brunch

입덧의 나날, 그리고 NT Scan (목투명대 검사)

미국 예비맘의 임신 이야기_임신 초기 (10주-13주)

by Chemie

여전한 입덧으로 고생 중이었던 지난 5월의 이야기.


10주가 다 되어가던 때 받았던 지난 첫 번째 정기 검사에서 의사 선생님이 입덧은 보통 10주쯤에 가장 심하니까 이제는 차츰 사라질 거라고 하셨는데 의외로 입덧은 꽤 오래 지속됐다. 강도는 조금 약해졌을지 몰라도 특히 아침이면 심해지는 메슥거림에 여전히 힘이 들었다.


10주가 넘어가던 임신 초기인 이 시기에 해야 하는 검사로는 First Trimester Screening이 있다. 아이에게 다운증후군을 포함한 다른 염색체 이상으로 인한 증후군이 있는지를 체크하는 건데 비슷한 목적의 다양한 검사들 중 나에게 적합한 검사로 이 것을 추천받았다. 만으로 35세 이상인 고령 산모의 경우 추천하는 검사의 종류가 다르다고 한다.


2018-10-06-12-01-35.jpg 다양한 검사 종류와 내가 추천 받았던 First Trimester Screening


First Trimester Screening은 혈액검사와 복부 초음파 검사로 이루어져 있는데 이때 받는 복부 초음파는 정밀 초음파를 이용해야 해서인지 다른 병원으로 가서 검사를 해야 했다. 지난번 정기 검사 때 의사 선생님이 예약 방법을 잘 말씀해주셔서 그 방법대로 내가 검사를 받을 병원에 따로 전화를 해서 예약을 잡고 지시에 따라 11주-13주 사이 날짜인 12주 하고도 4일 때 되던 날 검사를 하러 갔다.


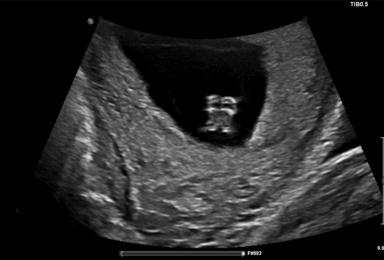
복부 초음파를 통해서는 아이의 목투명대 두께를 측정한다고 하는데, 이는 NT (Nuchal Translucency) scan이라고 불린다. 아이의 목투명대 두께가 3.0mm까지만 정상수치이고, 그 이상으로 넘어갈 경우 다운 증후군이 의심되어 추가 검사를 해야 한다고. 혈액 검사는 몰라도 유독 이 NT scan의 경우는 13주가 넘어갈 경우에는 검사를 할 수 없기 때문에 꼭 11주와 13주 사이에 시기를 맞추어 병원에 가야 한다고 한다.


2018-06-04-09-37-10.jpg
2018-06-04-09-36-55.jpg


First Trimester Screening 검사를 받으러 가는 날은 무척이나 비가 내렸다. 초행길이어서 걱정했는데 다행히 주차장도 잘 찾고 (마침 주차를 한 자리가 내가 가야 할 과 손님의 전용 자리였던!) 병원도 잘 찾아 조언대로 예약 시간 15분 전에 병원에 도착! 내가 정기적으로 가는 병원이 아니라 그런지 평소와 다르게 보험 카드 검사도 하고 간단한 차트를 작성한 후 환자처럼 손목에 띠를 두르고 잠시 앉아 대기했다.


이 나라 병원 직원들은 어쩜 이렇게 다들 친절한 걸까. 조금 대기하고 있으려니 나타난 담당 초음파 테크니션은 정말 너무도 친절하고 다정했다. 그녀는 복부 초음파를 통해 필요한 목투명대 두께 측정과 더불어 아이의 모습을 다양한 방법으로 보여주며 우리가 같이 잘 볼 수 있도록 화면에 보이는 모습이 어떤 위치이고 상황인지 등을 아주 상세히 설명해 주었다. 그와 동시에 여러 장의 사진과 동영상 파일을 내 휴대폰과 이메일로 전송해 주는 것도 잊지 않았다.


특히 이날 자그마한 아이의 발바닥을 볼 수 있었는데 이 친절한 테크니션이 우리보다 더 감탄하면서 너무나도 귀여운 발바닥이라며 계속 발바닥을 클로즈업해서 보여주는데 정말이지 신기한 마음에 절로 입이 귀에 걸리는 체험을 할 수 있었다.


download (9).jpg 발바닥이 닮았네, 자그마한 아기 발바닥


이 시기에 아가는 약 10 cm 정도의 크기라고 하는데, 지난번 간단한 복부 초음파로 봤던 두리뭉실한 모습과는 완전히 딴판으로 (초음파가 정밀 초음파였던 덕이 크겠지만) 팔이며 다리며 눈, 코, 입 등이 너무 선명하게 보여 경이로움마저 느껴졌다. 10 cm 라고 하면 정말 손가락 하나 길이로 아주 조그마할 뿐인데, 어쩜 이렇게 작은 사람의 형상을 하고 무척 편안하게 내 뱃속에서 저렇게 휴식을 취하고 있는 걸까.


처음 화면에 나타난 모습으로는 한 손가락을 입에 문 상태처럼 보였는데 초음파를 계속하다 보니 갑자기 포즈를 바꾸어가며 움직여서, It woke up! 초음파 테크니션의 감탄사와 함께 우리는 놀라 아이의 움직임을 쉴 새 없이 눈으로 좇았다.


이날 받아온 사진과 영상들을 양가 부모님께도 다 전송해 드렸다. 내가 한창 입덧으로 고생하고 있는 것을 알고 계시던 어머님께서 그것들을 보시고는, 엄마가 이렇게 힘든 건 모르고 뱃속에서 세상 편하게 자고 있네! 라고 한 말씀하셨을 만큼, 사진과 영상 속의 아이는 아주 편안해 보였다.


초음파를 마치고는 잠깐 대기하라고 해서 초음파 의자에 앉아 그대로 잠깐 기다리고 있었더니, 조금 후 의사 선생님이 오셔서 초음파 결과는 이상이 없다고 짧은 소견을 말해주고 나가셨다. 이후 혈액검사실로 가서 튜브 하나만큼의 혈액도 뽑고 우리는 병원을 나왔다. 한 시간도 채 걸리지 앉은 비교적 짧은 검사였다.


검사 결과는 역시 며칠 뒤 병원의 웹사이트에서 확인할 수 있었다. 3.0 mm 이하면 정상이라는 목투명대의 두께는 1.7 mm 였다고 하고, 혈액 검사 결과도 아주 양호했다. 이 혈액 검사는 아이 염색체에 이상이 있다 없다 여부를 알려주는 것이 아니라 이상이 있을 확률만을 알 수 있는 검사라고 하는데 타겟이었던 염색체의 trisomy 확률이 아주 낮아서 아주 긍정적인 결과라는 담당 의사의 코멘트를 받을 수 있었다.


나는 직장을 통한 비교적 좋은 보험의 혜택으로 한 달에 조금씩 나가는 보험료 외에는 임신 30주가 되어가는 지금까지 다른 지출이 전혀 없이 병원 진료를 받고 있다. 어차피 다 보험 처리가 되고 있기는 하지만 그냥 궁금한 마음에 매번 진료 때마다 진료비나 검사비가 얼마나 나왔나를 살펴보고는 했는데, 언제나 생각보다는 저렴하다는 인상이었다. 일반적인 초음파는 100달러 미만이었고, 이날 NT scan을 위한 초음파가 141 달러로 조금 비싸기는 했지만 정밀 초음파라 그러려니 생각할 수 있는 정도? 그런데 이날의 검사에서 아주 놀랐던 점이라면, 이날 초음파 검사 후 아주 짧았던 의사와의 상담 비용이 1041달러나 청구되었다는 것이다. 이전까지만 해도 미국 의료비가 상상을 초월하게 비싸다더니 소문만큼은 아니네, 라는 건방진 생각을 하고 있었는데 이날 이후로 생각이 완전히 바뀌었다. 보험이 아니었으면 큰일 날 뻔했어! 라며 안도의 한숨을 내쉬었던 기억.


이 무렵의 입덧은 완전 초기 때만큼 아주 심한 편은 아니어서 가끔씩은 못 견딜 만큼 먹고 싶은 음식이 생기기도 했었는데, 이 검사를 하고 났던 때에는 냉채 족발이 그렇게나 먹고 싶었다. 하지만 내가 살고 있는 곳은 가까이에 변변한 한인마트 하나도 찾아볼 수 없는 그런 곳이라 냉채 족발은커녕 그냥 족발도 먹기가 힘들었다.


어딜 가면 냉채 족발을 먹을 수 있을까? 이런 나를 가엾게 여긴 남편이 열심히 찾아보아도 뉴욕엘 가면 냉채 족발을 파는 곳이 있는 것 같긴 한데, 전문점이 아니라 술집에서 수많은 안주 중 하나로 냉채 족발을 내어주는 그런 곳들 밖에는 보이지 않았다.


그리하여 남편은, 별 수 없이 편법을 사용하였다.


2018-06-10-21-52-42.jpg
2018-06-10-21-57-32.jpg
남편이 급조해서 만들어 준 사랑의 냉채 족발


집에서 차로 2시간 거리에 있는 큰 한인마트에 가서 조리된 식품 2가지를 사 와 냉채 족발을 만들어 준 것. 족발과 해파리냉채를 따로 구입하여 그럴듯한 요리를 하나 만들어 냈다. 인터넷에서 냉채 족발 소스 만드는 법까지 찾아서 소스도 만들어 얹어 먹었더니 한결 맛이 좋았다. 족발만 놓고 보면, 살짝 고기 냄새가 나는 것 같기도 하고 (임신 중 후각이 예민해서 그랬던 것일지도) 아주 맛있는 족발은 아니었지만, 남편의 사랑으로 만들어 낸 냉채 족발 한 그릇은 두고두고 기억하고 싶을 만큼 몹시도 감동스런 맛이었다.

keyword