생기는지 검색해 보았다. ‘과도한 출혈과 감염으로 사망에 이를 수 있음’ 섬뜩한 경고에 마음이 섬칫해진다. 여느 인터넷에 올라오는 과장된 이야기겠지만, 이토록 사랑니를 뽑아야만 하는지 걱정이 앞선다. 진정 내가 없애려고 하는 것은 무엇인가. 두려움이 앞서자, 핸드폰을 끄고 두 눈을 질끈 감는다.


오늘의 내가 있기까지, 나는 무수히 많은 것들을 마주해 왔다. 그 시간들로부터 오늘의 내가 있을 수 있었다. 그런데 왜 나는 지난 시간들을 그리도 쉽게 잊고 살아왔을까. 때로는 상처로, 아픔으로 자리 잡은 그 시간들이 영영 뿌리 뽑히기를 바랄 때가 있었다. 하지만 그 시간들은 사랑니처럼 불쑥 찾아와 내 하루를 뒤흔든다. 그리고 언제 그랬냐는 듯, 자취를 감추고 만다.


그런 것이 있는가 보다. 틈을 비집고 들어와 끝내 자리 잡는 것들. 뽑아도 뽑을 수 없는 것들. 설령 들어낸다 해도, 영원히 흔적을 남기는 것들. 오늘의 것만으로 살아갈 수 있다고 믿었던 나의 오만함을 되돌아본다. 잊고 지낸 것들에게도 미안한 마음을 전한다. 이 말을 하기 위해 사랑니는 다시금 요동쳤는지도 모르겠다.


무엇이든 이 몸과 삶 위에 짙은 흔적을 남긴다.

그것이 사랑니든, 추억이 됐든.

들어낼 수 있는 건 결국 아무것도 없었다.

keyword
매거진의 이전글사라지는 것들 사이에서