brunch

치아교정 시 고무줄로 인한 통증,
고무줄의 역할은?

by 김정란


치아 교정을 할 때 힘든 과정 중 하나가 고무줄을 착용해야 할 때입니다.

말을 할 때 발음이 잘 되지 않는 것은 물론 미관상 부담도 되고, 또 음식을 먹을 때에도 큰 불편함을 느끼기 때문이죠. 식사할 동안 잠시 고무줄을 뺄 수 있지만, 집이 아닌 곳에서 고무줄을 뺀다는 것 자체가 불편함이 이만저만이 아닙니다.



1.jpg



교정 장치만으로도 충분히 불편한데 더욱 불편함을 증가시키는 고무줄. 그래서 청소년들의 경우 부모님이 보지 않을 땐 고무줄을 빼두었다가 교정기간이 길어지기도 합니다.


그런데 치아교정 고무줄을 가장 힘들어하는 이유는 따로 있는데요. 바로 고무줄로 인한 통증입니다. 오늘은 치아교정 시 고무줄 통증에 대해 알아보도록 하겠습니다.



1581060938378-003.jpg



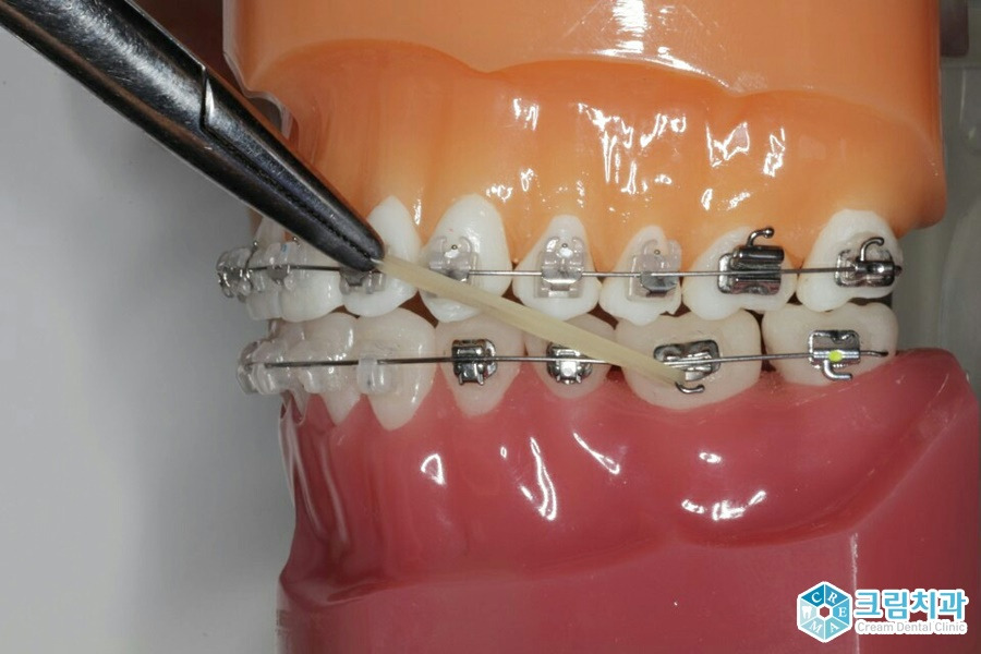
치아교정 고무줄의 역할


치아교정 고무줄은 보통 치아 사이 벌어진 공간을 빨리 닫게 해주는 역할을 담당하여 효율적인 교정치료에 도움이 됩니다. 또, 치아의 중심선을 맞춰 전체적인 치열 균형을 잡아주는 역할도 합니다. 잘 맞지 않는 위턱과 아래턱의 교합을 바로잡아 주기도 합니다. 아울러 치아교정의 마무리 단계에서는 교정 속도를 빠르게 하기 위해서도 사용됩니다.



1581060934945.jpg



고무줄은 브라켓과 달리 탄성이 있어서 자유로운 힘 조절이 가능하다는 장점이 있는데요. 브라켓만으로 교정 효과를 기대할 수 있지만 브라켓만으로 치아의 이동을 유도할 시 구강이나 잇몸에 자극을 줄 수 있기 때문에 지속적인 힘은 전달하되 탄성이 있는 고무줄을 사용하는 것입니다.


고무줄은 사용하는 시기와 위치, 크기는 개인별로 차이가 있습니다. 치열상태와 교정상태가 개인별로 모두 다르기 때문이죠. 고무줄을 착용할 때에는 담당 의료진이 지시한 위치와 착용시간을 적극적으로 잘 따르는 것이 중요합니다.



원장진료1 (6).JPG



치아교정 고무줄, 얼얼하고 씹기 힘든 통증

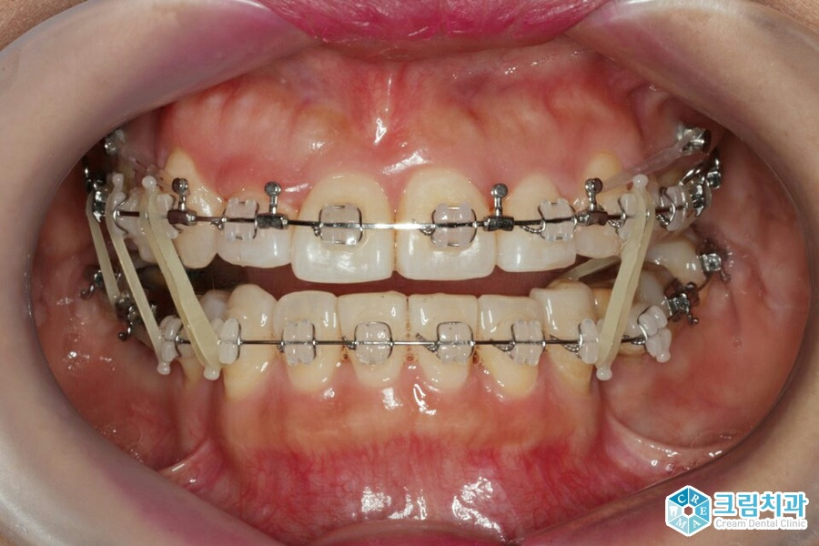
서로 다른 브라켓 고리에 고무줄을 걸어 빠른 치아의 이동을 유도하는 교정 고무줄. 처음 고무줄을 착용하면 고무줄 장력으로 인해 통증을 느끼는 경우가 많습니다. 고무줄은 치아의 이동을 위해 힘을 가해주는 역할을 하는데요, 경우에 따라 얼얼하고 참기 힘든 통증으로 와 닿기도 합니다.



6.jpg



그런데 치아교정 시 고무줄 착용은 고무줄로 추가적인 힘을 가해 치아를 당기는 과정이기 때문에 어느 정도의 통증은 감수해야 하는 부분인데요. 잇몸이 욱신거린다거나 뻐근하게 느껴지는 것은 치아가 이동하는 과정에서 조금은 느낄 수밖에 없는 것이기 때문에 어느 정도까지는 참는 게 필요합니다.



통증은 언제까지 참아야 하나요?


하지만, 대부분의 통증은 시간이 지나면서 줄어드니 큰 걱정은 덜으셔도 됩니다. 치아교정 고무줄을 착용하는 중에 통증이 지속되고 점점 심해져 참지 못할 정도라면 스스로 판단하여 고무줄 착용을 중단하지 마시고 반드시 치과에 내원해 체크를 받아보는 것이 좋습니다.



1581060944229-001.jpg



고무줄 착용, 환자의 협조 가장 중요한 과정


불편하고 통증이 있다고 고무줄 착용을 소홀히 하면 치료기간이 연장되는 것은 물론 치아의 교합을 안정적으로 유지할 수 없고, 또 기대하는 교정 효과를 볼 수 없을 수도 있습니다. 때문에 교정 중 고무줄 착용은 환자의 적극적인 협조가 가장 중요합니다. 고정되어 있는 브라켓과 달리 고무줄은 ‘뺐다 꼈다’를 자유롭게 할 수 있기 때문이죠. 고무줄을 정확한 위치에 꾸준히 잘 걸어주는 것이 정말 중요합니다.



1581060941454.jpg



특히 어린 아이들이나 청소년들의 경우 조금만 불편해도 잘 안 하는 경우가 많습니다. 또 미관상 보기 싫다고 느껴지면 고무줄을 잘 착용하지 않죠. 이럴 땐 보호자가 관심을 갖고 관찰하며 꾸준히 착용할 수 있게 도와주는 것이 좋습니다. 고무줄을 거는 정확한 위치 확인을 위해 사진을 찍어두는 것도 좋은 방법입니다.


고무줄 착용 시 꼭 기억하세요!


고무줄을 구강 내에 착용하다 보면 타액 등과 섭취하는 음식에 따라 그 성질이 변화할 수 있습니다. 더불어 위생적 측면에서도 고무줄 교환은 필수입니다. 하루에 한두 번 꼭 교체하기를 권장합니다.


또한 교정의 전 과정에서 가장 중요한 것이 양치질인데요. 특히 고무줄을 착용할 때에는 고무줄 주위에 음식물 찌꺼기가 끼기 쉽습니다. 고무줄을 착용하는 기간에는 더욱 양치질을 꼼꼼하게 해야 한다는 것도 잊지 마세요.



5.jpg



마지막으로 다시 한번 강조하지만 통증으로 인해 고무줄 착용을 등한시하면 안 됩니다. 진통이 심할 때는 반드시 의료진과 상담하고, 하루 종일 착용하는 것을 기본으로 식사와 양치할 때를 제외하고 지속적으로 착용하는 것이 좋습니다.



7.jpg



가지런한 치아 배열과 구강 건강을 위해 진행하는 치아교정. 고무줄 착용에 다소 불편한 부분이 있더라고 꼭 착용해 좋은 결과 있기를 바랍니다.






크림치과 대표원장 김정란이었습니다.

keyword
작가의 이전글네비게이션 임플란트로 더 정확하고 더 안전하게!