brunch
매거진 건강

그냥 두면 문제? 사랑니 뽑아야하는 이유는?

충치 및 부정교합의 원인? 사랑니를 뽑아야 하는 이유

by 데일리
(브런치)700x150-데일리191105.png


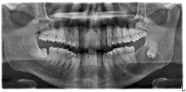
사랑니는 마치 첫사랑을 앓듯이 아프다고 하여 붙여진 명칭으로, 명칭 자체만 놓고 보면 아름답지만 실제로는 사랑니 때문에 고통을 받는 사람들이 많다. 사랑니는 큰 어금니 중 세 번째 위치인 제3대구치를 말하는데, 구강 내에 가장 늦게 나오는 치아다.


약 7%의 사람에게는 사랑니가 아예 없기도 하며, 입안에 가지고 있거나 나오는 개수는 1개부터 4개까지 사람마다 다르다. 사랑니가 정상적으로 나와 청결하게 유지 관리가 되면 아무 문제가 되지 않지만 대부분 치열 맨 안쪽 끝에서 공간이 부족한 상태로 자리를 잡고 있는 경우가 많아 문제가 된다. 그렇다면 정확히 어떤 문제를 야기하는지, 사랑니를 왜 뽑아야 하는 것인지 알아보자.

중간선 확정.png

저작기능을 하지 못하는 사랑니


치아는 위와 아래의 치아가 서로 맞물려 저작 기능을 하는 것이 정상이다. 하지만 사랑니는 칫솔이 잘 닿지 않는 곳에 위치해 있어 관리가 잘 되지 않고 저작기능을 제대로 하지 못한다. 또한 옆으로 누운 매복 사랑니의 경우에는 치아가 맞물리지 않아 저작 기능을 하지 못하고, 중력에 의해 앞에 어금니보다 과맹출(맹출: 치근의 형성이 진행함에 따라 치관이 구강 내에 나타나는 것) 되어 앞 어금니 사이에 음식물이 끼게 되고, 구강 위생을 위협하게 된다. 보통 이런 경우에는 아래 매복 사랑니 발치 시 위에 사랑니도 같이 발치한다.

중간선 확정.png

관리 유지의 어려움


사랑니의 가장 큰 문제점은 바로 깊숙한 곳에 자리하고 있어 관리 및 유지가 어렵다는 점이다. 칫솔질을 아무리 열심히 한다고 해도 칫솔이 잘 닿지 않는 깊숙한 곳에 위치해 있어 치석이 잘 침착되고, 세균의 증식도 활발해 다른 치아에 비해 충치가 잘 생긴다. 따라서 증상이 없다고 하더라도 충치 예방 등을 위해 사전에 발치하는 경우도 많다.

중간선 확정.png

치관주위염 유발


사랑니 주위의 잇몸이 자주 붓고 아프다면 치관주위염을 의심해볼 수 있다. 관리가 잘 이루어지지 않는 사랑니는 세균의 번식을 초래하고 음식물이나 치석이 잘 침착되어 주변에 잇몸 염증을 일으키는데, 이를 치관주위염이라고 한다. 사랑니 치관주위염을 방치하면 앞의 치아의 잇몸뼈까지 침범해 앞의 치아까지 발치를 해야 하거나 신경치료를 해야 하는 상황이 발생할 수 있어 치관주위염이 있다면 사랑니를 빨리 발치하는 것이 좋다.

중간선 확정.png

사랑니 앞 어금니 충치로 인한 발치


사랑니에 충치가 발생할 경우 발견 즉시 충치 치료를 하거나 발치를 하면 문제가 되지 않지만 하루 이틀 발치를 미루게 되면 앞의 어금니에도 충치가 생길 수 있다. 사랑니가 있는 경우 앞 어금니 사이에 음식물이 잘 끼게 된다. 앞 어금니까지 발치를 해야 하는 상황이 발생하지 않게 일찌감치 사랑니를 발치하는 것이 좋다.

중간선 확정.png

함치성낭


사랑니 치아머리 부분에 물혹이 발생할 수 있는데, 이러한 물혹을 함치성낭이라고 한다. 함치성낭을 더욱 정확히 설명하자면 치배(치아의 싹)의 발육이상을 원인으로 매복된 치아의 치관 주변에 발생하는 턱뼈의 낭포를 말한다. 물혹이 작고 증상이 없는 경우에는 일단 지켜보지만 갈수록 물혹이 커지면서 사랑니를 더 깊게 매복시키고, 하치조 신경을 압박해 감각 이상을 일으키거나 최악의 경우 턱뼈가 부러지는 상황이 발생하기도 한다.

중간선 확정.png

사랑니 앞 어금니의 외흡수


의외로 사랑니 앞 어금니의 외흡수 때문에 사랑니를 발치하거나 앞 어금니까지 함께 발치하는 경우가 많다고 한다. 사랑니가 앞의 어금니를 흡수시켜 치료를 불가능하게 만드는데, 뿌리 끝이 조금 흡수되고 어금니에 통증이 없으면 사랑니만 발치하고 지켜볼 수 있지만 통증이 발생하고 별다른 치료 방법이 없는 경우에는 사랑니와 함께 앞 어금니까지 발치해야 한다.

중간선 확정.png

과잉치로 인한 발치


과잉치란 각 치종의 정해진 수 이상으로 발생한 치아로, 원인은 불명이지만 치아의 원기인 치배 분리에 의한 것으로 추정된다. 겉으로 드러나 보이는 사랑니는 하나지만 잇몸 속에 매복되어 있는 사랑니도 있거나 사랑니의 수가 하나 이상인 경우에는 사랑니와 함께 과잉치를 같이 발치해야 한다.

중간선 확정.png

원활한 교정 치료를 위한 발치


사랑니에 통증과 같은 이상 증상이 나타나지 않아도 원활한 교정 치료를 위해 발치하는 경우도 있다. 교정 시 사랑니를 반드시 발치해야 하는 것은 아니지만 교정 치료 시 치아의 이동을 고려해 효율적인 교정 치료가 이루어질 수 있도록 미리 사랑니를 발치하는 경우가 많다. 보통은 누워있는 사랑니나 매복되어 있는 형태의 사랑니를 발치하는데, 정밀진단을 통해 난이도와 위험성의 정도를 판단한 후 발치한다.

중간선 확정.png

치열의 변화로 인한 발치


치과마다 이를 두고 차이는 있지만 치열의 변화 때문에 발치를 권하는 곳도 있다. 사랑니로 인해 치열이 불리하게 변화되는 경우를 흔히 볼 수 있는데, 주로 위 사랑니가 앞 어금니 뿌리 부위를 밀어 앞 어금니가 뒤로 젖혀지면서 과맹출을 유발한다. 이렇게 되면 앞 어금니의 구강 위생상태가 안 좋아지기 때문에 발치를 하는 것이다.


저작권자 ⓒ 데일리. 무단전재 및 재배포 금지.

중간선 확정.png
더욱 다양한 이야기가 궁금하시다면?


keyword
매거진의 이전글흡연으로 인한 질병 10가지