brunch
매거진 Fibroidiary

자궁 근종 환자가 추천하는 선근증 요법

by 룡이



일전에 SNS 다이렉트 메시지로 선근증에 관한 고민 글을 받았다. 나는 자궁 근종만 가지고 있는 상황이라 자궁 선근증이 자궁 근종과 비슷한 질병이라는 생각만 했었다. 온라인에도 자궁 근종과 비슷한 정보만 나와 있을 뿐이었다. 고로 관련 정보가 무지했던 나였다. 하지만 내가 경험한 당혹스러움과 절박함을 때문인지 정보를 찾아 나누고 싶었다. 분명 그분뿐 아니라 선근증을 가지고 고민하는 많은 분들이 계실 것 같았기 때문이다.
선근증은 자궁 근종과 비슷하나 많은 부분에서 다른 질환이다.



선근증은 자궁 근종과 비슷하나 많은 부분에서 다른 질환이다.




1. 원인 세포의 종류가 다르다.

먼저 자궁 근종과 선근증이 생기는 세포에 대해 이야기하고자 한다. 자궁 근종은 자궁 근층 내 세포에서 생기는 것에 반해 자궁 선근증은 자궁내막 조직이 자궁의 벽 안으로 침투하는 질환이다. 그리고 한두 개의 근종 자체가 풍선처럼 커지는 자궁근종과 달리 자궁 선근증은 침투한 근종이 모여서 덩어리처럼 보인다. 그래서 선근증이 진행될수록 자궁벽은 두꺼워지고 자궁 내 공간은 더 압박받게 된다. 근종이 생기는 세포의 위치와 진행 과정이 다르다는 것을 이해해야 선근증 치료 방법을 접근하는데 한결 쉬울 것이다.



자궁 근종(위)과 정상 자궁(아래 왼쪽), 자궁 선근증(아래 오른쪽)의 서로 다른 모습



2. 원인

원인은 자궁 근종과 마찬가지로 불분명하다. 유전적인 원인을 언급하기도 하고 출산 과정에서 발생한다는 의견도 있었다. 하지만 여성 호르몬 분비가 줄어드는 폐경기 여성의 선근종, 자궁 근종의 크기가 줄어든다는 의견을 봤을 때 공통적으로 여성 호르몬의 밸런스 문자가 근종 원인인 것 같다.



3. 증상

자궁 선근증 환자는 자궁 근종 환자보다 더 큰 고통 증상을 가지고 있다고 한다. 그럴 것이 두꺼워진 자궁벽이 생리할 때마다 수축과 팽창을 반복해 생리통을 유발하고 자궁의 혈관을 압박해 출혈이 상대적으로 많다. 만약 패드를 2시간에 한 번씩 간다거나 진통제를 먹어도 생리통이 심해 일상생활에 지장을 준다면 병원을 방문해 초음파 검사를 하는 것이 추천한다. 또 다른 증상은 화장실을 자주 간다거나 성관계 시 통증이 심하다는 것이다.



4. 검사

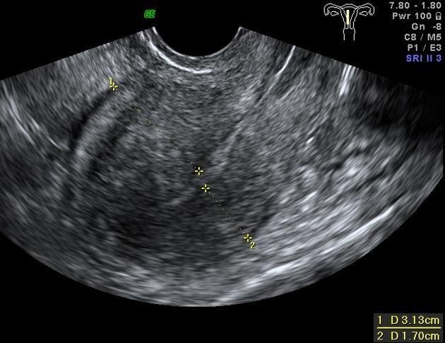
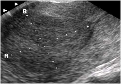
자궁 근종을 초음파로 보았을 때는 가로, 세로, 부피의 형태가 가늠할 수 있다.(아래 사진 좌) 이에 반해 선근증은 자궁 내막에 생겨 자궁벽 내로 침투하기 때문에 자궁 근종에 비해 근종 근처에 혈관들이 많이 밀집되어 있다. 그래서 선근종을 검사할 때는 초음파로 정확한 형태를 파악하기 힘들다고 한다. 일반적으로는 막대기처럼 길쭉하게 뻗어있는 모습을 보인다. 산부인과에서 선근증을 진단할 때는 먼저 초음파로 혈관들이 많은지 여부를 먼저 살펴보고 MRI나 조직 검사로 구체적인 상태를 검사한다고 한다.


자궁근종 초음파.jpg
선근종 초음파 예시.jpg

5. 치료


-호르몬제
자궁 근종 환자에게 호르몬제는 일시적인 효과를 나타내며 장기적으론 부작용이 더욱 크다고 알고 있다. 하지만 자궁 선근증 환자가 호르몬제로 치료받을 경우 통증을 장기적으로 완화시켜주는 효과가 있다고 한다. 그럼에도 불구하고 자궁 선근증 환자의 근종의 크기가 줄어드는지 확답을 제시하긴 힘들다.


-하이푸
출산 이후라면 하이푸가 괜찮은 선택지가 되겠지만 출산 전이라면 확신할 수 없다. 이전 포스팅에서 밝혔듯 임신 가능성이 있는 여성에게 하이푸는 위험성이 있는 선택이며 자칫하다간 정상 세포를 괴사시켜 역효과를 부를 수도 있기 때문이다. 특히나 선근증의 경우는 여러 근종이 퍼져 있는 형태가 많아 하이푸로 깔끔하게 치료하긴 더욱 힘들고 재발률도 상대적으로 높다.
하지만 남편과 함께 본 중국과 영국 출처의 논문에 따르면 많은 여성들이 하이푸 시술 후 증상이 좋아졌다고 한다. 특히나 MRI 기술로 진행하는 하이푸의 경우는 초음파보다 안정성이 있으니 출산 이후 여성에게 더 적합한 방법이라 판단된다.


-복강경
선근종 복강경은 자궁 내막의 선근증 세포를 직접적으로 제거하는 방식이다. 자궁 선근증은 자궁 근종과 달리 정상 세포와 구분이 까다로운 자국 내막의 선근종 세포를 분리해야 하기 때문에 수술 과정에서 더 많은 출혈이 발생할 가능성이 높다.
많은 환자들이 미적인 부분에서 복강경 수술의 구멍을 적게 내는 것을 선호하지만 그럴수록 복강경 수술의 정확성이 떨어지고 위험성이 올라간다. 복강경 수술의 정확성을 올리기 위해서는 상처가 남는다 하더라도 수술 구멍이 비교적 많은 것이 좋다.


-색전술
개인적으로 가장 많은 기대를 했던 치료법이다. 자궁 근종에는 효과와 부작용이 나쁘지 않았기 때문에 서울의 Y병원 색전술 전문 수술 선생님의 논문도 여럿 보면서 관심을 가졌다. 하지만 자궁 선근증에는 아직 이 기술이 정착되진 않은 것 같다. 국내 논문의 의견은 긍정적이나 불확실한 부분이 많았다. 해외 논문에서는 색전술 후 환자의 50-70% 환자기 자궁 내 공간이 증가하는 경향을 보였고 생리 시 생리통과 출혈이 줄어드는 긍정적인 효능이 보였으나 증상이 재발되는 경우가 약 30%, 극심한 통증으로 병원에 실려가는 등의 심각한 문제는 5% 정도를 보였다. 무엇보다 시술을 받은 약 25%가량의 환자들이 자궁 적출을 받았다는 논문 때문에 위험성이 높아 보인다. 재발률에 대해서는 명확한 데이터를 찾을 수 없었으나 위의 데이터를 살펴봤을 때는 다른 치료에 비해 높은 편일 것으로 예상된다.




6. 자궁 근종과 자궁 선근증의 관계

자궁 근종이 있는 사람이 선근증을 가질 확률은 25%가량이다. 하지만 자궁 선근종을 가지고 있는 사람이 자궁 근종을 가질 확률은 50%가량이니 선근종 환자는 선근증 치료를 받더라도 자궁 근종에 대한 경계를 늦추지 않는 것이 좋다.





7. 자궁 선근증과 임신의 관계

대만 및 해외 출처 논문을 바탕으로 봤을 때 자궁 선근증은 불임 가능성이 평균 10% 정도로 자궁근종 환자에 비해선 낮다고 판단된다. 또 정상적으로 임신과 출산을 한다면 태아의 지능이나 신체에 미치는 영향도 높지 않다. 하지만 조기 출산이나 양수가 일찍 터진다는 등의 출산 관련 위험 가능성이 일반 임산부에 비해 2배가량 높으며 임신 중 선근종으로 인한 통증이 심해지는 경향이 있다고 한다. 임산부는 다른 여성에 비해 약에 대해 조심해야 하는데 진통제를 쓰기도 어려우니 이 부분이 난감할 것 같다.
어떤 논문에서는 자궁 선근증 환자가 제왕절개술이나 유산 확률이 일반 임산부에 비해 높다고 하지만 어떤 논문에서는 인과 관계를 정확히 파악할 수 없다고 하니 이 부분 역시 확인이 필요하다. 내 생각에는 자궁 내 공간이 좁아지고 호르몬과 혈관 문제가 있다는 점에서 자궁 근종 환자의 출산 위험과 유사한 부분이 많을 것 같다.


자궁근종-출산.png 자궁 근종 환자의 출산 관련 위험 요소



8. 만약 나라면

이 질문 때문에 긴 글을 쓴 것 같다. ‘만약 내가 선근증 환자라면?’으로 시작한 글이기에 참 많은 고심이 생겼다. 그리고 아직 더 많은 데이터를 수집하지 못했기에 섣불리 결정하는데 어려움이 있다. 그래도 만약 내가 자궁 선근증과 자궁 근종이 함께 있다면 생활 습관과 식습관을 바꿔 호르몬 조절부터 시도했을 것 같다. 동시에 의약품으로 시도하는 호르몬 치료도 고려했을 거라 생각한다. 물론 있어선 안될 것이 있다는 생각에 수술부터 고민할 수 있지만 부작용과 재발을 생각하지 않을 수 없다. 그래서 더욱 신중해야 한다. 나라면 호르몬 치료를 먼저 택해 효과가 있다면 자궁 근종에 맞춰 치료법을 고민해볼 테고 효과가 없다면 자궁 선근종에 맞춰 치료법을 고민해 어떠한 질병에 초점을 맞출 것인지 먼저 선택하겠다. 그리고 그 사이에 더 많은 데이터들을 수집하여 나에게 맞는 치료법이 무엇 일지를 고민할 것 같다.





9. 자가 관리 방법

선근증은 자궁 근종처럼 꾸준히 자라나는 세포이기 때문에 자가 치료로 근종의 뿌리까지 없애는 것에는 무리가 있다. 그래서 크기에 집중하기보다는 증상이 어떻게 나타나는지 초점을 맞췄으면 한다. 심한 통증으로 일상생활이 불가능하다면 분명 병원을 방문하여 치료를 받아야 한다.
하지만 이가 아니고 지켜보겠다는 의견을 가진 상태에 증상이 경미하다면 반신욕이나 좌욕 등을 통해 하복부를 따뜻하게 해주며 식이요법을 병행하는 것을 추천한다. 또, 환경 호르몬을 줄이기 위해 생활 습관을 바꿔야 한다. 이는 초음파나 MRI로 주기적인 근증의 상태를 체크하는 것을 바탕에 두고 있다. 무엇보다 수술이나 약물을 통해 치료한다 하더라도 어느 방법으로도 재발 가능성이 있는 질병이기 때문에 최대한 관심을 가지고 지켜봐야 한다.


선근증에 관한 정보를 찾아볼수록 까다로운 질병이란 생각이 든다. 선뜻 어떤 방법을 선택하기도 어렵고 어떤 방법을 선택해도 위험성이 따른다. 그렇기에 더 조심하고 더 많은 정보를 찾아야 한다. 있으면 안 될 것이 있다는 걸 두려워하거나 부끄러워하지 않았으면 한다. 정답처럼 보이는 글이 아니라 답답할 수도 있지만 신중한 선택과 고민, 그 정보 속에서 내 몸을 더 사랑하는 방법을 분명 찾을 수 있다고 믿는다.



자궁 근종 환자가 추천하는 선근증 요법

첫 번째, 식습관을 바꾼다.
두 번째, 생활습관을 바꿔 환경 호르몬 노출을 줄인다.
세 번째, 주기적으로 병원을 방문해 선근증의 상태를 확인한다.
네 번째, 수술과 같은 치료가 필요하다면 본인의 상황에 맞는 치료법을 의사 선생님과 상담하여 결정한다.






출처
Ultrasound scan and magnetic resonance imaging for the diagnosis of adenomyosis: systematic review comparing test accuracy
Feasibility of MRI-guided high intensity focused ultrasound treatment for adenomyosis
Adenomyosis and risk of preterm delivery
Adenomyosis: Epidemiology, Risk Factors, Clinical Phenotype and Surgical and Interventional Alternatives to Hysterectomy
High-intensity focused ultrasound (HIFU) for adenomyosis: Two-year follow-up results
Effective ablation therapy of adenomyosis with ultrasound-guided high-intensity focused ultrasound.
How common is adenomyosis? A prospective study of prevalence using transvaginal ultrasound in a gynaecology clinic
자궁 선근종의 자궁동맥색전술 후 장기 추적 자기공명영상 소견

MAYO Clinic
Wikipedia
National cancer institute https://training.seer.cancer.gov/disease/categories/tissues.html
Babycenter community http://community.babycenter.com/post/a37750303/pregnant_with_adenomyosis

keyword
매거진의 이전글물처럼 녹차를 마신다!