brunch

나는 악마일 수도, 아닐 수도 있습니다.

by 언더독

토요일 밤이 되면, 어김없이 조깅을 나간다.


20대 초, 산업현장에 있으면서 척추 측만증이 악화되어 흉추와 요추에 6도 8도 정도의 불균형이 있다. 그래서 왼쪽, 오른쪽 다리길이가 미세하게 다르다. 자동차로 치면 좌우 쇼바 균형이 안 맞아서 편마모가 일어난다고 보면 된다.


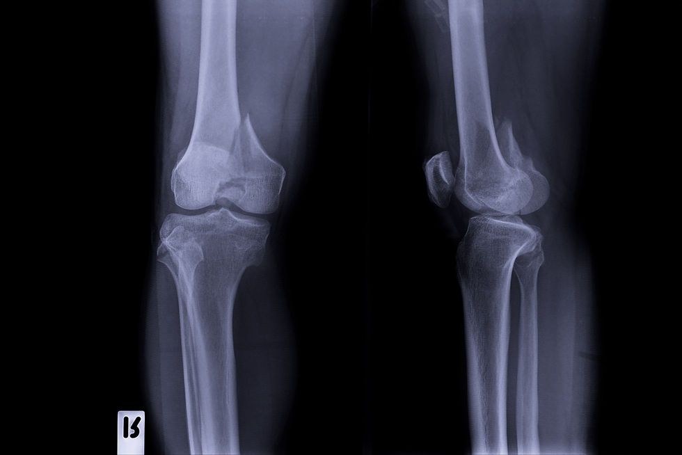
왼쪽 무릎과 고관절이 좋지 않다. 예전에 치료를 받으며 엑스레이 사진을 가지고 의사랑 이야기를 나눈 적이 있다. 의사가 내 왼쪽 무릎 사진을 보고 운동하는 사람이냐 물어보길래, 달리기랑 웨이트 한다고 했더니 한숨을 푹 쉬었다. 걸어 다닐 때 아프지 않은지 물어보았다.


의사에게, 10km 20km 뛰어다닌다고 그랬더니 어이를 상실하는 표정이었다. 어떻게 그게 가능하냐며. 의사 말로는, 이미 연골은 거의 다 없어진 상태고 뼈가 갈려서 석회가루가 쌓여있다고 한다. 어떻게 그렇게 되는지는 모르겠지만, 석회가 많이 생겨서 오히려 그게 열이 받으면 연골처럼 작동을 하는 게 아닌가 싶더란다.



방법이 있냐고 물어봤는데, 그냥 이렇게 살아야 한단다.


척추를 조금이라도 펴기 위해서 철봉 운동을 많이 하고, 달리기는 그냥 하던 대로 한다. 달리기는 내게 꼭 필요한 일이다. 신체 건강 때문에 필요하다기보다는, 정신 건강 때문에 필요하다. 보통 정신이 한계를 만나면, 다 내던지고 뛰러 간다.(한 번은 엘리베이터에서 바지를 깜빡하고 안 입었다는 사실을 깨닫고 헐레벌떡 다시 올라갔던 적이 있다.)


자연은 언제나 나를 떠나지 않고 기다려주고 있으며, 내 근심걱정을 다 받아준다.


달리기를 할 때, 다른 사람으로부터 방해를 받고 싶지 않다. 나에게 달리기는 솔리테리 게임이다. 그래서 항상 달리기 루트를 중간에 끊김이 없는 직선 코스, 그리고 사람이 잘 없는 코스로 달린다. 서울에서는 한강변, 그리고 한강변 중에서도 서쪽으로 진행하는 것이 좋다. 그쪽에 사람이 많이 없다. 특히 추운 겨울에는 여름에 러닝 크루니 뭐니 폼 잡는다고 옷 벗고 설치던 짜베이들이 약속이라도 한 것처럼 모두 사라지기 때문에, 카타르시스가 느껴지기도 해서 더 좋다.


어제는 개판이었다. 여의도에서 시위가 한창이었다.



대통령 탄핵이 안돼서, 사람들이 들고일어난 모양이었다. 전경들이 뛰어다니고 사람들 노래 부르고 난리도 아니었다.


얼른 다리 밑으로 내려가서 인파가 없는 자연으로 향했다.


오늘 글은 한 자수성가 영감님에 대한 이야기로 시작한다.




이 영감님, 롤스로이스 차주이다. 6억 넘는다. 차 문짝에 들어가 있는 RR 우산만 120만 원이다. 강남에 호텔을 몇 개 하고 계시고, 군부대나 여러 사회기관에 봉사 기부 활동도 많이 하신다. 동네 어르신들 밥 챙겨주는 봉사활동도 하신다. 대통령 표창도 받으신 분이다. 흠이 없다. 부자이고 어른다운 어른이다.


나처럼 시골에서 상경하셨다. 오자마자 먹고살 돈이 없어서, 여관 청소부로 시작을 하셨다. 그저 죽어라 열심히 하셨단다. 어떻게 1분 1초도 안 쉬도 일을 할 수 있냐는 소리를 들었다고. 모텔에서도 청소를 하고, 호텔에서도 청소를 하셨다고 한다.


그렇게 모은 돈으로 작은 숙박 사업을 도전하셨다. 3번을 연달아 실패하셨다고 한다. 버스비도 없는 상태까지 가서 1500만 원 전세 지하방에서 청소일 하는 시간 외에는, 틀어 박혀있을 수 밖에는 없었다고 하신다. 혹처럼 붙어버린 빚을 상환하기 위해 모텔에서 죽어라 일하고 있었던 어느 날, 기회를 보게 된 날이 왔다고.


자기가 일하던 모텔의 연로하신 주인 할머니가 건물을 내놓겠다고 하셨단다. 이 영감님은 그걸 인수해서 자기가 해보겠다고 했단다. 자신이 있었다고. 어떻게 하면 망하는지 다 알고 있기 때문에.


무시와 괄시를 들었다고 한다. 네가 무슨 돈이 있냐고. 인수는 뭔 인수를 할 거냐고.


4억을 꾸어야 했다고 한다. 자신의 친누나, 친구들, 알고 지내던 숙박 업체 관련 사장님들에게 어떻게든 돈을 꾸었다고 한다. 이때 친누나는 본인에게 차마 입에 담을 수도 없는 쌍욕을 한참을 했다고 하는데, 그럼에도 1억을 마련해서 자기에게 주었단다.


그 말씀을 하시면서, 60이 넘은 깍두기처럼 생긴 영감님이 장난감 빼앗겨서 서러워 우는 3살 배기 아기처럼 꺼이꺼이 울며 눈물을 흘렸다. 롤스로이스 핸들을 잡고서는.


그런 과정을 거쳐오며 성공시킨 제국인 것이다.


그는 채권자에게 모든 돈을 몇 년 만에 상환했다.





나는 그 영감님에게서 중요한 것들을 배웠다.


그분은 자기 사무실에 출근하시면, 온갖 궂은일부터 한다. 쓰레기를 치우고 탕비실 주방을 청소한다. 설거지를 하고, 간식거리를 소분 정리하고, 냉장고 청소를 한다. 직원들은 모니터 앞에서 할 일들을 하고 있다. 항상 그렇게 하신다고 한다. 낮에는 자기 방 불도 안 켜신다. 밝은데 굳이 킬 필요가 있겠냐며.


그렇게 하는 이유는 오너쉽을 가지기 위해서라고 한다. 이런 허드렛일을 자기가 도맡아서 하면, 직원들 눈치 볼 필요가 없어진다고. 자기 업장에서 눈치 보지 않을 수 있는 위상을 가지는 게 진정한 오너쉽이라 말했다.


항상 회사에서 최저 시급 받게 되는 말단 직원의 간절한 마음으로 일을 하면, 망할 일이 없다고도 했다. 돈 좀 번다고 어깨에 힘들어가는 순간부터, 필히 망한다고 했다.


영감님은 지금도 365일 쉬지를 않는다. 그렇게 몇 십 년을 살아오셨고, 앞으로도 이게 변할 것 같지 않다고 한다.


이 분이 따로 말씀을 하신 것은 아니지만, 짐작하여 느끼건대.


영감님은 자기에게 도움을 줬던 사람들 그리고 자신이 책임지고 있는 사람들에 대한 기대를 저버리고 싶지 않아 한다.


나는 영감님이 말씀하신 친누이와의 비하인드 스토리 그리고 저러한 보답하려는 마음, 책임감을 이해할 수 있다. 저게 나를 한계로 몬다. 저게 나를 피곤한 사람, 예민한 사람, 잘 어울리지 못하는 사람, 다루기 불편한 사람으로 만든다.


나보고 쉬엄쉬엄 하라는 사람들이 많고, 여유를 즐기고 여행도 좀 다니라는 말 하는 사람들이 대부분이다. 뭐 그렇게 피곤하게 사냐며 혀를 끌끌 차는 사람도 있다.


그럴 수 없다. 그렇게 하면 나는 난신적자가 된다.


내가 부자, 성공자가 되고 싶은 궁극적인 이유는 타인에게 존경과 경탄을 받는 전설이 되기 위해서이다. 돈 많은 난신적자는 그냥 돈 많은 병신일뿐이다. 충분한 돈은 꼭 필요한 팩터 중 하나인 것이지, 그거 말고도 빠드리지 말아야 할 중요한 것들이 있다.





내 인생에서 가장 힘들었던 유년기 시절, 나를 아무 대가 없이 물심양면으로 도와주신 아저씨 국어 선생님이 계신다.


집에서 아버지에게 맞고 밥 못 먹고 못 씻고 학교를 가면, 언제나 그 선생님이 먹고 입고 씻고 공부할 수 있도록 해주었다. 온갖 교육청 장학금을 내 앞으로 밀어, 내가 어떻게든 나쁜 길로 빠지지 않도록 가드를 서줬던 분이다.


그 아저씨 때문에 나는 모나미 볼펜 한 자루를 하루에 다 소진시키지 않으면, 집에 가지 않았다. 집에 별로 가고 싶지도 않았고.


그래서 양아치 깡패 안되고 대학 갔고, 합법적인 회사 들어가서 합법적인 시민으로 사회생활 시작했다.


나는 이 분에게 진 빚을 아직도 갚지 못했다. 아직 내가 생각하는 지점까지 성공을 하지 못했기 때문이다. 지금도 앞가림하기가 바쁘기 때문이다. 정말로 그러하지만, 그래도 나는 내가 이런 말을 하는 것 자체가 일종의 변명으로 느껴진다. 스스로에게 화가 난다는 것이다.

그게 너무 미안해서, 지금도 선뜻 먼저 연락을 못 드리고 있다. 한 살 한 살 먹어갈수록 한이 맺히는 것 같다. 이 업보를 해결해야 한다.


저 아저씨 선생님 말고도, 보이지 않는 내 본성에 믿음을 걸고 대가 바라지 않고 나를 밀어준 은인들이 몇 사람 더 있다.


그들도 사람이기에, 늙어간다. 언제까지고 세상에 남아 있지는 않다는 것이다.


내가 게으르고 느리고 쾌락 찾고 우울 타는 사람들을 싫어하고 밀쳐내는 것은 그러한 것들 모두가 전염성을 가지기 때문이다. 저들을 재단하는 나의 기준은 보통 사람의 시각에서 보았을 때는 아주 피곤하다. 그래서 가끔 적이 생기기도 한다. 그렇다고 내가 싸움을 받아줄 만큼 한가하지가 않아서, 그러한 적개심이 발전하는 경우는 없다. (좋은 것이다.)





여자친구를 안 만든 지가 2년 정도 되어간다.


개인적인 은인들을 제외하고도, 내게는 고객들이 있다. 아직은 경제 총회나 개별 컨설팅이 태동하는 수준이지만, 어찌 되었든 그 사람들은 나를 믿고 힘들게 번 돈을 지불했다. 그러한 책임도 내게는 더해져 있는 것이다.


내 문제 많은 가족들 또한 좋든 싫든 내가 책임져야 한다. 거기서 태어나버렸으니까.


나는 이미 수많은 것들에 대한 무한한 책임 의식을 느끼고 매일을 살아가고 있다.


보통의 천진난만한 평범한 또래 여자들과 무슨 이야기를 어떻게 나누고, 어떤 결을 어떤 방식으로 맞대어 볼 수 있을지 정말로 모르겠다. 가닥조차 잡히지 않는다.


내 삶은 단 하루도 전쟁이 아니었던 날이 없고, 앞으로도 죽을 때까지 그렇게 될 것 같다. 나는 이에 대한 불만이 없고, 이를 있는 그대로 받아들이고 책임을 다해내겠노라 결의를 다진 사람이다.


그러니.


독자 여러분들은 나를 보통의 평범한 시각으로 바라봐주지 않았으면 하는 바람이 있다


그렇게 바라보는 순간부터, 여러분들의 눈에는 내가 악마처럼 비치게 될 것이다.


내 삶을 받치고 있는 개인적인 철학을 글로 내보였으니, 그러한 관점에서 나를 바라보면.


적어도 내가 악마처럼 보이지는 않게 될 것이다.


선해 보이는 것이 사실은 선한 것이 아니며, 악해 보이는 것이 사실은 악이 아닌 경우가 많이 있다. 나는 이 말에 부합하는 삶을 살려고 부단히 노력한다.


신이 내게 허락한 현생의 귀한 시간을, 1분 1초 남기지 않고 그렇게 산화시키려는 것이다.



Devil - Yenox

https://www.youtube.com/watch?v=b7X2_Sbo4S8



< 5차 총회 >


장소 : 서울 영등포구 ---- ---

시기 : 2024.12.14(토) 2pm - 4pm

비용 : 5만 원


* 총회 누적 참가자 수 : 19명

* 컨설팅 누적 진행 횟수 : 4

* 컨설팅은 총회 실 참가자 중에서만 진행합니다.


참여 희망자는 아래 채팅방 입장, 채팅방 공지 참조하여 예약 바랍니다. 입장 시, 프로필명을 '브런치 계정명'으로 달아주시면 되겠습니다.


입장 코드 : 0728

https://open.kakao.com/o/gLGt97wg


[ 총회 진행 목차 ]


- 돈은 무엇인가(Gold standard, Fiat currency, Fractional Reserve bank system, 연준 통화정책 등)

- 한국의 세금은 무엇인가(실 참여자 외 완전한 비공개)

- 개인이 할 수 있는 최선의 대응 방안(하나마나한 소리 말고. 개인 또는 가구가 할 수 있는 구체적 자원 배치 및 주식 투자 전략.)

- 주식, 금, 비트코인, 부동산, 파생상품, 레버리지에 대한 거시적 인사이트 제공

- 정신 개조(정신 강화, 신체 강화에 대한 인사이트 제공)

- Q&A / 팬미팅


2024년 AMAZON 출판작(국내 판매본 - 한글) < From Zero > : https://kmong.com/gig/580431


keyword