brunch

등산후무릎통증으로 의심할 수 있는 질환

by 에이스병원

산들산들하게 불어오는 바람에서 이제 봄이 느껴집니다. 봄이 되면 하나둘씩 피어나는 꽃도 볼 겸 산을 찾는 분들이 많아지는데요. 갑작스럽게 한 등산후무릎통증이 생긴다면 갑작스러운 산행으로 인한 근육통이라고 생각하지 말고 정확한 진단을 받아야 합니다.


무릎은 우리 몸의 체중의 하중을 온전히 받는 관절이기 때문에 매우 중요한데요. 특히나 등산이나 계단 오르내리기와 같이 무릎의 움직임이 많은 활동을 하고 난 후에는 무릎에 무리가 생겨 통증이 발생하기도 하지만 이전에 발생하고 있던 통증이 등산후무릎통증으로 나타나기도 하기 때문이지요.


IT_twi001t3113888.jpg



곧 내원환자가 백만 명이 될 정도로 풍부한 임상경험이 있는 에이스병원의 전영식 원장님께 등산후무릎통증이 생기는 원인에 대해 알아보겠습니다.




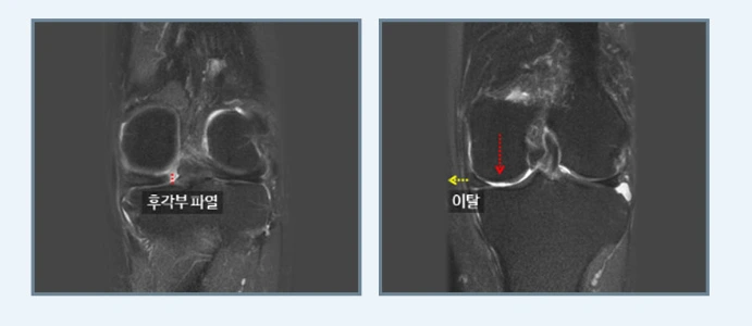
반월상연골판 손상


등산후무릎통증과 함께 무릎에서 소리가 난다면 반월상연골판 손상을 의심해야 합니다.



발생원인


전영식 원장님“반월상연골판은 무릎관절에 가해지는 충격을 흡수하는 중요한 신체기관으로 만일 반월상연골이 찢어지거나 제거되어 제 기능이 없어진다면 무릎관절에는 정상보다 2~3배의 힘이 더 가중되어 관절연골 손상이 가속화되고 한 번 손상된 연골판은 자연 치유가 어려워 손상 부위가 점점 커져 조기 퇴행성관절염으로 이어지기도 합니다”라고 설명하며 반월상연골팜은 나이가 들면 작은 충격에도 쉽게 파열되기 때문에 등상 중 미끄러져 넘어지거나 급격한 방향전환으로도 부상이 생길 수 있다고 덧붙이십니다.



사진4.jpg 등산후통증이라도 여러 원인으로 인해 생기는 만큼 환자의 무릎 상태를 정확히 파악해야 한다는 에이스병원 전영식 원장



특히 평소 등산을 많이 하던 사람이 아닌 초보라면 내리막이 많은 산이라면 하산 시 무릎이 뒤틀리며 반월상연골판이 손상이 발생하기 쉬워 조심해야 합니다. 등산후무릎통증과 함께 무릎을 구부렸다 펼 때 뭔가 걸리는 느낌이나 조금만 무릎이 틀어지는 동작을 하면 삐걱대는 느낌이 들면 전문의를 찾아 정확한 진단을 받아야 하지요.



증상


반월상연골판의 증상으로는 부종과 관절염의 통증, 걷거나 뛰거나 계단을 내려올 때 통증, 서있거나 가만히 있을 때, 잘 때 통증, 무릎을 구부리고 펼 때 걸리는 느낌, 관절 안에서 걸리는 느낌과 소리, 계단을 내려갈 때 갑자가 무릎에서 힘이 빠져 휘청거리는 느낌 등이 있어요.



RICE.PNG RICE요법



치료


반월상연골판 손상에 대한 비술적 치료방법으로는 휴식, 압박, 얼음, 높이를 신경 쓰는 RICE요법과 통증과 부기를 줄여주기 위한 비스테로이드성 항소염제를 투여합니다. 이런 비수술적 치료로 통증이 개선되지 않는다면 수술을 고려해야 하는데요.


에이스병원에서는 연골판 부분 절제술, 연골판 봉합술, 연골판 이식술을 환자의 반월상연골판에 대한 정확한 검사와 진단 후에 결정하게 됩니다.



수술.PNG



퇴행성관절염



발생원인


“보통 퇴행성관절염은 중년 이후에 찾아오는 질환으로 생각하기 쉽지만 연골의 손상이나 퇴행성 변화로 염증과 통증이 발생하는 질환인 퇴행성관절염은 젊은 나이에도 발생할 수 있습니다”라고 전영식 원장님은 설명하며 "관절을 보호하고 있는 연골의 점진적인 손상이나 퇴행성 변화로 인해 관절을 이루는 뼈와 인대 등에 손상이 일어나서 염증과 통증이 생기는 퇴행성관절염은 관절의 염증성 질환 중 가장 높은 발생률을 보인다"라고 알려주십니다.



IT_tip1010004653.jpg



모든 연령층에서 발생하는 퇴행성관절염이지만 남성에 비해 무릎 주변 근육이 약한 여성에게 발생하는 비율이 높은데요. 특히, 폐경 후 여성 호르몬의 검소로 연골기질단백질 생성이 감소하며 연골이 약해지는 중년 여성에게 발생위험이 더 커집니다.


이런 이유로 자녀들을 모두 대학에 진학시킨 후 여가시간을 보내기 위해 등산을 선택한 중년여성들은 반드시 무릎건강을 신경 써야 해요.



증상


퇴행성관절염의 증상은 무릎이 시리고 욱신거리는 통증, O자형으로 다리의 변형이 나타나는 경우, 무릎을 펴고 구부리는데 어려움이 발생하는 경우, 무릎 주변에 부종과 무릎이 먹먹하고 당기는 듯 뻣뻣한 느낌이 드는 경우, 걷기조차 힘들고 조금만 걸어도 무릎에 힘이 빠져 주저앉게 되는 경우 등이 있습니다.



IT_tid050t001082.jpg



치료


퇴행성관절염을 방치하면 일상생활을 수행하는 데 큰 어려움이 있기 때문에 적극적인 치료가 중요합니다.


가장 좋은 것은 아무래도 조기발견에 의한 치료지요.


“만일 치료시기가 늦어졌더라도 적기 치료를 한다면 일상생활을 수행하는데 큰 어려움은 없으나 이마저 시기를 놓친다면 수술적 치료로도 그 결과를 장담할 수 없습니다”라고 전영식 원장님은 안타까워하며 "퇴행성관절염을 방치하면 관절운동장애, 무릎관절의 골성 비대, 진통제 장기 복용으로 인한 체중 증가와 골다공증 발생위험, 관절연골 손실, 관절의 변형, 척추신경에 무리를 주어 다리 절음을 비롯한 보행장애 등과 같은 합병증이 나타난다"라고 설명하십니다.



사진12.jpg 등산후무릎통증이 생기는 원인에 대해 설명하는 에이스병원 전영식 원장



따라서 에이스병원에서는 환자의 상황에 맞춰 진통억제 및 항염증제재를 활용해 관절염으로 인한 통증을 없애고 관절 기능을 유지하는 약물치료, 스테로이드 제재, 보조기, 통증감소 및 관절 내 부종을 감소시키는 물리요법 등을 시행하고 만일 이런 비수술적치료로도 효과가 나타나지 않는다면 수술적 치료를 진행합니다.

수술적 치료에는 무릎줄기세포치료, 자가연골이식술가 대표적이에요.



무릎염좌



무릎염좌는 등산후무릎통증 중 직접적인 등산이 원인인 질환입니다.



IT_twi001t3218168.jpg



발생원인


무릎관절은 대퇴부와 하퇴부에 큰 뼈들로 이루어져 있으며 관절 내부에는 전후방 십자인대와 연골판이 있고 주변에는 생각보다 많은 인대와 근육들로 감싸져 있습니다. 그런데 등산으로 인해 무리하게 무릎에 움직임을 주게 되면 무릎 관절과 주변 인대와 연골 등에 피로가 쌓이며 과부하가 걸려 무릎염좌가 발생합니다.


무릎이 과도하게 비틀리거나 내리막길을 다리에 힘을 주고 한참을 내려오는 경우, 시냇물을 건너거나 계단을 내려오며 점프를 하는 과정에서 착지 시 무릎에 무리가 가해지지요.



IT_td00820017268.jpg



증상


염좌의 대표적인 증상인 부종과 열감, 그리고 통증이 나타납니다. 따라서 만일 등상을 하고 난 후에 평소 없던 통증이나 무릎이 역간 부어올랐다면 무릎염좌를 의심해야 해요.



치료


우선을 열감을 내려주는 냉찜질과 염증을 줄이는 약물을 먹을 수 있습니다. 만일 이런 치료에도 불구하고 부종이나 통증이 줄어들지 않는다면 전문병원을 찾아 주사 및 체외충격파치료 등을 받을 수 있어요.


또한, 관절 주변이 많이 붓고, 눌렀을 때 극심한 통증을 수반하며 관절 모양이 조금 변했다면 빨리 전문병원을 찾아 정확한 검사를 해야 하는데요. 단순한 염좌로 생각했으나 미세골절일 수 있기 때문입니다. 미세골절은 CT와 초음파와 같은 전문 검사장비로 정확하고 세밀하게 검사해야 발견할 수 있어요.



_M5O4725.jpeg 환자의 무릎통증 원인을 정확히 검사 수 환자에게 맞는 치료를 제시하는 에이스병원



등산하기 너무도 좋은 계절이 시작되었습니다. 그러나 몸과 마음의 건강을 위해 찾은 등산후무릎통증이 발생한다면 서둘러 정확한 진단을 받아야만 한다는 것, 잊지 마세요.

keyword
작가의 이전글퇴행성관절염과 다른 류마티스관절염 원인과 치료법