brunch

한번 빠지면 자꾸 반복되는 습관성어깨탈골

by 에이스병원

대학생인 A 군은 고등학교 때 농구경기 중에 어깨탈골을 경험했습니다. 심한 몸싸움과 함께 넘어지면서 어깨에 힘이 들어가지 않고 통증이 생긴 것인데요. 병원을 찾아 어깨탈구라는 진단을 받고 휴식을 취했던 A 군은 그다음에도 어깨를 많이 쓰는 심한 운동이나 움직임을 준 후에는 어깨탈골이 재발하는 경우가 많다고 합니다.



IT_td0502t127789.jpg




안산 관절 척추 에이스병원 관절센터 전영식 원장님 “A 군처럼 20대 이전에 어깨탈골을 경험한 사람의 90% 이상이 재발성 탈골을 경험한다”라고 하며 “처음에는 과격한 동작 중에 탈골이 진행되지만 습관성탈골로 발전하면 기지개를 펴는 동작과 같이 사소한 동작만으로도 어깨탈골이 진행된답니다”라고 한번 탈구되면 습관성어깨탈골로 이어질 수 있어 주의가 필요하다고 당부하시네요.




사진11.jpg 어깨탈골 원인과 치료법에 대해 설명하는 안산 관절 척추 에이스병원 전영식 원장




정상위치에서 벗어나는 어깨탈골



팔의 움직임을 가능하게 해주는 어깨관절은 연골과 인대. 뼈로 이루어져 있습니다.


어깨탈골이란 어깨뼈에 대하여 팔뼈인 상완골이 정상범위에서 벗어난 것을 말하는데요.


정상적인 위치를 벗어난 어깨탈골이란, 어깨관절을 구성하는 연골과 인대, 뼈 등의 조직이 정상 위치를 벗어나거나, 상완골두의 울타리 역할을 하는 관절와순 순상이 동반되는 경우, 관절와순이 손상되면서 어깨관절이 탈구가 된 경우 등을 들 수 있어요.




어깨탈골.PNG




어깨탈골의 증상은 어깨통증인데요.


팔을 움직이기 힘들고 힘이 빠지면서 둥근 삼각근 부위가 납작해지거나 오목하게 들어가 어깨 견봉이 도드라져 보이기도 합니다. 심한 경우에는 신경이나 혈관이 손상되어 마비나 붓는 증상이 나타나기도 하지요.




90% 이상으로 높은 재발성탈골,
주의가 필요해요!



한번 탈골을 경험했다면 재발성탈골, 그러니까 습관성탈골로 이어질 위험이 매우 높아집니다.

실제 통계에 따르면 20대 이전에 어깨탈골을 경험했다면 90% 이상이 재발성탈골을 겪는다고 하네요.


20대 이전이라면 운동과 같은 극렬한 어깨 움직임으로 어깨탈골이 발생하는 경우가 많지만 40대 이후의 어깨탈골은 회전근개동반 파열과도 관련이 많으니 주의해야 한답니다.




IT_twi001t432577.jpg




습관성어깨탈골처럼 재발성 탈구 원인,
방카르트 병변과 힐삭스병변



일단 한 번 탈골이 이루어져 헐거워진 어깨뼈가 작은 충격이나 움직임으로 반복해서 탈골이 이루어지면서 습관성탈골이 나타나는 것을 습관성어깨탈골이라고 합니다.


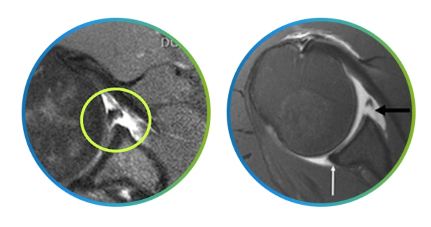
습관성어깨탈골의 원인으로는 방카르트병변과 힐삭스병변이 대표적입니다.



방카르트 병변


전영식 원장님 “어깨탈골과 함께 관절와순 손상 가운데 상완골두가 앞으로 빠지면서 전방의 관절와순이 동시에 손상되는 질환이 방카르트 병변입니다. 이 방카르트 병변은 습관성어깨탈골과 같이 재발성 탈골원인의 97% 정도를 차지할 정도이지요”라고 습관성탈골의 대부분은 방카르트 병변이라고 알려주시네요.



방카르트병변.PNG



방카르트 병변이 습관성어깨탈골을 일으키는 원인은 일단 상완골두가 앞으로 빠지면서 전발 관절와순이 손상되면 파열 부분이 완전히 회복되지 않으면서 작은 충격에도 어깨가 탈골될 수 있기 때문이에요.



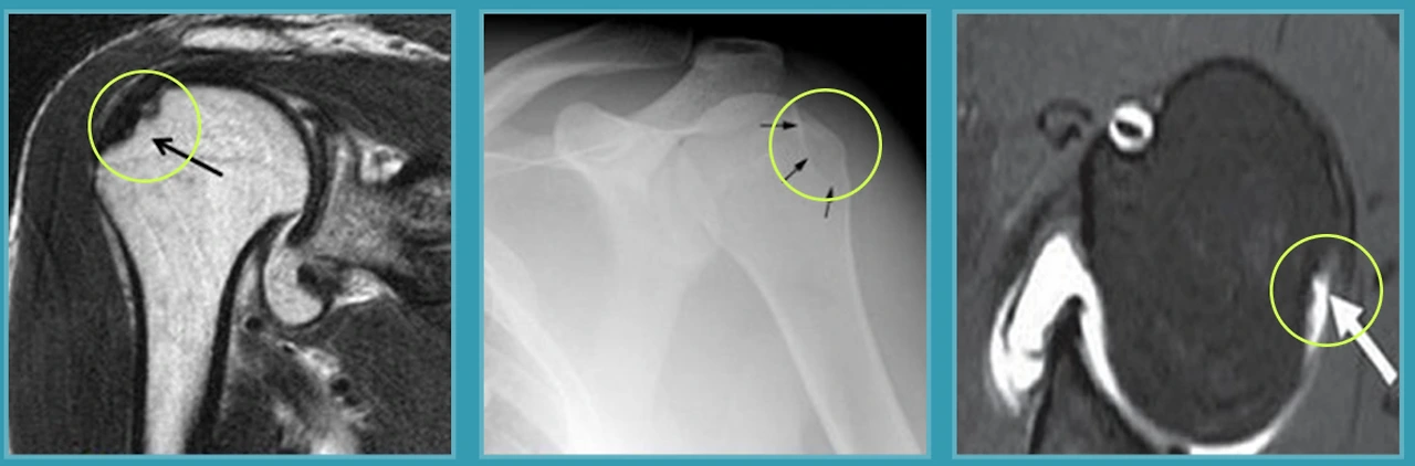
힐삭스 병변


어깨관절의 탈구로 인해 어깨관절과 맞닿는 상완골두 부분에 골결손이 생기는 것이 힐삭스 병변인데요. 방카르트 병변과 마찬가지로 외상으로 인해 어깨탈골이 발생하고 제 자리를 찾아가는 과정이 반복되면서 발생하며 잦은 어깨관절의 탈골과 상완골두 부위의 통증이 나타납니다.



힐삭스병변.PNG



주로 20대 전후의 젊은 연령층에서 외상이 일어나면 어깨를 지지해 주는 관절와순이 성숙되지 않아 재발이 자주 늘어나지요.


전영식 원장님“안산 관절 척추 에이스병원에서는 방카르트 병변과 힐삭스 병변을 동시에 치료하는데요. 개별 환자의 상황에 맞춰 관절내시경을 통한 동시치료를 하는 것이지요”라고 설명하며 방카르트 복원을 할 때는 합병증과 재발요소를 제거한 완전한 수술인 중첩복원술을 하고, 힐삭스 병변을 효과적으로 제거하고 탈골의 재발을 방지하기 위해서는 Remplissage 술기로 탈골의 재발을 예방해야 한다고 알려주십니다.




사진12.jpg 한번 탈골이 되면 습관성어깨탈골이 되는 이유를 설명하는 안산 관절 척추 에이스병원 전영식 원장




습관성어깨탈골의 진단과 치료



일단 환자와의 상담을 통해 습관성탈골인지를 파악하고 탈골되는 방향과 위치 등을 살핍니다. 그리고 X-ray, MRI, CT 등 검사장비로 정확한 어깨관절의 상태와 재발성 탈구여부를 확인하지요.


어깨탈골을 조기에 적극적인 치료를 하지 않고 방치한다면 습관성어깨탈골로 이어지는 경우가 많아 주의해야 하는데요.


전영식 원장님“심한 손상이 없다면 약물치료, 물리치료, 운동치료 등 비수술적치료로도 좋아질 수 있으나 첫 탈구라도 정도가 심하고 어깨 구조물이 파열되거나 너무 잦게 습관성탈구가 이루어진다면 수술치료를 고려해야 합니다”라고 설명해 주십니다.




IT_td0502t109472.jpg




어깨탈골, 처음에는 별 통증 없이 제 자리를 찾는 경우가 대부분입니다. 그러나 이에 대한 치료를 하지 않는다면 90% 이상이 습관성어깨탈골로 이어질 수 있지요.



이런 점을 기억하고 어깨탈골이 발생했다면 전문병원을 찾아 적극적인 치료를 받도록 하세요.


keyword
작가의 이전글서서히 척추가 굳는 강직성척추염증상