brunch

너와 함께하는 프리한 하루

프리선언 후 펼쳐지는 또 다른 일상

by 김효정
올해 초, 푸디의 다리에 문제가 생겼다.

사실 나는 오래전부터 푸디의 다리가 좋지 않다는 사실을 알고 있었다. 산책만 나가면 신나게 달리던 강아지가 어느 순간부터 뛰지 않았다. 중성화 수술 이후 푸디는 살이 많이 쪘다. 뛰지 않는 이유가 살이 쪄서라고만 생각했다. 사람도 몸이 무거우면 잘 움직이지 않게 되니까.

비겁한 변명일지도 모르지만, 자취를 하며 직장생활을 했던 나는 푸디를 제대로 보살피지 못했다. 퇴근해서 산책을 시키는 게 전부였고 이마저도 피곤하면 하지 못했다. 운동이나 식단관리 같은 건 꿈도 꾸지 못했다. 푸디는 하루 종일 혼자서 나를 기다렸다. 아무도 없는 방에서 잠만 자면서. 나는 푸디가 안쓰러워서 간식을 주곤 했는데, 알고 보니 대부분 고열량이었다. 먹고 자는 생활을 반복하며 푸디는 살이 쪘고 어느새 10kg을 훌쩍 넘겼다.



푸디가 2살이 되었을 때, 나는 한 남자와 결혼을 했다. 나는 푸디를 데리고 새로운 집으로 들어갔다. 사실 그 집은 푸디를 처음 데리고 왔었을 때 푸디가 잠깐 머물렀던 집이었다. 아가였을 때의 기억이 남아있었는지 푸디는 새로운 집을 좋아했다. 그런데 한 가지 문제가 생겼다. 새로운 집에서 푸디는 오줌을 싸거나 배변을 하지 않았다. 배변을 유발하는 패드를 새로 구입해 깔아줘도 소용없었다. 밖으로 나가야만 이 문제는 해결이 되었다. 실외 배변만 하는 강아지의 이야기를 많이 들었는데, 우리 푸디가 그랬다. 실외 배변이 무슨 문제가 되냐 싶지만, 강아지가 소변을 참는다면 방광염과 같은 병에 걸릴지도 모를 일이다.

남편과 나는 맞벌이 부부다. 서울 도심하고 좀 떨어진 거리에 살고 있는 우리는 새벽 6시 30분에 집에서 나와 출근을 한다. 그리고 퇴근하면 8시. 푸디는 14시간 가까이 혼자서 집을 지킨다. 성견의 경우 오줌을 참을 수 있는 시간은 최대 12시간이라던데, 우리 푸디는 그럼 얼마나 오줌을 참고 있어야 하는지 끔찍했다.



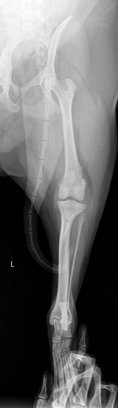
새벽 산책은 남편이 시켰다. 5시 30분에 일어나서 30분간 시키고, 나는 회사 갈 준비를 했다. 퇴근 후 밤에는 내가 산책을 시키곤 했는데, 억지로 외근을 만들어 집에 일찍 들어가려고 노력했다. 그렇게 우린 아침저녁으로 산책만 시키면 되는 줄 알았다. 푸디가 뒷다리를 잘 못쓴다는 사실을 알면서도 병원에 데려가기가 무서웠다. 수술하라고 할까 봐. 중성화 때도 얼마나 마음이 아팠는데, 또 몸에 칼을 대게 하긴 싫었다. 그래서 그냥 모른 척하고 있었는지도 모른다. 그러던 어느 날, 푸디가 정말 뒷다리를 절뚝거리며 걸었다. 가끔 낑낑대기도 하면서, 안 되겠다 싶어서 바로 병원에 갔는데, 수의사는 대퇴골두(엉덩이뼈) 쪽에 이상이 생겼다고 했다. 수술이 불가피하다고 빠른 시일 안에 수술을 하는 것이 좋겠다고 말했다. 혹시나 하는 마음으로 다른 병원에도 가봤지만, 똑같은 말만 반복했다. 하늘이 무너지는 것 같았다. 대퇴골두와 뒷다리 뼈가 연결이 자연스럽게 이어져야 하는데 푸디는 어떤 이유 때문인지 튀어나와 있었다.




엑스레이상에서도 오른쪽과 왼쪽 뒷다리에는 확연한 차이가 있었다. 엉덩이와 뒷다리 뼈가 이어지는 부분에 이미 뼈가 끊어져 알 수 없는 구조물이 붙은 게 보였다. 수술방법은 뼈를 절단하는 것이었다. 사람의 경우는 뼈 대신에 인공 구조물을 넣지만, 강아지는 그냥 절단한 채로도 괜찮단다. 대신 수술 후 케어가 필수적이라고 했다. 뒷다리 한쪽을 쓰지 않으려고 하면 퇴화될 수 있어서 무조건 운동을 시켜야 한다는 것이다. 이것저것 생각할 것도 없었다. 2022년 1월 27일, 푸디 수술 이후 난 직장을 나가지 않고 강아지 돌보는데 전념했다.



수술 후에는 운동과 다이어트에 매진해야 했다. 사료도 다이어트용으로 바꾸고 간식도 거의 주지 않았다. 하지만 워낙 움직임이 없는 아이라 살이 잘 빠지지 않았다. 뒷다리에 수술 자국이 너무 커서 볼 때마다 마음이 좋지 않았다. 얼마나 아팠을까? 정말 순한 아이라서 주사 맞을 때도 낑소리 한번 내지 않는데... 오히려 그게 더 안쓰럽게 느껴졌다.



그리고는 푸디와 계속 함께 하루를 보낸다. 내가 프리랜서를 선언했기 때문이다. 아직은 일을 해야 할 나이이고 집에서 마냥 아무것도 안 하기엔 내가 나를 허락할 수 없었다. 사실 내 직업은 프리랜서가 가능하다. 난 콘텐츠를 기획하고 만드는 일을 한다. 기획자이며 작가이기에 프리랜서로 활동하는 건 어렵지 않다. 그래도 직장을 다니지 않는다는 것에 대한 부담과 두려움이 컸다. 혹시라도 일을 구걸해야 할까 봐. 일을 했는데 돈을 받지 못할까 봐. 마흔 살이라는 나이는 직장에 다니면서 더 인정받고 가치를 올릴 수 있는 시기다. 그리고 나는 내 일에 대한 욕심이 있었고 그 누구보다 자부심이 컸다.




그런데 지금은 푸디의 수술로 인해, 나는 종일 푸디와 함께 시간을 보내며 일을 한다. 생각했던 것보다 일이 너무 많아서 푸디를 돌보기도, 일을 하기도 힘들 때가 많지만 행복한 삶이라고 생각하며 감사한 일상을 보내는 중이다. 프리랜서가 된 지 겨우 세달이 좀 넘어가지만(프리 선배님들 죄송합니다), 프리로 살면 일단 시간을 자유롭게 쓸 수 있고, 돈도 더 많이 벌 수 있다. 왜 진작 프리선언을 하지 않았을까 싶을 때도 있다.

앞으로 적어나갈 이야기는 나와 푸디의 평범한 일상에 대한 이야기다. 그리고 이런 추억과 순간의 감정을 더 오래 간직하고 싶어 기록을 남기는 것이다.


keyword