농구를 하다 다쳤다.

40대의 길거리 농구 ep.2

by SPNCR

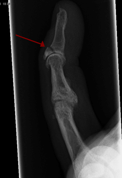
손톱 안에서 피가 흘렀다. 손톱 안이라니.. 이런 건 처음 본다. 아프다. 컷인 할 때 가까운 곳에서 너무 강한 패스가 왔다. 왼쪽 4번째 손가락이 아마 꺾였었나 보다. 게임 중이라 크게 의식할 수는 없었지만 뭔가 이번에는 좀 제대로 문제가 된 게 아닌가 하는 불안감이 들기 시작했다. 플레이도 뭔가 위축된다. 패배. 끝나고 자세히 들여다본다. 손톱이 흔들렸고. 손이 살짝 굽어져 있다. 확실히 뭔가 잘못된 것이다.

요즘 플레이가 너무 잘 됐고, 잘돼서 신나게 많이 하다 보니 체력도 덩달아 늘었다. 그래서 너무 많은 게임을 한 걸까. 불행은 꼭 이렇게 일이 잘 풀릴때, 방심하고 있을 때 갑작스럽게 다가오곤 한다.

그날 저녁 내내 드리웠던 불안감은 다음날 정형외과 외래에서 실체로 나타났다. 왼쪽 네 번째 손가락 원위부 골절. 다행히 수술은 안 해도 될 것 같다고 말씀하셨다. 전치 6주의 골절 진단을 받고 앞으로의 불편함이 걱정되었지만 막상 진단을 받으니 마음이 좀 편해진다. 사람의 마음은 신기하다. 썩 좋은 결과가 아니라도 하더라도 불행의 결과를 알면 불안감은 어느 정도 사라진다. 예상할 수 없을 때, 정해진 것이 없을 때 이런저런 상상으로 스스로의 마음을 갉아먹는 것이 사람의 마음인 것이다.

당장 섭섭한 것은 농구든 골프든 당분간 운동을 할 수 없게 된 것이지만, 사실 일에 지장이 될까 봐 내심 큰 걱정이 되었다. 취미, 놀이야 안 하면 그만이지만 당연히 밥벌이는 무엇보다 중요하다. 사실 왼쪽 손가락은 내 일에 있어서 중요한 부분이었다. 당장 6주도 걱정이지만 그 이후도 걱정이다. 사실 이번이 처음 골절이 아니다. 4-5년 전인가 어느 겨울에도 새끼손가락 골절로 4주 동안 스플린트를 달고 살았다. 나는 계속 농구를 해도 되는 걸까. 만약 또 이런 부상이 생긴다면 어쩌지.


부주의해서 생긴 게 아니다. 그냥 농구를 하다 보면 생기는 부상이다. 내가 아무리 조심한다고 해도 이런 부상은 마치 과속 통지서처럼 한 번씩 그냥 찾아오는 것이다. 항상 같은 사람들과 하는 것보다는 내가 원하는 시간에 다양한 사람과 하고 싶어 선택한 길거리 농구다. 거친 플레이어를 만나기도 초심자를 만나기도 하는 것이 당연하다. 또다시 언제든 부상은 찾아올 수 있는 것이다.


모임에서 만난 같은 직종의 동년배 친구들은 다친 내 손을 보더니 말한다.

'40 중반에 무슨 농구고, 이제 고마해라'

그냥 농담 섞인 핀잔이기도 하지만 그냥 하는 말은 아닐 것이다. 그들도 안다. 나이 듦이라는 것. 하고 싶지만 몸에서 받아들이지 못하는 것이 있다는 것. 그래서 뭔가 참아야 한다는 것 말이다.

아내는 오히려 말을 아낀다. 다른 건 모르겠지만 일하는데 지장을 줄 수 있는 부상 위험이 있는 운동은 이제 그만하는 게 좋지 않겠냐고 말을 해야 하지만, 고맙게도 '너무 자주 다치는 것 같은데' 하고 만다. 내가 농구를 얼마나 좋아하고 즐기는지 잘 알기 때문일 것이다.


아마 난 다시 공을 잡을 것이다. 그냥 철없는 선택일 수도 생각 없는 행동일지도 모른다. 진짜 40대 중반이면 그만하는 게 좋을지도 모른다. 손가락 테이핑 붕대를 인터넷으로 구입했다. 그리고 감는 법을 검색한다. 겨울이면 종종 아팠던 무릎을 보호해 줬던 내 무릎 보호대처럼 손가락 테이핑이 그런 역할을 해주기를 기대해 본다. 그리고 다행히 직장일은 그럭저럭 조심해 가면서 1주일째 잘 해냈다. 모르겠다. 아직은 농구를 놓아줄 마음의 준비는 전혀 되지 않은 것 같다. 아마 앞으로 그 준비를 서서히 해야 하겠지. 그렇게 슬프지는 않다. 40이 넘고 언젠가부터 무언가 놓아주는 방법을 나도 모르게 조금씩 천천히 익혀가고 있기 때문이다.


keyword
매거진의 이전글재능 없는 것을 좋아한다는 것.