brunch

1987 박종철 2015 백남기, 상반된 의사의 말


인도주의실천의사협의회 고 백남기 농민 사망에 대한 특별조사위원회가 ‘고(故) 백남기 농민 사인에 대해 의학적 의견서’를 통해 고인의 사망원인을 ‘외상성 경막하출혈·외인사’라고 밝혔습니다. 고인은 민중총궐기 집회에서 경찰이 쏜 물대포에 맞고 중태에 빠진 뒤 결국 사망했습니다. 당시 주치의였던 백선하 교수는 사인을 ‘병사’를 기재해 논란을 빚었습니다. 이후 서울대병원 측은 ‘외인사’로 사인을 변경했지만, 법원은 유족들이 백 교수 등을 상대로 낸 손해배상 청구 소송에서 “사인을 외인사로 기재하는 것이 타당하다”며 “백 교수가 유족들에게 총 4500만 원을 배상하라”고 판결했습니다. 현재 백 교수는 이에 불복, 항소할 뜻을 밝혔습니다. 인의협의 의견서를 바탕으로 당시 무슨 일이 있었는지를 재구성했습니다.


사진=김양균의 현장보고
2015년 11월 14일 오후 6시56분경


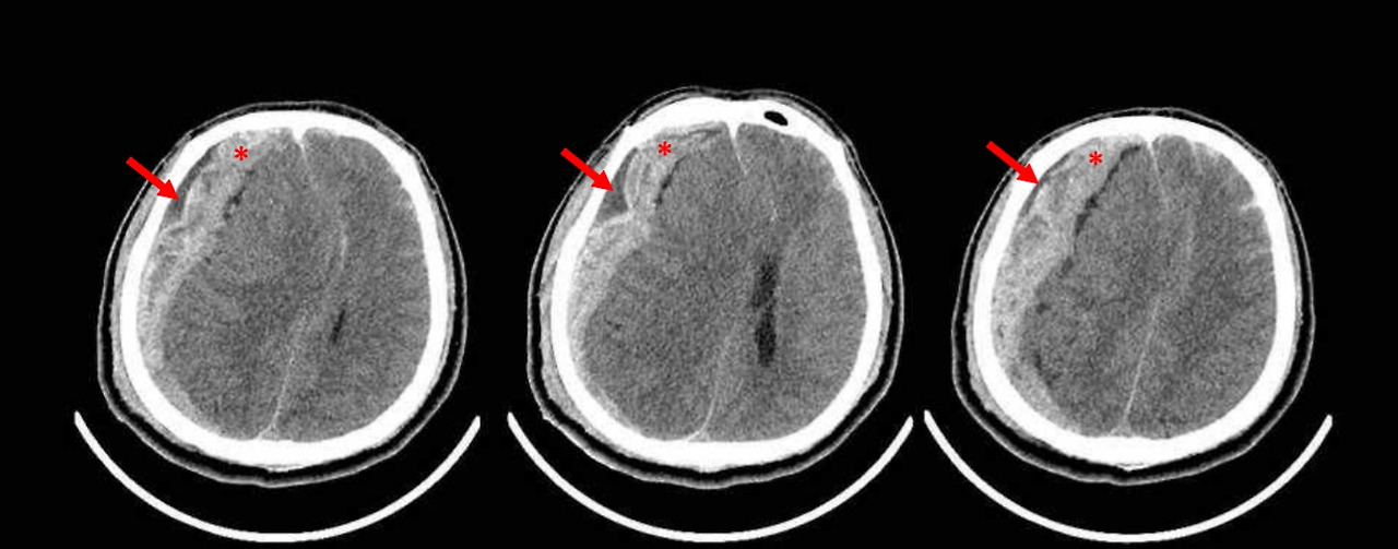
서울대병원 응급실에 백남기 농민이 이송됐다. 경찰의 물대포를 머리에 맞고 넘어진 백 농민은 의식을 잃은 상태였다. 당시 의무기록에는 글래스고우 혼수계수(Glasgow coma scale)가 3점으로, 최고 중증 상태의 혼수(coma)였고 생명을 유지시켜주는 기본 기능을 담당하는 뇌줄기 반사도 없었다. 뇌단층촬영검사(Brain CT)에서는 다발성 두개골 골절과 엄청난 량의 급성경막하출혈, 그리고 긴급한 응급처치를 요하는 뇌탈출증이 발견됐다.


이는 즉각 응급 혈종제거수술을 하지 않게 되면 즉시 사망한다는 의미였다. 그러나 설사 수술로 사망시간을 지연시켜도 식물인간이 될 가능성이 농후하다는 사실을 의미했다.


최초 뇌단층촬영검사(CT)를 토대로 백 농민의 외상 기전은 이렇다. 우측 두정골 부위 두피에 부종이 있는 것은 이 부위에 직접적 외상이 가해졌다는 것을 의미했다. 우측 머리덮개뼈(두정골, 측두골, 후두골)과 얼굴뼈(접형골, 광대골)의 골절은 물대포에 의한 직접적인 충격 또는 우측 머리가 바닥에 충돌하면서 생긴 외상이었다.


양측 광대골절이 접합부에서 대칭적으로 형성되어 있고, 골절 부위에 뼈의 어긋남이 없으며, 골절 부위에 연조직 부종도 없는 점을 고려하면 이 부위에 직접적인 충격이 가해져 골절이 발생했을 가능성이 낮았다. 따라서 양측 광대활의 골절은 심한 외상에 의해 발생하는 두개골 기저부 골절과 연관되어 발생했을 가능성이 높았다. 우측 안와골절의 원인은 눈 부위의 직접적인 충격 때문이 아닌 두개골 기저부가 골절되면서 기저부를 이루는 접형골이 골절되어 발생한 것이다.


당시 수술 기록에는 외상성 병변이 관찰됐다. 수술 기록지에는 이렇게 적혀 있었다.


“우측 두정골이 선상 골절되어 있으면서 경막이 찢어져 있고 교정맥이 손상되어 혈종이 발생한 것으로 확인됨. 교정맥을 전기응고기로 지혈하여 출혈을 조절함.”


이는 전형적인 ‘외상성 급성경막하출혈’의 수술법이었다.


그런데 수술 후 진단명에는 ‘급성 경막하출혈’만이 기재됐다. 일부에서는 백 농민의 지병이라고 주장하는 만성경막하수종(또는 출혈)이 의미있는 진단이라면 수술후 진단명에 추가되었어야 한다는 게 인의협의 판단이다.


수술 이후 2015년 12월 1일 오후 9시 백 농민은 여러 의료진의 참관하고 있는 가운데, 통증을 가하면 회피하려는 움직임이 발견됐다. 이에 따라 글래스고우 혼수계수는 E1M1Ve에서 E1M4Ve로 바뀌게 된다. 그러나 의미있는 변화로 판단하기는 어려워 보인다. 왜냐하면 이 날부터 사망일까지 글래스고우 혼수계수는 단 한번도 조금도 호전되지 않았기 때문이었다.


수술 후 13번의 CT 촬영결과는 지속적으로 백 농민의 상태가 악화되고 있음을 나타냈다. 수술 후 뇌경색이 발생했고, 뇌부종과 뇌탈출증이 호전되지 않았다. 또 뇌 전체에서 뇌손상에 의한 뇌연화증이 진행되고 있었다.


사진=인도주의실천의사협의회


2016년 5월 2일


황색포도알균에 의한 두개 수술부위 감염이 발생하자, 의료진은 광범위 항균제를 투여했지만, 호전되지는 않았다. 7월 8일 칸디다진균혈증이 발생했다. 항진균제가 투여되었지만, 호전은 되지 않았다. 진균혈증은 고인이 사망할 때까지 계속됐다. 사망에 이르기 전 신기능 저하와 범혈구감소증 발생, 호흡기능 저하 등 여러 장기 기능이 동시적으로 악화된 것에 대해 의견서는 원내감염 문제에 의한 직접적 영향과 더불어 항생제에 의한 약물이상반응의 영향도 있었을 것으로 추정했다.


2016년 7월 16일


백 농민은 다발성 장기부전상태(multiple organ failure, 몸속 장기들이 총체적으로 기능을 하지 못하는 상태)에 빠졌다. 급성호흡부전, 간기능저하, 신기능저하가 발견됐다. 다시 7월 19일 좌심실의 전반적인 운동저하증 등이 확인되어 일시 호전이 있었지만, 9월 18일 다발성 장기부전 상태에 빠져 백 농민은 결국 9월 25일 사망했다.


백선하 교수는 급성신부전을 언급하지만, 현재까지 다발성 장기부전에 의한 급성신부전에서 신대체요법(혈액투석 등)이 환자의 상태를 개선시킨다는 의학적 근거는 보고된 바 없었다.


사진=인도주의실천의사협의회



결국...


의견서를 종합하면, 고인은 물대포에 의한 직접 충격 또는 바닥에 넘어지면서 발생한 후두골의 직접 충격으로 머리덮개뼈, 머리 기저부 골절과 급성경막하출혈, 뇌탈출증, 뇌부종이 발생했다. 의료진이 두개골 절개술을 통한 혈종제거술을 하였지만 뇌손상이 회복되지 못했고 수술부위 감염과 패혈증, 진균혈증이 반복되다가 다발성 장기부전으로 사망했다.


인의협은 “서울대병원 중환자실에서의 연명시술은 말 그대로 연명시술이었을 뿐 사인과는 무관하다”며 “사망원인은 외상성 경막하출혈(또는 외상성 다발성 뇌손상)이며 사망의 종류는 외인사이다. 또한 의무기록으로 볼 때 경찰의 물대포에 의한 두개골의 충격외의 다른 손상이나 질병을 의심할 의학적 근거가 없다”고 결론 내렸다.

사진=영화 '1987' 갈무리


1987년 1월 14일


중앙대병원 응급실에 정체불명의 사내들이 들이닥쳤다. ‘조사받던 이가 위급하니 왕진을 와 달라’는 말에 오연상 박사(당시 32세 내과 전문의)는 왕진 가방을 챙겼다.


이들을 따라 간 남영동 대공분실에는 속옷 차림의, 전신이 물기로 흥건해 이미 숨이 멎어 있는 청년이 있었다. 고(故) 박종철 열사였다. 수사관들은 박 열사의 시신을 응급실로 옮겨가려 했다. 사망 장소를 응급실로 하려는 술수였다. 그렇게 박종철 열사의 시신은 담요에 쌓여 곧장 부검실로 직행했고 사흘 뒤 화장돼 임진강에 뿌려졌다. 공권력에 희생된 젊은 영혼의 한은강 아래로 가라앉아 버리는 듯했다.


오 박사의 증언이 실린 동아일보 보도는 박종철 고문치사 사건을 수면 위로 끌어올렸다. 6월 민주화 항쟁의 기폭제가 된 이 끔찍한 죽음의 진실은 한 젊은 의사의 증언에서 시작됐다. 훗날 그는 당시를 이렇게 회고했다.


“직접 본 것은 아니기에 ‘물고문이 있었다’고 확언할 순 없었지만 심증이 강하게 드는 상황에서 어떻게 말할지 많이 고민했죠. 일부러 물에 대한 얘기를 많이 꺼냈어요. 한 대여섯 번 했을 거예요. ‘바닥에 물이 흥건했고, 박종철 군의 온몸이 물에 젖어 있었고, 폐에서 수포 소리가 들렸다’고요. 모두 제가 본 사실 그대로였어요.”(중대신문, 2016년 5월 23일)


오 박사의 ‘사실 그대로를 말했다’는 말. 사실을 사실대로 말하는 것, 증언은 ‘용기’와 ‘양심’의 발로이다. 그리고 이러한 용기는 세상을 바꾼다. 오 박사의 증언은 대중이 독재에 항거하고 이 나라에 민주주의의 꽃을 피우는데 결정적인 역할을 했다.


사진=인도주의실천의사협의회


2017년 6월 15일


나는 명실공히 국내 최고 권위의 국립대병원의 비루한 민낯을 1987년과 비교하여 본다.


“외인사의 직접적인 원인은 물대포인가?”


“다른 원인이 있나. 그러나 병원에서 그렇다 아니다 하는 것은 비약이다. 병원에서 말할 수 있는 것은 ‘외상성 경막하 출혈로 결국 사망했고 외인사라는 것’ 까지다.”


‘백남기 농민을 사망에 이르게 한 직접적인 원인은 물대포이다.’ 모두가 아는 이 사실을 오직 서울대병원 소속 의사들만 모르는 것 같았다. 의료의 영역으로 사안을 축소시키고 도망갈 구멍을 만들어 놓은 이들의 기만. 나는 깊은 탄식을 할 수 밖에 없었다.


‘물대포 때문이냐’는 언론의 거듭된 질문에도 병원 의료진은 ‘외상성 격막하출혈’이라는 말만 앵무새처럼 되풀이했다.


의사들은 보이는 것만 말해요
(물대포냐 아니냐는) 모릅니다


자리를 파하고 신경외과 의사 한 명이 이렇게 말하는 것을 들었다. 백 농민의 죽음에 국민적 관심과 분노가 이는 것은 비단 이 문제가 의학의 범주에 국한된 것이 아니기 때문이란 것을 이들은 정말 몰랐을까.


물대포가 백 농민의 안면을 강타하던 순간, 나는 당시 현장에 있었다. 나도 보았고, 전 국민도 보았다. 그러나 그들은 ‘의학적 소견’을 운운했다. 죽은 자는 말이 없다. 산 자의 몫은 죽은 이의 억울함을 세상에 알리는 것뿐. 아직 6월이 끝나지 않았음을 절감한다.

keyword